Другие названия и синонимы
Fetid phlegm.
Описание
Мокрота с неприятным запахом возникает при деструктивных процессах (абсцесс, гангрена), аспирации и пневмонии Фридлендера, раке легких. Реже симптом развивается на фоне бронхоэктазов, эмпиемы плевры с бронхиальной фистулой. Для диагностики причин зловонной мокроты используются рентгеновские и эндоскопические методы визуализации. На основании лабораторных исследований, микроскопии и бактериального посева выделений назначают клинические и биохимические анализы крови. Лечение включает антибактериальные препараты, бронходилататоры и дезинтоксикационную терапию. По показаниям выполняется плевральная пункция или резекция легкого.
|
|
Причины
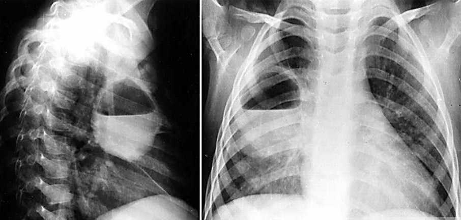
Абсцесс легкого.
При остром течении патологии откашливается большое количество гнойной мокроты с зловонным запахом. Неприятный запах возникает из-за распада белковых соединений в результате длительного застоя экссудата в полости абсцесса. Мокрота начинает откашливаться внезапно, при «полном рту» ее количество достигает 1 литра. Зловоние при прорыве абсцесса в бронх настолько сильное, что его можно почувствовать в нескольких метрах от пациента.При хроническом абсцессе легких иногда наблюдается отхаркивание зловонного гноя и слизи в небольших количествах. Во время обострения объем зловонной мокроты увеличивается до 300-500 мл в сутки. Появляется лихорадка, слабость, озноб. Больные жалуются на боли в одной половине груди, одышку при физической нагрузке, ночную потливость.
Диагностика
При жалобах на зловонную мокроту показано обследование у пульмонолога. Во время медицинского осмотра специалист оценивает характер и частоту дыхания, выполняет перкуссию и аускультацию легких для постановки предварительного диагноза. При подозрении на деструктивные процессы в легких необходима консультация хирурга. В план диагностики заболеваний, проявляющихся мокротой с неприятным запахом, входят следующие методы:
• Рентгенография: рекомендуется рентгенография ОГК в 2-х проекциях, показывающая округлые тени с горизонтальным уровнем жидкости, области инфильтрации или распада, контуры объемных образований. Для уточнения диагноза назначается МСКТ, позволяющая детально визуализировать патологические изменения.
• Бронхоскопия. При исследовании бронхов с помощью эндоскопа в основном обнаруживаются признаки разлитого гнойного эндобронхита. Если зловонная мокрота вызвана онкологическим процессом, то при бронхоскопии врач видит распадающуюся опухоль, закупоривающую бронх. Во время исследования берут биопсии из подозрительных участков.
• Анализ мокроты. При оседании биоматериала обнаруживается разделение на 3 слоя (гнойный, слизистый и пенистый). При визуальном осмотре можно выявить частицы паренхимы легких, инородные предметы и болезнетворные грибки. Зловонная мокрота культивируется для выделения возбудителя инфекции и проведения теста на чувствительность к антибиотикам.
• Дополнительные лабораторные исследования. В гемограмме выявляются воспалительные изменения: повышение СОЭ, нейтрофильный лейкоцитоз. Биохимический анализ крови, диспротеинемия, показывает увеличение показателей острой фазы. Газовый состав крови анализируется для оценки дыхательной недостаточности.
При наличии симптомов плеврита необходима лечебно-диагностическая пункция плевральной полости и забор экссудата на бактериологическое исследование. Пациентам с хроническими бронхолегочными заболеваниями проводят ЭКГ и эхокардиографию для изучения работы сердца, поскольку такие патологии обычно связаны с нарушениями гемодинамики. В сложных случаях прибегают к ангиопульмонографии, диагностической торакоскопии.
Абсцесс легкого - причина неприятного запаха мокроты.
• Рентгенография: рекомендуется рентгенография ОГК в 2-х проекциях, показывающая округлые тени с горизонтальным уровнем жидкости, области инфильтрации или распада, контуры объемных образований. Для уточнения диагноза назначается МСКТ, позволяющая детально визуализировать патологические изменения.
• Бронхоскопия. При исследовании бронхов с помощью эндоскопа в основном обнаруживаются признаки разлитого гнойного эндобронхита. Если зловонная мокрота вызвана онкологическим процессом, то при бронхоскопии врач видит распадающуюся опухоль, закупоривающую бронх. Во время исследования берут биопсии из подозрительных участков.
• Анализ мокроты. При оседании биоматериала обнаруживается разделение на 3 слоя (гнойный, слизистый и пенистый). При визуальном осмотре можно выявить частицы паренхимы легких, инородные предметы и болезнетворные грибки. Зловонная мокрота культивируется для выделения возбудителя инфекции и проведения теста на чувствительность к антибиотикам.
• Дополнительные лабораторные исследования. В гемограмме выявляются воспалительные изменения: повышение СОЭ, нейтрофильный лейкоцитоз. Биохимический анализ крови, диспротеинемия, показывает увеличение показателей острой фазы. Газовый состав крови анализируется для оценки дыхательной недостаточности.
При наличии симптомов плеврита необходима лечебно-диагностическая пункция плевральной полости и забор экссудата на бактериологическое исследование. Пациентам с хроническими бронхолегочными заболеваниями проводят ЭКГ и эхокардиографию для изучения работы сердца, поскольку такие патологии обычно связаны с нарушениями гемодинамики. В сложных случаях прибегают к ангиопульмонографии, диагностической торакоскопии.
Абсцесс легкого - причина неприятного запаха мокроты.
Лечение
Большинство заболеваний, вызывающих неприятный запах мокроты, вызваны бактериальными инфекциями. Поэтому подбирается этиотропная противомикробная терапия с включением препаратов в терапевтическую схему на основании результатов антибиотикограммы. Рекомендуются комбинации от 2 до 3 препаратов, вводимых парентерально или местно (в плевральную полость). Требуется длительная антибактериальная терапия - не менее 10-14 дней.
Для улучшения отхождения мокроты применяют ингаляции с броколитиками, протеолитическими ферментами. Для удаления токсичных продуктов из крови представлены методы дезинтоксикации: введение растворов электролитов в сочетании с диуретиками, плазмаферез, использование десенсибилизирующих средств. Для улучшения реологических свойств крови назначают антикоагулянты и антиагреганты.
При удовлетворительном и умеренно тяжелом состоянии пациента возможно выполнение перкуторного массажа или вибрации грудной клетки, что усиливает дренажную функцию бронхов и стимулирует отхождение мокроты от зловонной мокроты. После замедления острого процесса эффективны физиотерапевтические процедуры: ультразвук, спелеотерапия, магнитотерапия. Больных отбирают на дыхательную гимнастику и комплексы ЛФК.
Массивные гнойно-деструктивные поражения легких требуют хирургического вмешательства. Объем лечения определяется с учетом распространенности повреждений: от сегментэктомии или легочной лобэктомии до тотальной пневмэктомии. В случае раковых опухолей показана длительная операция с удалением соседних групп лимфоузлов. Когда в процесс вовлекается плевра, хирурги проводят торакостомию, плеврэктомию с декортикацией легкого.
Для улучшения отхождения мокроты применяют ингаляции с броколитиками, протеолитическими ферментами. Для удаления токсичных продуктов из крови представлены методы дезинтоксикации: введение растворов электролитов в сочетании с диуретиками, плазмаферез, использование десенсибилизирующих средств. Для улучшения реологических свойств крови назначают антикоагулянты и антиагреганты.
При удовлетворительном и умеренно тяжелом состоянии пациента возможно выполнение перкуторного массажа или вибрации грудной клетки, что усиливает дренажную функцию бронхов и стимулирует отхождение мокроты от зловонной мокроты. После замедления острого процесса эффективны физиотерапевтические процедуры: ультразвук, спелеотерапия, магнитотерапия. Больных отбирают на дыхательную гимнастику и комплексы ЛФК.
Массивные гнойно-деструктивные поражения легких требуют хирургического вмешательства. Объем лечения определяется с учетом распространенности повреждений: от сегментэктомии или легочной лобэктомии до тотальной пневмэктомии. В случае раковых опухолей показана длительная операция с удалением соседних групп лимфоузлов. Когда в процесс вовлекается плевра, хирурги проводят торакостомию, плеврэктомию с декортикацией легкого.
Помощь до постановки диагноза.
Кашель с зловонной мокротой возникает при тяжелых поражениях бронхолегочной системы, которые нельзя лечить в домашних условиях. Если у вас есть такой симптом, вам следует как можно скорее обратиться к врачу. Если симптом сопровождается нарушением сознания, кровохарканьем или легочным кровотечением, гектической лихорадкой, пациенту требуется неотложная медицинская помощь.
|
