Другие названия и синонимы
Numbness of the chin.
Описание
Онемение подбородка возникает на фоне невралгии тройничного нерва, травм и опухолей. Наблюдается при остеохондрозе, мигрени, опоясывающем лишае, витаминно-B12-дефицитной анемии, психических расстройствах. Причина устанавливается на основании данных внешнего осмотра, стоматологического и неврологического осмотра, рентгена, МРТ, КТ, лабораторных исследований. Лечение онемения подбородка включает противосудорожные препараты, НПВП, антигистаминные препараты, антибиотики, физиотерапию и хирургическое вмешательство.
|
|
Дополнительные факты
Основной симптом невралгии - болезненные припадки, вызванные бритьем, напряжением лицевых и жевательных мышц, контактом с ветром, холодной водой и воздухом. При поражении ствола тройничного нерва характерно онемение всей половины лица, которое развивается при хроническом течении патологии. Отмечается онемение подбородка при изолированном поражении третьей ветви (n. Mandibularis).
При снижении чувствительности в области подбородка наблюдается онемение нижней щеки, нижней губы, области нижней челюсти, слизистой оболочки щеки, десен, зубов, нижней половины языка и рта. Завершает клиническую картину периферический паралич жевательных мышц, сопровождающийся асимметрией лица. Возможно отклонение нижней челюсти в сторону поражения.
В 95% случаев невралгия развивается в результате сдавления нерва. Причиной компрессии может быть изменение диаметра соседнего сосуда при артериальной гипертензии и церебральном атеросклерозе. Еще одним провоцирующим фактором являются опухоли головного мозга и костей черепа. Иногда болезнь провоцируется сужением костных каналов из-за хронических ЛОР-заболеваний, травм головы или стоматологических патологий.
Онемение подбородка при травмах вызвано нарушением целостности или сдавлением нижнечелюстного нерва. Повреждение мягких тканей лица в проекции малых коренных зубов может привести к возникновению симптома - в этом месте из канала нижней челюсти выходит ветвь нерва, обеспечивающая чувствительность подбородка и нижней губы. При ушибах и гематомах обычно наблюдается сдавление, симптомы быстро исчезают после уменьшения отека.
При открытых ранах возможно пересечение ветки с длительным сохранением покоя. При переломе нижней челюсти наблюдается компрессия или разрыв n. нижнеальвеолярный, расположенный во внутрикостном канале. Поражение сопровождается болью, отеком, кровотечением на коже и слизистых оболочках, нарушениями суставов и асимметрией лица. Можно определить ступенчатый прикус, подвижность и смещение зубов.
Инфекционно-воспалительный процесс развивается в результате заболеваний зубов и десен, гнойных ран, открытых переломов, фурункулов и карбункулов лица, некоторых отоларингологических заболеваний, распространения инфекции из отдаленных очагов. Сопровождается болями, повышением температуры тела, выделением гнойного содержимого из десневых карманов, ограничением открывания рта, нарушениями дыхания. Онемение подбородка может сочетаться с покалыванием или ползанием.
Причина онемения подбородка - рак нижней челюсти. Чаще появление симптома связано с прорастанием нервов. Патология характеризуется ранним началом болевого синдрома, быстрым нарастанием боли до невыносимой, нарушением смыкания и открывания зубов, инфильтрацией щек и дна рта, изъязвлением и кровотечением. Иногда симптом провоцируют некоторые внутрикостные или локально деструктивные доброкачественные новообразования: амелобластома, остеома, остеобластокластома.
В некоторых случаях онемение подбородка вызвано напряжением мышц и сдавлением задних корешков спинного мозга на фоне патологий позвоночника: остеохондроз, протрузия, межпозвоночная грыжа, спондилоартроз и , Боль, вынужденное положение позвоночника. голову можно наблюдать. Возможно онемение верхней конечности на стороне поражения.
Один из вариантов ауры при мигрени - временное нарушение чувствительности в пальцах руки с распространением онемения на всю конечность, половину шеи, лицо и подбородок. Тогда формируется типичная клиническая картина мигрени с давящей или пульсирующей болью в середине головы, легким головокружением, тошнотой, повышенной чувствительностью к световым и звуковым раздражителям.
Заболевание развивается на фоне стойкого вируса герпеса, диагностируется у людей, перенесших в прошлом ветряную оспу. При воспалении межреберного, лицевого и тройничного нервов наблюдаются кожные высыпания по ходу перечисленных нервных стволов. У детей можно обнаружить катаральное воспаление верхних дыхательных путей. Симптомы опоясывающего лишая сохраняются в течение 2-3 недель.
Иногда онемение подбородка определяется следующими патологиями:
• Рассеянный склероз. Особенностью заболевания является поражение чувствительных проводящих путей и отдельных черепных нервов, в том числе тройничного нерва. Различают парез, неврит зрительного нерва, атаксию и нарушение функции органов малого таза.
• Злокачественная анемия. Онемение подбородка сочетается с нарушением чувствительности лица и конечностей, мышечной слабостью и изменением походки. Выявлена тахикардия, гепатоспленомегалия, «лакированный язык».
• Психические расстройства. Симптом чаще всего возникает при истерии. Это необычный контекст, не укладывающийся в клиническую картину конкретного соматического заболевания. В некоторых случаях отмечается при депрессии.
При снижении чувствительности в области подбородка наблюдается онемение нижней щеки, нижней губы, области нижней челюсти, слизистой оболочки щеки, десен, зубов, нижней половины языка и рта. Завершает клиническую картину периферический паралич жевательных мышц, сопровождающийся асимметрией лица. Возможно отклонение нижней челюсти в сторону поражения.
В 95% случаев невралгия развивается в результате сдавления нерва. Причиной компрессии может быть изменение диаметра соседнего сосуда при артериальной гипертензии и церебральном атеросклерозе. Еще одним провоцирующим фактором являются опухоли головного мозга и костей черепа. Иногда болезнь провоцируется сужением костных каналов из-за хронических ЛОР-заболеваний, травм головы или стоматологических патологий.
Онемение подбородка при травмах вызвано нарушением целостности или сдавлением нижнечелюстного нерва. Повреждение мягких тканей лица в проекции малых коренных зубов может привести к возникновению симптома - в этом месте из канала нижней челюсти выходит ветвь нерва, обеспечивающая чувствительность подбородка и нижней губы. При ушибах и гематомах обычно наблюдается сдавление, симптомы быстро исчезают после уменьшения отека.
При открытых ранах возможно пересечение ветки с длительным сохранением покоя. При переломе нижней челюсти наблюдается компрессия или разрыв n. нижнеальвеолярный, расположенный во внутрикостном канале. Поражение сопровождается болью, отеком, кровотечением на коже и слизистых оболочках, нарушениями суставов и асимметрией лица. Можно определить ступенчатый прикус, подвижность и смещение зубов.
Инфекционно-воспалительный процесс развивается в результате заболеваний зубов и десен, гнойных ран, открытых переломов, фурункулов и карбункулов лица, некоторых отоларингологических заболеваний, распространения инфекции из отдаленных очагов. Сопровождается болями, повышением температуры тела, выделением гнойного содержимого из десневых карманов, ограничением открывания рта, нарушениями дыхания. Онемение подбородка может сочетаться с покалыванием или ползанием.
Причина онемения подбородка - рак нижней челюсти. Чаще появление симптома связано с прорастанием нервов. Патология характеризуется ранним началом болевого синдрома, быстрым нарастанием боли до невыносимой, нарушением смыкания и открывания зубов, инфильтрацией щек и дна рта, изъязвлением и кровотечением. Иногда симптом провоцируют некоторые внутрикостные или локально деструктивные доброкачественные новообразования: амелобластома, остеома, остеобластокластома.
В некоторых случаях онемение подбородка вызвано напряжением мышц и сдавлением задних корешков спинного мозга на фоне патологий позвоночника: остеохондроз, протрузия, межпозвоночная грыжа, спондилоартроз и , Боль, вынужденное положение позвоночника. голову можно наблюдать. Возможно онемение верхней конечности на стороне поражения.
Один из вариантов ауры при мигрени - временное нарушение чувствительности в пальцах руки с распространением онемения на всю конечность, половину шеи, лицо и подбородок. Тогда формируется типичная клиническая картина мигрени с давящей или пульсирующей болью в середине головы, легким головокружением, тошнотой, повышенной чувствительностью к световым и звуковым раздражителям.
Заболевание развивается на фоне стойкого вируса герпеса, диагностируется у людей, перенесших в прошлом ветряную оспу. При воспалении межреберного, лицевого и тройничного нервов наблюдаются кожные высыпания по ходу перечисленных нервных стволов. У детей можно обнаружить катаральное воспаление верхних дыхательных путей. Симптомы опоясывающего лишая сохраняются в течение 2-3 недель.
Иногда онемение подбородка определяется следующими патологиями:
• Рассеянный склероз. Особенностью заболевания является поражение чувствительных проводящих путей и отдельных черепных нервов, в том числе тройничного нерва. Различают парез, неврит зрительного нерва, атаксию и нарушение функции органов малого таза.
• Злокачественная анемия. Онемение подбородка сочетается с нарушением чувствительности лица и конечностей, мышечной слабостью и изменением походки. Выявлена тахикардия, гепатоспленомегалия, «лакированный язык».
• Психические расстройства. Симптом чаще всего возникает при истерии. Это необычный контекст, не укладывающийся в клиническую картину конкретного соматического заболевания. В некоторых случаях отмечается при депрессии.
Диагностика
Диагноз ставит невролог. По показаниям пациента направляют к стоматологу, челюстно-лицевому хирургу или гематологу. Для выяснения причины онемения подбородка проводятся следующие диагностические процедуры:
• Неврологическое обследование. При невралгии триггерные точки определяются в местах выхода нервных ветвей. Всестороннее исследование мышечной чувствительности, рефлексов и силы выявляет неврологический дефицит, который указывает на повреждение структур мозга.
• Стоматологическое обследование. Информативно о травмах, остеомиелите челюсти. Дает возможность подтвердить наличие перелома, выявить заболевание, спровоцировавшее развитие патологического процесса в кости.
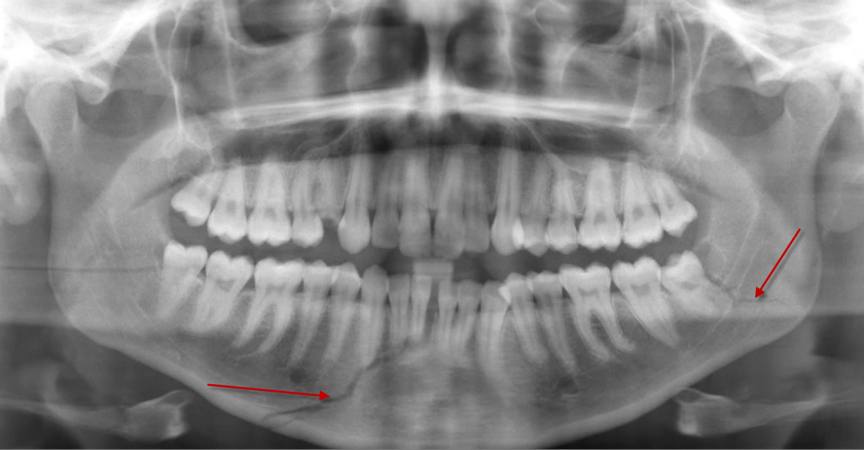
• Рентгенография. В случае травм челюсти, остеомиелита делают снимки нижней челюсти. При подозрении на травму позвоночника проводится рентгенография шейного отдела позвоночника.
• TDM. Применяется для уточнения объема и локализации травмо-воспалительных очагов в черепе и нижней челюсти, выявления дегенеративных процессов в позвоночнике. Он эффективен при обнаружении сужения каналов, по которым проходит тройничный нерв.
• Магнитно-резонансная томография. Рекомендуется при опухолях головного мозга. Визуализируйте кисты и новообразования. МРТ-ангиография проводится для подтверждения сосудистой этиологии сдавления нерва.
• Лабораторные тесты. При злокачественной анемии показаны биохимический анализ крови, анализы на антитела к внутреннему фактору Кастла и париетальным клеткам желудка. При опухолях необходимо морфологическое исследование для установления характера и степени дифференцировки новообразований. При воспалительных процессах необходим посев выделений для определения микрофлоры.
Физиотерапия.
• Неврологическое обследование. При невралгии триггерные точки определяются в местах выхода нервных ветвей. Всестороннее исследование мышечной чувствительности, рефлексов и силы выявляет неврологический дефицит, который указывает на повреждение структур мозга.
• Стоматологическое обследование. Информативно о травмах, остеомиелите челюсти. Дает возможность подтвердить наличие перелома, выявить заболевание, спровоцировавшее развитие патологического процесса в кости.
• Рентгенография. В случае травм челюсти, остеомиелита делают снимки нижней челюсти. При подозрении на травму позвоночника проводится рентгенография шейного отдела позвоночника.
• TDM. Применяется для уточнения объема и локализации травмо-воспалительных очагов в черепе и нижней челюсти, выявления дегенеративных процессов в позвоночнике. Он эффективен при обнаружении сужения каналов, по которым проходит тройничный нерв.
• Магнитно-резонансная томография. Рекомендуется при опухолях головного мозга. Визуализируйте кисты и новообразования. МРТ-ангиография проводится для подтверждения сосудистой этиологии сдавления нерва.
• Лабораторные тесты. При злокачественной анемии показаны биохимический анализ крови, анализы на антитела к внутреннему фактору Кастла и париетальным клеткам желудка. При опухолях необходимо морфологическое исследование для установления характера и степени дифференцировки новообразований. При воспалительных процессах необходим посев выделений для определения микрофлоры.
Физиотерапия.
|
|
Лечение
Тактика лечения зависит от причины онемения подбородка. Пациентам с невралгией тройничного нерва назначают противосудорожные препараты. Дозировку постепенно увеличивают до получения терапевтического эффекта. Прием продолжают несколько месяцев, после чего дозу постепенно снижают. Схема дополняется антигистаминными, спазмолитическими, средствами для улучшения микроциркуляции. Блоки выполняются согласно инструкциям. Среди физиотерапевтических методик эффективны диадинамические токи, гальванизация и фонофорез.
Для купирования приступа мигрени используются НПВП, в тяжелых случаях - препараты из группы триптанов. При повторной рвоте применяют противорвотные средства. Для профилактики пароксизмов проводится длительное лечение антидепрессантами и противосудорожными средствами. При опоясывающем герпесе проводится противовирусная терапия ацикловиром. Психические расстройства корректируются с помощью психотерапии, иногда в сочетании с психотропными препаратами.
Антибиотики показаны при ранах, открытых переломах, остеомиелите челюсти. Сначала используются антибактериальные препараты широкого спектра действия, в дальнейшем медикамент заменяется с учетом антибиотикочувствительности возбудителя. Больным злокачественной анемией необходимо пожизненное лечение препаратами В12, устранение состояний, приведших к развитию авитаминоза.
Хирургическая тактика определяется причиной появления симптома. Используются следующие приемы:
• Невралгия. Микрохирургическая декомпрессия, чрескожная радиочастотная деструкция, стереотаксическая радиохирургия.
• Церебральная патология. Удаление опухолей головного мозга, удаление аневризм.
• Травмы. Ушивание ран в области верхней челюсти, остеосинтез нижней челюсти.
• Остеомиелит челюсти. Секвестрэктомия.
Для купирования приступа мигрени используются НПВП, в тяжелых случаях - препараты из группы триптанов. При повторной рвоте применяют противорвотные средства. Для профилактики пароксизмов проводится длительное лечение антидепрессантами и противосудорожными средствами. При опоясывающем герпесе проводится противовирусная терапия ацикловиром. Психические расстройства корректируются с помощью психотерапии, иногда в сочетании с психотропными препаратами.
Антибиотики показаны при ранах, открытых переломах, остеомиелите челюсти. Сначала используются антибактериальные препараты широкого спектра действия, в дальнейшем медикамент заменяется с учетом антибиотикочувствительности возбудителя. Больным злокачественной анемией необходимо пожизненное лечение препаратами В12, устранение состояний, приведших к развитию авитаминоза.
Хирургическая тактика определяется причиной появления симптома. Используются следующие приемы:
• Невралгия. Микрохирургическая декомпрессия, чрескожная радиочастотная деструкция, стереотаксическая радиохирургия.
• Церебральная патология. Удаление опухолей головного мозга, удаление аневризм.
• Травмы. Ушивание ран в области верхней челюсти, остеосинтез нижней челюсти.
• Остеомиелит челюсти. Секвестрэктомия.
|
