Продолжая работу с сайтом, вы разрешаете использование сookies и соглашаетесь с политикой конфиденциальности.
.,о.,р..и.:г,.и.,н.;н.,а;,л.. .,н.:а,.х.,о.,д.;и.,т..с.:я,, ..н.;а., .,k;,i..b.:e,;r.,i.,s.,.;.r.:u,

B26 Эпидемический паротит

ДобавьАналогиСравни
Используемые препараты: ... скрыть
 
Фарм. гр. Вещество Препараты
Инозин пранобекс

Дерево МКБ-10 диагнозов

  1. Описание
  2. Клиническая картина
  3. Диагностика
  4. Лечение
  5. Связанные заболевания
  6. Связанные стандарты мед. помощи
  7. Основные медицинские услуги
  8. Клиники для лечения

Другие названия и синонимы

B26 Mumps, B26.
B26 Эпидемический паротит

Описание

 Эпидемический паротит или свинка - легкое вирусное заболевание, проявляющееся в виде опухания слюнных желез с одной или обеих сторон нижней челюсти.
 Болеют в основном непривитые дети школьного возраста и молодые люди. Пол, генетика, образ жизни значения не имеют. Вирус паротита приникает в слюну больных людей, поэтому может распространяться воздушно-капельным путем через кашель и чихание.

Клиническая картина

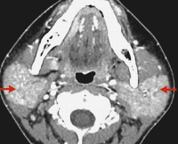
 Вирус вызывает опухание одной или обеих околоушных слюнных желез, которые расположены ниже и перед слуховым проходом. При поражении обеих желез ребенок приобретает характерный вид хомяка. У мальчиков-подростков и юношей (примерно у 1 из 4) этот вирус может вызвать болезненное воспаление одного или обоих яичек, в редких случаях следствием болезни может быть бесплодие.
 Примерно у половины всех инфицированных людей свинка протекает без симптомов, а у большинства остальных симптомы проявляются в легкой форме. Основные симптомы свинки появляются через 2-3 недели после заражения и заключаются в следующем:
 • болезненность и припухлость с одной или обеих сторон лица, под и перед ушами в течение как минимум 3 дней;
 • боль при глотании.
 У ребенка могут начаться боли в горле и повыситься температура, а также станут болезненными слюнные железы под нижней челюстью. Больной свинкой становится заразным уже за 7 дней до появления симптомов и остается таковым еще 10 дней после исчезновения симптомов.
B26 Эпидемический паротит

Диагностика

 Врач диагностирует болезнь по характерному опуханию околоушных слюнных желез. Специального лечения нет, но для снятия дискомфорта нужно пить много прохладной жидкости и принимать анальгетики, отпускаемые без рецепта, такие как парацетамол.

Лечение

 Большинство заболевших выздоравливают без лечения, хотя подросткам и юношам с тяжелым воспалением яичек назначают сильные анальгетики. При развитии осложнений рекомендуется специальное лечение.
 Маленьких детей иммунизируют сразу против кори, эпидемического паротита и краснухи, первый раз в 12-15 месяцев, а затем - в 4-6 лет.

Связанные заболевания

Связанные стандарты мед. помощи

42a96bb5c8a2acfb07fc866444b97bf1
Доступно только при использовании PRO аккаунта
Модератор контента: Васин А.С.


  1. Киберис НЕ является интернет-магазином и НЕ осуществляет закупку, хранение, продажу и доставку препаратов. Ресурс выступает лишь в роли посредника между вами и производителем препаратов или аптечными пунктами, которые и осуществляют поставку.
  2. На Киберис размещены описания препаратов, часть из которых предназначена только для врачей. Данная информация не может быть использована пациентами для принятия решения об использовании препаратов, их отмене или коррекции дозировок.
  3. Ничто в представленной информации не должно быть истолковано как призыв использовать данные препараты.
  4. К Киберис не могут быть обращены претензии по поводу любого ущерба или вреда, понесенного в результате использования размещенной на сайте информации.