Другие названия и синонимы
C41.9 Malignant neoplasm, bone and articular cartilage, unspecified, C41.9.
Описание
Первичный рак костей - рак, начинающийся в кости . Чаще поражает детей и подростков. Нередко передается по наследству. Пол, образ жизни значения не имеют.
Это редкое заболевание. Причина не известна, но часто прослеживается роль генетических факторов. Чаще всего опухоль появляется в костях ног, выше или ниже колена.
Симптомы.
Первый симптом - болезненное опухание пораженной области. Если затронуты кости ног, больному будет больно и стоять, и отдыхать, а ночью состояние может ухудшиться. Кроме того, больная кость легко ломается.
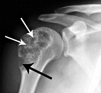
Диагностика.
Для подтверждения диагноза делают рентгеновские снимки, магнитно-резонансную или компьютерную томографию, а чтобы убедиться в отсутствии метастазов - флюорографию или радиоизотопное сканирование.
Лечение.
Размер опухоли снижает лучевая терапия. Но полностью удалить ее можно только хирургическим путем. Иссеченную кость заменяют искусственной, либо взятой из другой части тела или от донора.
После операции для разрушения оставшихся раковых клеток применяют лучевую терапию или химиотерапию. Ампутация конечности требуется в очень редких случаях. У большинства людей, вылеченных от первичного рака костей, рецидивы почти не возникают - ни в первые 5 лет, ни позже.
Это редкое заболевание. Причина не известна, но часто прослеживается роль генетических факторов. Чаще всего опухоль появляется в костях ног, выше или ниже колена.
Симптомы.
Первый симптом - болезненное опухание пораженной области. Если затронуты кости ног, больному будет больно и стоять, и отдыхать, а ночью состояние может ухудшиться. Кроме того, больная кость легко ломается.
Диагностика.
Для подтверждения диагноза делают рентгеновские снимки, магнитно-резонансную или компьютерную томографию, а чтобы убедиться в отсутствии метастазов - флюорографию или радиоизотопное сканирование.
Лечение.
Размер опухоли снижает лучевая терапия. Но полностью удалить ее можно только хирургическим путем. Иссеченную кость заменяют искусственной, либо взятой из другой части тела или от донора.
После операции для разрушения оставшихся раковых клеток применяют лучевую терапию или химиотерапию. Ампутация конечности требуется в очень редких случаях. У большинства людей, вылеченных от первичного рака костей, рецидивы почти не возникают - ни в первые 5 лет, ни позже.
|
|
Связанные заболевания
Связанные клинические рекомендации
Связанные стандарты мед. помощи
- Стандарт медицинской помощи больным злокачественными новообразованиями костей, суставов и суставных хрящей конечностей, других и неуточненных локализаций (при оказании специализированной помощи)
- Стандарт специализированной медицинской помощи при злокачественных новообразованиях костей II-IV стадии (неоадьювантная, адьювантная, самостоятельная химиотерапия)
- Стандарт медицинской помощи больным со злокачественным новообразованием костей, суставов и суставных хрящей конечностей, других и неуточненных локализаций
- Стандарт первичной медико-санитарной помощи при злокачественных новообразованиях костей и суставных хрящей I-IV стадии (обследование в целях установления диагноза заболевания и подготовки к противоопухолевому лечению)
- Стандарт первичной медико-санитарной помощи при злокачественных новообразованиях костей и суставных хрящей I-IV стадии (обследование при проведении диспансерного наблюдения)