Другие названия и синонимы
Non-compact myocardium of the left ventricle, Губчатая кардиомиопатия, Губчатый миокард.
МКБ-10 коды
- МКБ-10
- I42.8 Другие кардиомиопатии
|
|
Описание
Миокард левого желудочка не компактен. Тип кардиомиопатии, характеризующийся гипертрофией мышечных волокон указанного места, ее избыточной трабекулярностью и образованием глубоких межтрабулярных пространств. Больные жалуются на одышку, быструю утомляемость, нарушения ритма, головную боль, отечность ног. Диагноз основывается на инструментальных методах: Эко-КГ, ЭКГ, МРТ, ПЭТ-КТ. Тактика лечения зависит от тяжести состояния, включает в себя медицинские и хирургические методы, предназначенные для коррекции сердечной недостаточности, избежания опасных аритмических и тромбоэмболических осложнений.
Дополнительные факты
Некомпактный или губчатый миокард левого желудочка (LVM) - это диагноз, который был сравнительно недавно введен в клиническую практику в связи с улучшением методов исследования сердца. Это редкое заболевание, оно наблюдается примерно у 0,015% взрослых, в 18% случаев оно наследственное. Эксперты отмечают, что реальные цифры могут значительно превышать официальные данные из-за выраженной недостаточной диагностики сердечно-сосудистых патологий. Аномалия строения чаще диагностируется у мужчин - 56-82%. У детей до 10% выявляемых заболеваний миокарда занимает третье место по частоте после гипертрофической и дилатационной кардиомиопатии. У пациентов в возрасте до 18 лет около половины наблюдений связаны с генетическим дефектом.
Причины
Причинные факторы патологии остаются плохо изученными, но существуют определенные закономерности, свидетельствующие о ее наследственной природе. Например, аномалия в структуре сердечной мышцы часто встречается у представителей нескольких поколений одной семьи, у мужчин и женщин всех возрастов. Есть сообщения о случаях, которые не соответствуют этой концепции. Учитывая это, были разработаны две теории развития некомпактного миокарда левого желудочка:
Заболевание наследственное, передача происходит двумя путями: с аутосомами или с половой Х-хромосомой (около 40% случаев). Лаборатория не смогла определить местонахождение поврежденного гена, но можно определить общие закономерности - мутация влияет на нормальный биосинтез белков, ответственных за построение внутреннего клеточного скелета (бета-миозин, сердечный альфа-актин, тропонин-Т).
Образование некомпактного миокарда становится патологической реакцией на вредные факторы. Эта гипотеза подтверждается фактами выявления заболевания у взрослых пациентов с ранее неизмененной сердечной мышцей. Подобные случаи были обнаружены у молодых спортсменов и беременных женщин, что указывает на увеличение нагрузки на сердечные структуры в качестве основной причины повышенной трабекулярности, возможно, на фоне существующей наследственной предрасположенности.
Заболевание наследственное, передача происходит двумя путями: с аутосомами или с половой Х-хромосомой (около 40% случаев). Лаборатория не смогла определить местонахождение поврежденного гена, но можно определить общие закономерности - мутация влияет на нормальный биосинтез белков, ответственных за построение внутреннего клеточного скелета (бета-миозин, сердечный альфа-актин, тропонин-Т).
Образование некомпактного миокарда становится патологической реакцией на вредные факторы. Эта гипотеза подтверждается фактами выявления заболевания у взрослых пациентов с ранее неизмененной сердечной мышцей. Подобные случаи были обнаружены у молодых спортсменов и беременных женщин, что указывает на увеличение нагрузки на сердечные структуры в качестве основной причины повышенной трабекулярности, возможно, на фоне существующей наследственной предрасположенности.
Патогенез
В механизме развития заболевания основную роль играют три основных компонента: недостаточная функция сердца, нарушения ритма и повышенный риск тромбоэмболии. Некомпактный миокард представляет собой слой кардиомиоцитов с нарушенной структурной организацией, что не позволяет ему сокращаться так же эффективно, как здоровые участки сердечной мышцы. Чем больше ненормальных мышечных волокон - тем более выражены признаки сердечной недостаточности. Патологическая архитектоника тканей создает условия для нарушения микроциркуляции крови и ишемии левого желудочка. Снижение функциональной активности органа может быть либо систолическим, либо диастолическим, ограничительным образом, что связано с повышенной трабекулярностью.
Нарушения сердечного ритма провоцируются анатомической неоднородностью миокарда - некомпактный рыхлый слой заменяется слоем с более плотной структурой. Это отрицательно влияет на распространение электрического импульса вдоль мышечных волокон и может привести к развитию желудочковых аритмий. На фоне снижения насосной функции сердца наличие обширных полостей между дополнительными трабекул, нерегулярные сокращения создают предпосылки для изменения реологических свойств крови и тромбоза.
Нарушения сердечного ритма провоцируются анатомической неоднородностью миокарда - некомпактный рыхлый слой заменяется слоем с более плотной структурой. Это отрицательно влияет на распространение электрического импульса вдоль мышечных волокон и может привести к развитию желудочковых аритмий. На фоне снижения насосной функции сердца наличие обширных полостей между дополнительными трабекул, нерегулярные сокращения создают предпосылки для изменения реологических свойств крови и тромбоза.
Классификация
Некомпактный миокард определяется как основная структурно-функциональная патология сердечной мышцы, которая развивается при отсутствии заболеваний, которые могут вызвать нарушения структуры ткани: высокое кровяное давление, дисфункция коронарных сосудов и клапанной системы. Локализованная аномалия в левом желудочке систематизируется по наличию или отсутствию сопутствующих изменений в структуре сердца:
• Изолированная форма. Губчатый миокард является единственной структурной патологией сердца в виде массивных трабекулярных образований. Из-за плохой клинической картины и низкой вероятности осложнений, это вообще не диагностировано.
Некомпактный слой сердечной мышцы связан с врожденными пороками сердца (предсердная, межжелудочковая перегородка, врожденный легочный стеноз) или с нервно-мышечными заболеваниями (метаболическая миопатия, мышечная дистрофия Беккера, Эмери-Дрейфус). Патологии не являются причиной повышенной трабекулярности, что часто встречается в процессе диагностики основного заболевания.
• Изолированная форма. Губчатый миокард является единственной структурной патологией сердца в виде массивных трабекулярных образований. Из-за плохой клинической картины и низкой вероятности осложнений, это вообще не диагностировано.
Некомпактный слой сердечной мышцы связан с врожденными пороками сердца (предсердная, межжелудочковая перегородка, врожденный легочный стеноз) или с нервно-мышечными заболеваниями (метаболическая миопатия, мышечная дистрофия Беккера, Эмери-Дрейфус). Патологии не являются причиной повышенной трабекулярности, что часто встречается в процессе диагностики основного заболевания.
Клиническая картина
Заболевание имеет чрезвычайно разнообразную клиническую картину, тяжесть которой во многом зависит от степени гипертрофического процесса. Симптомы обычно возникают у детей и подростков, но проявление также возможно во взрослом возрасте. Пациенты отмечают обострение симптомов сердечной недостаточности, особенно появление одышки. Повышенное дыхание сначала выявляется при активной физической активности, а затем - при низкой нагрузке, на заключительных этапах - в покое. Застой в легочных сосудах вызывает затруднение дыхания в положении лежа, ночные приступы кашля, иногда с примесью крови.
При тяжелом гипотиреозе могут наблюдаться отеки и цианоз нижних конечностей. Многие пациенты проявляют слабость, усталость, спутанность сознания, нарушения сна, снижение диуреза, особенно в течение дня. Развитие аритмии добавляет к клинической картине ощущение сердцебиения, нарушения работы органов, тахикардию или сильную брадикардию, боль за грудиной, головокружение, а иногда и потерю сознания. Не очень компактная сердечная мышца часто сочетается с нервно-мышечными патологиями, что проявляется в снижении тонуса скелетных мышц, нарушении походки и постепенной потере физических способностей (ходьба, способность сидеть, держать голову).
Ассоциированные симптомы: Головная боль. Кашель. Одышка. Отеки ног.
При тяжелом гипотиреозе могут наблюдаться отеки и цианоз нижних конечностей. Многие пациенты проявляют слабость, усталость, спутанность сознания, нарушения сна, снижение диуреза, особенно в течение дня. Развитие аритмии добавляет к клинической картине ощущение сердцебиения, нарушения работы органов, тахикардию или сильную брадикардию, боль за грудиной, головокружение, а иногда и потерю сознания. Не очень компактная сердечная мышца часто сочетается с нервно-мышечными патологиями, что проявляется в снижении тонуса скелетных мышц, нарушении походки и постепенной потере физических способностей (ходьба, способность сидеть, держать голову).
Ассоциированные симптомы: Головная боль. Кашель. Одышка. Отеки ног.
Возможные осложнения
NMLV может привести к развитию угрожающих жизни состояний, природа которых тесно связана с тремя основными компонентами патогенеза аномалии. Сердечная недостаточность может вызывать тяжелые клинические синдромы: отек легких, кардиогенный шок, острая почечная недостаточность. Прогрессивная пролиферация трабекул в полости левого желудочка иногда вызывает внезапную сердечную смерть из-за критического нарушения функции проводящей системы и развития фибрилляции желудочков. Тромбоэмболические осложнения являются основными причинами инвалидности у пациентов с несовершенным миокардом, способствуя ишемическому инсульту, коронарному приступу, тромбозу брыжеечной артерии и заболеванию почек.
Диагностика
Симптомы некомпактного миокарда довольно неспецифичны, поэтому инструментальные методы стоят первыми в выявлении патологии. При первичном посещении кардиолог или терапевт могут заподозрить аномальную сердечную структуру по комбинации признаков сердечной недостаточности и аритмического синдрома. Специалист уточняет семейную историю, чтобы выявить возможную наследственную предрасположенность. Из дополнительных методов обследования используются:
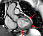
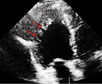
• Ультразвуковое исследование (Эхо-КГ). Это основной способ визуализации нефизиологической структуры мышечного слоя левого желудочка. На патологию указывает утолщение стенки камеры из-за массивных трабекул, выступающих в полость с объемными межтрабулярными пространствами, особенно в области вершины и боковой стенки. Толщина некомпактной части в два раза выше нормальной, так как при использовании допплеровского картирования в желудочке обнаруживаются турбулентные кровотоки. Дополнительно указывается тип заболевания - при изолированной форме другие аномалии в структуре органа не видны.
• магнитно-резонансная томография. Использование этого метода в дополнение к Echo-KG позволяет проводить более полную дифференциальную диагностику, чтобы устранить ошибку, особенно в тех случаях, когда верхушку сердца трудно визуализировать. Использование контрастного вещества помогает повысить разрешающую способность исследования и более точно определить внутреннюю структуру левого желудочка, а также диагностировать некомпактный слой на ранних стадиях.
• Позитронно-эмиссионная томография. Это позволяет оценить объем регионарного кровотока в измененных участках сердечной мышцы, создать коронарный резерв в областях с гипокинезией, сравнить перфузию и активность метаболических процессов в нормальных и патологических зонах. Методика используется для выяснения эффективности лечебных мероприятий.
• Электрокардиография. С помощью ЭКГ определяются частота и характер сердечных сокращений, экстрасистолия, аритмия, тип нарушения внутрисердечной проводимости, органические повреждения исключены. Иногда метод дополняется эргометрией велосипеда для оценки резервной емкости миокарда и уточнения степени сердечной недостаточности или холтеровского мониторирования для выявления редких нарушений ритма.
• Электрофизиологическое исследование. Использование этого инвазивного метода диагностики необходимо при тяжелых аритмиях для корректировки тактики лечения. Полученные данные помогают решить проблему необходимости устанавливать кардиостимулятор или (с риском развития угрожающей жизни фибрилляции желудочков) кардиовертер-дефибриллятор.
Дифференциальный диагноз проводится с опухолями сердца, другими видами кардиомиопатий, дополнительными связками, трабекул, ишемической болезнью сердца, амилоидозом, инфарктом миокарда, кардиогенным шоком, кардиогенным дистресс-синдромом. В качестве причин развития одышки необходимо исключить хронические обструктивные заболевания легких (ХОБЛ, астма, эмфизема легких), пневмонию.
• Ультразвуковое исследование (Эхо-КГ). Это основной способ визуализации нефизиологической структуры мышечного слоя левого желудочка. На патологию указывает утолщение стенки камеры из-за массивных трабекул, выступающих в полость с объемными межтрабулярными пространствами, особенно в области вершины и боковой стенки. Толщина некомпактной части в два раза выше нормальной, так как при использовании допплеровского картирования в желудочке обнаруживаются турбулентные кровотоки. Дополнительно указывается тип заболевания - при изолированной форме другие аномалии в структуре органа не видны.
• магнитно-резонансная томография. Использование этого метода в дополнение к Echo-KG позволяет проводить более полную дифференциальную диагностику, чтобы устранить ошибку, особенно в тех случаях, когда верхушку сердца трудно визуализировать. Использование контрастного вещества помогает повысить разрешающую способность исследования и более точно определить внутреннюю структуру левого желудочка, а также диагностировать некомпактный слой на ранних стадиях.
• Позитронно-эмиссионная томография. Это позволяет оценить объем регионарного кровотока в измененных участках сердечной мышцы, создать коронарный резерв в областях с гипокинезией, сравнить перфузию и активность метаболических процессов в нормальных и патологических зонах. Методика используется для выяснения эффективности лечебных мероприятий.
• Электрокардиография. С помощью ЭКГ определяются частота и характер сердечных сокращений, экстрасистолия, аритмия, тип нарушения внутрисердечной проводимости, органические повреждения исключены. Иногда метод дополняется эргометрией велосипеда для оценки резервной емкости миокарда и уточнения степени сердечной недостаточности или холтеровского мониторирования для выявления редких нарушений ритма.
• Электрофизиологическое исследование. Использование этого инвазивного метода диагностики необходимо при тяжелых аритмиях для корректировки тактики лечения. Полученные данные помогают решить проблему необходимости устанавливать кардиостимулятор или (с риском развития угрожающей жизни фибрилляции желудочков) кардиовертер-дефибриллятор.
Дифференциальный диагноз проводится с опухолями сердца, другими видами кардиомиопатий, дополнительными связками, трабекул, ишемической болезнью сердца, амилоидозом, инфарктом миокарда, кардиогенным шоком, кардиогенным дистресс-синдромом. В качестве причин развития одышки необходимо исключить хронические обструктивные заболевания легких (ХОБЛ, астма, эмфизема легких), пневмонию.
|
|
Лечение
При отсутствии симптомов, нарушениях ритма, снижении фракции выброса левого желудочка специализированная терапия не показана. Необходимо проверить состояние в динамике, анализы назначены кардиологом не реже 1 раза в 6 месяцев. При тяжелых проявлениях патологии необходима коррекция состояния, профилактика опасных осложнений. Существует два основных направления лечения некомпактного миокарда левого желудочка:
• Медикаментозная терапия. Употребление наркотиков оправдано при легких и умеренных заболеваниях. Для улучшения функции миокарда, увеличения объема инсульта левого желудочка используются ингибиторы АПФ, бета-блокаторы, антагонисты альдостерона. Серьезные нарушения ритма, особенно желудочковая локализация, требуют применения антиаритмических препаратов: антагонистов кальция, натриевых, калиевых каналов. Профилактика тромбоэмболии заключается в назначении антикоагулянтов, антиагрегантов.
• Хирургическое лечение. Инвазивные методы рекомендуются для тяжелого некомпактного миокарда с тяжелой сердечной недостаточностью и опасными для жизни аритмиями. Прямая резекция губчатого слоя является перспективным направлением, которое в настоящее время практически никогда не используется в клинической практике. Как правило, кардиовертер-дефибриллятор или искусственный кардиостимулятор имплантируют в случае серьезных повреждений системы наведения сердца. При трехкратном преобладании патологического слоя кардиомиоцитов на фоне последних стадий сердечной недостаточности рассматривается возможность пересадки сердца.
• Медикаментозная терапия. Употребление наркотиков оправдано при легких и умеренных заболеваниях. Для улучшения функции миокарда, увеличения объема инсульта левого желудочка используются ингибиторы АПФ, бета-блокаторы, антагонисты альдостерона. Серьезные нарушения ритма, особенно желудочковая локализация, требуют применения антиаритмических препаратов: антагонистов кальция, натриевых, калиевых каналов. Профилактика тромбоэмболии заключается в назначении антикоагулянтов, антиагрегантов.
• Хирургическое лечение. Инвазивные методы рекомендуются для тяжелого некомпактного миокарда с тяжелой сердечной недостаточностью и опасными для жизни аритмиями. Прямая резекция губчатого слоя является перспективным направлением, которое в настоящее время практически никогда не используется в клинической практике. Как правило, кардиовертер-дефибриллятор или искусственный кардиостимулятор имплантируют в случае серьезных повреждений системы наведения сердца. При трехкратном преобладании патологического слоя кардиомиоцитов на фоне последних стадий сердечной недостаточности рассматривается возможность пересадки сердца.
Список литературы
1. Кардиология. Национальное руководство/ под ред. Беленкова Ю.Н., Оганова Р.Г. 2017.
2. Некомпактный миокард левого желудочка/ Голухова Е.З., Шомахов Р.А. Креативная кардиология - 2013 - №1.
3. Некомпактный миокард левого желудочка: симптом, синдром или вариант развития/ Поляк М.Е., Мершина Е.А., Заклязьминская Е.В. Российский кардиологический журнал - 2017 - №2.
4. Некомпактный миокард левого желудочка/ Ушаков А.В., Горянская И.Я., Драненко Н.Ю. Крымский терапевтический журнал - 2011 - №2.
2. Некомпактный миокард левого желудочка/ Голухова Е.З., Шомахов Р.А. Креативная кардиология - 2013 - №1.
3. Некомпактный миокард левого желудочка: симптом, синдром или вариант развития/ Поляк М.Е., Мершина Е.А., Заклязьминская Е.В. Российский кардиологический журнал - 2017 - №2.
4. Некомпактный миокард левого желудочка/ Ушаков А.В., Горянская И.Я., Драненко Н.Ю. Крымский терапевтический журнал - 2011 - №2.