Другие названия и синонимы
Double aortic arch, Сосудистое кольцо аорты.
МКБ-10 коды
|
|
Описание
Это врожденная аномалия развития, при которой образуется полное сосудистое кольцо, состоящее из правой и левой дуг аорты. Патологическое состояние проявляется в основном в раннем детстве. Типичные симптомы: шумное дыхание с периодами апноэ, отрыжка и отказ от питания, частые инфекционные заболевания дыхательных путей. Для диагностики двойной дуги аорты используются инструментальные исследования - ангиография по методике TCMS, эхокардиография, бронхоскопия. В случае сосудистой аномалии применяется радикальное хирургическое лечение - резекция дуги и пластического участка аорты.
Дополнительные факты
Двойная дуга аорты (DDA) относится к группе патологий, называемых «сосудистые кольца и петли», частота которых составляет приблизительно 1% от всех врожденных сердечно-сосудистых нарушений. DDA занимает первое место среди всех пороков развития сосудов - доля заболевания составляет 42%. В 20-30% случаев двойная дуга аорты сочетается с другими пороками развития - тетралогией Фалло, открытым артериальным протоком (OAI). Не было статистически значимых различий по полу или расе пациентов.
Причины
Двойная дуга аорты является дефектом эмбриогенеза; его формирование связано с действием различных тератогенных факторов на материнский организм. Иногда дефект формируется как проявление хромосомной болезни. Причины, действующие в течение первого триместра беременности (особенно с 3-й до 8-й недели жизни плода), приводят к образованию аномальной сосудистой дуги. Следующие факторы способствуют развитию DDA у ребенка:
• Физические воздействия. Наиболее важным излучением для сердечно-сосудистых дефектов является излучение, особенно при длительном воздействии на организм беременной женщины. В группу риска входят беременные женщины, проживающие в районах, где уровень радиации выше.
• Химические вещества. Чаще всего побочный эффект обусловлен употреблением алкоголя, курением, употреблением токсичных или наркотических веществ. Формирование двойной дуги возможно, когда мать принимает тератогенные препараты (эстрогены, ретиноиды, химиотерапевтические препараты) во время беременности.
• Биологические агенты. Аномалии сердечно-сосудистой системы ребенка возникают при заражении возбудителями комплекса TORCH (краснуха, цитомегаловирус, токсоплазмоз ;). Вред для плода возможен, даже если у беременной женщины нет клинических проявлений заболевания.
• Физические воздействия. Наиболее важным излучением для сердечно-сосудистых дефектов является излучение, особенно при длительном воздействии на организм беременной женщины. В группу риска входят беременные женщины, проживающие в районах, где уровень радиации выше.
• Химические вещества. Чаще всего побочный эффект обусловлен употреблением алкоголя, курением, употреблением токсичных или наркотических веществ. Формирование двойной дуги возможно, когда мать принимает тератогенные препараты (эстрогены, ретиноиды, химиотерапевтические препараты) во время беременности.
• Биологические агенты. Аномалии сердечно-сосудистой системы ребенка возникают при заражении возбудителями комплекса TORCH (краснуха, цитомегаловирус, токсоплазмоз ;). Вред для плода возможен, даже если у беременной женщины нет клинических проявлений заболевания.
Патогенез
Формирование дефекта аорты происходит через 4-5 недель эмбриогенеза. В центре двойной сосудистой аномалии находятся нарушения развития и дифференцировки дуг жабер - хрящевых бляшек, которые служат источником формирования подъязычной кости, гортани и трахеи, кровеносных сосудов. Артерии, расположенные в грудной полости, образованы жабрами арок IV, V и VI. При патологиях эмбриогенеза образуется аномальное аортальное кольцо, сжимающее трахею с пищеводом.
Классификация
Согласно морфофункциональному принципу, DDA делится на 3 варианта: доминантная правая дуга (в 70% случаев), доминантная левая арка (20%) и сбалансированная форма, когда обе сосудистые ветви развиты одинаково. Существует еще одна классификация сосудистых аномалий, основанная на функциональных способностях дуг аорты. Согласно этому принципу в современной кардиологии существует несколько типов и подтипов дефектов:
Хорошее функционирование обеих дуг аорты характерно; гемодинамика остается нормальной в течение длительного времени.
Хорошо функционирует одна из дуг аорты (чаще правая), а вторая подвергается атрезии (чрезмерному росту) в определенной области.
Сайт атрези расположен между артериальной связкой и нисходящей аортой.
Атрезия в промежутке от подключичной артерии до артериальной связки.
Атрезия узла двойной дуги аорты, расположенной между общей сонной и подключичной артериями.
Атрезия локализуется между восходящей аортой и общей сонной артерией.
Хорошее функционирование обеих дуг аорты характерно; гемодинамика остается нормальной в течение длительного времени.
Хорошо функционирует одна из дуг аорты (чаще правая), а вторая подвергается атрезии (чрезмерному росту) в определенной области.
Сайт атрези расположен между артериальной связкой и нисходящей аортой.
Атрезия в промежутке от подключичной артерии до артериальной связки.
Атрезия узла двойной дуги аорты, расположенной между общей сонной и подключичной артериями.
Атрезия локализуется между восходящей аортой и общей сонной артерией.
Клиническая картина
Клинические проявления двойной дуги обусловлены нарушением вентиляции воздуха через трахею и нарушением прохождения пищи через пищевод. В большинстве случаев первые симптомы нарушения появляются сразу после рождения ребенка или в раннем детстве. Начальными признаками двойной дуги аорты являются шумное и учащенное дыхание, эпизоды рефлекторного апноэ. Частая регургитация наблюдается у младенцев. Во время кормления наблюдается цианоз кожи вокруг губ.
Детям в возрасте от 1 года и старше трудно глотать твердую пищу, отказываясь от еды. Периодически возникают приступы кашля, связанные с периоральным цианозом. Одышка беспокоит как при физической нагрузке, так и в состоянии покоя. Для пациентов с двойной дугой аорты характерны частые респираторные заболевания (трахеит, бронхит), которые имеют длительное течение и их трудно прекратить приемом лекарств.
В редких случаях аномалия появляется у детей старшего возраста, подростков или взрослых. Пациенты испытывают препятствия при глотании твердой пищи, ощущение пищи, «застрявшей» в пищеводе. После еды часто ощущаются боли в груди и боли, иногда можно вызвать рвоту неизмененной пищей. Дыхание становится шумным, хрипы, кажется, слышны на расстоянии. Характеризуется пароксизмальной одышкой, хуже при небольших физических усилиях.
Детям в возрасте от 1 года и старше трудно глотать твердую пищу, отказываясь от еды. Периодически возникают приступы кашля, связанные с периоральным цианозом. Одышка беспокоит как при физической нагрузке, так и в состоянии покоя. Для пациентов с двойной дугой аорты характерны частые респираторные заболевания (трахеит, бронхит), которые имеют длительное течение и их трудно прекратить приемом лекарств.
В редких случаях аномалия появляется у детей старшего возраста, подростков или взрослых. Пациенты испытывают препятствия при глотании твердой пищи, ощущение пищи, «застрявшей» в пищеводе. После еды часто ощущаются боли в груди и боли, иногда можно вызвать рвоту неизмененной пищей. Дыхание становится шумным, хрипы, кажется, слышны на расстоянии. Характеризуется пароксизмальной одышкой, хуже при небольших физических усилиях.
Возможные осложнения
При двойной дуге аорты дыхательная, сердечно-сосудистая и пищеварительная системы нарушены. Сжатие трахеи и бронхов вызывает хроническое воспаление слизистой оболочки, сопровождающееся кашлем и выделением мокроты. При длительном персистировании бронхита возникает необратимый фиброз стенок дыхательных путей. Из-за снижения проходимости пищевода дети медленно набирают вес, отставая в физическом развитии.
Патологическое сосудистое кольцо нарушает гемодинамику в крупных артериях и венах. Наблюдается утолщение стенки аорты, увеличивается ее жесткость, что создает благоприятные условия для раннего возникновения артериальной гипертонии. Аневризмы, которые могут самопроизвольно разрываться, часто образуются в области незрелых стенок двойной сосудистой дуги. Иногда внезапная смерть наступает от острых кардиологических или легочных осложнений.
Патологическое сосудистое кольцо нарушает гемодинамику в крупных артериях и венах. Наблюдается утолщение стенки аорты, увеличивается ее жесткость, что создает благоприятные условия для раннего возникновения артериальной гипертонии. Аневризмы, которые могут самопроизвольно разрываться, часто образуются в области незрелых стенок двойной сосудистой дуги. Иногда внезапная смерть наступает от острых кардиологических или легочных осложнений.
Диагностика
DDA характеризуется сходством клинических симптомов с бронхолегочными и пищеводными заболеваниями, что требует дифференциальной диагностики от врача. В зависимости от возраста к обследованию пациента привлекается неонатолог, педиатр или кардиолог. При физикальном осмотре слышны учащенное дыхание, хрипы в легких, ненормальные шумы в сердце. Для диагностики применяются инструментальные методы диагностики:
Мультиспиральная компьютерная ангиография аорты и магистральных сосудов рекомендуется для получения трехмерного изображения, на котором отчетливо видна двойная сосудистая дуга. Используя МСКТ, диаметр аорты измеряется на разных уровнях, и определяются области атрезии.
УЗИ сердца проводится для исключения сопутствующих пороков сердца и оценки кровотока. При двойной дуге нет признаков органической патологии сердца. При длительном существовании аномалии наблюдается снижение сердечного выброса, дискоординация сократительной способности миокарда.
Инвазивное эндоскопическое исследование органов дыхания выявляет щелевое сужение трахеи в месте бифуркации, а также признаки хронического воспалительного процесса в бронхах. Используется для дифференциации DDA при бронхолегочных заболеваниях.
• Дополнительные методы. Электрокардиограмма записывается для оценки функционирования проводящей системы сердца, для диагностики аритмий или блокады Его пучка. На рентгенографии ОГК показаны расширенные и неструктурные корни легких, поля повышенной пневматизации ткани легкого.
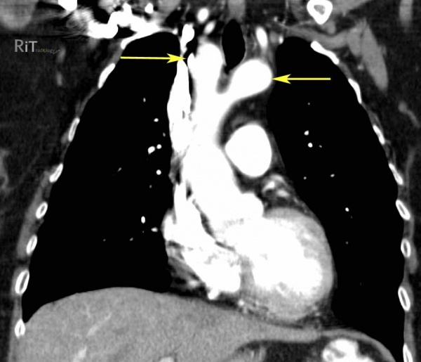
КТ сердца. Двойная дуга аорты. Стрелки указывают на правую и левую дуги аорты примерно одинакового размера.
Мультиспиральная компьютерная ангиография аорты и магистральных сосудов рекомендуется для получения трехмерного изображения, на котором отчетливо видна двойная сосудистая дуга. Используя МСКТ, диаметр аорты измеряется на разных уровнях, и определяются области атрезии.
УЗИ сердца проводится для исключения сопутствующих пороков сердца и оценки кровотока. При двойной дуге нет признаков органической патологии сердца. При длительном существовании аномалии наблюдается снижение сердечного выброса, дискоординация сократительной способности миокарда.
Инвазивное эндоскопическое исследование органов дыхания выявляет щелевое сужение трахеи в месте бифуркации, а также признаки хронического воспалительного процесса в бронхах. Используется для дифференциации DDA при бронхолегочных заболеваниях.
• Дополнительные методы. Электрокардиограмма записывается для оценки функционирования проводящей системы сердца, для диагностики аритмий или блокады Его пучка. На рентгенографии ОГК показаны расширенные и неструктурные корни легких, поля повышенной пневматизации ткани легкого.
КТ сердца. Двойная дуга аорты. Стрелки указывают на правую и левую дуги аорты примерно одинакового размера.
|
|
Лечение
Медикаментозное лечение ДДА показано для коррекции жизненно важных функций на этапе предоперационной подготовки. Если определяется сложное течение двойной дуги аорты, назначают патогенетическую терапию - антибиотики, глюкокортикоиды, бронходилататоры. В случае серьезных респираторных проблем пациент должен быть переведен в отделение интенсивной терапии, обеспечив кислородную поддержку.
Хирургия - единственный способ радикального лечения двойной дуги аорты. Операция планируется как можно скорее после обнаружения DDA, пока не произойдут необратимые изменения в трахее или пищеводе. Кардиохирургия включает резекцию дуги аорты (обычно левой) с последующей пластикой ее стенки. После операции гемодинамика нормализуется и компрессия соседних органов исчезает.
Хирургия - единственный способ радикального лечения двойной дуги аорты. Операция планируется как можно скорее после обнаружения DDA, пока не произойдут необратимые изменения в трахее или пищеводе. Кардиохирургия включает резекцию дуги аорты (обычно левой) с последующей пластикой ее стенки. После операции гемодинамика нормализуется и компрессия соседних органов исчезает.
Список литературы
1. Двойная дуга аорты у детей/ С.А. Котов, А.А. Свободов, В.С. Разумовский, Н.Т. Сирия// Детские болезни сердца и сосудов. 2018.
2. Двойная дуга аорты с формированием сосудистого кольца и развитием синдрома компрессии трахеи и пищевода: особенности клинической картины, диагностики и хирургической тактики/ В.С. Аракелян, Н.А. Гидаспов, П.П. Куличков, Г.Б. Тачиева, О.И. Шишкина// Грудная и сердечно-сосудистая хирургия. 2016.
3. Аномалии дуги аорты, образующие сосудистое кольцо: клиника, диагностика и методы хирургической коррекции. Автореферат диссертации/ С.Н. Беседин. 1991.
4. Врожденные сосудистые кольца/ Раад Таммо, Т.А. Ялынская, Н.В. Рокицкая, Л.В. Рокицкая, Е.Б. Ершова// Лучевая диагностика, лучевая терапия. 2010.
2. Двойная дуга аорты с формированием сосудистого кольца и развитием синдрома компрессии трахеи и пищевода: особенности клинической картины, диагностики и хирургической тактики/ В.С. Аракелян, Н.А. Гидаспов, П.П. Куличков, Г.Б. Тачиева, О.И. Шишкина// Грудная и сердечно-сосудистая хирургия. 2016.
3. Аномалии дуги аорты, образующие сосудистое кольцо: клиника, диагностика и методы хирургической коррекции. Автореферат диссертации/ С.Н. Беседин. 1991.
4. Врожденные сосудистые кольца/ Раад Таммо, Т.А. Ялынская, Н.В. Рокицкая, Л.В. Рокицкая, Е.Б. Ершова// Лучевая диагностика, лучевая терапия. 2010.