Другие названия и синонимы
Foreign body of the heart.
МКБ-10 коды
- МКБ-10
- Y61.0 Посторонний предмет, случайно оставленный в теле во время хирургического вмешательства и оказания медицинской помощи, хирургическая операция
- Y61.5 Инородный предмет, случайно оставленный в организме во время хирургического вмешательства и оказания медицинской помощи, катетеризации сердца.
|
|
Описание
Инородное тело сердца. Это патология, характеризующаяся наличием инородного тела в ткани или полости органа. Как правило, это осложнение инвазивных медицинских процедур, менее вероятное в результате механического повреждения. Посторонний предмет может вызвать перфорацию стенок органов, развитие аритмий, тромбоэмболии легочной артерии и септических осложнений. Клиническая картина включает одышку, боль в груди, нарушение функции сердца различной степени тяжести. Диагноз основывается на результатах рентгенографии, компьютерной томографии, эхокардиографии, ангиографии. Хирургическое лечение - эндоваскулярная абляция или операция с прямым доступом к сердцу.
Дополнительные факты
Инородное тело сердца редко диагностируется. В медицинской практике распространенность этого состояния составляет менее 0,3% от всех кардиологических патологий. Чаще страдают взрослые пациенты. 87% объектов имеют ятрогенную природу, попадают в орган, мигрируя с кровью. Широкое внедрение в медицинскую практику инвазивных методов диагностики и терапии, внутривенных инфузий крови и различных растворов увеличило частоту поломок или отслойки частей катетеров и систем доставки. Когда циркулирует через систему кровообращения, эти элементы достигают сердца или основных сосудов. Риск развития опасных осложнений или смерти при наличии этой патологии близок к 60%, поэтому хирургическое удаление объекта показано для всех пациентов.
Причины
Инвазивные медицинские вмешательства, которые не выполняются в соответствии со стандартами или в которых используется некачественное оборудование и материалы, считаются наиболее распространенным этиологическим фактором для посторонних предметов, попадающих в кровоток. Основными ятрогенными причинами являются:
• Использование инфузионных систем. Части катетеров, вставленных в подключичную воронку, становятся бедренными венами. В большинстве случаев это связано с незнанием или несоблюдением правил эксплуатации медицинских инструментов сотрудниками среднего звена, нарушением техники установки или удалением систем. Ситуация может осложняться нарушениями асептических и антисептических норм, что повышает риск возникновения инфекционных осложнений.
• Эндоваскулярные вмешательства. Инородными предметами являются фрагменты зондов, используемых во время ангиографии, других внутрисердечных исследований и терапевтических процедур (ангиопластика, стентирование), металлические проводники, искусственные клапаны и их фрагменты, сосудистые протезы, шовные элементы, гемостатический материал.
Механические повреждения с проникновением фрагментов в сердечно-сосудистую систему в мирное время встречаются редко. Посторонние предметы могут быть обнаружены с огнестрельными ранениями без выхода, с проникновением пули, ее фракции или ее фрагментов в сердце и крупные сосуды с ранениями в результате перфорации грудной клетки, множественная фрагментация из-за взрывов, например, бытовых газовых баллонов или мин, гранат.
• Использование инфузионных систем. Части катетеров, вставленных в подключичную воронку, становятся бедренными венами. В большинстве случаев это связано с незнанием или несоблюдением правил эксплуатации медицинских инструментов сотрудниками среднего звена, нарушением техники установки или удалением систем. Ситуация может осложняться нарушениями асептических и антисептических норм, что повышает риск возникновения инфекционных осложнений.
• Эндоваскулярные вмешательства. Инородными предметами являются фрагменты зондов, используемых во время ангиографии, других внутрисердечных исследований и терапевтических процедур (ангиопластика, стентирование), металлические проводники, искусственные клапаны и их фрагменты, сосудистые протезы, шовные элементы, гемостатический материал.
Механические повреждения с проникновением фрагментов в сердечно-сосудистую систему в мирное время встречаются редко. Посторонние предметы могут быть обнаружены с огнестрельными ранениями без выхода, с проникновением пули, ее фракции или ее фрагментов в сердце и крупные сосуды с ранениями в результате перфорации грудной клетки, множественная фрагментация из-за взрывов, например, бытовых газовых баллонов или мин, гранат.
Патогенез
Находясь в камерах сердца, инородное тело повреждает мышечный слой и сердечную клапанную систему, которая разделяет отделы органа. В результате сердечные сокращения становятся неэффективными, кровь движется в нефизиологическом направлении из-за неплотного закрытия клапанных клапанов. Повреждение элементов проводящей системы, генерирующих импульсы для обеспечения синхронной работы органа, приводит к нарушениям нормального ритма сердца, асинхронным сокращениям его клеток. В тяжелых случаях инородное тело может проникать через мышечный слой, что приводит к заполнению полости перикарда кровью и остановке сердца вследствие тампонады. Обнаружение постороннего предмета в кровотоке активирует систему свертывания крови и может вызвать тромбоэмболию.
Клиническая картина
Клиническая картина не имеет специфических проявлений, но состоит из общих кардиологических признаков, которые обусловлены механическим воздействием объекта на мышечную стенку камер или систему наведения сердца, а также осложнениями, вызванными этим эффектом. На ранних стадиях или когда размер инородного тела составляет менее 5 симптомы могут отсутствовать, что значительно затрудняет диагностику. Патология внезапно возникает, когда повреждение структур сердца может угрожать жизни пациента. Основным симптомом является боль в груди различных типов - боль, колющая боль, жжение, давление. Он имеет значительную продолжительность, он не останавливается на нитроглицерине.
Воздействие инородного тела на проводящую систему может вызвать брейди или тахикардию, вплоть до неэффективных сердечных сокращений, вызвать аритмию, ощущения «лишних» ударов. Нарушения функции органа негативно влияют на кровоснабжение тканей. Отмечается слабость, цианоз, одышка в покое и при физической нагрузке, отечность нижних конечностей. При добавлении инфекции с развитием сепсиса или септического эндокардита наблюдаются общая гипертермия, озноб и повышенное потоотделение. Нарушение аортального клапана вызывает анемию, проявляющуюся бледной кожей, иногда приобретая желтовато-серый «землистый» цвет, выраженную слабость, подкожное кровоизлияние.
Ассоциированные симптомы: Боль в грудной клетке. Боль в сердце. Лейкоцитоз. Одышка. Озноб. Потливость.
Воздействие инородного тела на проводящую систему может вызвать брейди или тахикардию, вплоть до неэффективных сердечных сокращений, вызвать аритмию, ощущения «лишних» ударов. Нарушения функции органа негативно влияют на кровоснабжение тканей. Отмечается слабость, цианоз, одышка в покое и при физической нагрузке, отечность нижних конечностей. При добавлении инфекции с развитием сепсиса или септического эндокардита наблюдаются общая гипертермия, озноб и повышенное потоотделение. Нарушение аортального клапана вызывает анемию, проявляющуюся бледной кожей, иногда приобретая желтовато-серый «землистый» цвет, выраженную слабость, подкожное кровоизлияние.
Ассоциированные симптомы: Боль в грудной клетке. Боль в сердце. Лейкоцитоз. Одышка. Озноб. Потливость.
Возможные осложнения
При отсутствии своевременной диагностики и лечения инородного тела формируются опасные для жизни состояния. Характер осложнений зависит от времени нахождения объекта в области сердца. На начальных этапах преобладают травматические повреждения с нарушением целостности клапанов и снижением их запирающей функции, перфорацией стенок с развитием гемоперикарда и возможной тампонадой. В дальнейшем преобладают инфекционные осложнения - септический эндокардит и сепсис, часто сопровождающиеся тяжелыми нарушениями ритма, массивным внутрисердечным тромбозом, тромбоэмболиями легочной артерии.
Диагностика
Из-за отсутствия специфичности на ранних стадиях симптомов обнаружение объекта наиболее распространенной нетравматической этиологии происходит случайно, обычно кардиологами или терапевтами во время профилактического приема или во время обследования другой патологии с аналогичными проявлениями. Список методов диагностики, используемых для подозрения на инородное тело в зоне сердца, включает в себя:
Врач собирает историю жизни и болезни, уточняет, была ли в анамнезе инвазивная медицинская процедура, особенно катетеризация крупных вен, протезирование клапанов сердца. Выполняет общее обследование на предмет изменения цвета кожи и развития отека, перкуссии сердца, определения размеров, конфигурации и положения органа, размера сосудистого пучка. Выполняет аускультацию в классических точках грудной клетки, чтобы оценить функционирование клапанной системы и обнаружить патологические шумы, измерить артериальное давление.
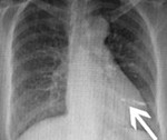
Рентгенография сердца позволяет идентифицировать рентгеноконтрастное инородное тело, уточнить его местоположение и размеры, установить количество, если имеется несколько объектов. По данным рентгенографии определяются размеры сердца, крупные сосуды, их положение, их форма, наличие патологических образований и их смещение.
• Компьютерная томография. Высокоточный метод, позволяющий получить трехмерное изображение органа, оценить структуру и структуру движущегося миокарда и обнаружить посторонние объекты с низким контрастом и без контраста. Компьютерная томография является передовым исследованием в диагностике осложнений - перикардита, тромбоэмболии артерий легких, позволяет дифференцироваться с другими патологиями сердца.
• Ангиокардиография. Методика применяется для уточнения локализации инородных тел в предсердных, межжелудочковых перегородках, клапанах, папиллярных мышцах. Процедура выполняется с использованием контрастного вещества непосредственно перед операцией, чтобы объект не успел переместиться или проникнуть глубже в мышечный слой органа.
• Лабораторные методы. Снижение уровня гемоглобина и количества эритроцитов указывает на развитие анемии. Инфекционно-воспалительный процесс соответствует увеличению скорости оседания эритроцитов (СОЭ), выраженной в виде лейкоцитоза. В биохимическом анализе крови важны уровни АЛТ, АСТ, миоглобина, тропонинов как маркеров повреждения миокарда. Изменение в физиологических отношениях электролитов необходимо для дифференциальной диагностики аритмии. Увеличение с-реактивных белков также подтверждает наличие воспаления. Коагулограмму и количество тромбоцитов определяют для оценки вязкости крови, возможности образования тромбов.
• Электрокардиография. Это имеет вспомогательное значение. С помощью электрокардиограммы, сопутствующей патологии сердца, частоты сердечных сокращений, характера, источника ритма выявляются для уточнения типа аритмии, положения электрической оси сердца и общего состояния миокарда.
Эхокардиография используется для определения морфофункциональных изменений сердца, степени его кровоснабжения, состояния клапанного аппарата, толщины и четкости контуров мышечных стенок, давления в камерах, скорость кровотока и обнаружение повышенного уровня жидкости или крови в полости перикарда.
Дифференциальная диагностика инородного тела проводится с заболеваниями, которые дают сходную клиническую картину с основным симптомом в виде боли за грудиной: стенокардия, инфаркт миокарда, отшелушивающая аневризма аорты, плеврит, пневмония. Исключаются патологии с частым иррадиацией болей в груди: печеночная колика, острый панкреатит, язва желудка.
Врач собирает историю жизни и болезни, уточняет, была ли в анамнезе инвазивная медицинская процедура, особенно катетеризация крупных вен, протезирование клапанов сердца. Выполняет общее обследование на предмет изменения цвета кожи и развития отека, перкуссии сердца, определения размеров, конфигурации и положения органа, размера сосудистого пучка. Выполняет аускультацию в классических точках грудной клетки, чтобы оценить функционирование клапанной системы и обнаружить патологические шумы, измерить артериальное давление.
Рентгенография сердца позволяет идентифицировать рентгеноконтрастное инородное тело, уточнить его местоположение и размеры, установить количество, если имеется несколько объектов. По данным рентгенографии определяются размеры сердца, крупные сосуды, их положение, их форма, наличие патологических образований и их смещение.
• Компьютерная томография. Высокоточный метод, позволяющий получить трехмерное изображение органа, оценить структуру и структуру движущегося миокарда и обнаружить посторонние объекты с низким контрастом и без контраста. Компьютерная томография является передовым исследованием в диагностике осложнений - перикардита, тромбоэмболии артерий легких, позволяет дифференцироваться с другими патологиями сердца.
• Ангиокардиография. Методика применяется для уточнения локализации инородных тел в предсердных, межжелудочковых перегородках, клапанах, папиллярных мышцах. Процедура выполняется с использованием контрастного вещества непосредственно перед операцией, чтобы объект не успел переместиться или проникнуть глубже в мышечный слой органа.
• Лабораторные методы. Снижение уровня гемоглобина и количества эритроцитов указывает на развитие анемии. Инфекционно-воспалительный процесс соответствует увеличению скорости оседания эритроцитов (СОЭ), выраженной в виде лейкоцитоза. В биохимическом анализе крови важны уровни АЛТ, АСТ, миоглобина, тропонинов как маркеров повреждения миокарда. Изменение в физиологических отношениях электролитов необходимо для дифференциальной диагностики аритмии. Увеличение с-реактивных белков также подтверждает наличие воспаления. Коагулограмму и количество тромбоцитов определяют для оценки вязкости крови, возможности образования тромбов.
• Электрокардиография. Это имеет вспомогательное значение. С помощью электрокардиограммы, сопутствующей патологии сердца, частоты сердечных сокращений, характера, источника ритма выявляются для уточнения типа аритмии, положения электрической оси сердца и общего состояния миокарда.
Эхокардиография используется для определения морфофункциональных изменений сердца, степени его кровоснабжения, состояния клапанного аппарата, толщины и четкости контуров мышечных стенок, давления в камерах, скорость кровотока и обнаружение повышенного уровня жидкости или крови в полости перикарда.
Дифференциальная диагностика инородного тела проводится с заболеваниями, которые дают сходную клиническую картину с основным симптомом в виде боли за грудиной: стенокардия, инфаркт миокарда, отшелушивающая аневризма аорты, плеврит, пневмония. Исключаются патологии с частым иррадиацией болей в груди: печеночная колика, острый панкреатит, язва желудка.
|
|
Лечение
Выбор хирургической тактики зависит от нескольких факторов: пола и возраста пациента, размера и структуры объекта, связанных с ним осложнений. Антиаритмические и тромболитические препараты используются в качестве вспомогательных препаратов, при развитии септических процессов - антибиотики. Операция проводится в сердечном или сосудистом отделении. В зависимости от состояния пациента вмешательство проводится срочно с подготовительным периодом 1-2 дня или (при наличии опасных для жизни осложнений) срочно. Были разработаны два основных метода удаления инородных тел:
• Эндоваскулярное вмешательство. Метод необходим для устранения патологии. Это минимально инвазивная хирургическая процедура, выполняемая специальными инструментами с чрескожным доступом в подключичной или бедренной области под рентгенографическим контролем в реальном времени. Операция обычно проводится под местной анестезией и легко переносится пациентами. Применение методики возможно только в том случае, если посторонний предмет рентгеноконтрастный, не углублен в миокард, имеет размеры до 5.
• Операция на открытом сердце. Это выполняется, когда невозможно использовать эндоваскулярный метод. При манипуляциях с сердцем в открытом доступе используйте искусственное кровообращение. Самым последним вариантом является операция в условиях гипотермической защиты без перфузии, которая позволяет не только удалить инородное тело, но и исследовать правые части сердца.
После минимально инвазивных манипуляций пациенту достаточно назначить бессолевую диету для предотвращения развития отеков. Кроме того, могут быть использованы диуретики, дигоксин, антибактериальные препараты. После открытых операций контролируются показатели жизненно важных функций, проводится фармакологическая коррекция различных органов, назначаются анальгетики и антибиотики. Продолжительность госпитализации после эндоваскулярных вмешательств составляет 2-3 дня, после традиционных - не менее двух недель.
• Эндоваскулярное вмешательство. Метод необходим для устранения патологии. Это минимально инвазивная хирургическая процедура, выполняемая специальными инструментами с чрескожным доступом в подключичной или бедренной области под рентгенографическим контролем в реальном времени. Операция обычно проводится под местной анестезией и легко переносится пациентами. Применение методики возможно только в том случае, если посторонний предмет рентгеноконтрастный, не углублен в миокард, имеет размеры до 5.
• Операция на открытом сердце. Это выполняется, когда невозможно использовать эндоваскулярный метод. При манипуляциях с сердцем в открытом доступе используйте искусственное кровообращение. Самым последним вариантом является операция в условиях гипотермической защиты без перфузии, которая позволяет не только удалить инородное тело, но и исследовать правые части сердца.
После минимально инвазивных манипуляций пациенту достаточно назначить бессолевую диету для предотвращения развития отеков. Кроме того, могут быть использованы диуретики, дигоксин, антибактериальные препараты. После открытых операций контролируются показатели жизненно важных функций, проводится фармакологическая коррекция различных органов, назначаются анальгетики и антибиотики. Продолжительность госпитализации после эндоваскулярных вмешательств составляет 2-3 дня, после традиционных - не менее двух недель.
Список литературы
1. Эндоваскулярное удаление инородных тел сердца и магистральных сосудов/ Квашнин А.И., Атаманов С.А., Пачерских Ф.Н., Портнягин А.Ф., Мельник А.В. Бюллетень ВСНЦ СО РАМН. 2005 - №3 (41).
2. Эндоваскулярное удаление инородного тела (гайки) из полости правого предсердия/ Черноглаз П.Ф., Полонецкий О.Л., Селезнев В.В., Рязанцев И.В. Радиология - Практика. 2009 - №1.
3. Современные медицинские технологии и проблема ятрогении: уникальное клиническое наблюдение в кардиохирургии/ Королев С.В., Гуляева О.Н., Мазанов М.Х., Нелидов Д.В., Ненашева О.Ю., Водясов В.Д., Синицин Е.В., Коробкова И.З., Дегтярева И.А. Русский медицинский журнал. 2000 - №17.
4. Эндоваскулярная и минимально инвазивная хирургия сердца и сосудов у детей/ под ред. Бокерия Л.А., Алекяна Б.Г., Подзолкова В.П. 1999.
2. Эндоваскулярное удаление инородного тела (гайки) из полости правого предсердия/ Черноглаз П.Ф., Полонецкий О.Л., Селезнев В.В., Рязанцев И.В. Радиология - Практика. 2009 - №1.
3. Современные медицинские технологии и проблема ятрогении: уникальное клиническое наблюдение в кардиохирургии/ Королев С.В., Гуляева О.Н., Мазанов М.Х., Нелидов Д.В., Ненашева О.Ю., Водясов В.Д., Синицин Е.В., Коробкова И.З., Дегтярева И.А. Русский медицинский журнал. 2000 - №17.
4. Эндоваскулярная и минимально инвазивная хирургия сердца и сосудов у детей/ под ред. Бокерия Л.А., Алекяна Б.Г., Подзолкова В.П. 1999.