Другие названия и синонимы
Renal artery aneurysm.
МКБ-10 коды
|
|
Описание
Аневризма почечной артерии. Это выпячивание стенки сосуда почки. Это может быть правдой и ложью. Клинически на ранних стадиях это не проявляется, позже появляются боли в поясничной области и симптомы общей интоксикации и нарушения функции мочеиспускания. Патология может осложняться некрозом, инфекционными процессами, внутренним кровотечением. Диагностика устанавливается на основе инструментальных методов: ультразвуковое исследование, ангиография, рентгенография. Лечение состоит в основном из хирургического удаления артериального дефекта. При образовании массивных некротических или гнойных очагов показана нефрэктомия.
Дополнительные факты
Аневризма почечной артерии представляет собой локальное расширение сосуда, в два или более раз превышающее его нормальный диаметр. Заболевание крайне редко встречается в клинической практике. Отчасти это связано с тем, что у большинства пациентов патология протекает бессимптомно или с редкими проявлениями, что затрудняет статистический анализ. Распространенность среди всех аневризм составляет от 0,1 до 0,15%. У 80% пациентов выпячивание стенки почечной артерии связано с почечной гипертензией. Определенных закономерностей между наличием заболевания и полом или возрастом пациентов не выявлено. У женщин риск развития аневризмы увеличивается во время беременности, когда гормональные изменения могут влиять на эластические свойства стенок кровеносных сосудов.
Причины
Непосредственной причиной выпячивания является нарушение структурной целостности сосудистой стенки, возникающее в ответ на воздействие вредных агентов. Факторами, которые увеличивают вероятность формирования аневризмы, считаются старость, недоедание, вредные привычки, нарушения обмена веществ при сахарном диабете. Основными этиологическими факторами возникновения дефектов являются:
Дисбаланс в транспорте и использовании липопротеинов в системном кровообращении приводит к атерогенезу с интимным повреждением сосудов. Жирные кислоты проникают во внутренний слой артерии, вызывая пролиферацию, гибель клеток и трансформацию межклеточного вещества. Миграция лейкоцитов в очаг поражения вызывает воспалительную реакцию. Патологические процессы в совокупности вызывают снижение упругой прочности стенки, особенно при сочетании атеросклероза и артериальной гипертонии.
• Инфекционные заболевания. Они вызывают начало развития микотической аневризмы (вторичной инфекционной). Бактериальный процесс в сосудистой стенке вызывает воспалительные и иммунные реакции, которые усиливают растворение эластических структур в почечной артерии, увеличивая риск аневризмы. Наиболее распространенными инфекциями, осложненными сосудистыми протрузиями, являются сифилис, туберкулез, нагноение атеросклеротических бляшек.
• Врожденные патологии. Аневризма может быть следствием нарушения внутриутробного развития сосудистой стенки или одного из проявлений наследственного заболевания (синдром Марфана). В обоих случаях обнаруживается наличие дефекта в мышечном слое почечных артерий. Недостаточная выработка коллагеновых волокон ослабляет мышечный слой, особенно в местах бифуркации, сгибания.
• Повреждение почечной артерии. Обычно в анамнезе встречается у пациентов с ложной аневризмой. Травма возникает, когда на сосуды почек воздействует механический фактор - открытый, с ножевыми и огнестрельными ранениями или закрытый. Инвазивные медицинские процедуры с введением зондов, катетеров, опор в просвет сосуда выделяются отдельно.
Дисбаланс в транспорте и использовании липопротеинов в системном кровообращении приводит к атерогенезу с интимным повреждением сосудов. Жирные кислоты проникают во внутренний слой артерии, вызывая пролиферацию, гибель клеток и трансформацию межклеточного вещества. Миграция лейкоцитов в очаг поражения вызывает воспалительную реакцию. Патологические процессы в совокупности вызывают снижение упругой прочности стенки, особенно при сочетании атеросклероза и артериальной гипертонии.
• Инфекционные заболевания. Они вызывают начало развития микотической аневризмы (вторичной инфекционной). Бактериальный процесс в сосудистой стенке вызывает воспалительные и иммунные реакции, которые усиливают растворение эластических структур в почечной артерии, увеличивая риск аневризмы. Наиболее распространенными инфекциями, осложненными сосудистыми протрузиями, являются сифилис, туберкулез, нагноение атеросклеротических бляшек.
• Врожденные патологии. Аневризма может быть следствием нарушения внутриутробного развития сосудистой стенки или одного из проявлений наследственного заболевания (синдром Марфана). В обоих случаях обнаруживается наличие дефекта в мышечном слое почечных артерий. Недостаточная выработка коллагеновых волокон ослабляет мышечный слой, особенно в местах бифуркации, сгибания.
• Повреждение почечной артерии. Обычно в анамнезе встречается у пациентов с ложной аневризмой. Травма возникает, когда на сосуды почек воздействует механический фактор - открытый, с ножевыми и огнестрельными ранениями или закрытый. Инвазивные медицинские процедуры с введением зондов, катетеров, опор в просвет сосуда выделяются отдельно.
Патогенез
Основой механизма развития аневризмы является потеря упругих свойств медиального слоя стенки почечной артерии, что приводит к его неспособности противостоять кровяному давлению. Структурные нарушения могут быть врожденными (с синдромом Марфана) или приобретенными (с атеросклерозом, артериитом, инфекционными заболеваниями). Вначале внутренний слой сосуда разрывается, сохраняя целостность других слоев. Кровь попадает в образовавшийся дефект, под ее давлением в месте локального поражения постепенно образуется продольное расслоение классической сакульной формы. При диффузном круговом повреждении артерии выступ имеет форму веретенообразной формы. В случае ложных аневризм сайт расширения сосуда формируется из соединительной ткани без участия мышечного слоя.
Немедленный коллапс аневризмы приводит к массивному кровотечению. Могут образоваться микротрещины, после чего образуется забрюшинная гематома с более поздней капсулой. Если инфекция проникает в гематому, возникает жировой абсцесс, существует высокий риск развития сепсиса без медицинской помощи. Компрессия почечного пиелонефрита за счет расширения больших размеров ухудшает отток мочи, вызывает застой, что увеличивает вероятность развития пиелонефрита.
Немедленный коллапс аневризмы приводит к массивному кровотечению. Могут образоваться микротрещины, после чего образуется забрюшинная гематома с более поздней капсулой. Если инфекция проникает в гематому, возникает жировой абсцесс, существует высокий риск развития сепсиса без медицинской помощи. Компрессия почечного пиелонефрита за счет расширения больших размеров ухудшает отток мочи, вызывает застой, что увеличивает вероятность развития пиелонефрита.
Классификация
Основой для разделения аневризм почечных сосудов на отдельные типы является их локализация, причины, патогенез. По локализации можно выделить выпячивание ствола почечной артерии и его мелких ветвей в соответствии с этиологией - врожденные, атеросклеротические, воспалительные, посттравматические повреждения и аневризмы, возникшие в результате медицинских манипуляций. Наиболее важной с клинической точки зрения является классификация по структуре стенки сосуда в зоне расширения:
Чаще встречается в области главной артерии или ее средних ветвей, она достигает диаметра 10 Этот тип аневризмы сочетается со структурными изменениями сосудистой стенки, особенно в контексте атеросклероза или врожденных аномалий эластических компонентов. Характерно экстраренальное расположение. Несколько истинных аневризм возможны в форме «ниточки бус» с низким риском разрыва.
Они являются осложнением тупых или проникающих повреждений поясничной области, которые сопровождаются повреждением почечных сосудов. Диагностируется сразу после повреждения или вскоре после (1-2 дня). Другим вариантом развития являются ятрогенные эффекты в результате внутрисосудистых медицинских манипуляций в просвете почечной артерии.
Чаще встречается в области главной артерии или ее средних ветвей, она достигает диаметра 10 Этот тип аневризмы сочетается со структурными изменениями сосудистой стенки, особенно в контексте атеросклероза или врожденных аномалий эластических компонентов. Характерно экстраренальное расположение. Несколько истинных аневризм возможны в форме «ниточки бус» с низким риском разрыва.
Они являются осложнением тупых или проникающих повреждений поясничной области, которые сопровождаются повреждением почечных сосудов. Диагностируется сразу после повреждения или вскоре после (1-2 дня). Другим вариантом развития являются ятрогенные эффекты в результате внутрисосудистых медицинских манипуляций в просвете почечной артерии.
Клиническая картина
Аневризма небольшого размера продолжается в течение длительного времени без клинических проявлений. Выявление патологии возможно при плановом осмотре почек инструментальными методами или при диагностике других заболеваний. Постепенно аневризма усиливается, начинает давить на окружающие органы, ткани. У больного возникает чувство сытости, вызывающее боли в спине на пораженной стороне.
При расположении выпячивания в почке мочеточник сжимается, что значительно ухудшает функционирование органа. Это может привести к развитию почечной недостаточности, инфаркту почки. Клинически это расстройство проявляется симптомами интоксикации: тошнота, рвота, слабость, головная боль, головокружение. При саккулярной форме аневризмы риск образования тромбов с последующим некрозом почечной ткани особенно высок. Начало некроза вызывает сильную боль в нижней части живота, половых органов и бедра. Общее состояние пациента быстро ухудшается.
Разрыв сосудистого выпячивания считается наиболее опасным осложнением аневризмы, приводящей к шоку и смерти в 70% случаев. Признаками внутреннего кровотечения являются резкие боли в пояснице, животе, усиливающиеся при любых физических нагрузках, слабость, бледность слизистых оболочек и кожи, сухость во рту, одышка, тахикардия, головные боли, резкое снижение артериального давления. Пациент с такими симптомами нуждается в немедленной хирургической помощи.
Ассоциированные симптомы: Боль в пояснице. Одышка. Рвота. Сухость во рту. Тошнота.
При расположении выпячивания в почке мочеточник сжимается, что значительно ухудшает функционирование органа. Это может привести к развитию почечной недостаточности, инфаркту почки. Клинически это расстройство проявляется симптомами интоксикации: тошнота, рвота, слабость, головная боль, головокружение. При саккулярной форме аневризмы риск образования тромбов с последующим некрозом почечной ткани особенно высок. Начало некроза вызывает сильную боль в нижней части живота, половых органов и бедра. Общее состояние пациента быстро ухудшается.
Разрыв сосудистого выпячивания считается наиболее опасным осложнением аневризмы, приводящей к шоку и смерти в 70% случаев. Признаками внутреннего кровотечения являются резкие боли в пояснице, животе, усиливающиеся при любых физических нагрузках, слабость, бледность слизистых оболочек и кожи, сухость во рту, одышка, тахикардия, головные боли, резкое снижение артериального давления. Пациент с такими симптомами нуждается в немедленной хирургической помощи.
Ассоциированные симптомы: Боль в пояснице. Одышка. Рвота. Сухость во рту. Тошнота.
|
|
Возможные осложнения
Образование аневризмы в артериальном сосуде значительного диаметра всегда считается опасным для жизни состоянием из-за возможного разрыва и развития массивного внутриполостного кровотечения. Потеря 0,5 литра на начальных этапах клинически практически не проявляется, при потере 2 литров может возникнуть гиповолемический шок и смерть пациента. При выступе 8-10 см временной интервал между этими двумя объемами крови рассчитывается в минутах. Существует высокий риск развития пиелонефрита, особенно при наличии гидронефроза. Формирование забрюшинных гематом может быть осложнено нагноением и образованием абсцессов. Появление зоны турбулентного кровотока в месте выпячивания становится предрасполагающим фактором при тромбозе. Сгусток крови может привести к закупорке почечной артерии и инфаркту почки.
Диагностика
Аневризма выявляется урологами-нефрологами, сосудистыми хирургами при наличии адекватных симптомов, диагностируется с помощью инструментальных методов. В небольших размерах он может быть бессимптомным, обнаружен случайно. Физические и лабораторные методы не являются информативными в начале заболевания, они могут косвенно только указать на наличие воспаления или подтвердить дисбаланс липидного спектра. Основными диагностическими мерами являются:
• Физический экзамен. В фазе формирования аневризмы не дает достоверных данных, можно обнаружить боль при пальпации, положительный симптом Пастернацкого. Этот метод играет ключевую роль в раннем обнаружении разрыва почечной артерии с массивным кровотечением из полости. При осмотре обнаруживаются бледность кожи, слизистых оболочек, акроцианоз, сухость языка, одышка, вялость, сочетание учащенного сердцебиения и низкого кровяного давления.
• Ультразвуковое исследование. Он способен визуализировать состояние почечных сосудов, наличие пульсирующих образований в ритме сердечного ритма. Сочетание ультразвука с допплерографией позволяет отличить аневризму от опухоли сосуда или промежностного волокна. Наличие собственных сосудов, более плотная структура, свидетельствует о раке.
• Рентгенологическое обследование. Урография часто проводится с помощью контрастного вещества и выявляет косвенные признаки выпячивания сосудистой стенки - деформацию почечной лоханки, неравномерное наполнение чашечек. Грубые контуры почек, возможно увеличение органа. Наряду с образованием некротических очагов на рентгенограмме видна измененная структура паренхимы.
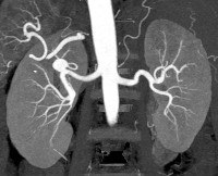
• Ангиография почечных артерий. Контрастное вещество, вводимое этим методом исследования, позволяет оценить сосудистую систему органа, определить местоположение аневризмы с большой точностью, ее тип, размер, подтвердить или отказаться от кровотечения. Почечная ангиография позволяет уточнить степень сужения, наличие тромбов, тромбоэмболии.
• Лабораторные методы. Большое значение имеет внутреннее кровотечение. В общем анализе крови отмечается анемия: уменьшение общего количества гемоглобина, эритроцитов периферической крови. Из-за потери эритроцитов гематокрит уменьшается. Изменения в коагулограмме не являются конкретными.
• Физический экзамен. В фазе формирования аневризмы не дает достоверных данных, можно обнаружить боль при пальпации, положительный симптом Пастернацкого. Этот метод играет ключевую роль в раннем обнаружении разрыва почечной артерии с массивным кровотечением из полости. При осмотре обнаруживаются бледность кожи, слизистых оболочек, акроцианоз, сухость языка, одышка, вялость, сочетание учащенного сердцебиения и низкого кровяного давления.
• Ультразвуковое исследование. Он способен визуализировать состояние почечных сосудов, наличие пульсирующих образований в ритме сердечного ритма. Сочетание ультразвука с допплерографией позволяет отличить аневризму от опухоли сосуда или промежностного волокна. Наличие собственных сосудов, более плотная структура, свидетельствует о раке.
• Рентгенологическое обследование. Урография часто проводится с помощью контрастного вещества и выявляет косвенные признаки выпячивания сосудистой стенки - деформацию почечной лоханки, неравномерное наполнение чашечек. Грубые контуры почек, возможно увеличение органа. Наряду с образованием некротических очагов на рентгенограмме видна измененная структура паренхимы.
• Ангиография почечных артерий. Контрастное вещество, вводимое этим методом исследования, позволяет оценить сосудистую систему органа, определить местоположение аневризмы с большой точностью, ее тип, размер, подтвердить или отказаться от кровотечения. Почечная ангиография позволяет уточнить степень сужения, наличие тромбов, тромбоэмболии.
• Лабораторные методы. Большое значение имеет внутреннее кровотечение. В общем анализе крови отмечается анемия: уменьшение общего количества гемоглобина, эритроцитов периферической крови. Из-за потери эритроцитов гематокрит уменьшается. Изменения в коагулограмме не являются конкретными.
Лечение
Если патология обнаружена на ранних стадиях, когда размер выпячивания не превышает 0,5-1 и нет клинических симптомов заболевания, рекомендуется тактика выжидания с динамическим наблюдением и ежемесячным ультразвуковым мониторингом. Если при следующем поступлении у пациента появляются признаки увеличения аневризмы, появляются изменения в самочувствии, что свидетельствует об ухудшении процесса, показано хирургическое лечение. Используются следующие методы:
• Внутрисосудистая хирургия. Они являются приоритетными в лечении локальных расширений почечной артерии, минимизируют травмы тканей и улучшают прогноз. Можно заменить сосуд с реконструкцией стенки с помощью аутотрансплантата, применить зажим-зажим и эндоваскулярно укрепить зону дефекта высокопрочным материалом, который предотвращает прогрессирование заболевания. Если восстановить нормальную структуру невозможно, артерия «отключается» от общего кровотока, создавая новые пути движения крови (шунтирование).
Крайняя мера применяется по строгим показаниям, когда невозможно устранить патологию и ее осложнения минимально инвазивными способами. Он заключается в полном удалении пораженной почки с открытым или мини-доступом. Инфаркт почки, тяжелые гнойные процессы с массивным необратимым повреждением почечной паренхимы считаются показаниями к операции.
После операции показан широкий спектр антибактериальной терапии. Кроме того, назначается физиотерапия - УВЧ, магнитотерапия. Продолжительность восстановительного периода зависит от объема вмешательства, при эндоваскулярных операциях укрепление сосудистой стенки составляет около 7 дней, после шунтирования до 1 месяца, после нефрэктомии - до 2 месяцев. Рекомендуется щадящая диета с ограничением соли до 2 г в день, жидкости до 1-1,5 л, за исключением жирных блюд.
• Внутрисосудистая хирургия. Они являются приоритетными в лечении локальных расширений почечной артерии, минимизируют травмы тканей и улучшают прогноз. Можно заменить сосуд с реконструкцией стенки с помощью аутотрансплантата, применить зажим-зажим и эндоваскулярно укрепить зону дефекта высокопрочным материалом, который предотвращает прогрессирование заболевания. Если восстановить нормальную структуру невозможно, артерия «отключается» от общего кровотока, создавая новые пути движения крови (шунтирование).
Крайняя мера применяется по строгим показаниям, когда невозможно устранить патологию и ее осложнения минимально инвазивными способами. Он заключается в полном удалении пораженной почки с открытым или мини-доступом. Инфаркт почки, тяжелые гнойные процессы с массивным необратимым повреждением почечной паренхимы считаются показаниями к операции.
После операции показан широкий спектр антибактериальной терапии. Кроме того, назначается физиотерапия - УВЧ, магнитотерапия. Продолжительность восстановительного периода зависит от объема вмешательства, при эндоваскулярных операциях укрепление сосудистой стенки составляет около 7 дней, после шунтирования до 1 месяца, после нефрэктомии - до 2 месяцев. Рекомендуется щадящая диета с ограничением соли до 2 г в день, жидкости до 1-1,5 л, за исключением жирных блюд.
Список литературы
1. Диагностика и лечение аневризм почечных артерий/ Яицкий Н.А., Семёнов Д.В. Вестник хирургии имени И.И. Грекова - 2010.
2. Эндоваскулярное лечение разрыва внутрипаренхиматозной аневризмы почечной артерии/ Цыганков В. Н., Головюк А.Л., Петрушин В. Хирургия. Журнал им. Н.И. Пирогова - 2014 (1).
3. Клинический случай эндоваскулярного лечения посттравматической аневризмы почечной артерии/ Гилемханов А.Р., Павлов В.Н. Креативная хирургия и онкология. 2017.
2. Эндоваскулярное лечение разрыва внутрипаренхиматозной аневризмы почечной артерии/ Цыганков В. Н., Головюк А.Л., Петрушин В. Хирургия. Журнал им. Н.И. Пирогова - 2014 (1).
3. Клинический случай эндоваскулярного лечения посттравматической аневризмы почечной артерии/ Гилемханов А.Р., Павлов В.Н. Креативная хирургия и онкология. 2017.