Другие названия и синонимы
Takotsubo cardiomyopathy, Синдром верхушечного баллонирования, Синдром разбитого сердца, Стресс-индуцированная кардиомиопатия.
МКБ-10 коды
- МКБ-10
- I42.8 Другие кардиомиопатии
|
|
Описание
Такоцубо кардиомиопатия. Это временная острая сердечная недостаточность, которая сопровождается расширением кончика левого желудочка. Основными клиническими проявлениями являются сильные боли в груди, одышка и тахикардия. Пресинкопальные состояния и обмороки иногда развиваются. Для диагностики назначаются лабораторные анализы (определение уровня креатинкиназы, тропонина, PNP), инструментальные неинвазивные (ЭКГ, ЭхоКГ, МРТ сердца) и инвазивные методы (коронарография, сцинтиграфия). Препараты показаны при синдроме Такоцубо - антигипертензивные препараты, антикоагулянты, седативные средства. В случае кардиогенного шока проводится внутриаортальная контрпульсация.
Дополнительные факты
Кардиомиопатия Takotsubo имеет много синонимов: синдром разбитого сердца (CDS), вызванная стрессом кардиомиопатия, синдром апикального баллона. Необычное название «такоцубо» происходит от японского слова тако-цубо, что означает «ловушка для осьминога». Это устройство имеет широкое основание и узкую шейку: левый желудочек приобретает аналогичную форму во время приступа. Такоцубо кардиомиопатия выявляется у 1-2% пациентов с острым коронарным синдромом. Более 90% пациентов - женщины в постменопаузе.
Факторы риска
Среди способствующих факторов наиболее важными являются неконтролируемые - пол и возраст. Кардиомиопатия Такоцубо обнаруживается преимущественно у женщин после 60 лет из-за большей чувствительности к эмоциональному стрессу и гормональным изменениям в постменопаузальном периоде. Фактором риска является наличие хронического сердечно-сосудистого заболевания, которое увеличивает процент сложной эволюции синдрома Такоцубо. Управляемые факторы включают: избыточный вес, частые стрессы дома или на работе, вредные привычки.
Причины
Причины.
Точные этиологические факторы для развития кардиомиопатии не известны как такоцубо. Две ведущие гипотезы считаются ведущими:Основная теория - влияние стрессовых ситуаций на выработку гормонов, что приводит к временной дисфункции миокарда. Причинами «болезни разбитого сердца» являются как эмоциональные потрясения (смерть близких, насилие, чрезвычайные ситуации), так и медицинские причины - операция, приступ астмы.
В последние годы была разработана теория о генетической предрасположенности к синдрому Такоцубо. Несколько случаев кардиомиопатии были зарегистрированы у близких родственников. Предположительно, эти эпизоды вызваны наличием мутаций в генах, ответственных за чувствительность к рецепторам катехоламинов и эстрогенов. Люди, страдающие от вызванной стрессом кардиомиопатии, имеют функциональный полиморфизм этих генов.
Патогенез
В клинической кардиологии различаются различные патогенетические механизмы развития синдрома. Характерное расширение вершины обусловлено неправильным положением нисходящей левой артерии, которая снабжает эту часть сердца. Временная сократимость миокарда, вероятно, связана с одновременным спазмом сосудов нескольких коронарных артерий и преходящей ишемией стенки сердца.
Другая патогенетическая теория предполагает множественную дисфункцию микрососудистого русла. Небольшие ветви коронарных артерий подвержены судорогам или дегенеративно-дистрофическим изменениям, которые нарушают поступление кислорода в миокард левого желудочка. Важную роль в патогенезе кардиомиопатии играет чрезмерная активация симпатической нервной системы и выброс катехоламинов, которые влияют на состояние сосудистого русла.
Другая патогенетическая теория предполагает множественную дисфункцию микрососудистого русла. Небольшие ветви коронарных артерий подвержены судорогам или дегенеративно-дистрофическим изменениям, которые нарушают поступление кислорода в миокард левого желудочка. Важную роль в патогенезе кардиомиопатии играет чрезмерная активация симпатической нервной системы и выброс катехоламинов, которые влияют на состояние сосудистого русла.
Классификация
Заболевание делится на варианты в зависимости от локализации анатомических изменений. В 75-80% случаев развивается апикальное расширение желудочка, у 10-15% пациентов диагностируется вариант кардиомиопатии в среднем левом желудочке. Редкие виды повреждений: перевернутый (менее 5%), бивентрикулярный (до 0,5%), правожелудочковый. Кардиологи часто используют классификацию истории болезни, которая включает в себя:
• Первичный синдром Такоцубо. Расстройство возникает у здорового человека и часто имеет определенные триггеры. Тяжелые клинические симптомы являются причиной обращения за неотложной медицинской помощью.
• Вторичный синдром Такоцубо. Состояние наблюдается у пациентов, которые госпитализированы с хирургической, акушерской или другой патологией. Кардиомиопатия осложняет течение основного заболевания, что приводит к особым подходам к диагностике и лечению.
• Первичный синдром Такоцубо. Расстройство возникает у здорового человека и часто имеет определенные триггеры. Тяжелые клинические симптомы являются причиной обращения за неотложной медицинской помощью.
• Вторичный синдром Такоцубо. Состояние наблюдается у пациентов, которые госпитализированы с хирургической, акушерской или другой патологией. Кардиомиопатия осложняет течение основного заболевания, что приводит к особым подходам к диагностике и лечению.
Клиническая картина
Основным проявлением стресс-индуцированной формы кардиомиопатии является внезапная боль в груди. Приступ кардиалгии часто происходит на фоне сильного эмоционального шока или испуга. Человек испытывает сжимающую или острую боль в области проекции сердца, которая может иррадиировать в плечо, лопатку. Характерной чертой синдрома такоцубо является «волна давления», которая поднимается от груди к шее и голове.
Болевой синдром обычно сопровождается повышенным потоотделением, беспокойством. Одновременно с болью появляются одышка, чувство нехватки воздуха. Человек чувствует сильное сердцебиение, слабость в ногах. В этом случае кожа бледнеет, становится холодной и влажной. Часто возникает головокружение, потемнение в глазах. Тяжелый приступ кардиомиопатии приводит к обмороку из-за снижения сердечного выброса.
Ассоциированные симптомы: Боль в сердце.
Болевой синдром обычно сопровождается повышенным потоотделением, беспокойством. Одновременно с болью появляются одышка, чувство нехватки воздуха. Человек чувствует сильное сердцебиение, слабость в ногах. В этом случае кожа бледнеет, становится холодной и влажной. Часто возникает головокружение, потемнение в глазах. Тяжелый приступ кардиомиопатии приводит к обмороку из-за снижения сердечного выброса.
Ассоциированные симптомы: Боль в сердце.
Возможные осложнения
Кардиомиопатия Такоцубо ранее рассматривалась как доброкачественное заболевание без последствий. Однако при преждевременном лечении или неправильной тактике осложнения возникают у 52% пациентов. К острым последствиям синдрома «разбитого сердца» относятся: повреждение правого желудочка (18-34%), митральная недостаточность (14-25%), обструкция тракта оттока левого желудочка (10-25%).
В первые дни после начала кардиомиопатии существует высокий риск фибрилляции предсердий (5-15%). У пациентов с ослабленным предморбидным анамнезом желудочковые аритмии наблюдаются в 4% случаев, а кардиогенный шок - в 1,5%. Смертность при тяжелом синдроме составляет около 1%. У 5% пациентов, перенесших острый приступ, рецидив возникает из-за тех же триггеров.
В первые дни после начала кардиомиопатии существует высокий риск фибрилляции предсердий (5-15%). У пациентов с ослабленным предморбидным анамнезом желудочковые аритмии наблюдаются в 4% случаев, а кардиогенный шок - в 1,5%. Смертность при тяжелом синдроме составляет около 1%. У 5% пациентов, перенесших острый приступ, рецидив возникает из-за тех же триггеров.
Диагностика
Согласно клинической картине, вызванная стрессом кардиомиопатия напоминает приступ стенокардии или инфаркт миокарда, который требует дифференциальной диагностики у кардиолога. Обзор должен быть сделан как можно скорее. Диагностическая программа включает в себя ряд лабораторных и инструментальных исследований:
• Электрокардиография. Типичные изменения ЭКГ наблюдаются у 95% пациентов с острой СРС. Основные признаки заболевания: изменение положения сегмента ST относительно изоэлектрической линии, блокирование ветви блока. Через один день после развития кардиомиопатии наблюдается удлинение интервала QT.
• Идентификация биомаркеров. В основном определяются уровни сердечной тропониновой и креатинкиназы, количество которых несколько увеличивается. В остром периоде кардиомиопатии обнаруживается увеличение концентрации предсердного натрийуретического пептида (ANP).
Трансторакальная эхокардиография проводится у всех пациентов с предположительным диагнозом кардиомиопатия, вызванная стрессом. УЗИ сердца выявляет большую область дисфункции миокарда, симметричные нарушения сокращения стенок левого желудочка.
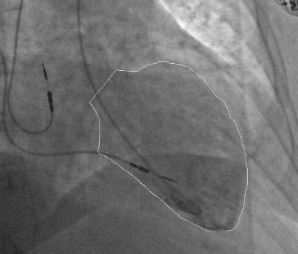
• Коронарная ангиография. Целью исследования в срочном порядке целесообразно исключить инфаркт миокарда. При кардиомиопатии неизмененные коронарные сосуды с сохраненным кровотоком визуализируются с помощью такоцубо. Для уточнения диагноза рекомендуется вентрикулография левого желудочка.
• Узкоспециализированные методы. Чтобы провести различие между такоцубо кардиомиопатией и другими сердечными заболеваниями, используется магнитно-резонансная томография сердца, которая показывает области повреждения миокарда в трехмерном режиме. Если исследование невозможно выполнить, показана перфузионная сцинтиграфия миокарда.
Вентрикулографии. Типичная для такоцубо кардиомиопатия является формой увеличения верхушки левого желудочка.
• Электрокардиография. Типичные изменения ЭКГ наблюдаются у 95% пациентов с острой СРС. Основные признаки заболевания: изменение положения сегмента ST относительно изоэлектрической линии, блокирование ветви блока. Через один день после развития кардиомиопатии наблюдается удлинение интервала QT.
• Идентификация биомаркеров. В основном определяются уровни сердечной тропониновой и креатинкиназы, количество которых несколько увеличивается. В остром периоде кардиомиопатии обнаруживается увеличение концентрации предсердного натрийуретического пептида (ANP).
Трансторакальная эхокардиография проводится у всех пациентов с предположительным диагнозом кардиомиопатия, вызванная стрессом. УЗИ сердца выявляет большую область дисфункции миокарда, симметричные нарушения сокращения стенок левого желудочка.
• Коронарная ангиография. Целью исследования в срочном порядке целесообразно исключить инфаркт миокарда. При кардиомиопатии неизмененные коронарные сосуды с сохраненным кровотоком визуализируются с помощью такоцубо. Для уточнения диагноза рекомендуется вентрикулография левого желудочка.
• Узкоспециализированные методы. Чтобы провести различие между такоцубо кардиомиопатией и другими сердечными заболеваниями, используется магнитно-резонансная томография сердца, которая показывает области повреждения миокарда в трехмерном режиме. Если исследование невозможно выполнить, показана перфузионная сцинтиграфия миокарда.
Вентрикулографии. Типичная для такоцубо кардиомиопатия является формой увеличения верхушки левого желудочка.
|
|
Лечение
Кардиомиопатия Такоцубо является неотложной, поэтому медицинская помощь оказывается в больнице, специализирующейся на кардиологии, или в отделениях интенсивной терапии. Обычно назначают поддерживающий режим лечения, который обеспечивает постепенное восстановление функциональной активности миокарда. Для лечения используются следующие группы препаратов:
• Кальциевые сенсибилизаторы. Рекомендуется при выраженном снижении фракции выброса и динамической обструкции кровотока в левом желудочке. Лекарственные средства (в основном левосимендан) улучшают перфузию и микроциркуляцию и предотвращают развитие кардиогенного шока.
Антигипертензивные препараты. Средства этой группы используются при легком течении кардиомиопатии для устранения возможных провокационных факторов. Назначены бета-блокаторы, антагонисты кальция, диуретики.
Они используются для предотвращения образования апикальных сгустков крови и разрушения существующих тромбов. Было показано профилактическое введение низкомолекулярных гепаринов в терапевтических дозах и введение ацетилсалициловой кислоты.
Рекомендуется использовать препарат, если сильное напряжение предшествовало появлению симптомов кардиомиопатии по Такоцубо. Седативные средства не только влияют на психоэмоциональное состояние, они также оказывают обезболивающее действие.
Когда кардиомиопатия осложняется кардиогенным шоком, используется современный минимально инвазивный метод - внутриаортальная баллонная контрпульсация. Процедура включает в себя механическое введение крови в большой кровоток с использованием небольшого медицинского насоса, установленного в аорте. Техника внутриаортальной контрпульсации улучшает показатели гемодинамики.
• Кальциевые сенсибилизаторы. Рекомендуется при выраженном снижении фракции выброса и динамической обструкции кровотока в левом желудочке. Лекарственные средства (в основном левосимендан) улучшают перфузию и микроциркуляцию и предотвращают развитие кардиогенного шока.
Антигипертензивные препараты. Средства этой группы используются при легком течении кардиомиопатии для устранения возможных провокационных факторов. Назначены бета-блокаторы, антагонисты кальция, диуретики.
Они используются для предотвращения образования апикальных сгустков крови и разрушения существующих тромбов. Было показано профилактическое введение низкомолекулярных гепаринов в терапевтических дозах и введение ацетилсалициловой кислоты.
Рекомендуется использовать препарат, если сильное напряжение предшествовало появлению симптомов кардиомиопатии по Такоцубо. Седативные средства не только влияют на психоэмоциональное состояние, они также оказывают обезболивающее действие.
Когда кардиомиопатия осложняется кардиогенным шоком, используется современный минимально инвазивный метод - внутриаортальная баллонная контрпульсация. Процедура включает в себя механическое введение крови в большой кровоток с использованием небольшого медицинского насоса, установленного в аорте. Техника внутриаортальной контрпульсации улучшает показатели гемодинамики.
Список литературы
1. Кардиология: Национальное руководство/ под ред. Шляхто Е.В. 2019.
2. Руководство по кардиологии/ Под ред. В. Н. Коваленко. 2008.
3. Синдром «разбитого сердца» или стресс-индуцированная кардиомиопатия (синдром такоцубо). Харина, П.В. Таряник, Е.В. Геращенко, Н.А. Конорева, А.И. Баранец // Здоровье. Медицинская экология. Наука. 2016.
4. Синдром такоцубо: современное состояние проблемы. Н.Т. Ватутин, Г.Г. Тарадин, А.С. Смирнова, М.А. Эль-Хатиб, Ю.П. Гриценко, Д.В. Борт, Е.В. Картамышева, Е.С. Гасендич// Практическая ангиология. 2016.
2. Руководство по кардиологии/ Под ред. В. Н. Коваленко. 2008.
3. Синдром «разбитого сердца» или стресс-индуцированная кардиомиопатия (синдром такоцубо). Харина, П.В. Таряник, Е.В. Геращенко, Н.А. Конорева, А.И. Баранец // Здоровье. Медицинская экология. Наука. 2016.
4. Синдром такоцубо: современное состояние проблемы. Н.Т. Ватутин, Г.Г. Тарадин, А.С. Смирнова, М.А. Эль-Хатиб, Ю.П. Гриценко, Д.В. Борт, Е.В. Картамышева, Е.С. Гасендич// Практическая ангиология. 2016.