Другие названия и синонимы
Intestinal diverticula.
МКБ-10 коды
|
|
Описание
Кишечная дивертикула. Это саккулярные выпячивания стенки толстой кишки, реже тонкой кишки, врожденного или приобретенного характера. В большинстве случаев протекает бессимптомная форма заболевания. Явные клинические формы патологии проявляются нечеткими болями в животе, диспепсическими симптомами и кровотечением. Для диагностики используются ирригография, колоноскопия, сигмоидоскопия, УЗИ и компьютерная томография органов брюшной полости. Специфическая терапия включает в себя использование диеты с высоким содержанием клетчатки, назначение спазмолитиков, прокинетиков, антибактериальных средств, лактулозы. При осложненном течении заболевания требуется хирургическое лечение.
Дополнительные факты
Кишечная дивертикула может быть врожденной (с наследственной патологией соединительной ткани) или приобретенной (связанной с возрастной слабостью интерстициальных волокон). Дивертикулы редки в тонкой кишке - у 1% пациентов, в то время как в большинстве случаев обнаруживается дивертикул Меккеля, содержащий ткани желудка или поджелудочной железы. Кишечные дивертикулы часто многочисленны и находятся в левой половине толстой кишки (в 70% случаев).
В молодом возрасте дивертикулез выявляется только в 5% случаев, от 40 до 60 лет - у 30% населения, а после 80 лет частота дивертикула составляет более 65%. Патологические выпячивания могут осложняться воспалением, кровотечением, перфорацией, но они почти никогда не сопровождаются злокачественными новообразованиями. В последние годы увеличилось количество случаев дивертикулеза в развитых странах, что связано с изменением привычек питания, исключением пищевых волокон и здоровых пищевых волокон.
В молодом возрасте дивертикулез выявляется только в 5% случаев, от 40 до 60 лет - у 30% населения, а после 80 лет частота дивертикула составляет более 65%. Патологические выпячивания могут осложняться воспалением, кровотечением, перфорацией, но они почти никогда не сопровождаются злокачественными новообразованиями. В последние годы увеличилось количество случаев дивертикулеза в развитых странах, что связано с изменением привычек питания, исключением пищевых волокон и здоровых пищевых волокон.
Причины
Несколько факторов могут привести к появлению врожденных и приобретенных дивертикулов кишечника, но слабость соединительной ткани является основой всех из них. При врожденной дисплазии соединительной ткани дивертикулы обычно бывают множественными, расположенными не только в кишечнике, но и в других органах (желудок, мочевой пузырь ;). В первые годы заболевания стенка врожденного дивертикула представлена всеми слоями кишечной стенки, но мышечные волокна атрофируются с возрастом.
Появление приобретенной кишечной дивертикулы способствует:
• ошибки в питании (использование полуфабрикатов, нерегулярное питание, исключение клетчатки, свежих фруктов и овощей из рациона).
• дефицит витаминов.
• постоянные запоры.
• Нарушения моторики кишечника.
• малоподвижный образ жизни.
• ожирение.
Любая из вышеперечисленных причин приводит к повышению кишечного давления, выпадению слизистых и подслизистых слоев кишечника между мышечными волокнами, образованию полостных образований диаметром 3-5.
Появление приобретенной кишечной дивертикулы способствует:
• ошибки в питании (использование полуфабрикатов, нерегулярное питание, исключение клетчатки, свежих фруктов и овощей из рациона).
• дефицит витаминов.
• постоянные запоры.
• Нарушения моторики кишечника.
• малоподвижный образ жизни.
• ожирение.
Любая из вышеперечисленных причин приводит к повышению кишечного давления, выпадению слизистых и подслизистых слоев кишечника между мышечными волокнами, образованию полостных образований диаметром 3-5.
Анатомия и патанатомия
В тонкой кишке чаще всего встречается дивертикул Меккеля - неполная врожденная пролиферация желточного протока, и, следовательно, примерно в 50 см от ствола кишки на стенке кишки образуется выступ в форме пальца, который соединяется с кишечником при большом анастомозе. Иногда в двенадцатиперстной кишке образуются простые дивертикулы - возле соска Ватера или в луковице двенадцатиперстной кишки (чаще всего это происходит на фоне язвы двенадцатиперстной кишки). Другие места дивертикулеза тонкой кишки встречаются довольно редко.
В толстой кишке дивертикулы в основном образуются в сигмовидной кишке и левой половине поперечной ободочной кишки. Чаще всего образования расположены в два ряда, по одному с каждой стороны вдоль брыжейки. Дивертикулы ободочной кишки имеют тенденцию прогрессировать с возрастом - повышенное давление в кишечнике, застой фекального содержимого оказывают пульсирующее (компрессионное) действие, что вызывает все большее выпячивание стенки кишечника.
В толстой кишке дивертикулы в основном образуются в сигмовидной кишке и левой половине поперечной ободочной кишки. Чаще всего образования расположены в два ряда, по одному с каждой стороны вдоль брыжейки. Дивертикулы ободочной кишки имеют тенденцию прогрессировать с возрастом - повышенное давление в кишечнике, застой фекального содержимого оказывают пульсирующее (компрессионное) действие, что вызывает все большее выпячивание стенки кишечника.
Классификация
Различают врожденные и приобретенные формы кишечных дивертикулов.
• Врожденный дивертикулез часто множественный, выпячивания расположены в разных органах. Дивертикулы также могут быть компонентом врожденной триады Сент в сочетании с диафрагмальной грыжей и желчнокаменной болезнью.
• Приобретенный дивертикулит развивается с возрастом почти у 80% населения. Они могут быть вытяжными (при спаечной болезни), ложными (при отсутствии мышечных волокон в выпуклой стенке), образовавшимися на фоне заболеваний и травм кишечника.
По расположению различаются дивертикулы тонкой и толстой кишки. В результате появляются бессимптомные, клинически видимые и сложные дивертикулы.
• Врожденный дивертикулез часто множественный, выпячивания расположены в разных органах. Дивертикулы также могут быть компонентом врожденной триады Сент в сочетании с диафрагмальной грыжей и желчнокаменной болезнью.
• Приобретенный дивертикулит развивается с возрастом почти у 80% населения. Они могут быть вытяжными (при спаечной болезни), ложными (при отсутствии мышечных волокон в выпуклой стенке), образовавшимися на фоне заболеваний и травм кишечника.
По расположению различаются дивертикулы тонкой и толстой кишки. В результате появляются бессимптомные, клинически видимые и сложные дивертикулы.
Клиническая картина
В большинстве случаев дивертикулы появляются недолго и обнаруживаются случайно при обследовании на предмет других заболеваний. Клинически выраженные формы обычно указывают на возможность осложнений. Появление симптомов и осложнений при дивертикулезе связано с нарушением моторики кишечной стенки, застоем содержимого кишечника как в кишечнике, так и в полости выпячивания и повышением внутрикишечного давления. Все эти факторы приводят к появлению увеличенного бактериального посева (более 1 миллиона клеток на мл), образованию каловых камней и истончению кишечной стенки в местах прохождения кровеносных сосудов.
Клинически дивертикулы тонкой кишки проявляются нечеткими болями в животе, хронической диареей. Выпячивание стенок толстой кишки также может вызывать боли в животе, чаще в его левой половине, часто связанные с дефекацией и исчезающие после нее. Для болезни характерна нестабильность стула: запоры постоянно чередуются с поносом и периодами нормального стула. При осмотре фекалии образуются в виде шариков, окруженных слизью. Больных беспокоят увеличение метеоризма, обильные выделения кишечного газа.
Ассоциированные симптомы: Боль в кишечнике. Запор. Запор у взрослых. Метеоризм. Недержание газов. Понос (диарея).
Клинически дивертикулы тонкой кишки проявляются нечеткими болями в животе, хронической диареей. Выпячивание стенок толстой кишки также может вызывать боли в животе, чаще в его левой половине, часто связанные с дефекацией и исчезающие после нее. Для болезни характерна нестабильность стула: запоры постоянно чередуются с поносом и периодами нормального стула. При осмотре фекалии образуются в виде шариков, окруженных слизью. Больных беспокоят увеличение метеоризма, обильные выделения кишечного газа.
Ассоциированные симптомы: Боль в кишечнике. Запор. Запор у взрослых. Метеоризм. Недержание газов. Понос (диарея).
Возможные осложнения
При длительном застое фекального содержимого в дивертикуле происходят необратимые изменения кишечной стенки, активизируется кишечная флора и возникает дивертикулит - одно из наиболее распространенных осложнений этого заболевания. Хронический воспалительный процесс может существовать длительное время, вызывая частые рецидивирующие кровотечения, местный перитонит с образованием спаек, свищи, которые соединяют полость кишечника с влагалищем, мочевым пузырем и кожей. При спаечной болезни иногда наблюдается кишечная непроходимость.
Сильное воспаление в полости дивертикула может привести к перфорации его стенки, выделению кишечного содержимого в брюшную полость с образованием абсцесса кишечника и, в тяжелых случаях, диффузного перитонита. Перфорация кишечного дивертикула характеризуется клиникой острого живота , которую часто путают с острым аппендицитом. Ошибочный диагноз обычно выявляется только во время операции, в которой обнаружены дивертикулы кишечника.
Сильное воспаление в полости дивертикула может привести к перфорации его стенки, выделению кишечного содержимого в брюшную полость с образованием абсцесса кишечника и, в тяжелых случаях, диффузного перитонита. Перфорация кишечного дивертикула характеризуется клиникой острого живота , которую часто путают с острым аппендицитом. Ошибочный диагноз обычно выявляется только во время операции, в которой обнаружены дивертикулы кишечника.
Диагностика
Заподозрить наличие кишечных дивертикулов довольно сложно, так как это заболевание не имеет конкретной клинической картины. Чаще всего выпячивания обнаруживаются случайно, при поиске причины анемии, исключении кишечных опухолей. Для уточнения диагноза:
Если есть подозрение на дивертикулярное заболевание, гастроэнтеролог назначает ряд лабораторных анализов: общий анализ крови определяет воспалительные изменения и анемию, фекальные оккультные анализы крови помогают вовремя обнаружить кишечное кровотечение, а копрограмма и бактериологическое исследование кала диагностируют дисфункцию кишечника, пищеварительную систему расстройства и повышенное бактериальное загрязнение.
• Лучевая диагностика. Пациентам с этим заболеванием требуется орошение, желательно с двойным контрастом. На рентгеновском снимке будет виден выступ кишечной стенки, сообщающийся с кишечной полостью. Следует помнить, что при наличии осложнений дивертикула кишечника сначала необходимо сделать панорамную рентгенографию органов брюшной полости, убедиться, что нет признаков перфорации, и только потом назначать полив.
• Эндоскопия кишечника. Применение методов эндоскопической диагностики (колоноскопия, сигмоидоскопия) показано только после прекращения признаков воспаления. Колоноскопия является незаменимым методом поиска источника кровотечения, но может способствовать возникновению осложнений заболевания. Преимуществом эндоскопических методов является возможность проведения биопсии, морфологического исследования образцов биопсии.
Дифференциальная диагностика других заболеваний может потребовать УЗИ, компьютерной томографии, МСКТ органов брюшной полости. Дифференциация кишечной дивертикула должна проводиться при внематочной беременности, гипохромной анемии, псевдомембранозном колите, синдроме раздраженного кишечника, болезни Крона, остром аппендиците, целиакии, раке кишечника, ишемическом колите.
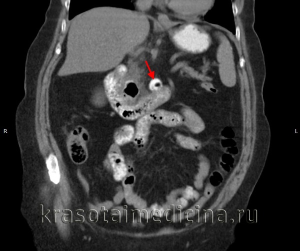
КТ ОБП. Дивертикул горизонтальной части двенадцатиперстной кишки частично заполнен контрастом, частично газом.
Если есть подозрение на дивертикулярное заболевание, гастроэнтеролог назначает ряд лабораторных анализов: общий анализ крови определяет воспалительные изменения и анемию, фекальные оккультные анализы крови помогают вовремя обнаружить кишечное кровотечение, а копрограмма и бактериологическое исследование кала диагностируют дисфункцию кишечника, пищеварительную систему расстройства и повышенное бактериальное загрязнение.
• Лучевая диагностика. Пациентам с этим заболеванием требуется орошение, желательно с двойным контрастом. На рентгеновском снимке будет виден выступ кишечной стенки, сообщающийся с кишечной полостью. Следует помнить, что при наличии осложнений дивертикула кишечника сначала необходимо сделать панорамную рентгенографию органов брюшной полости, убедиться, что нет признаков перфорации, и только потом назначать полив.
• Эндоскопия кишечника. Применение методов эндоскопической диагностики (колоноскопия, сигмоидоскопия) показано только после прекращения признаков воспаления. Колоноскопия является незаменимым методом поиска источника кровотечения, но может способствовать возникновению осложнений заболевания. Преимуществом эндоскопических методов является возможность проведения биопсии, морфологического исследования образцов биопсии.
Дифференциальная диагностика других заболеваний может потребовать УЗИ, компьютерной томографии, МСКТ органов брюшной полости. Дифференциация кишечной дивертикула должна проводиться при внематочной беременности, гипохромной анемии, псевдомембранозном колите, синдроме раздраженного кишечника, болезни Крона, остром аппендиците, целиакии, раке кишечника, ишемическом колите.
КТ ОБП. Дивертикул горизонтальной части двенадцатиперстной кишки частично заполнен контрастом, частично газом.
|
|
Лечение
Если пациент случайно имеет бессимптомный дивертикул кишечника, нет необходимости назначать специальное лечение. При наличии простых дивертикулов назначается диета, богатая клетчаткой, спазмолитическая и прокинетическая. Со всеми рекомендациями по лечению заболевания обычно достигается стойкий клинический эффект. Если у пациента развивается дивертикулит, рекомендуется применение кишечных антисептиков, антибиотиков, осмотических слабительных.
Чтобы нормализовать работу кишечника, следует отказаться от очищающих клизм, неконтролируемого использования слабительных средств. Положительный эффект достигается также при введении умеренных физических нагрузок в режим дня - они помогают укрепить мышечную массу тела, нормализуют моторику кишечника. Для снижения давления в просвете кишечника назначают диету, богатую клетчаткой (за исключением очень грубых волокон - ананасов, хурмы, репы, редиса). Количество клетчатки в рационе увеличивается до 32 г / л. Необходимо исключить газообразующие продукты, бобовые, газированные напитки. Для достижения желаемого эффекта необходимо употреблять не менее двух литров воды в день.
Применение стимулирующих слабительных средств, анальгетиков на основе морфина и дивертикулов противопоказано, так как они вызывают еще более выраженную нарушение моторики кишечника, усугубляя течение заболевания. Для улучшения прохождения пищи через кишечник назначают осмотические слабительные - они увеличивают количество стула и ускоряют его прохождение через пищеварительный тракт. При диарее назначают сорбенты и вяжущие средства, чтобы остановить метеоризм - препараты с симетиконом.
Острый дивертикулит требует госпитализации больного в хирургическом стационаре, назначения детоксикации и заменителей плазмы, антибактериальных препаратов. Лечение длится не менее двух-трех недель. После выписки из стационара поддерживающая терапия аналогична той, которая проводится с неосложненными дивертикулами.
Хирургическое лечение показано при угрожающих жизни осложнениях: перфорация, абсцесс, непроходимость кишечника, сильное кровотечение, образование свища. Кроме того, плановая операция по поводу рецидивирующего кровотечения и дивертикулита является обязательной. Обычно часть кишечника, пораженная дивертикулезом, резецируется с помощью анастомоза. В трудных ситуациях для облегчения дренирования кала выполняется колостома, а после стабилизации проводится реконструктивная операция.
Чтобы нормализовать работу кишечника, следует отказаться от очищающих клизм, неконтролируемого использования слабительных средств. Положительный эффект достигается также при введении умеренных физических нагрузок в режим дня - они помогают укрепить мышечную массу тела, нормализуют моторику кишечника. Для снижения давления в просвете кишечника назначают диету, богатую клетчаткой (за исключением очень грубых волокон - ананасов, хурмы, репы, редиса). Количество клетчатки в рационе увеличивается до 32 г / л. Необходимо исключить газообразующие продукты, бобовые, газированные напитки. Для достижения желаемого эффекта необходимо употреблять не менее двух литров воды в день.
Применение стимулирующих слабительных средств, анальгетиков на основе морфина и дивертикулов противопоказано, так как они вызывают еще более выраженную нарушение моторики кишечника, усугубляя течение заболевания. Для улучшения прохождения пищи через кишечник назначают осмотические слабительные - они увеличивают количество стула и ускоряют его прохождение через пищеварительный тракт. При диарее назначают сорбенты и вяжущие средства, чтобы остановить метеоризм - препараты с симетиконом.
Острый дивертикулит требует госпитализации больного в хирургическом стационаре, назначения детоксикации и заменителей плазмы, антибактериальных препаратов. Лечение длится не менее двух-трех недель. После выписки из стационара поддерживающая терапия аналогична той, которая проводится с неосложненными дивертикулами.
Хирургическое лечение показано при угрожающих жизни осложнениях: перфорация, абсцесс, непроходимость кишечника, сильное кровотечение, образование свища. Кроме того, плановая операция по поводу рецидивирующего кровотечения и дивертикулита является обязательной. Обычно часть кишечника, пораженная дивертикулезом, резецируется с помощью анастомоза. В трудных ситуациях для облегчения дренирования кала выполняется колостома, а после стабилизации проводится реконструктивная операция.