Другие названия и синонимы
Liver abscess.
МКБ-10 коды
- МКБ-10
- K75.0 Абсцесс печени
|
|
Описание
Это ограниченная полость, расположенная в печени и заполненная гноем. Это развивается в результате других болезней или первичного изменения. Это проявляется в болях в правом подреберье, лихорадке, пожелтении кожи. Диагноз устанавливается путем сбора интервью, обследования, УЗИ печени и с использованием вспомогательных методов исследования. Лечение может быть консервативным (антибактериальная терапия) или хирургическим (открытие абсцесса). Прогноз заболевания при своевременном начале лечения благоприятный.
Дополнительные факты
Абсцесс печени - это деструктивное заболевание, при котором в ткани печени образуется полость с гнойным содержимым. На сегодняшний день выявлено множество причин абсцессов печени, но наиболее значительными из них являются аппендицит, камни в желчном пузыре и сепсис. Такие абсцессы довольно сложно диагностировать, поэтому новейшие методы определения и лечения этого состояния постоянно развиваются. Используются более современные методы лечения - все чаще, когда абсцесс обнаруживается в печени, хирурги прибегают к ее лапароскопическому или тонкоигольному дренированию, а расширенные операции лапаротомии постепенно уходят в прошлое.
Причины
Основным условием формирования абсцесса в печени является снижение общего и местного иммунитета. Абсцесс может быть вызван различными патогенами, чаще всего это гемолитические стрептококки, золотистый стафилококк, энтеробактерии, кишечная палочка, клебсиелла, анаэробные микроорганизмы. Часто смешанная флора выделяется при посадке масла. Болезнь часто поражает мужчин. Амебическая этиология встречается в возрастной группе 20-35 лет, а бактериальная этиология - через 40 лет. Абсцессы печени подразделяются по пути заражения:
• по желчным протокам при холецистите, холангите, желчнокаменной болезни, холангиокарциноме;
• контакт при воспалительных процессах в области живота: аппендицит, дивертикулит, язвенный колит у людей с иммуносупрессией;
• через кровеносные сосуды при сепсисе.
Кроме того, инфекционный агент может проникать в орган при повреждениях печени, во время операции на печени, при заражении различными кистами печени (паразитарными и непаразитарными), кариесом и специфическими гранулемами. Иногда причина патологии не может быть определена.
• по желчным протокам при холецистите, холангите, желчнокаменной болезни, холангиокарциноме;
• контакт при воспалительных процессах в области живота: аппендицит, дивертикулит, язвенный колит у людей с иммуносупрессией;
• через кровеносные сосуды при сепсисе.
Кроме того, инфекционный агент может проникать в орган при повреждениях печени, во время операции на печени, при заражении различными кистами печени (паразитарными и непаразитарными), кариесом и специфическими гранулемами. Иногда причина патологии не может быть определена.
Классификация
В абдоминальной хирургии существует несколько классификаций абсцесса печени:
Одиночные и множественные абсцессы.
• В месте происхождения. Повреждение левой или правой доли печени.
Бактериальные абсцессы и паразиты.
В связи с развитием патология может быть первичной или вторичной. Некоторые авторы по-разному интерпретируют это разделение - ряд экспертов говорят об основном очаге инфекции, другие - о наличии или отсутствии изменений в ткани печени до возникновения абсцесса. Они сходятся в одном: причину возникновения первичного абсцесса обычно невозможно определить (такие абсцессы называются криптогенными).
Одиночные и множественные абсцессы.
• В месте происхождения. Повреждение левой или правой доли печени.
Бактериальные абсцессы и паразиты.
В связи с развитием патология может быть первичной или вторичной. Некоторые авторы по-разному интерпретируют это разделение - ряд экспертов говорят об основном очаге инфекции, другие - о наличии или отсутствии изменений в ткани печени до возникновения абсцесса. Они сходятся в одном: причину возникновения первичного абсцесса обычно невозможно определить (такие абсцессы называются криптогенными).
Клиническая картина
Формирование абсцесса обычно характеризуется появлением боли в правом подреберье, которая может распространяться под лопатку или плечо справа. Пациент замечает усиление боли в положении с левой стороны. Интенсивность боли может уменьшаться в положении справа, когда колени подняты к груди. Боль скучная, болезненная, постоянная. Также ощущается тяжесть в правом подреберье. Печень увеличена и выступает из-под реберной дуги. Значительная боль отмечается при пальпации печени или при надавливании на подреберье в проекции абсцесса.
Симптомы диспепсии могут беспокоить: потеря аппетита или потеря аппетита, тошнота, метеоризм, жидкий стул (диарея). Температура поднимается до лихорадочных значений (свыше 38 ° С), появляется простуда с холодными ступнями, появляются мурашки по коже. Отмечаются явления тяжелого отравления, тахикардия и сильное потоотделение.
Потеря веса часто является единственной жалобой на ранних стадиях абсцесса, поэтому диагностика на ранних стадиях затруднена. На более поздних стадиях появляется пожелтение слизистых оболочек и кожи. Когда кровеносные сосуды печени сжимаются или тромбируются из-за воспалительного процесса, может появиться асцит (скопление жидкости в брюшной полости).
Главная особенность эволюции абсцессов печени заключается в том, что клиника часто маскируется основным заболеванием, на котором развился фон, поэтому между началом заболевания часто проходит много времени. формирование патологического процесса и его диагностика.
Ассоциированные симптомы: Высокая температура тела. Ломота в мышцах. Метеоризм. Нейтрофилез. Озноб. Отсутствие аппетита. Понос (диарея). Потеря веса. Тошнота.
Симптомы диспепсии могут беспокоить: потеря аппетита или потеря аппетита, тошнота, метеоризм, жидкий стул (диарея). Температура поднимается до лихорадочных значений (свыше 38 ° С), появляется простуда с холодными ступнями, появляются мурашки по коже. Отмечаются явления тяжелого отравления, тахикардия и сильное потоотделение.
Потеря веса часто является единственной жалобой на ранних стадиях абсцесса, поэтому диагностика на ранних стадиях затруднена. На более поздних стадиях появляется пожелтение слизистых оболочек и кожи. Когда кровеносные сосуды печени сжимаются или тромбируются из-за воспалительного процесса, может появиться асцит (скопление жидкости в брюшной полости).
Главная особенность эволюции абсцессов печени заключается в том, что клиника часто маскируется основным заболеванием, на котором развился фон, поэтому между началом заболевания часто проходит много времени. формирование патологического процесса и его диагностика.
Ассоциированные симптомы: Высокая температура тела. Ломота в мышцах. Метеоризм. Нейтрофилез. Озноб. Отсутствие аппетита. Понос (диарея). Потеря веса. Тошнота.
Возможные осложнения
Абсцесс печени может осложняться прорывом гноя в брюшную или плевральную полость, полость перикарда и соседние органы (кишечник, желудок). Если сосудистая стенка разрушена, возможно сильное кровотечение. Также возможно распространение инфекции с образованием поддиафрагмального абсцесса, развитием сепсиса с образованием абсцессов в других органах (легких, головном мозге, почках ;).
Диагностика
Для своевременной диагностики абсцесса печени большое значение имеет правильная и подробная запись анамнеза. При этом выявлено наличие хронических очагов инфекции в организме больного и наличие в анамнезе серьезных инфекционных заболеваний, опухолей, операций, травм. Следует уточнить, с чем сам пациент связывает возникновение жалоб при их появлении и как изменился его характер с момента их появления.
По данным УЗИ гепатобилиарной системы, также можно обнаружить в печени полость, заполненную жидкостью и сгустками гноя, определить ее размер и топографию. В то же время под контролем УЗИ возможна тонкая игольная биопсия абсцесса с определением характера инсульта, чувствительности флоры к антибиотикам. Эта процедура является диагностической и лечебной, так как дренирование абсцесса печени проводится одновременно.
• Рентгенография ОБП. Для уточнения диагноза используются классические и современные методики. При выполнении рентгенографии вы можете обнаружить часть просветления в печени с помощью уровня жидкости, плевральной жидкости (реактивный плеврит), ограничения подвижности правой диафрагмы.
МРТ или МСКТ брюшной полости позволяет определить количество и расположение абсцессов, их размеры, помочь разработать оптимальную тактику лечения и план операции. С трудом в диагностике или неспособностью провести эти тесты, вы можете выполнить ангиографию и радиоизотопное сканирование печени - оба эти метода могут обнаружить дефекты кровоснабжения и накопления изотопов в печени, соответствующие местоположению и размеру абсцесса.
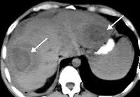
КТ ОБП. Подкожное повреждение правой доли печени с газовыми включениями (абсцесс печени).
• Лабораторные исследования. В лабораторных тестах обычно наблюдаются характерные изменения воспалительных заболеваний (снижение гемоглобина и эритроцитов, увеличение пула лейкоцитов, изменения лейкоцитов). При биохимическом анализе крови показатели возрастают, что указывает на повреждение ткани печени (АСТ, АЛТ, щелочная фосфатаза, билирубин).
В самых сложных случаях используют диагностическую лапароскопию. В этом случае в брюшную полость вставляется специальный видеоинструмент, который позволяет осматривать органы, определять диагноз и, по возможности, дренировать абсцесс. Дифференциальный диагноз абсцесса печени ставится при поддиафрагмальном абсцессе, гнойном плеврите, гнойном холецистите.
По данным УЗИ гепатобилиарной системы, также можно обнаружить в печени полость, заполненную жидкостью и сгустками гноя, определить ее размер и топографию. В то же время под контролем УЗИ возможна тонкая игольная биопсия абсцесса с определением характера инсульта, чувствительности флоры к антибиотикам. Эта процедура является диагностической и лечебной, так как дренирование абсцесса печени проводится одновременно.
• Рентгенография ОБП. Для уточнения диагноза используются классические и современные методики. При выполнении рентгенографии вы можете обнаружить часть просветления в печени с помощью уровня жидкости, плевральной жидкости (реактивный плеврит), ограничения подвижности правой диафрагмы.
МРТ или МСКТ брюшной полости позволяет определить количество и расположение абсцессов, их размеры, помочь разработать оптимальную тактику лечения и план операции. С трудом в диагностике или неспособностью провести эти тесты, вы можете выполнить ангиографию и радиоизотопное сканирование печени - оба эти метода могут обнаружить дефекты кровоснабжения и накопления изотопов в печени, соответствующие местоположению и размеру абсцесса.
КТ ОБП. Подкожное повреждение правой доли печени с газовыми включениями (абсцесс печени).
• Лабораторные исследования. В лабораторных тестах обычно наблюдаются характерные изменения воспалительных заболеваний (снижение гемоглобина и эритроцитов, увеличение пула лейкоцитов, изменения лейкоцитов). При биохимическом анализе крови показатели возрастают, что указывает на повреждение ткани печени (АСТ, АЛТ, щелочная фосфатаза, билирубин).
В самых сложных случаях используют диагностическую лапароскопию. В этом случае в брюшную полость вставляется специальный видеоинструмент, который позволяет осматривать органы, определять диагноз и, по возможности, дренировать абсцесс. Дифференциальный диагноз абсцесса печени ставится при поддиафрагмальном абсцессе, гнойном плеврите, гнойном холецистите.
|
|
Лечение
Лечение абсцесса печени.
Тактика лечения в каждом конкретном случае разрабатывается индивидуально. При наличии небольшого единичного или множественных мелких абсцессов тактика будет консервативной.Список литературы
1. Абсцессы печени / Ахаладзе Г.Г., Церетели И.Ю. Анналы хирургической гепатологии - 2006 - Т.11, №1.
2. Абсцессы печени: выбор метода лечения / Пащина С.Н., Благитко Е.М., Беспалов А.А. Медицинские и фармацевтические науки - 2014 - №4.
3. Современная тактика в лечении бактериальных абсцессов печени / Овчинников В.А., Малов А.А. Медицинский альманах - 2013 - №5.
4. Абсцессы печени: причины, диагностические ошибки и лечение. Автореферат диссертации / Церетели И.Ю. 2005.
2. Абсцессы печени: выбор метода лечения / Пащина С.Н., Благитко Е.М., Беспалов А.А. Медицинские и фармацевтические науки - 2014 - №4.
3. Современная тактика в лечении бактериальных абсцессов печени / Овчинников В.А., Малов А.А. Медицинский альманах - 2013 - №5.
4. Абсцессы печени: причины, диагностические ошибки и лечение. Автореферат диссертации / Церетели И.Ю. 2005.