Другие названия и синонимы
Visceroptosis, Синдром Гленара, Спланхноптоз, Энтероптоз.
МКБ-10 коды
- МКБ-10
- K63.4 Энтероптоз
|
|
Описание
Это нисходящее движение органов брюшной полости, особенно кишечных петель, по сравнению с их нормальным анатомическим положением. Это состояние проявляется хроническим запором, болями в разных частях живота, которые усиливаются при стоянии. Для диагностики энтероптоза используются тест Гленарда и инструментальные методики - ирригография, УЗИ органов брюшной полости, колоноскопия и сцинтиграфия. Консервативное лечение включает диетическую терапию, лечебную физкультуру и ношение бинта. При сложных формах внутренних органов показана операция.
Дополнительные факты
У висцероптоза есть несколько синонимов - энтероптоз, спланхноптоз, синдром Гленарда. Истинная частота этого заболевания неизвестна, потому что только около 10-20% случаев висцероптоза являются клинически очевидными. Большинство патологий выявляются случайно по отношению к другим симптомам. Существует 2 пиковых значения для выявления энтероптоза: в молодом возрасте и в пожилом возрасте (60-65 лет). Женщины страдают от выпадения органов брюшной полости в 3 раза чаще, чем мужчины. У детей висцеральные заболевания встречаются очень редко, чаще связаны с врожденными дефектами.
Причины
Точные этиологические факторы висцероптоза неизвестны. Некоторые ученые считают, что ненормальная подвижность живота и ее упущение являются конституционной версией нормы, если она не сопровождается клиническими симптомами. Более общая теория заключается в том, что висцероптоз возникает при нарушении комплекса стабилизирующих факторов. В современной гастроэнтерологии выделяют 3 группы причин энтероптоза:
• Слабость соединительной ткани. Нормальное положение органов достигается через связочный аппарат брюшной полости. Из-за дисплазии соединительной ткани эти связки и фасции недоразвиты. Причинами висцероптоза являются синдром Марфана и синдром Элерса-Данлоса.
• Более быстрая потеря веса. При тяжелой потере веса происходит потеря жировой ткани в брюшной полости и в забрюшинном пространстве. В результате все подвижные органы начинают двигаться вниз, что еще более усугубляется предрасположенностью человека к анатомическому висцероптозу.
Чрезмерное растяжение мышц живота. Эта причина связана с особыми случаями энтероптоза у женщин, которые неоднократно рожали, когда прямоугольные и косые мышцы живота слишком сильно расширяются и становятся атрофичными. Риск висцероптоза увеличивается после крупных вентральных грыж, рецидивирующего асцита.
• Слабость соединительной ткани. Нормальное положение органов достигается через связочный аппарат брюшной полости. Из-за дисплазии соединительной ткани эти связки и фасции недоразвиты. Причинами висцероптоза являются синдром Марфана и синдром Элерса-Данлоса.
• Более быстрая потеря веса. При тяжелой потере веса происходит потеря жировой ткани в брюшной полости и в забрюшинном пространстве. В результате все подвижные органы начинают двигаться вниз, что еще более усугубляется предрасположенностью человека к анатомическому висцероптозу.
Чрезмерное растяжение мышц живота. Эта причина связана с особыми случаями энтероптоза у женщин, которые неоднократно рожали, когда прямоугольные и косые мышцы живота слишком сильно расширяются и становятся атрофичными. Риск висцероптоза увеличивается после крупных вентральных грыж, рецидивирующего асцита.
Патогенез
Чаще всего при висцероптозе наблюдается поражение толстой кишки, которое является наиболее подвижным. Поперечная ободочная кишка приобретает U-образную форму, что затрудняет прохождение пищи и газов. Нарушение прохода через желудочно-кишечный тракт является основным патофизиологическим механизмом, который вызывает появление симптомов. При продолжающемся существовании энтероптоза возникают кишечные спайки и деформации.
Гистологически продолжительный висцероптоз представляет собой катаральное воспаление и атрофию определенных отделов кишечной стенки. Происходит подслизистая инфильтрация, при хроническом воспалительном процессе добавляются фиброзные изменения. Энтероптоз характеризуется постепенной гибелью интрамуральных нервных ганглиев, что провоцирует патологическое перенапряжение кишечника.
Гистологически продолжительный висцероптоз представляет собой катаральное воспаление и атрофию определенных отделов кишечной стенки. Происходит подслизистая инфильтрация, при хроническом воспалительном процессе добавляются фиброзные изменения. Энтероптоз характеризуется постепенной гибелью интрамуральных нервных ганглиев, что провоцирует патологическое перенапряжение кишечника.
Классификация
В зависимости от местоположения, висцероптоз различают с правой стороны и левой стороны. В странах СНГ по классификации российского клинициста А.И. Иванова (1996) с учетом выраженности клинических симптомов заболевания. Различают 3 степени энтероптоза: компенсированный (запор менее 3-4 дней), недостаточный (стул задерживается с 5 до 10 дней), декомпенсированный. По этиологическим факторам висцероптоз делится на 2 категории:
Этот вариант энтероптоза развивается при наличии предрасполагающих факторов и часто сопровождается неприятными клиническими признаками.
• Конституционный. Это происходит у людей с астеническим телосложением или из-за врожденных патологий связочного аппарата и удлинения брыжейки. В основном бессимптомный.
Этот вариант энтероптоза развивается при наличии предрасполагающих факторов и часто сопровождается неприятными клиническими признаками.
• Конституционный. Это происходит у людей с астеническим телосложением или из-за врожденных патологий связочного аппарата и удлинения брыжейки. В основном бессимптомный.
Клиническая картина
Пропуск определенных отделов толстой кишки проявляется в различных клинических симптомах. Наиболее часто диагностируемым висцероптозом является сгибание печени или селезенки толстой кишки, основным симптомом которого является запор. Человек чувствует тяжесть в животе и боль в области пупка. Беспокоит постоянное вздутие живота. Симптомы ухудшаются в вертикальном положении.
При аппендиксном висцероптозе все вышеперечисленные симптомы локализуются в области правой подвздошной кишки. Характеризуются приступами острой боли, напоминающими клинику для лечения острого аппендицита. При энтероптозе сигмовидной кишки наблюдаются изменения запора с диареей, как правило, в стуле наблюдаются включения слизи и крови. Пациенты жалуются на сильные спазмы в области левого таза.
Существует деформация и провисание живота, которое усиливается при наклоне тела вперед. Белые растяжки появляются на коже брюшной стенки. При висцероптозе пациенты испытывают неудобства при длительной ходьбе без повязки, при работе в наклонном положении. Часто определяется диастаз - расхождение мышц прямой кишки, которое можно заметить визуально или пальпировать.
Длительный висцероптоз приводит к хроническому запору. Сначала у пациентов нет стула в течение нескольких дней, в некоторых случаях возможно самостоятельное движение кишечника. По мере развития процесса запор длится до 10 и более дней, кал выходит только после постановки клизмы. В результате эндогенной интоксикации появляются слабость, головокружение, нервозность.
Ассоциированные симптомы: Запор. Запор у взрослых. Метеоризм. Понос (диарея). Общая слабость. Тяжесть. Тяжесть в животе.
При аппендиксном висцероптозе все вышеперечисленные симптомы локализуются в области правой подвздошной кишки. Характеризуются приступами острой боли, напоминающими клинику для лечения острого аппендицита. При энтероптозе сигмовидной кишки наблюдаются изменения запора с диареей, как правило, в стуле наблюдаются включения слизи и крови. Пациенты жалуются на сильные спазмы в области левого таза.
Существует деформация и провисание живота, которое усиливается при наклоне тела вперед. Белые растяжки появляются на коже брюшной стенки. При висцероптозе пациенты испытывают неудобства при длительной ходьбе без повязки, при работе в наклонном положении. Часто определяется диастаз - расхождение мышц прямой кишки, которое можно заметить визуально или пальпировать.
Длительный висцероптоз приводит к хроническому запору. Сначала у пациентов нет стула в течение нескольких дней, в некоторых случаях возможно самостоятельное движение кишечника. По мере развития процесса запор длится до 10 и более дней, кал выходит только после постановки клизмы. В результате эндогенной интоксикации появляются слабость, головокружение, нервозность.
Ассоциированные симптомы: Запор. Запор у взрослых. Метеоризм. Понос (диарея). Общая слабость. Тяжесть. Тяжесть в животе.
Возможные осложнения
Висцероптоз часто сочетается с растяжением и удлинением кишечника, что увеличивает риск инвагинации и инверсии кишечника. Эти условия опасны, потому что ишемия и некроз тканей наблюдаются при отсутствии медицинской помощи. Распространенным осложнением энтероптоза является синдром верхней брыжеечной артерии, сопровождающийся ишемическим некрозом кишечника.
Эксперты отмечают, что заболевание является независимым фактором риска развития хронического колита и энтерита. Висцероптоз, возникающий на фоне хронического застоя толстой кишки, в 66% случаев вызывает рефлюкс-эзофагит. 15% пациентов имеют дуоденальную непроходимость. Энтероптоз часто ассоциируется с гастроптозом (39%), нефроптозом (17,8%) и гепатоптозом (5%).
Эксперты отмечают, что заболевание является независимым фактором риска развития хронического колита и энтерита. Висцероптоз, возникающий на фоне хронического застоя толстой кишки, в 66% случаев вызывает рефлюкс-эзофагит. 15% пациентов имеют дуоденальную непроходимость. Энтероптоз часто ассоциируется с гастроптозом (39%), нефроптозом (17,8%) и гепатоптозом (5%).
|
|
Диагностика
Гастроэнтеролог осматривает пациентов с подозрением на висцероптоз. При физикальном осмотре патогномоничные проявления отсутствуют. Энтероптоз можно ожидать с положительным тестом Гленарда. Решающими в диагностике заболевания являются инструментальные методы визуализации кишечника:
• УЗИ органов брюшной полости. Ультрасонография является основным диагностическим исследованием, которое показывает нарушения анатомических взаимоотношений между органами брюшной полости. Ультразвук информативен для выявления сопутствующей патологии, осложнений энтероптоза.
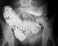
Рентгенограмма кишечника с усилением контраста является наиболее информативным методом выявления висцероптоза. Контраст раскрывает выпадение кишечника, расширение некоторых его отделов. Используя задержанные изображения, проверьте скорость прохождения через кишечник.
Радионуклидный метод диагностики энтероптоза проводится для установления ранних функциональных нарушений в функционировании пищеварительной системы. Сцинтиграфия более информативна, чем другие методы инструментальной диагностики, а также позволяет снизить лучевую нагрузку на пациента.
Эндоскопическое исследование - это вспомогательный метод диагностики, используемый для оценки состояния слизистого слоя толстой кишки. Исследование используется для дифференциальной диагностики висцероптоза, если у пациента имеются жалобы на слизь и кровь в кале.
• УЗИ органов брюшной полости. Ультрасонография является основным диагностическим исследованием, которое показывает нарушения анатомических взаимоотношений между органами брюшной полости. Ультразвук информативен для выявления сопутствующей патологии, осложнений энтероптоза.
Рентгенограмма кишечника с усилением контраста является наиболее информативным методом выявления висцероптоза. Контраст раскрывает выпадение кишечника, расширение некоторых его отделов. Используя задержанные изображения, проверьте скорость прохождения через кишечник.
Радионуклидный метод диагностики энтероптоза проводится для установления ранних функциональных нарушений в функционировании пищеварительной системы. Сцинтиграфия более информативна, чем другие методы инструментальной диагностики, а также позволяет снизить лучевую нагрузку на пациента.
Эндоскопическое исследование - это вспомогательный метод диагностики, используемый для оценки состояния слизистого слоя толстой кишки. Исследование используется для дифференциальной диагностики висцероптоза, если у пациента имеются жалобы на слизь и кровь в кале.
Лечение
Основное лечение висцероптоза - немедикаментозные методы. Пациент отбирается с помощью специальной диеты с дробным питанием, высоким содержанием клетчатки и жидкости. Изменение диеты направлено на активацию моторики кишечника, снижение риска возникновения запоров. При тяжелом выпадении органов при использовании выбирается специальная повязка, неприятные симптомы которой уменьшаются.
Не фармакологические методы энтероптозной терапии включают специальные комплексы лечебной физкультуры, которые направлены на укрепление мышц передней брюшной стенки. Лекарства назначаются гораздо реже. При хронических запорах используются легкие слабительные, масляные клизмы. При обнаружении воспалительных осложнений режим лечения подбирается индивидуально.
На стадии декомпенсации и недостаточной декомпенсации абдоминальные хирурги определяют показания к операции. В последние годы хирургические методы значительно улучшились, так что хорошие долгосрочные результаты наблюдаются у 93-95% пациентов. Как правило, используются различные варианты резекции толстой кишки с применением анастомозов.
Не фармакологические методы энтероптозной терапии включают специальные комплексы лечебной физкультуры, которые направлены на укрепление мышц передней брюшной стенки. Лекарства назначаются гораздо реже. При хронических запорах используются легкие слабительные, масляные клизмы. При обнаружении воспалительных осложнений режим лечения подбирается индивидуально.
На стадии декомпенсации и недостаточной декомпенсации абдоминальные хирурги определяют показания к операции. В последние годы хирургические методы значительно улучшились, так что хорошие долгосрочные результаты наблюдаются у 93-95% пациентов. Как правило, используются различные варианты резекции толстой кишки с применением анастомозов.
Список литературы
1. Симптоматология и диагностика правостороннего висцероптоза/ С.П. Боковой // Урологические ведомости. 2017.
2. Хирургическое лечение правостороннего висцероптоза/ С.П. Боковой// Урологические ведомости. 2018.
3. Диагностика и хирургическое лечение висцероптоза: автореферат диссертации/ А.В. Тобохов. 2003.
2. Хирургическое лечение правостороннего висцероптоза/ С.П. Боковой// Урологические ведомости. 2018.
3. Диагностика и хирургическое лечение висцероптоза: автореферат диссертации/ А.В. Тобохов. 2003.