Другие названия и синонимы
Malignant otitis externa, Некротизирующий наружный отит.
МКБ-10 коды
|
|
Описание
Злокачественный наружный средний отит. Это агрессивное воспаление наружного слухового прохода, характеризующееся вовлечением в патологический процесс костей основания черепа и хряща предсердия. Это проявляется как боль в ухе, оторея, потеря слуха, невропатия черепных нервов. Диагноз: отоскопия, микробиологические исследования, сцинтиграфия, КТ, МРТ височных костей. Проводится консервативное лечение антибиотиками, противогрибковыми средствами. При необходимости проводится хирургическое иссечение патологически измененной ткани.
Дополнительные факты
Злокачественный (некротический) средний отит является тяжелой формой диффузного наружного отита. Это редкий Pseudomonas aeruginosa является этиологическим фактором в 90-96% случаев. Это в основном относится к людям с ослабленным иммунитетом, одинаково часто к мужчинам и женщинам. Заболевание в основном выявляется у пожилых людей (старше 60-65 лет), страдающих диабетом типа 2. В детском и подростковом возрасте эта форма отита встречается реже. Среди детей с некротическим наружным отитом пациенты с диабетом составляют лишь около 20%. Смертность от среднего злокачественного отита колеблется в пределах 33-80%.
Причины
Основными возбудителями заболевания являются патогенные и условно-патогенные бактерии. В подавляющем большинстве случаев заболевание вызывается Pseudomonas aeruginosa, реже кокковой микрофлорой, клебсиеллой и протей. Микробиологическое исследование слухового прохода иногда выявляет грибки или представителей рода сandida, а также ассоциации грибов и бактерий. Очень редко возникновение патологического процесса вызывает появление вирусов. Наружный средний отит, вызванный штаммами устойчивых к лекарственным средствам больничных микроорганизмов, является более тяжелым.
В большинстве случаев эта патология диагностируется у пожилых пациентов с сахарным диабетом, реже у пациентов с другими эндокринными заболеваниями и иммунологическими нарушениями. Злокачественный наружный средний отит выявляется у ВИЧ-инфицированных пациентов и у пациентов со сниженными локальными защитными функциями. Больные раком, люди, страдающие гиповитаминозом, попадают в группу риска. В детстве основными предрасполагающими факторами развития заболевания являются гемобласты и первичные иммунодефициты.
Спусковой механизм хронического повреждения кожи ушного канала. Это происходит, когда вода регулярно поступает в ухо, наушники надеваются, а орган для туалета работает неправильно. Факторы риска включают диффузное внешнее воспаление и хронический средний отит с гноем. Пролитый средний отит часто приобретает злокачественное течение на фоне экзематозных и себорейных поражений кожи уха.
В большинстве случаев эта патология диагностируется у пожилых пациентов с сахарным диабетом, реже у пациентов с другими эндокринными заболеваниями и иммунологическими нарушениями. Злокачественный наружный средний отит выявляется у ВИЧ-инфицированных пациентов и у пациентов со сниженными локальными защитными функциями. Больные раком, люди, страдающие гиповитаминозом, попадают в группу риска. В детстве основными предрасполагающими факторами развития заболевания являются гемобласты и первичные иммунодефициты.
Спусковой механизм хронического повреждения кожи ушного канала. Это происходит, когда вода регулярно поступает в ухо, наушники надеваются, а орган для туалета работает неправильно. Факторы риска включают диффузное внешнее воспаление и хронический средний отит с гноем. Пролитый средний отит часто приобретает злокачественное течение на фоне экзематозных и себорейных поражений кожи уха.
Патогенез
Инфекция поврежденного слухового прохода служит воротами к инфекции. Нарушения микроциркуляции при диабете, снижение функции иммунной защиты приводят к активному размножению возбудителей и тяжелому неспецифическому воспалению. В слуховом проходе гранулы быстро растут. Патологический процесс постепенно распространяется на подлежащую ткань и ушную раковину. Развиваются воспалительные некротические поражения в хряще, остеомиелит основания черепа.
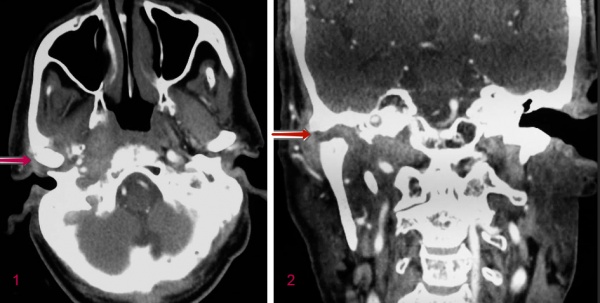
КТ пациента со злокачественным наружным средним отитом. Эрозия височно-нижнечелюстного сустава и помутнение мягких тканей барабанной полости. 1 - осевой, 2 - венечный.
КТ пациента со злокачественным наружным средним отитом. Эрозия височно-нижнечелюстного сустава и помутнение мягких тканей барабанной полости. 1 - осевой, 2 - венечный.
Классификация
В МКБ 10 злокачественный наружный средний отит изолирован в отдельной нозологической форме. Заболевание классифицируется в зависимости от этиологического фактора, места и распространенности процесса. Отдельной строкой сделаны доступные осложнения. Некоторые важные отоларингологи выделяют следующие клинические и рентгенологические стадии течения заболевания:
• I (начальная) фаза. Характеризуется наличием воспаления в области наружного слухового прохода, прилегающих мягких тканей. Возможен неврит лицевого нерва.
• II (общая) фаза. Есть признаки остеомиелита височной кости и (или) основания черепа, есть симптомы повреждения одной или нескольких пар черепных нервов.
• III (поздняя) фаза. Гнойно-воспалительный процесс распространяется на мозг и его оболочки.
• I (начальная) фаза. Характеризуется наличием воспаления в области наружного слухового прохода, прилегающих мягких тканей. Возможен неврит лицевого нерва.
• II (общая) фаза. Есть признаки остеомиелита височной кости и (или) основания черепа, есть симптомы повреждения одной или нескольких пар черепных нервов.
• III (поздняя) фаза. Гнойно-воспалительный процесс распространяется на мозг и его оболочки.
Клиническая картина
Одним из основных проявлений некротического среднего отита является стойкий тяжелый болевой синдром. Пациента беспокоят боли в соответствующем ухе, которое иррадиирует в височно-нижнечелюстной сустав, затылок. Он увеличивается, когда вы открываете рот, сморкаетесь и глотаете. Интенсивность боли усиливается ночью. Характерна острая гемикраниалгия. У некоторых пациентов наблюдается тонический спазм жевательных мышц. Злокачественный средний отит часто ассоциируется с отореей. Из ушного канала вытекают вонючие желто-зеленые выделения.
Рост грануляций в ушном канале вызывает чувство запора в ушах, значительное снижение слуха. Признаки общего отравления у взрослых обычно незначительны. Температура тела повышается до субфебрильных цифр, незначительная общая слабость. У некоторых пациентов симптомы заболевания лицевого нерва появляются на ранних стадиях заболевания. Лицо становится асимметричным, язык становится размытым. Происходит слезотечение, нарушено слюноотделение.
Мягкие ткани околоушной области набухают, увеличиваются в размерах и становятся болезненными регионарными лимфатическими узлами. При переходе патологии в ушную раковину наблюдаются отеки, гиперемия. В области вокруг устья слухового прохода видно красное зернистое кровотечение с малейшей травмой. Злокачественный наружный средний отит у детей характеризуется острым и быстрым началом с лихорадкой или гипертермической лихорадкой. Лицевой паралич возникает рано и часто.
Злокачественный наружный средний отит. Сужение слухового прохода, отек ушной раковины, большое количество экссудата.
Ассоциированные симптомы: Боль в ухе. Заложенность уха. Лейкоцитоз.
Рост грануляций в ушном канале вызывает чувство запора в ушах, значительное снижение слуха. Признаки общего отравления у взрослых обычно незначительны. Температура тела повышается до субфебрильных цифр, незначительная общая слабость. У некоторых пациентов симптомы заболевания лицевого нерва появляются на ранних стадиях заболевания. Лицо становится асимметричным, язык становится размытым. Происходит слезотечение, нарушено слюноотделение.
Мягкие ткани околоушной области набухают, увеличиваются в размерах и становятся болезненными регионарными лимфатическими узлами. При переходе патологии в ушную раковину наблюдаются отеки, гиперемия. В области вокруг устья слухового прохода видно красное зернистое кровотечение с малейшей травмой. Злокачественный наружный средний отит у детей характеризуется острым и быстрым началом с лихорадкой или гипертермической лихорадкой. Лицевой паралич возникает рано и часто.
Злокачественный наружный средний отит. Сужение слухового прохода, отек ушной раковины, большое количество экссудата.
Ассоциированные симптомы: Боль в ухе. Заложенность уха. Лейкоцитоз.
Возможные осложнения
Злокачественный средний отит часто осложняется некрозом барабанной перепонки. Часто происходит сужение слухового прохода, кондуктивная потеря слуха. Переход воспаления в ушную раковину приводит к ее деформации. Наружный слуховой канал граничит со стилоидным отверстием - местом выхода лицевого нерва из полости черепа. Паралич Белла является наиболее распространенной невропатией, которая осложняет эту болезнь.
Без надлежащего лечения болезнь прогрессирует. Пары черепных нервов IX - XI участвуют в злокачественном воспалительном процессе. Проникновение и размножение возбудителя в крови приводит к бактериемии, сепсису. Развивается тромбоз яремной вены и твердой мозговой оболочки, менингит, абсцессы головного мозга. Смертность при повреждении хвостовой нервной группы достигает 80%.
Без надлежащего лечения болезнь прогрессирует. Пары черепных нервов IX - XI участвуют в злокачественном воспалительном процессе. Проникновение и размножение возбудителя в крови приводит к бактериемии, сепсису. Развивается тромбоз яремной вены и твердой мозговой оболочки, менингит, абсцессы головного мозга. Смертность при повреждении хвостовой нервной группы достигает 80%.
|
|
Диагностика
История болезни позволяет определить, есть ли у пациента сахарный диабет, нарушения иммунитета. Была определена продолжительность заболевания и продолжительность лечения, если оно было проведено. В ходе исследования выявляются отеки и гиперемия уха, увеличение периферических лимфатических узлов. Пальпация ушной раковины, давление на разрез вызывают сильную боль. Основные диагностические симптомы заболевания определяются на основании данных:
При осмотре с помощью отоскопа выявляются припухлость и покраснение стенок ушного канала. Этот метод позволяет обнаружить наличие гнойных выделений в канале, микроабсцессов и грануляций, а также признаки воспаления и некроза барабанной перепонки. Под контролем отоскопии взяты образцы патологической секреции.
• Лабораторные испытания. При клиническом анализе крови, легком лейкоцитозе, обнаруживается неуточненное смещение формулы лейкоцитов влево. СОЭ быстро ускорилась. Микробиологическое исследование секрета позволяет выявить возбудителя заболевания и определить его чувствительность к антибиотикам.
• Методы визуализации. При сцинтиграфии определяются очаги воспаления височной кости и основания черепа. КТ, магнитно-резонансная томография головного мозга, в дополнение к костным изменениям, дают возможность выявлять эпидуральную эмпиему, признаки повреждения матки и обнаруживать абсцессы в центральной нервной системе.
Злокачественный наружный средний отит необходимо дифференцировать с новообразованиями уха, костей черепа. Описаны случаи сочетания этого заболевания и временного рака кости. Назначены консультации с онкологом, челюстно-лицевым хирургом. В процессе хирургического удаления пораженной ткани проводится биопсия с последующим цитологическим исследованием полученного материала.
Отоскопическая картина со злокачественным наружным средним отитом.
При осмотре с помощью отоскопа выявляются припухлость и покраснение стенок ушного канала. Этот метод позволяет обнаружить наличие гнойных выделений в канале, микроабсцессов и грануляций, а также признаки воспаления и некроза барабанной перепонки. Под контролем отоскопии взяты образцы патологической секреции.
• Лабораторные испытания. При клиническом анализе крови, легком лейкоцитозе, обнаруживается неуточненное смещение формулы лейкоцитов влево. СОЭ быстро ускорилась. Микробиологическое исследование секрета позволяет выявить возбудителя заболевания и определить его чувствительность к антибиотикам.
• Методы визуализации. При сцинтиграфии определяются очаги воспаления височной кости и основания черепа. КТ, магнитно-резонансная томография головного мозга, в дополнение к костным изменениям, дают возможность выявлять эпидуральную эмпиему, признаки повреждения матки и обнаруживать абсцессы в центральной нервной системе.
Злокачественный наружный средний отит необходимо дифференцировать с новообразованиями уха, костей черепа. Описаны случаи сочетания этого заболевания и временного рака кости. Назначены консультации с онкологом, челюстно-лицевым хирургом. В процессе хирургического удаления пораженной ткани проводится биопсия с последующим цитологическим исследованием полученного материала.
Отоскопическая картина со злокачественным наружным средним отитом.
Лечение
Этиотропное лечение включает длительное одновременное применение местных и системных антибактериальных препаратов, активных против Pseudomonas aeruginosa. Назначают цефалоспорины 3-4 поколения, фторхинолоны. Эффективность лечения повышается за счет комбинации антибиотикотерапии с анти-Pseudomonas aeruginosa и местного применения специфического бактериофага. Если в патологических выделениях обнаружены грибы, используются противогрибковые препараты. Обязательно скорректируйте уровень глюкозы в крови пациента. Гипербарическая оксигенация проводится.
При ограниченном процессе на начальной стадии заболевания, чтобы устранить источник инфекции, иногда используется хирургическое удаление пораженных тканей. Однако этот метод часто неэффективен, болезнь прогрессирует. Хирургическое лечение некротического среднего отита обычно носит паллиативный характер. Удаление некротических тканей и грануляций, дренирование абсцессов.
При ограниченном процессе на начальной стадии заболевания, чтобы устранить источник инфекции, иногда используется хирургическое удаление пораженных тканей. Однако этот метод часто неэффективен, болезнь прогрессирует. Хирургическое лечение некротического среднего отита обычно носит паллиативный характер. Удаление некротических тканей и грануляций, дренирование абсцессов.
Лечение злокачественного наружного отита.
Некротический средний отит является показанием для госпитализации в отделении отоларингологии. Пациент нуждается в постоянном медицинском наблюдении и агрессивном лечении. Большинство авторов имеют отрицательную связь с хирургической резекцией пораженных участков, полагая, что патология, таким образом, быстрее распространяется на интактные ткани. Предпочтение отдается консервативному ведению пациентов.Список литературы
1. Злокачественный наружный отит: современные принципы диагностики и лечения/ Никифорова Г.Н., Свистушкин В.М., Шевчик Е.А., Золотова А.В. Вестник оториноларингологии. 2017 - №1.
2. К вопросу применения иммунотерапии в лечении злокачественного наружного отита (клинический случай)/ Сенченко В.Г., Приставко Т.М., Берест И.Е. Лечащий врач. 2017.
3. Наружный отит: обоснование лечения и профилактики/ Тарасова Г. Д. Русский медицинский журнал. 2017 - №5.
4. Наружные отиты/ Клинические рекомендации министерства здравоохранения Российской Федерации 2014 г.
2. К вопросу применения иммунотерапии в лечении злокачественного наружного отита (клинический случай)/ Сенченко В.Г., Приставко Т.М., Берест И.Е. Лечащий врач. 2017.
3. Наружный отит: обоснование лечения и профилактики/ Тарасова Г. Д. Русский медицинский журнал. 2017 - №5.
4. Наружные отиты/ Клинические рекомендации министерства здравоохранения Российской Федерации 2014 г.