Другие названия и синонимы
Rhinolith, Назальный камень, Носовой камень.
МКБ-10 коды
|
|
Описание
Это расчет полости носа в результате отложения минеральных солей и слизи вокруг инородного тела. Основные клинические проявления включают заложенность носа, затрудненное дыхание через нос, периодические выделения крови или гнойные выделения, головную боль. Физическое обследование, передняя риноскопия, назальная эндоскопия, рентгенография, компьютерная или магнитно-резонансная томография синусов очень информативны для диагностики ринолита. Основное лечение включает хирургическое вмешательство, медикаментозное лечение и физиотерапию, являются вспомогательными.
Дополнительные факты
Ринолит (носовой или назальный камень) - это кальцинированная масса в полости носа, окружающая эндогенное или экзогенное инородное тело. Эти камни были впервые описаны в 1654 году датским ученым и доктором Бартолином. Ринит является довольно редкой патологией: частота возникновения составляет не более 1: 10000 пациентов. Ринит в 90% случаев имеет одностороннюю локализацию. Носовой камень чаще встречается у дошкольников или подростков, но из-за длительного бессимптомного течения он также может быть обнаружен у взрослых. Известно, что у людей патология встречается чаще.
Причины
Основной причиной образования камня является длительное пребывание в носу инородного тела. Это приводит к изменениям в носовой слизи: она становится более вязкой, с большим количеством солей. Реже встречается идиопатическая форма заболевания, возникающая по неизвестной причине. Основными факторами, способствующими формированию носового камня, являются:
• Трава и медицинские процедуры. После переломов костей черепа в полости носа могут остаться небольшие костные фрагменты. Ватные тампоны или шовный материал, которые остаются после медицинских манипуляций, также могут служить основой для ринолита.
• Промышленные риски. Носовые камни могут образовываться у людей, которые много работали на заводах с цементной пылью или токсичными химикатами. Работники фермы также подвержены риску из-за частого контакта с шерстью.
• Низкое качество стоматологических услуг. Материал пломбы и корни зуба могут выступать в качестве постороннего предмета. Они проникают из полости рта в верхнечелюстную пазуху с повреждением ее нижней стенки во время медицинских процедур. Впоследствии инородные тела движутся в полость носа через отверстие, сообщающееся со средним носовым проходом.
• Трава и медицинские процедуры. После переломов костей черепа в полости носа могут остаться небольшие костные фрагменты. Ватные тампоны или шовный материал, которые остаются после медицинских манипуляций, также могут служить основой для ринолита.
• Промышленные риски. Носовые камни могут образовываться у людей, которые много работали на заводах с цементной пылью или токсичными химикатами. Работники фермы также подвержены риску из-за частого контакта с шерстью.
• Низкое качество стоматологических услуг. Материал пломбы и корни зуба могут выступать в качестве постороннего предмета. Они проникают из полости рта в верхнечелюстную пазуху с повреждением ее нижней стенки во время медицинских процедур. Впоследствии инородные тела движутся в полость носа через отверстие, сообщающееся со средним носовым проходом.
Патогенез
Инородные тела обычно попадают в полость носа через тамбур. Гораздо реже встречаются случаи проникновения в нос от ротоглотки до хоан. Это происходит при чихании, рвоте или кашле у людей, которые держат во рту маленькие предметы (таблетки, пуговицы, твердую пищу). Посторонние предметы попадают в нижний или средний носовой проход, где они могут оставаться в течение длительного времени. Они выступают в качестве центрального ядра при формировании ринолита.
Постепенно в области обнаружения инородного тела развивается хронический воспалительный процесс. Скопление лимфоцитов и макрофагов наблюдается вблизи поражения, образуя гигантские многоядерные клетки. Из-за изменения характера носовой слизи органические и неорганические компоненты откладываются вокруг центрального ядра. Он продолжает расти, увеличиваясь в размерах, нарушая дыхательные пути.
Идиопатический ринолит возникает, когда соли выпадают из естественной носовой слизи и образуют центр кристаллизации. Камень содержит до 20-25% органических веществ, в неорганических компонентах преобладают кальций, магний, фосфаты, углекислый газ. Ринолит имеет различные формы: овальные, клиновидные, круглые, треугольные с заостренными краями. Средняя масса носового камня составляет от 0,9 до 6 г, но встречаются более крупные массивные образования.
Постепенно в области обнаружения инородного тела развивается хронический воспалительный процесс. Скопление лимфоцитов и макрофагов наблюдается вблизи поражения, образуя гигантские многоядерные клетки. Из-за изменения характера носовой слизи органические и неорганические компоненты откладываются вокруг центрального ядра. Он продолжает расти, увеличиваясь в размерах, нарушая дыхательные пути.
Идиопатический ринолит возникает, когда соли выпадают из естественной носовой слизи и образуют центр кристаллизации. Камень содержит до 20-25% органических веществ, в неорганических компонентах преобладают кальций, магний, фосфаты, углекислый газ. Ринолит имеет различные формы: овальные, клиновидные, круглые, треугольные с заостренными краями. Средняя масса носового камня составляет от 0,9 до 6 г, но встречаются более крупные массивные образования.
Классификация
Инородные тела могут либо проникать в нос снаружи, либо возникать под воздействием внутренних факторов. В редких случаях центральное ядро не может быть обнаружено. В связи с этим принято классифицировать ринолиты по происхождению:
• Эндогенный ринолит. Эндогенное центральное ядро может быть результатом отслоения тромба, слизи, отломка кости после травмы черепа. Реже молочные зубы, перемещающиеся в носовую полость, действуют как инородное тело.
• Экзогенный ринолит. Экзогенными ядрами могут быть любые мелкие предметы: семена растений, детали бытовой техники, песок, синтетические материалы. Часто промышленная пыль или шерсть животных становятся источником развития носа.
• Идиопатический ринолит. Такой диагноз ставится, если в ходе исследования не было выявлено исходное ядро носового камня. Реже центральное ядро не может быть обнаружено во время его биодеградации (резорбции тромба). Предполагается, что для формирования ринолита требуются особые условия, созданные в полости носа.
• Эндогенный ринолит. Эндогенное центральное ядро может быть результатом отслоения тромба, слизи, отломка кости после травмы черепа. Реже молочные зубы, перемещающиеся в носовую полость, действуют как инородное тело.
• Экзогенный ринолит. Экзогенными ядрами могут быть любые мелкие предметы: семена растений, детали бытовой техники, песок, синтетические материалы. Часто промышленная пыль или шерсть животных становятся источником развития носа.
• Идиопатический ринолит. Такой диагноз ставится, если в ходе исследования не было выявлено исходное ядро носового камня. Реже центральное ядро не может быть обнаружено во время его биодеградации (резорбции тромба). Предполагается, что для формирования ринолита требуются особые условия, созданные в полости носа.
Клиническая картина
Носовой камень формируется постепенно в течение многих месяцев или даже лет, из-за чего в начальной стадии нет клинических проявлений. Со временем рост образования вызывает односторонние затруднения при носовом дыхании, боли, острые боли, сильный дискомфорт в носу. Пациенты с носовыми камнями часто подвержены заболеваниям верхних дыхательных путей, вызванным вирусами, бактериями.
Основным симптомом, который указывает на присутствие постороннего предмета в носу, является выделение. Они имеют слизисто-гнойный характер, имеют неприятный запах, который сам пациент не замечает. Во время простуды количество выделений резко увеличивается, из носовых ходов могут отрываться небольшие корочки. Если присутствие камня вызвало повреждение и изъязвление кровеносных сосудов, то из носа много крови.
У пациентов также наблюдается полная или частичная потеря запаха (гипосмия или аносмия). Крупные атипичные ринолиты в процессе роста вызывают искривление перегородки, деформируют нос. Многие пациенты замечают появление слезящихся глаз, диффузную головную боль, которая напоминает мигрень. Клинически наличие назального камня может проявляться как риносинусит или синусит.
Ассоциированные симптомы: Боль в носу. Заложенность носа. Кашель. Потеря обоняния. Рвота.
Основным симптомом, который указывает на присутствие постороннего предмета в носу, является выделение. Они имеют слизисто-гнойный характер, имеют неприятный запах, который сам пациент не замечает. Во время простуды количество выделений резко увеличивается, из носовых ходов могут отрываться небольшие корочки. Если присутствие камня вызвало повреждение и изъязвление кровеносных сосудов, то из носа много крови.
У пациентов также наблюдается полная или частичная потеря запаха (гипосмия или аносмия). Крупные атипичные ринолиты в процессе роста вызывают искривление перегородки, деформируют нос. Многие пациенты замечают появление слезящихся глаз, диффузную головную боль, которая напоминает мигрень. Клинически наличие назального камня может проявляться как риносинусит или синусит.
Ассоциированные симптомы: Боль в носу. Заложенность носа. Кашель. Потеря обоняния. Рвота.
Возможные осложнения
При длительном наличии камня в носу развивается пролежневая язва, которая затем может привести к перфорации перегородки носа, необратимому разрушению хрящевой кости носа. Добавление инфекции способствует образованию гнойной лицевой области, гнойных процессов на орбите. В особо тяжелых случаях развиваются кроветворный менингит и остеомиелит черепа. Главной угрозой для жизни пациента являются спонтанные носовые кровотечения. С их развитием ночью есть шанс для аспирации крови.
|
|
Диагностика
Диагноз ринолита может быть подтвержден путем анализа жалоб, данных медицинского осмотра, осмотра у ЛОР-врача, серии лабораторных и инструментальных исследований. При опросе пациента особое внимание уделяется времени появления первых симптомов, типу работы пациента, наличию травм головы или предшествующим стоматологическим вмешательствам. Для диагностики носовых камней используются следующие:
• Объективный осмотр. При наличии крупных ринолитов наблюдается выраженная деформация носа, прохождение воздуха через ноздрю затруднено или полностью отсутствует. Пациент испытывает дискомфорт при сканировании полости носа. Перкуссия переносицы может привести к усилению боли.
• Передняя риноскопия. Кальцинированные массы, окружающие инородное тело, становятся видимыми во время осмотра. Слизистая оболочка атрофирована, в некоторых случаях наблюдается отек с гиперемией. Носовая полость содержит слизь с неприятным запахом и мелкими корочками. У детей и подростков эндоскопия носа используется для распознавания камней.
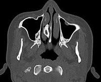
Магнитно-резонансная томография или КТ околоносовых пазух может определить местонахождение назального камня, его размеры, а также его отношение к пазухам. Рентгенография PPN отражает расположение только радиоактивных тел и состояние костных структур.
Необходимо дифференцировать назальный камень от озерного, насморк и гайморит, гайморит верхнечелюстной. Реже клиническая картина заболевания напоминает злокачественную или доброкачественную опухоль носа. Дифдиагностика также проводится при врожденных патологиях (искривление перегородки, сужение носовых ходов, свищи) и травматических травмах лица.
• Объективный осмотр. При наличии крупных ринолитов наблюдается выраженная деформация носа, прохождение воздуха через ноздрю затруднено или полностью отсутствует. Пациент испытывает дискомфорт при сканировании полости носа. Перкуссия переносицы может привести к усилению боли.
• Передняя риноскопия. Кальцинированные массы, окружающие инородное тело, становятся видимыми во время осмотра. Слизистая оболочка атрофирована, в некоторых случаях наблюдается отек с гиперемией. Носовая полость содержит слизь с неприятным запахом и мелкими корочками. У детей и подростков эндоскопия носа используется для распознавания камней.
Магнитно-резонансная томография или КТ околоносовых пазух может определить местонахождение назального камня, его размеры, а также его отношение к пазухам. Рентгенография PPN отражает расположение только радиоактивных тел и состояние костных структур.
Необходимо дифференцировать назальный камень от озерного, насморк и гайморит, гайморит верхнечелюстной. Реже клиническая картина заболевания напоминает злокачественную или доброкачественную опухоль носа. Дифдиагностика также проводится при врожденных патологиях (искривление перегородки, сужение носовых ходов, свищи) и травматических травмах лица.
Лечение
В современной оториноларингологии используется преимущественно хирургическое лечение носового камня. Операция проводится в стационарных условиях в плановом порядке под местной или общей анестезией. Под контролем эндоскопа инородное тело удаляется с помощью пинцета или щипцов. Если ринолит большой, его сначала измельчают и последовательно удаляют мелкие фрагменты. При необходимости иссекают измененные ткани, срезы носовой перегородки.
Когда полость носа заражена, ее промывают антисептическими растворами и антимикробными средствами. После заживления мягких тканей проводится пластическая операция, направленная на восстановление целостности носовой перегородки и нормализацию носового дыхания. При необходимости переднюю носовую тампонаду используют для остановки кровотечения.
В послеоперационном периоде назначают этиотропную терапию антибиотиками с учетом лекарственной устойчивости (цефалоспорины, защищенные пенициллины, макролиды и фторхинолоны). Капли Vasoconstrictor назначаются для уменьшения отеков и боли, антигистаминных и нестероидных противовоспалительных препаратов. Для ускорения процессов регенерации используются антиоксиданты, витамины, физиотерапия (эндоназальный электрофорез с глюкокортикоидами, индуктотерм, ультрафиолетовое излучение).
Когда полость носа заражена, ее промывают антисептическими растворами и антимикробными средствами. После заживления мягких тканей проводится пластическая операция, направленная на восстановление целостности носовой перегородки и нормализацию носового дыхания. При необходимости переднюю носовую тампонаду используют для остановки кровотечения.
В послеоперационном периоде назначают этиотропную терапию антибиотиками с учетом лекарственной устойчивости (цефалоспорины, защищенные пенициллины, макролиды и фторхинолоны). Капли Vasoconstrictor назначаются для уменьшения отеков и боли, антигистаминных и нестероидных противовоспалительных препаратов. Для ускорения процессов регенерации используются антиоксиданты, витамины, физиотерапия (эндоназальный электрофорез с глюкокортикоидами, индуктотерм, ультрафиолетовое излучение).
Список литературы
1. Отоларингология: учебник для вузов/ Бабияк В.И., Говорун М.И., Накатис Я.А., Пащинин А.Н. 2012.
2. Атлас по оториноларингологии. Том 1. Нос и околоносовые пазухи/ Томассин Дж. М. 2002.
3. Ринолиты: биоминералогические аспекты/ Каткова В.И., Филиппов В.Н. Вестник института геологии Коми научного центра Уральского отделения РАН. 2015.
4. A case presentation of a large rhinolith/ Shah F.A., George S., Reghunanden N. Oman Med J. 2010 - 25(3).
2. Атлас по оториноларингологии. Том 1. Нос и околоносовые пазухи/ Томассин Дж. М. 2002.
3. Ринолиты: биоминералогические аспекты/ Каткова В.И., Филиппов В.Н. Вестник института геологии Коми научного центра Уральского отделения РАН. 2015.
4. A case presentation of a large rhinolith/ Shah F.A., George S., Reghunanden N. Oman Med J. 2010 - 25(3).