Другие названия и синонимы
Schilder 's leukoencephalitis.
МКБ-10 коды
|
|
Описание
Лейкоэнцефалит Шильдера. Дегенеративное демиелинизирующее повреждение головного мозга, сопровождающееся образованием обширных или слитых зон демиелинизации. Он развивается регулярно с неспецифической и полиморфной клинической картиной, которая может включать психические расстройства, пирамидные и экстрапирамидные синдромы, когнитивные нарушения, повреждение черепных нервов, эписиндром. Лейкоэнцефалит Шильдера диагностируется по клиническим критериям и результатам МРТ после исключения другой патологии с похожими проявлениями. Терапия проводится с помощью глюкокортикостероидов, противосудорожных средств, миорелаксантов и психотропных средств. Однако лечение малоэффективно.
Дополнительные факты
Лейкоэнцефалит Шильдера был впервые рассмотрен как самостоятельная нозология в 1912 году психоневрологом, чье имя было четко зафиксировано на названии заболевания, хотя сам автор описал патологию, которую он описал термином «диффузный периаксиальный лейкоэнцефалит». Позже несколько исследователей представили описания других клинических форм лейкоэнцефалита: в 1941 г. - геморрагический лейкоэнцефалит, в 1945 г. - подострый склерозирующий лейкоэнцефалит. Поскольку основным патоморфологическим субстратом заболевания являются зоны диффузного демиелинирования белого вещества, лейкоэнцефалит Шильдера входит в группу демиелинизирующих заболеваний.
Преобладающий возраст для начала болезни Шильдера все еще является спорным вопросом. Зарубежные специалисты в области неврологии считают его характерным дебютом в период от 7 до 12 лет, а некоторые авторы предлагают отнести заболевание к инфантильной форме рассеянного склероза. Наблюдения отечественных неврологов, напротив, указывают на одинаковую степень вреда людям разных возрастных категорий.
Преобладающий возраст для начала болезни Шильдера все еще является спорным вопросом. Зарубежные специалисты в области неврологии считают его характерным дебютом в период от 7 до 12 лет, а некоторые авторы предлагают отнести заболевание к инфантильной форме рассеянного склероза. Наблюдения отечественных неврологов, напротив, указывают на одинаковую степень вреда людям разных возрастных категорий.
Причины
Этиопатогенез болезни Шильдера в настоящее время изучается. Из названия заболевания ясно, что воспалительная этиология поражения головного мозга, H. энцефалит, который изначально был замешан. Считается, что вирусная теория болезни - медленная инфекция. Роль кори, герпетической инфекции и миксовирусов, которые могут запускать процесс аутоиммунного церебрального воспаления, обсуждается среди возможных инфекционных агентов. Неудачные попытки выделить возбудителя привели к развитию другой этиопатогенетической теории. Последнее указывает на связь между лейкоэнцефалитом Шильдера и нарушением регуляторных механизмов липидного обмена, что приближает болезнь к наследственным лейкодистрофиям.
Морфологические изменения заключаются в образовании в белом веществе головного мозга полушарий значительных зон демиелинизации, которые имеют четко очерченные очертания и часто расположены асимметрично. В некоторых случаях эти поражения образуются в мозжечке и стволе мозга. У пациентов с половым созреванием и в зрелом возрасте были описаны случаи, когда наряду с обширными зонами демиелинизации наблюдаются очаги круглых бляшек, напоминающие бляшки рассеянного склероза.
Морфологические изменения заключаются в образовании в белом веществе головного мозга полушарий значительных зон демиелинизации, которые имеют четко очерченные очертания и часто расположены асимметрично. В некоторых случаях эти поражения образуются в мозжечке и стволе мозга. У пациентов с половым созреванием и в зрелом возрасте были описаны случаи, когда наряду с обширными зонами демиелинизации наблюдаются очаги круглых бляшек, напоминающие бляшки рассеянного склероза.
Клиническая картина
Заболевание характеризуется наличием неспецифических и полиморфных симптомов. Могут проявляться постепенно развивающиеся психические расстройства: лабильность настроения, апатия, нарушение поведения, эпизоды возбуждения с галлюцинаторным синдромом. Интеллектуальный упадок прогрессирует до слабоумия. Наблюдаются аграфия, акалькулия, алексия, агнозия и апраксия. Из-за демиелинизации черепных нервов возникают неврит зрительного нерва, офтальмоплегия, потеря слуха, потеря зрения, бульбарные расстройства. Когда поражается мозжечок, появляются мозжечковая атаксия, скандированная речь и преднамеренный тремор. Поражение зрительной зоны коры приводит к гемианопсии, корковому амаврозу. Возможны экстрапирамидные расстройства в виде гиперкинеза, торсионной дистонии Пирамидные расстройства обычно наблюдаются на поздних стадиях лейкоэнцефалита в виде моно-, геми- и тетрапареза. Часто наблюдается судорожный синдром (например, Джексонова эпилепсия или с генерализованными эпипристами), характеризующийся отсутствием специфической картины ЭЭГ.
Вариабельность сочетания различных симптоматических комплексов настолько выражена, что не позволяет выделить типичный вариант течения болезни Шильдера. В одних случаях клиника похожа на прогрессирующий вариант рассеянного склероза, в других это псевдотумор, в третьем напоминает психиатрическую патологию. В последнем случае психиатр может лечить пациентов до появления явных неврологических симптомов.
Ассоциированные симптомы: Галлюцинации. Скандированная речь. Слабость мышц (парез). Судороги. Тремор. Эмоциональная лабильность.
Вариабельность сочетания различных симптоматических комплексов настолько выражена, что не позволяет выделить типичный вариант течения болезни Шильдера. В одних случаях клиника похожа на прогрессирующий вариант рассеянного склероза, в других это псевдотумор, в третьем напоминает психиатрическую патологию. В последнем случае психиатр может лечить пациентов до появления явных неврологических симптомов.
Ассоциированные симптомы: Галлюцинации. Скандированная речь. Слабость мышц (парез). Судороги. Тремор. Эмоциональная лабильность.
Диагностика
Очень трудно диагностировать признак лейкоэнцефалита in vivo. Эта задача требует, чтобы невролог тщательно сравнил историю болезни, клинические и томографические данные и тщательно провел дифференциальную диагностику с подобными заболеваниями. Для осмотра зрительных и акустических анализаторов можно обратиться к офтальмологу и ЛОР-специалисту.
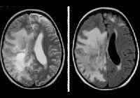
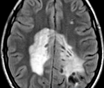
Электроэнцефалография показывает признаки диффузного поражения головного мозга: снижение альфа-активности и дезорганизация ритма; Эпилептиформная активность часто определяется. При исследовании спинномозговой жидкости было обнаружено увеличение уровня гамма-глобулина на фоне снижения удельного веса фракции альбумина. Наиболее информативным типом инструментальной диагностики является МРТ головного мозга. Болезнь Шильдера подтверждает наличие по крайней мере одного большого или пары слитых участков демиелинизации в белом веществе.
Многие неврологи используют критерии с.M. определить окончательный диагноз. Poser 1985: наличие по данным МРТ 1-2 круглых зон демиелинизации размером не менее 2х3 отсутствие надпочечниковой патологии; исключение любой другой патологии головного мозга (внутримозговая опухоль, диссеминированный энцефаломиелит, инсульт ); соблюдение нормы уровня жирных кислот в сыворотке крови; выявление в плотном срезе зон диффузного хронического рассеянного склероза. В некоторых случаях только гистологическое исследование тканей головного мозга пораженного участка позволяет отличить лейкоэнцефалит Шильдера от лейкодистрофии.
Электроэнцефалография показывает признаки диффузного поражения головного мозга: снижение альфа-активности и дезорганизация ритма; Эпилептиформная активность часто определяется. При исследовании спинномозговой жидкости было обнаружено увеличение уровня гамма-глобулина на фоне снижения удельного веса фракции альбумина. Наиболее информативным типом инструментальной диагностики является МРТ головного мозга. Болезнь Шильдера подтверждает наличие по крайней мере одного большого или пары слитых участков демиелинизации в белом веществе.
Многие неврологи используют критерии с.M. определить окончательный диагноз. Poser 1985: наличие по данным МРТ 1-2 круглых зон демиелинизации размером не менее 2х3 отсутствие надпочечниковой патологии; исключение любой другой патологии головного мозга (внутримозговая опухоль, диссеминированный энцефаломиелит, инсульт ); соблюдение нормы уровня жирных кислот в сыворотке крови; выявление в плотном срезе зон диффузного хронического рассеянного склероза. В некоторых случаях только гистологическое исследование тканей головного мозга пораженного участка позволяет отличить лейкоэнцефалит Шильдера от лейкодистрофии.