Другие названия и синонимы
Primary bronchopulmonary amyloidosis.
МКБ-10 коды
|
|
Описание
Первичный бронхолегочный амилоидоз. Это заболевание вызвано отложением патологического фибриллярного белка (амилоида) в органах и тканях дыхательной системы. В зависимости от распространенности и локализации процесса заболевание может проявляться в виде непродуктивного сухого кашля, кровохарканья, признаков обструкции бронхов или прогрессирующего увеличения одышки. Патология диагностируется с помощью рентгенографии и КТ грудной клетки, лабораторных методов, биопсии пораженной ткани. Одиночные амилоидные бляшки удаляются хирургическим путем. При лечении диффузного процесса используются комбинации цитостатиков с кортикостероидами, трансплантация костного мозга.
Дополнительные факты
Первичный (АЛ) бронхолегочный амилоидоз встречается редко. Распространенность всех форм заболевания составляет 0,8 на 100 000 населения. Первичный амилоидоз обычно возникает в возрасте от 40 до 70 лет. Пациенты в возрасте до 50 лет составляют 10% от всех выявленных пациентов. Мужчины страдают от этой патологии чаще, чем женщины. Отложение амилоида в тканях связано с множественной миеломой и другими лимфопролиферативными В-клеточными нарушениями в 10-20% случаев. Процесс системный у 30-35% пациентов. Симптомы поражения дыхательных путей наблюдаются у 50% пациентов с амилоидозом АЛ. По данным вскрытия, накопление патологического белка в легких присутствует у 80% тех, кто умирает от этого заболевания.
Причины
Отложение амилоида в ткани легких и дыхательных путей приводит к появлению в красном костном мозге большого количества плазматических клеток, принадлежащих одному и тому же клону. Такие плазматические клетки синтезируют аномальные амилоидогенные легкие цепи иммуноглобулина, вызывая первичный идиопатический амилоидоз, миелому и макроглобулинемию Вальденстрема. Иногда аномальный клон клеток образуется вне костного мозга. Развивается местный патологический процесс, чаще всего поражающий бронхолегочный аппарат. Причины плазменной дискрасии не установлены.
Патогенез
Патогенез AL амилоидоза до конца не изучен. Известно, что из-за неисправностей блока клеточного иммунитета происходит синтез Т-лимфоцитов и неконтролируемое размножение клонов плазматических клеток. Моноклональные легкие цепи иммуноглобулина, синтезируемые плазматическими клетками, являются предшественниками аномального белка - амилоидных фибрилл. Предположительно, есть нарушение функции удаления патологических белков из организма человека. Соединения накапливаются в крови, поглощаются макрофагами, оседают в органах-мишенях и нарушают их функции.
Бронхолегочная система поражена в гортани, трахее, бронхах, паренхиме легких. При локализованных формах патологии имеются гладкие белесовато-серые образования, выступающие в просвет полого органа или одиночные амилоидные очаги в ткани легких. При диффузных поражениях наблюдается амилоидная инфильтрация подслизистого слоя дыхательных путей, соединительной и перибронхиальной и альвеолярной тканей. Патологические белки накапливаются в межальвеолярных перегородках и вокруг кровеносных сосудов, в результате чего капилляры, артериолы и венулы сокращаются и становятся пустынными.
Бронхолегочная система поражена в гортани, трахее, бронхах, паренхиме легких. При локализованных формах патологии имеются гладкие белесовато-серые образования, выступающие в просвет полого органа или одиночные амилоидные очаги в ткани легких. При диффузных поражениях наблюдается амилоидная инфильтрация подслизистого слоя дыхательных путей, соединительной и перибронхиальной и альвеолярной тканей. Патологические белки накапливаются в межальвеолярных перегородках и вокруг кровеносных сосудов, в результате чего капилляры, артериолы и венулы сокращаются и становятся пустынными.
Классификация
Разделение патологического процесса на генерализованные и локализованные варианты имеет клиническое значение из-за различных подходов к лечению пациента. Ранее были выделены только диффузные и узловые формы первичного амилоидоза, но дальнейшие наблюдения подтвердили существование смешанного диффузно-узлового смешанного варианта в течение заболевания. Специалисты в области пневмологии предлагают следующую современную классификацию заболевания:
• Диффузное интерстициальное повреждение легких. Амилоид накапливается между легочным интерстицием и эндотелием сосудов. Патология сложнее, сочетается с амилоидной болезнью сердца.
• Узловые отложения фибриллярного белка. Одиночные или множественные поражения амилоидной псевдопухоли обнаруживаются в гортани, трахее, бронхах и (или) легочной паренхиме.
• Амилоидное поражение плевры. Аномальный белок откладывается в межклеточных пространствах висцеральной и париетальной плевры и лимфатических сосудов, что приводит к появлению одностороннего или двустороннего гидроторакса, устойчивого к лечению диуретиками.
• Эндотрахеальная лимфаденопатия. Происходит с амилоидным повреждением лимфатических узлов средостения. Это может быть бессимптомно или в форме заболевания пищевода и желудка.
• Первичный амилоидоз диафрагмы. Это очень редкая форма заболевания, которая обычно сопровождается другими типами респираторной амилоидной дистрофии.
• Диффузное интерстициальное повреждение легких. Амилоид накапливается между легочным интерстицием и эндотелием сосудов. Патология сложнее, сочетается с амилоидной болезнью сердца.
• Узловые отложения фибриллярного белка. Одиночные или множественные поражения амилоидной псевдопухоли обнаруживаются в гортани, трахее, бронхах и (или) легочной паренхиме.
• Амилоидное поражение плевры. Аномальный белок откладывается в межклеточных пространствах висцеральной и париетальной плевры и лимфатических сосудов, что приводит к появлению одностороннего или двустороннего гидроторакса, устойчивого к лечению диуретиками.
• Эндотрахеальная лимфаденопатия. Происходит с амилоидным повреждением лимфатических узлов средостения. Это может быть бессимптомно или в форме заболевания пищевода и желудка.
• Первичный амилоидоз диафрагмы. Это очень редкая форма заболевания, которая обычно сопровождается другими типами респираторной амилоидной дистрофии.
Клиническая картина
Клиническая картина во многом зависит от расположения амилоидных отложений и количества повреждений дыхательных путей. Одиночные образования, расположенные в дыхательных путях или в легочном интерстиции, не мешают нормальному функционированию дыхательной системы. Симптомы заболевания отсутствуют, патология выявляется случайно. Диффузный амилоидоз гортани и трахеи проявляется охриплостью голоса. Поражение верхних дыхательных путей вызывает раздражающий и сухой приступообразный кашель, иногда сопровождающийся кровохарканьем.
При сужении просвета трахеи или крупных бронхов с диффузными амилоидными отложениями пациент жалуется на затрудненное дыхание, хрипы часто слышны на расстоянии. Из-за уменьшения диаметра дыхательных путей большого или среднего калибра нарушается бронхолегочный дренаж. Включается бактериальная инфекция, в соответствующем сегменте или доле легкого развивается воспалительный процесс. Температура тела поднимается до лихорадочного уровня, появляются признаки интоксикации и боль в груди усиливается при глубоком дыхании.
Первичный амилоидоз лимфатических узлов средостения часто приводит к сдавлению пищевода и появлению соответствующих симптомов. Пациент жалуется на затруднения при глотании и боли в груди во время еды. При поражении плевры у пациента беспокоят тупая ноющая боль и ощущение тяжести в груди с одной или обеих сторон. Дыхание частое, поверхностное. В одностороннем процессе соответствующая половина грудной клетки участвует в акте дыхания с задержкой. Особенностью гидроторакса при амилоидозе является отсутствие эффекта от применения диуретиков. Из-за нарушения процессов секреции и резорбции плевральной жидкости экссудат продолжает накапливаться во время лечения и после эвакуации.
Наиболее серьезным вариантом течения заболевания является первичный альвеолярный бронхолегочный амилоидоз. Заболевание проявляется эпизодами сухого кашля и постепенно усиливающейся одышкой. Вначале пациент ощущает нехватку воздуха при умеренных физических нагрузках, затем - при малейшем движении и разговоре, а также в состоянии покоя. Из-за сопутствующего сердечно-сосудистого повреждения больного беспокоят приступы давящих и сжимающих болей в области сердца, падения артериального давления, отеки ног. При любой диффузной форме AL-амилоидоза клинической картине предшествует значительное снижение (до 10-15 кг в год) массы тела. Заболевание часто сопровождается геморрагическими высыпаниями вокруг глаз и увеличением языка.
Ассоциированные симптомы: Боль в грудной клетке. Гиперпротеинемия. Гиперфибриногенемия. Кашель. Кровохарканье. Нехватка воздуха. Одышка. Отеки ног.
При сужении просвета трахеи или крупных бронхов с диффузными амилоидными отложениями пациент жалуется на затрудненное дыхание, хрипы часто слышны на расстоянии. Из-за уменьшения диаметра дыхательных путей большого или среднего калибра нарушается бронхолегочный дренаж. Включается бактериальная инфекция, в соответствующем сегменте или доле легкого развивается воспалительный процесс. Температура тела поднимается до лихорадочного уровня, появляются признаки интоксикации и боль в груди усиливается при глубоком дыхании.
Первичный амилоидоз лимфатических узлов средостения часто приводит к сдавлению пищевода и появлению соответствующих симптомов. Пациент жалуется на затруднения при глотании и боли в груди во время еды. При поражении плевры у пациента беспокоят тупая ноющая боль и ощущение тяжести в груди с одной или обеих сторон. Дыхание частое, поверхностное. В одностороннем процессе соответствующая половина грудной клетки участвует в акте дыхания с задержкой. Особенностью гидроторакса при амилоидозе является отсутствие эффекта от применения диуретиков. Из-за нарушения процессов секреции и резорбции плевральной жидкости экссудат продолжает накапливаться во время лечения и после эвакуации.
Наиболее серьезным вариантом течения заболевания является первичный альвеолярный бронхолегочный амилоидоз. Заболевание проявляется эпизодами сухого кашля и постепенно усиливающейся одышкой. Вначале пациент ощущает нехватку воздуха при умеренных физических нагрузках, затем - при малейшем движении и разговоре, а также в состоянии покоя. Из-за сопутствующего сердечно-сосудистого повреждения больного беспокоят приступы давящих и сжимающих болей в области сердца, падения артериального давления, отеки ног. При любой диффузной форме AL-амилоидоза клинической картине предшествует значительное снижение (до 10-15 кг в год) массы тела. Заболевание часто сопровождается геморрагическими высыпаниями вокруг глаз и увеличением языка.
Ассоциированные симптомы: Боль в грудной клетке. Гиперпротеинемия. Гиперфибриногенемия. Кашель. Кровохарканье. Нехватка воздуха. Одышка. Отеки ног.
|
|
Возможные осложнения
Амилоидные массы, накопленные в тканях и органах, метаболически инертны и становятся механическим препятствием для нормального функционирования органов и систем. Широко распространенное отложение фибриллярного белка в просвете бронха вызывает его стеноз и ателектаз соответствующей части легкого. Хронически продолжающееся или рецидивирующее воспаление развивается с последующим фиброзом легочной ткани. Диффузный альвеолярный первичный амилоидоз в сочетании с повреждением сердца в течение нескольких месяцев после начала заболевания приводит к тяжелой легочной сердечной недостаточности и последующей смерти пациента.
Диагностика
Пульмонологи и гематологи участвуют в диагностическом обследовании подозреваемого первичного бронхолегочного амилоидоза. При обследовании пациента могут быть обнаружены периорбитальное кровотечение, макроглоссия, задержка половины грудной клетки при дыхании. Перкуссия и аускультация показывают признаки выпота в плевральных полостях. Хрипящее хрипение может указывать на интерстициальную травму. Окончательный диагноз ставится по результатам:
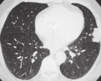
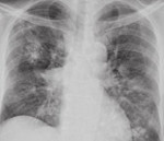
• Радиационная диагностика. При одиночном отростке на рентгенограмме легких визуализируются плотные округлые очаги. При диффузных поражениях дыхательных путей бронхолегочный рисунок улучшается, выявляется небольшое очаговое распространение. На плевральный амилоидоз указывают признаки гидроторакса - плотное затенение с косой линией Дамуасо в нижних отделах легких. КТ легких также выявляет увеличение средостенных лимфатических узлов.
• Лабораторные исследования. Общие клинические анализы крови и мочи не имеют смысла. Количество тромбоцитов в крови иногда увеличивается, а СОЭ ускоряется. Повышенное содержание белка обнаруживается в моче. Биохимические анализы крови показывают гиперпротеинемию, гипергаммаглобулинемию, высокий уровень холестерина, щелочную фосфатазу и трансаминазы. Диагностически значимым исследованием является электрофорез (иммуноэлектрофорез) мочи и сыворотки крови, с помощью которого можно обнаружить часть моноклональных белков.
• Бронхоскопия и биопсия. При бронхоскопическом исследовании дыхательных путей можно обнаружить характерные бело-серые амилоидные бляшки на фоне грубой, отечной, складчатой слизистой оболочки и патологического материала. При локализации амилоидных отложений в легких, плевре или диафрагме выполняется биопсия с использованием торакоскопии или торакотомии. Накопление аномального белка обнаружено в материале биопсии.
Функциональные пробы представляют собой вспомогательные методы диагностики, которые позволяют определить характер нарушений функции внешнего дыхания и степень дыхательной недостаточности, подтвердить наличие признаков перегрузки правого сердца. Пункция костного мозга используется для определения множественной миеломы и другой парапротеинемии. Первичный бронхолегочный амилоидоз следует дифференцировать от опухолей гортани, бронхов, легких, саркоидоза, туберкулеза, идиопатического альвеолярного фиброза. Пациенты должны быть обследованы врачом-фтизиатром, онкологом, оториноларингологом.
• Радиационная диагностика. При одиночном отростке на рентгенограмме легких визуализируются плотные округлые очаги. При диффузных поражениях дыхательных путей бронхолегочный рисунок улучшается, выявляется небольшое очаговое распространение. На плевральный амилоидоз указывают признаки гидроторакса - плотное затенение с косой линией Дамуасо в нижних отделах легких. КТ легких также выявляет увеличение средостенных лимфатических узлов.
• Лабораторные исследования. Общие клинические анализы крови и мочи не имеют смысла. Количество тромбоцитов в крови иногда увеличивается, а СОЭ ускоряется. Повышенное содержание белка обнаруживается в моче. Биохимические анализы крови показывают гиперпротеинемию, гипергаммаглобулинемию, высокий уровень холестерина, щелочную фосфатазу и трансаминазы. Диагностически значимым исследованием является электрофорез (иммуноэлектрофорез) мочи и сыворотки крови, с помощью которого можно обнаружить часть моноклональных белков.
• Бронхоскопия и биопсия. При бронхоскопическом исследовании дыхательных путей можно обнаружить характерные бело-серые амилоидные бляшки на фоне грубой, отечной, складчатой слизистой оболочки и патологического материала. При локализации амилоидных отложений в легких, плевре или диафрагме выполняется биопсия с использованием торакоскопии или торакотомии. Накопление аномального белка обнаружено в материале биопсии.
Функциональные пробы представляют собой вспомогательные методы диагностики, которые позволяют определить характер нарушений функции внешнего дыхания и степень дыхательной недостаточности, подтвердить наличие признаков перегрузки правого сердца. Пункция костного мозга используется для определения множественной миеломы и другой парапротеинемии. Первичный бронхолегочный амилоидоз следует дифференцировать от опухолей гортани, бронхов, легких, саркоидоза, туберкулеза, идиопатического альвеолярного фиброза. Пациенты должны быть обследованы врачом-фтизиатром, онкологом, оториноларингологом.
Лечение
Этиопатогенетическая терапия не разработана. Отдельные амилоидные узлы удаляются хирургическим путем. Стентирование органов и трахеотомия выполняются для стенозирования диффузных поражений трахеи. При консервативном лечении генерализованных форм АЛ амилоидоза используются препараты, подавляющие активность плазматических клеток. Назначение алкилирующих цитостатиков (мелфалан) или ингибиторов протеасом (бортезомиб) в сочетании с кортикостероидными гормонами позволяет добиться ремиссии процесса и продлить жизнь пациента на несколько лет. Трансплантация костного мозга дает относительно хорошие результаты лечения. Активное развитие новых методов лечения.
Список литературы
1. Первичный изолированный амилоидоз бронхолегочно системы (клиническое наблюдение)/ Баранов А.В., Ягофиров А. Альманах клинической медицины. 2007.
2. Амилоидоз респираторного тракта/ Свистушкин В.М. Мустафаев Д.М. Русский медицинский журнал. 2014 - №26.
3. Системны амилоидоз: диагноз, дифференциальный диагноз, лечение/ Захарован Е.В. Лечащий врач. 2004.
2. Амилоидоз респираторного тракта/ Свистушкин В.М. Мустафаев Д.М. Русский медицинский журнал. 2014 - №26.
3. Системны амилоидоз: диагноз, дифференциальный диагноз, лечение/ Захарован Е.В. Лечащий врач. 2004.