Другие названия и синонимы
Multiple caries.
МКБ-10 коды
- МКБ-10
- K02 Кариес зубов
|
|
Описание
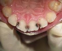
Множественный кариес. Это распад твердых зубных тканей с образованием множества полостей. На зубе меловые подземные пятна и глубокие полости диагностируются одновременно. Неудовлетворительный гигиенический индекс. Чтобы отличить множественный кариес от некариозных поражений, используйте метод витального окрашивания - УФ-стоматология. Лечение направлено на повышение общей резистентности, нормализации слюноотделения. Реминерализирующая терапия показана местно, подготовка кариеса с восстановлением анатомии зубов материалами с кариопротекторным эффектом.
Дополнительные факты
Множественный (острый, скачущий, цветущий) кариес - патологический процесс, характеризующийся высокой степенью активности и быстро прогрессирующим течением. При обследовании детей диагноз ставится в 10-13% случаев, чаще патология выявляется в дошкольном и школьном возрасте. Частое повреждение зубов развивается в 2-5 раз чаще на фоне хронической соматической патологии. У 87% детей с наследственными заболеваниями диагностирован многочисленный кариес. У 40% много кариеса сочетается с системной гипоплазией.
Причины
Причины.
Расцвет зубов - это полиэтиологическое заболевание, характеризующееся агрессивным течением. Развивается на фоне подавления иммунореактивности организма. Хотя множественный кариес диагностируется чаще в детском возрасте, множественные кариозные поражения могут развиваться у взрослых из-за воздействия экстремальных факторов. Местные кариогенные причины:• Патогенные микроорганизмы. Развитие кариозного процесса связано с микрофлорой полости рта. Микробы составляют 70% зубного налета, 40% которого составляют стрептококки. Streptococcus mutans играет ведущую кариогенную роль.
• Качественные и количественные изменения слюны. Слюна обладает защитной минерализующей функцией и поддерживает рН в нейтральных пределах. Снижение потока слюны, случайное нарушение состава слюны увеличивает скорость кариеса.
• Дефектная структура эмали. Устойчивость зубов к внешним воздействиям зависит от типа гидроксиапатита, от наличия включений в его составе: F, сo, Mn. Несовершенство структуры может быть вызвано нарушениями закладки и образованием белкового матрикса эмали, а также срывом процессов первичной или вторичной минерализации.
• Снижение иммунитета. Перенесенные инфекционные заболевания, лучевая терапия за счет подавления иммунного состояния способствуют развитию кариозного процесса. Группа риска состоит из детей с врожденными пороками развития, наследственными синдромами.
• Эндокринная патология. У больных сахарным диабетом слюнные железы нарушаются, вследствие чего естественная самоочищение зубов от налета не происходит.
• Нарушения кальциево-фосфорного обмена. Рахит сопровождается гипокальциемией. Из-за недостаточной минерализации зубы становятся органами-мишенями, подвергаясь чрезмерному воздействию агрессивных кариогенных факторов.
Патогенез
На фоне уменьшения общей буферной емкости слюны, повышения уровня патогенных микроорганизмов снижается резистентность твердых тканей. Развитие патологии способствует сдвигу рН и одновременно снижает минерализационный потенциал слюны. Из-за снижения активности щелочной фосфатазы, низкого лизоцима и повышенной вязкости слюна теряет свои защитные свойства.
Неорганическая фаза эмали растворяется под воздействием органических кислот. Протеолитические ферменты приводят к разрушению органического дентинового матрикса. При диабете множественный кариес возникает вследствие гипосаливации.
На фоне гипоксии развиваются кариозные поражения вследствие изменения биохимических показателей слюны. Из-за снижения парциального напряжения активность фермента слюнной лактатдегидрогеназы, продуктов перекисного окисления липидов, возрастает. Нарушение энергообмена проявляется в увеличении концентрации продуктов анаэробного гликолиза с высоким соотношением лактат / пируват слюны, что придает ротовой жидкости выраженные кариогенные свойства.
Неорганическая фаза эмали растворяется под воздействием органических кислот. Протеолитические ферменты приводят к разрушению органического дентинового матрикса. При диабете множественный кариес возникает вследствие гипосаливации.
На фоне гипоксии развиваются кариозные поражения вследствие изменения биохимических показателей слюны. Из-за снижения парциального напряжения активность фермента слюнной лактатдегидрогеназы, продуктов перекисного окисления липидов, возрастает. Нарушение энергообмена проявляется в увеличении концентрации продуктов анаэробного гликолиза с высоким соотношением лактат / пируват слюны, что придает ротовой жидкости выраженные кариогенные свойства.
Клиническая картина
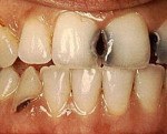
Патология характеризуется острым быстро прогрессирующим течением с одновременным поражением 7 и более зубов. При осмотре обнаружен множественный кариес на разных стадиях развития: от пятна до глубокой полости. Поражаются не только чувствительные к кариесу участки (трещины), но и иммунные зоны. Верхушки бугорков жевательных зубов, вестибулярные поверхности, режущие кромки подвержены кариозному процессу. Полости локализуются на зубах, которые поражаются гораздо реже, чем другие - клыки и нижние резцы.
Несколько очагов могут сливаться друг с другом, образуя кратерообразные поверхности с острыми краями. У детей часто диагностируется круговой кариозный процесс. При осмотре выявляется декомпенсированная форма патологии, низкий уровень гигиены и обилие зубного налета даже при регулярной чистке зубов. Кариозные полости заполнены размягченным дентином, который удаляется слоями с помощью экскаватора. Высокий риск открытия пульповой камеры.
Дети и взрослые с скачущим кариозным процессом замечают боль, когда едят сладости, которые исчезают после удаления раздражителя. Пациенты могут заметить застревание пищи между зубами, наличие неприятного запаха изо рта. С развитием осложнений пульпа участвует в патологическом процессе.
Несколько очагов могут сливаться друг с другом, образуя кратерообразные поверхности с острыми краями. У детей часто диагностируется круговой кариозный процесс. При осмотре выявляется декомпенсированная форма патологии, низкий уровень гигиены и обилие зубного налета даже при регулярной чистке зубов. Кариозные полости заполнены размягченным дентином, который удаляется слоями с помощью экскаватора. Высокий риск открытия пульповой камеры.
Дети и взрослые с скачущим кариозным процессом замечают боль, когда едят сладости, которые исчезают после удаления раздражителя. Пациенты могут заметить застревание пищи между зубами, наличие неприятного запаха изо рта. С развитием осложнений пульпа участвует в патологическом процессе.
Возможные осложнения
При круглой смене шейки матки риск повреждения коронки зуба высок. Пациенты нарушают посадку старых реставраций. В результате агрессивного, быстро прогрессирующего курса возникают осложнения. В большинстве случаев многие кариес осложняются хроническим пульпитом и периодонтитом, минуя острую фазу.
Многократное разрушение временных зубов происходит быстрее, чем постоянных. Это связано со структурой молочных зубов. Наличие тонкого слоя эмали, зон слабой минерализации в дентине, достигающих пульповой камеры, низкой активности пульпы способствует быстрому развитию осложнений.
Пульпит может возникнуть в течение 3-4 месяцев с момента образования первичного кариеса. В подростковом возрасте подростки взрывают зубы и на 70% удаляют постоянные моляры. Наличие субгингивальных и наддесневых отложений приводит к гингивиту - гингивиту.
Многократное разрушение временных зубов происходит быстрее, чем постоянных. Это связано со структурой молочных зубов. Наличие тонкого слоя эмали, зон слабой минерализации в дентине, достигающих пульповой камеры, низкой активности пульпы способствует быстрому развитию осложнений.
Пульпит может возникнуть в течение 3-4 месяцев с момента образования первичного кариеса. В подростковом возрасте подростки взрывают зубы и на 70% удаляют постоянные моляры. Наличие субгингивальных и наддесневых отложений приводит к гингивиту - гингивиту.
Диагностика
Диагноз ставится на основании жалоб, клинических осмотров и данных, полученных в ходе вспомогательных исследований. Ребенок осматривается детским стоматологом, взрослый осматривается стоматологом. Диагностические мероприятия включают в себя:
Чтобы различить множественный распавшийся процесс гипоплазии и флюороза, используется метод витального окрашивания. Когда кариозные поверхности покрыты крупными молекулярными соединениями, сорбция красителей происходит в областях деминерализованной эмали. Неповрежденные ткани не окрашиваются. Наличие меловых пятен свидетельствует о процессах деминерализации.
С помощью звука обнаруживаются скрытые полости, их глубина и чувствительность оцениваются в разных точках. С множественными полостями, наряду с известковыми пятками, глубокие полости найдены и заполнены размягченным дентином. Печать сломана. Чтобы предотвратить случайное открытие мякоти, зондирование постоянных зубов с неформованным корнем выполняется с помощью кнопочного зонда.
• НЛО-стоматология. Используется для определения распространенности и активности полостей. Исследование проводится с использованием флуоресцентного дентоскопа в темной комнате. Зубы предварительно очищают от зубного налета и сушат. Если здоровая эмаль флуоресцирует синим светом, то исчезновение свечения присуще цветущему кариесу.
• Колориметрический тест. Множественный кариес возникает при смещении водородного индекса в кислотную сторону, что указывает на высокую активность в процессе кариеса.
• Оценка потока слюны. Скорость слюноотделения определяется после жевания парафина. Если в течение 1 минуты обычно выделяется 1 мл слюны, цветение кариеса характеризуется заметным снижением скорости слюноотделения.
• Определение вязкости слюны. Вязкость слюны проверяется с помощью вискозиметра Освальда. У пациентов с диагнозом множественный кариес индекс вязкости находится на уровне 9,58 ед.
Различают множественный кариес с некариозными поражениями: гипоплазия эмали, флюороз. Кроме того, клиновидные дефекты, некроз эмали следует исключить.
Чтобы различить множественный распавшийся процесс гипоплазии и флюороза, используется метод витального окрашивания. Когда кариозные поверхности покрыты крупными молекулярными соединениями, сорбция красителей происходит в областях деминерализованной эмали. Неповрежденные ткани не окрашиваются. Наличие меловых пятен свидетельствует о процессах деминерализации.
С помощью звука обнаруживаются скрытые полости, их глубина и чувствительность оцениваются в разных точках. С множественными полостями, наряду с известковыми пятками, глубокие полости найдены и заполнены размягченным дентином. Печать сломана. Чтобы предотвратить случайное открытие мякоти, зондирование постоянных зубов с неформованным корнем выполняется с помощью кнопочного зонда.
• НЛО-стоматология. Используется для определения распространенности и активности полостей. Исследование проводится с использованием флуоресцентного дентоскопа в темной комнате. Зубы предварительно очищают от зубного налета и сушат. Если здоровая эмаль флуоресцирует синим светом, то исчезновение свечения присуще цветущему кариесу.
• Колориметрический тест. Множественный кариес возникает при смещении водородного индекса в кислотную сторону, что указывает на высокую активность в процессе кариеса.
• Оценка потока слюны. Скорость слюноотделения определяется после жевания парафина. Если в течение 1 минуты обычно выделяется 1 мл слюны, цветение кариеса характеризуется заметным снижением скорости слюноотделения.
• Определение вязкости слюны. Вязкость слюны проверяется с помощью вискозиметра Освальда. У пациентов с диагнозом множественный кариес индекс вязкости находится на уровне 9,58 ед.
Различают множественный кариес с некариозными поражениями: гипоплазия эмали, флюороз. Кроме того, клиновидные дефекты, некроз эмали следует исключить.
|
|
Лечение
Лечение состоит из местных и общих событий. Общая терапия включает повышение иммунобиологической реактивности организма, восстановление минерального состава тканей, увеличение скорости секреции слюны. Для повышения иммунного статуса рекомендуется употреблять в пищу белковые продукты. Детям и взрослым назначают поливитаминные комплексы, содержащие витамины А, С, В2, D.
Насыщенность тканей кальцием и фтором достигается за счет использования агентов, содержащих кальций и фтор в форме таблеток. Средняя продолжительность ревматологии составляет 1 месяц. Для нормализации процессов поглощения кальция показано ультрафиолетовое излучение. Это одно из звеньев в патогенетической терапии цветущего кариеса, усиливающего синтез витамина D3 в эпидермисе кожи. Чтобы ускорить слюноотделение, они рекомендуют есть твердую острую пищу.
Местное лечение кариеса проводится в отделении терапевтической стоматологии для детей или взрослых. Включает в себя:
_Реминализация эмали. Используется для начального кариеса. При глубоком фторировании эмали образуется высокодисперсный фторид кальция. Благодаря небольшому диаметру соединения глубоко проникают, обеспечивая реминерализацию проблемных зон. Для восстановления минерального состава эмали используются средства, содержащие фтор и кальций. Пропитка (серебрение) используется для стабилизации временного разрушения зубов.
• Подготовка и герметизация. С местоположением близко к поражениям они связаны. Удаление зараженного дентина проводится с осторожностью, чтобы не открыть рога пульпы. Для дезинфекции подготовленных полостей используется лазер озон. В галопирующих повреждениях широко используются стеклоиономерные цементы, которые обладают кариопротекторным эффектом благодаря выделению фтора.
Насыщенность тканей кальцием и фтором достигается за счет использования агентов, содержащих кальций и фтор в форме таблеток. Средняя продолжительность ревматологии составляет 1 месяц. Для нормализации процессов поглощения кальция показано ультрафиолетовое излучение. Это одно из звеньев в патогенетической терапии цветущего кариеса, усиливающего синтез витамина D3 в эпидермисе кожи. Чтобы ускорить слюноотделение, они рекомендуют есть твердую острую пищу.
Местное лечение кариеса проводится в отделении терапевтической стоматологии для детей или взрослых. Включает в себя:
_Реминализация эмали. Используется для начального кариеса. При глубоком фторировании эмали образуется высокодисперсный фторид кальция. Благодаря небольшому диаметру соединения глубоко проникают, обеспечивая реминерализацию проблемных зон. Для восстановления минерального состава эмали используются средства, содержащие фтор и кальций. Пропитка (серебрение) используется для стабилизации временного разрушения зубов.
• Подготовка и герметизация. С местоположением близко к поражениям они связаны. Удаление зараженного дентина проводится с осторожностью, чтобы не открыть рога пульпы. Для дезинфекции подготовленных полостей используется лазер озон. В галопирующих повреждениях широко используются стеклоиономерные цементы, которые обладают кариопротекторным эффектом благодаря выделению фтора.
Прогноз
Прогноз зависит от причин развития скачущего кариозного процесса. Благодаря своевременному посещению стоматолога, тщательному выполнению всех рекомендаций по повышению общего иммунитета организма, можно добиться стабилизации патологического процесса без создания новых очагов поражения.
Профилактика
Профилактика включает общую реминерализационную терапию, хорошо организованное питание и гигиену. Регулярные экзамены отображаются каждые 6 месяцев. При скачущем кариесе рекомендуется посещать стоматолога каждые 3 месяца. К местным профилактическим мерам относятся герметизация трещин, покрытие зубов кальцием и фтором.
Список литературы
1. Клинические проявления поражения твердых тканей временных и постоянных зубов у детей с врожденными и наследственными болезнями/ Яцкевич Е.Е., Юрьева Э.А., Воздвиженская Е.С., Омарова З.М. Российский вестник перинатологии и педиатрии. 2010. 6.
2. Взаимосвязь сахарного диабета с заболеваниями полости рта: что знают об этом врачи-стоматологи и их пациенты/ Михальченко Д.В., Маслак Е.Е., Наумова В.Н., Данилина Т.Ф. Волгоградский научно-медицинский журнал. 2013. №2.
3. Стоматология детского возраста/ Персин Л.С. 2003.
4. Детская терапевтическая стоматология/Леонтьев В., Кисельникова Л.П. 2010 .
2. Взаимосвязь сахарного диабета с заболеваниями полости рта: что знают об этом врачи-стоматологи и их пациенты/ Михальченко Д.В., Маслак Е.Е., Наумова В.Н., Данилина Т.Ф. Волгоградский научно-медицинский журнал. 2013. №2.
3. Стоматология детского возраста/ Персин Л.С. 2003.
4. Детская терапевтическая стоматология/Леонтьев В., Кисельникова Л.П. 2010 .