Другие названия и синонимы
Hydroureter, Атония мочеточника, Дилатация мочеточника.
МКБ-10 коды
- МКБ-10
- N13.4 Гидроуретер
|
|
Описание
Это патологическое состояние, которое развивается при каждом препятствии дистальному оттоку мочи в почечную лоханку, вызывая переполнение мочеточника при его расширении. Симптомы зависят от места обструкции, в том числе от боли в проекции почек, паха и нижней части живота. Диагноз подтверждается визуальными методами исследования: экскреторной урографией, КТ, МРТ. Лабораторные анализы - OAM, OAC, биохимия крови назначают для выявления сопутствующего воспаления, потери функции почек. Лечение коррелирует с причиной патологии, степенью нарушения уродинамики, оно может быть консервативным или хирургическим.
Дополнительные факты
Гидроуретер (атония, растяжение) диагностируется у пациентов всех возрастов и полов. Аномалии развития мочевыводящих путей, провоцирующие расширение мочеточников, обычно возникают с раннего детства. В таких случаях патология часто сочетается с протезированием воды почечной системы таза. Другие физиологические или патологические состояния, приводящие к застою мочи, регистрируются у взрослых. У молодых женщин чаще выявляется гидроцеле, что связано с беременностью. У пациентов старше 60 лет увеличенный мочеточник встречается в основном у мужчин с ДГПЖ и раком, который усугубляет обструктивные уродинамические расстройства.
Причины
Заболевание вызвано обструкцией мочевыводящих путей, сдавлением мочевыводящих путей брюшной полости, функциональными изменениями и патологическим рефлюксом. Причиной расширения мочеточника у беременной женщины является повышение уровня прогестерона, в течение периода беременности это состояние считается физиологическим, но с перегрузкой в урологическом анамнезе (аномалии развития, стриктуры, ICD), существует высокий риск гестационного пиелонефрита. Принимая во внимание патогенетический фактор, выявляются следующие условия, вызывающие гидроуретан:
• Дистальная внутриорганная обструкция. Дивертикулы мочевого пузыря, сужение и врожденные клапаны в уретре блокируют отток мочи к шейке мочевого пузыря или уретре. Гидроуретер развивается при пузырно-мочеточниковом рефлюксе, опухолях нижних мочевых путей (рак мочевого пузыря, предстательной железы, уретры), уретроцеле. Атония стенок с задержкой мочи у 80-90% больных осложняется уретеритом, расширением верхних мочевых путей.
• Сжатие мочеточника снаружи. Включает в себя болезнь Ормонда, рак простаты с ретротригональным ростом, заболевание кишечника. Онкологические процессы таза, забрюшинного пространства: саркомы, лимфомы и опухоли яичников могут усиливать облитерацию. Доказано, что лучевая терапия рака (чаще - шейки матки, прямой кишки) с вовлечением мочевых трубок вначале приводит к их неспецифическому воспалению, затем к рубцеванию, дилатации с нарушением перистальтики.
• Аномалии развития. К порокам развития мочеточников относятся перегибы, искривления, скручивания по продольной оси. Эти анатомические дефекты часто сопровождаются расширением органа с дилатацией мочекаменной системы почек (уретерогидронефроз). Иногда врожденные патологии мочеполовой сферы сочетаются с другими серьезными врожденными аномалиями.
• Патология с нарушением мочевыводящих путей. Мочекаменная болезнь с нарушением уродинамики из-за стоячих камней является наиболее распространенной причиной возникновения у женщин гидроуретана. В эту же группу входят препятствия непосредственно из мочеточника, снижающие его клиренс: дивертикулы, полипы, кистозный уретерит. Опухоли уротелия, которые возникают в 1-3% случаев по мере их развития, также нарушают прохождение мочи с деформацией мочевыводящих путей.
• Функциональные расстройства. Расширение органов обусловлено не только органическими патологическими процессами, но и функциональными изменениями: единичная или двусторонняя гипотензия или атония верхних мочевых путей, нервно-мышечная дисплазия мочеточника, первичный мегауретер. Нарушение функции выведения мочи из почек облегчается фибросклеротическим процессом, сопровождающимся медленной перистальтикой, уменьшением диаметра органа.
Способствующими факторами являются эндоскопические диагностические и терапевтические процедуры (уретеропелоскопия, катетеризация сLS), эндоурологические вмешательства (дробление камня, его ручное уменьшение), которые в 10-25% случаев приводят к травме мочеточника с последующим его расширением. У пациентов с несахарным диабетом, из-за большого количества мочи, существует высокая вероятность присоединения гидроуретера, гидроуретеронефроза.
• Дистальная внутриорганная обструкция. Дивертикулы мочевого пузыря, сужение и врожденные клапаны в уретре блокируют отток мочи к шейке мочевого пузыря или уретре. Гидроуретер развивается при пузырно-мочеточниковом рефлюксе, опухолях нижних мочевых путей (рак мочевого пузыря, предстательной железы, уретры), уретроцеле. Атония стенок с задержкой мочи у 80-90% больных осложняется уретеритом, расширением верхних мочевых путей.
• Сжатие мочеточника снаружи. Включает в себя болезнь Ормонда, рак простаты с ретротригональным ростом, заболевание кишечника. Онкологические процессы таза, забрюшинного пространства: саркомы, лимфомы и опухоли яичников могут усиливать облитерацию. Доказано, что лучевая терапия рака (чаще - шейки матки, прямой кишки) с вовлечением мочевых трубок вначале приводит к их неспецифическому воспалению, затем к рубцеванию, дилатации с нарушением перистальтики.
• Аномалии развития. К порокам развития мочеточников относятся перегибы, искривления, скручивания по продольной оси. Эти анатомические дефекты часто сопровождаются расширением органа с дилатацией мочекаменной системы почек (уретерогидронефроз). Иногда врожденные патологии мочеполовой сферы сочетаются с другими серьезными врожденными аномалиями.
• Патология с нарушением мочевыводящих путей. Мочекаменная болезнь с нарушением уродинамики из-за стоячих камней является наиболее распространенной причиной возникновения у женщин гидроуретана. В эту же группу входят препятствия непосредственно из мочеточника, снижающие его клиренс: дивертикулы, полипы, кистозный уретерит. Опухоли уротелия, которые возникают в 1-3% случаев по мере их развития, также нарушают прохождение мочи с деформацией мочевыводящих путей.
• Функциональные расстройства. Расширение органов обусловлено не только органическими патологическими процессами, но и функциональными изменениями: единичная или двусторонняя гипотензия или атония верхних мочевых путей, нервно-мышечная дисплазия мочеточника, первичный мегауретер. Нарушение функции выведения мочи из почек облегчается фибросклеротическим процессом, сопровождающимся медленной перистальтикой, уменьшением диаметра органа.
Способствующими факторами являются эндоскопические диагностические и терапевтические процедуры (уретеропелоскопия, катетеризация сLS), эндоурологические вмешательства (дробление камня, его ручное уменьшение), которые в 10-25% случаев приводят к травме мочеточника с последующим его расширением. У пациентов с несахарным диабетом, из-за большого количества мочи, существует высокая вероятность присоединения гидроуретера, гидроуретеронефроза.
Патогенез
Гидроуретер является результатом анатомических или функциональных процессов, которые нарушают нормальную уродинамику. Обструкция может локализоваться в любой части мочевыводящих путей: верхняя, средняя, нижняя. Расширение канала без гидронефротической трансформации часто является хроническим процессом, значительная часть мочи надолго попадает в мочевой пузырь, состояние остается компенсированным. При приеме диуретиков возникают проблемы с физиологическим увеличением диуреза - жидкость не успевает пройти через аномальную зону, что приводит к удлинению органа.
Если поток мочи не восстанавливается, происходит поражение почек, поскольку повышение давления внутри уретры влияет на клубочковую фильтрацию. Его скорость снижается в течение нескольких часов после появления острой обструкции. Типичные изменения в мочеточнике представлены сокращением или отсутствием продольных мышечных волокон, гипертрофией круглых мышц, увеличением отложения соединительной ткани. Эти особенности регистрируются как с нарушениями развития, так и с реакцией мочеточника на постоянную обструкцию.
Если поток мочи не восстанавливается, происходит поражение почек, поскольку повышение давления внутри уретры влияет на клубочковую фильтрацию. Его скорость снижается в течение нескольких часов после появления острой обструкции. Типичные изменения в мочеточнике представлены сокращением или отсутствием продольных мышечных волокон, гипертрофией круглых мышц, увеличением отложения соединительной ткани. Эти особенности регистрируются как с нарушениями развития, так и с реакцией мочеточника на постоянную обструкцию.
Классификация
Общепринятой классификации нет. Процесс может быть односторонним или двусторонним, острым или хроническим, с нарушением функции почек или с сохраненной функциональностью. Возможно асептическое течение или приверженность к инфекциям. Типы гидрорастворителей дифференцированы в зависимости от их этиологии. Если причина не может быть определена, они говорят об идиопатической форме заболевания. По времени разработки есть:
• Врожденный (первичный) гидроуретан. Это происходит во время внутриутробного развития, которое обычно вызывается хромосомными нарушениями или воздействием эмбриотоксических факторов. Если диаметр мочеточника во много раз превышает норму, его деформация становится видимой в дистальном отделе - патология называется «мегауретер».
• Купленный гидрораспределитель. Это осложнение ряда заболеваний, операции на органах брюшной полости, таза. Вторичные поражения мочеточника часто регистрируются после эндоскопических урологических операций, таких как удаление уретеролито и литотрипсия.
Урологи используют рабочую классификацию, в которой гидрорастворитель считается обструктивным, рефлюксом (возникающим против рефлюкса мочи в мочеточник), зависящим от пузырьков. Для гидроуретера, связанного с обструкцией, ахалазией мочеточника, его деформацией без проявления почечной недостаточности почки, выделяют уретерогидронефроз. Эта систематизация применяется с 1977 года по сегодняшний день.
• Врожденный (первичный) гидроуретан. Это происходит во время внутриутробного развития, которое обычно вызывается хромосомными нарушениями или воздействием эмбриотоксических факторов. Если диаметр мочеточника во много раз превышает норму, его деформация становится видимой в дистальном отделе - патология называется «мегауретер».
• Купленный гидрораспределитель. Это осложнение ряда заболеваний, операции на органах брюшной полости, таза. Вторичные поражения мочеточника часто регистрируются после эндоскопических урологических операций, таких как удаление уретеролито и литотрипсия.
Урологи используют рабочую классификацию, в которой гидрорастворитель считается обструктивным, рефлюксом (возникающим против рефлюкса мочи в мочеточник), зависящим от пузырьков. Для гидроуретера, связанного с обструкцией, ахалазией мочеточника, его деформацией без проявления почечной недостаточности почки, выделяют уретерогидронефроз. Эта систематизация применяется с 1977 года по сегодняшний день.
Клиническая картина
В состоянии компенсации симптоматики нет, патология выявляется с развитием осложнений. Локализация болевых ощущений определяется уровнем обструкции: повреждение мочеточника в верхней части приводит к болям в нижней части спины на пораженной стороне, в нижней части - сопровождается болью в области паха, нижней части живота с иррадиацией в ипсилатеральное яичко губы. При застрявшем расчете и выработке соли выявляются симптомы дизурии: судороги с частым мочеиспусканием, выделение мочи небольшими порциями, дискомфорт.
Атония мочевого пузыря характеризуется неспособностью самостоятельно начинать мочеиспускание с полным мочевым пузырем, ощущением неполного опорожнения. Накопление мочи может проявляться ощутимыми образованиями в нижней части живота, тяжестью, болью. Ослабление потока мочи, ее вялость и перемежаемость характерны для гиперплазии предстательной железы, в частности при внутрипузырном росте. Из-за застоя мочи патологические рефлюксы образуются от мочевого пузыря до мочеточника, а затем к почке, что сопровождается постоянной болью, которая усиливается после флюидной нагрузки.
Повышение температурной реакции на лихорадочные числа с ознобом указывает на начало воспалительного процесса, легкой гипертермии диагностируют вялую инфекцию, опухолевые патологии. Слабость, усталость и потеря аппетита отличаются от общих симптомов. Уменьшенный диурез, отек и диспепсия указывают на хроническую почечную недостаточность. У некоторых пациентов с обструктивным гидроуретаном артериальное давление повышается вследствие активации системы ренин-ангиотензин-альдостерон.
Ассоциированные симптомы: Бактериурия. Боль в паху у женщин. Боль в паху у мужчин. Общая слабость. Гематурия. Лейкоцитурия. Озноб. Отсутствие аппетита.
Атония мочевого пузыря характеризуется неспособностью самостоятельно начинать мочеиспускание с полным мочевым пузырем, ощущением неполного опорожнения. Накопление мочи может проявляться ощутимыми образованиями в нижней части живота, тяжестью, болью. Ослабление потока мочи, ее вялость и перемежаемость характерны для гиперплазии предстательной железы, в частности при внутрипузырном росте. Из-за застоя мочи патологические рефлюксы образуются от мочевого пузыря до мочеточника, а затем к почке, что сопровождается постоянной болью, которая усиливается после флюидной нагрузки.
Повышение температурной реакции на лихорадочные числа с ознобом указывает на начало воспалительного процесса, легкой гипертермии диагностируют вялую инфекцию, опухолевые патологии. Слабость, усталость и потеря аппетита отличаются от общих симптомов. Уменьшенный диурез, отек и диспепсия указывают на хроническую почечную недостаточность. У некоторых пациентов с обструктивным гидроуретаном артериальное давление повышается вследствие активации системы ренин-ангиотензин-альдостерон.
Ассоциированные симптомы: Бактериурия. Боль в паху у женщин. Боль в паху у мужчин. Общая слабость. Гематурия. Лейкоцитурия. Озноб. Отсутствие аппетита.
|
|
Возможные осложнения
Осложнение гидроуретана заключается в вовлечении почки в патологический процесс с развитием гидронефроза. Опасность заболевания обусловлена тем, что у 25-40% пациентов клинические проявления отсутствуют даже при двустороннем повреждении. Неудачная помощь, самолечение может привести к хронической почечной недостаточности. Для пациентов с терминальной стадией хронического заболевания почек единственным решением является пожизненная заместительная почечная терапия или трансплантация органов.
Застой мочи создает условия, благоприятствующие сохранению микробной флоры, что приводит к рецидивам инфекций мочевыводящих путей. У 50% больных выявлен сопутствующий хронический пиелонефрит, цистит. Частые обострения урологических заболеваний ослабляют иммунные реакции организма, что увеличивает вероятность гнойных осложнений. Нарушения уродинамики и сопровождающий ее воспалительный процесс становятся причинами образования камней. Назначение антибиотикотерапии без восстановления адекватного потока мочи при почечной блокаде приводит к уросепсии.
Застой мочи создает условия, благоприятствующие сохранению микробной флоры, что приводит к рецидивам инфекций мочевыводящих путей. У 50% больных выявлен сопутствующий хронический пиелонефрит, цистит. Частые обострения урологических заболеваний ослабляют иммунные реакции организма, что увеличивает вероятность гнойных осложнений. Нарушения уродинамики и сопровождающий ее воспалительный процесс становятся причинами образования камней. Назначение антибиотикотерапии без восстановления адекватного потока мочи при почечной блокаде приводит к уросепсии.
Диагностика
Диагноз начинается с истории болезни, физического осмотра, в соответствии с которым не всегда возможно заподозрить гидрорастворитель, но можно выявить сопутствующие факторы, например увеличенную простату. Алгоритм обследования индивидуален, что обусловлено полиэтиологическим характером заболевания. При снижении функции почек пациенту рекомендуют нефролог, с подозрением на опухолевый процесс - онколог. Некоторые диагнозы, такие как забрюшинный фиброз, предполагают биопсию. Гидроуретерная диагностика включает в себя:
• Лабораторный тест. Анализ мочи, тест Нечипоренко назначают для выявления инфекции, лейкоцитурия, бактериурия свидетельствуют о ее наличии. Гематурия подозревается на мочекаменную болезнь, опухоль. Снижение удельного веса, протеинурия - маркеры хронической почечной недостаточности. При UCK отмечается смещение формулы лейкоцитов влево, ускоренная СОЭ указывает на воспаление, низкий уровень гемоглобина указывает на почечную недостаточность или новообразование. Обязательно проанализируйте биохимические параметры: мочевину, креатинин, электролиты, чтобы получить представление о сохранении функции почек.
• Инструментальные методы. УЗИ почек, мочевого пузыря, ТРУЗ с контролем остаточной мочи являются основными диагностическими методами, направленными на выявление причин возникновения гидроуретанов. Экскреторная урография не проводится при хронической почечной недостаточности. После получения смешанных результатов проводится КТ и МРТ. Эти процедуры предпочтительны для определения опухоли забрюшинного пространства, сдавливающей мочеточник; нет никакой разницы с увеличением креатинина. По показаниям проводится ренография, уретеропиелоскопия, нисходящая цистография, КУД.
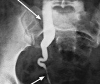
ИРП ОБП и забрюшинное пространство. Выраженное стойкое расширение мочеточников с обеих сторон.
Дифференциальный диагноз проводится между причинами возникновения гидроудара (обструкция, рефлюкс, дисфункция), которые определяют тактику лечения. Подобные изменения могут наблюдаться при урогенитальном туберкулезе, проводятся специальные тесты, чтобы исключить это: тест Манту, Бакосев, ПЦР-анализ. При использовании гидроуретана с почечной мочеточником может потребоваться дифференцировка колики с перекрутом (разрывом) кисты яичника, аппендицит и кишечные заболевания. Консультация с хирургом необходима для исключения острого живота.
• Лабораторный тест. Анализ мочи, тест Нечипоренко назначают для выявления инфекции, лейкоцитурия, бактериурия свидетельствуют о ее наличии. Гематурия подозревается на мочекаменную болезнь, опухоль. Снижение удельного веса, протеинурия - маркеры хронической почечной недостаточности. При UCK отмечается смещение формулы лейкоцитов влево, ускоренная СОЭ указывает на воспаление, низкий уровень гемоглобина указывает на почечную недостаточность или новообразование. Обязательно проанализируйте биохимические параметры: мочевину, креатинин, электролиты, чтобы получить представление о сохранении функции почек.
• Инструментальные методы. УЗИ почек, мочевого пузыря, ТРУЗ с контролем остаточной мочи являются основными диагностическими методами, направленными на выявление причин возникновения гидроуретанов. Экскреторная урография не проводится при хронической почечной недостаточности. После получения смешанных результатов проводится КТ и МРТ. Эти процедуры предпочтительны для определения опухоли забрюшинного пространства, сдавливающей мочеточник; нет никакой разницы с увеличением креатинина. По показаниям проводится ренография, уретеропиелоскопия, нисходящая цистография, КУД.
ИРП ОБП и забрюшинное пространство. Выраженное стойкое расширение мочеточников с обеих сторон.
Дифференциальный диагноз проводится между причинами возникновения гидроудара (обструкция, рефлюкс, дисфункция), которые определяют тактику лечения. Подобные изменения могут наблюдаться при урогенитальном туберкулезе, проводятся специальные тесты, чтобы исключить это: тест Манту, Бакосев, ПЦР-анализ. При использовании гидроуретана с почечной мочеточником может потребоваться дифференцировка колики с перекрутом (разрывом) кисты яичника, аппендицит и кишечные заболевания. Консультация с хирургом необходима для исключения острого живота.
Лечение
Противомикробные препараты используются с учетом чувствительности, НПВП и спазмолитиков, чтобы остановить воспаление и облегчить боль. Иногда наркотические анальгетики используются для облегчения колики почки. В случае мочекаменной болезни, если возможно растворить зубной камень или самопроизвольно умереть, назначают литолитическую терапию, альфа-адренергические блокаторы с улучшенными режимами питья и диетическими ограничениями.
Ранние стадии забрюшинного фиброза включают терапию кортикостероидами и использование иммунодепрессантов. ДГПЖ используется для оценки диаметра мочеиспускательного канала, количества остаточной мочи до и после начала приема лекарств. При положительной динамике можно продолжать консервативную терапию - использовать альфа-блокаторы, ингибиторы 5-альфа-редуктазы, ингибиторы 5-фосфодиэстеразы. Травяные добавки не являются первым выбором лекарств, но могут использоваться в качестве дополнения или профилактической меры.
• Камни в почках. Мелкие камни имеют тенденцию к саморазгрузке на фоне консервативного лечения, размером более 10 рекомендуется урологическое вмешательство. Показаниями являются неизлечимая почечная колика, анурия и прогрессирование мочеточника. Используется ударно-волновая литотрипсия, извлечение литового камня во время уретероскопии, лапароскопическое или удаление налета.
• Сужение мочеиспускательного канала. На выбор хирургической техники влияет длина стеноза. В современной урологии расширение транслюминального баллона используется при коротких ишемических стенозах. В случае неудачи они используют лапароскопические или открытые методы: рассечение сужения с катетеризацией, иссечение патологического участка с анастомозом, пластическая хирургия мочеиспускательного канала с использованием собственных тканей.
Операции, выполняемые для устранения внутрипузырной обструкции, включают трансуретральную операцию по поводу ДГПЖ, открытые и лапароскопические вмешательства. Камень, блокирующий мочевой пузырь, можно устранить с помощью чрескожной или трансуретральной цистолитолапаксии, открытой надлобковой цистостомии, которая в настоящее время чаще используется для многих крупных и плотных камней зубного камня. При сужении мочеиспускательного канала выполняются уретра, баллонная дилатация и уретра.
Ранние стадии забрюшинного фиброза включают терапию кортикостероидами и использование иммунодепрессантов. ДГПЖ используется для оценки диаметра мочеиспускательного канала, количества остаточной мочи до и после начала приема лекарств. При положительной динамике можно продолжать консервативную терапию - использовать альфа-блокаторы, ингибиторы 5-альфа-редуктазы, ингибиторы 5-фосфодиэстеразы. Травяные добавки не являются первым выбором лекарств, но могут использоваться в качестве дополнения или профилактической меры.
Лечение гидроуретера.
Разнообразие патогенетических факторов подразумевает индивидуальное лечение с общими целями - восстановление мочи, предотвращение трансформации гидронефроза и хронической почечной недостаточности, прекращение воспаления (если оно существует). Бессимптомное расширение мочеточников с нормальным уровнем мочевины и креатинина в динамике, без воспалительных симптомов при ОАМ не требует активных действий, пациенты периодически обследуются, антибиотикопрофилактика. Существует два варианта лечения аквальской камышевки: консервативный и хирургический.• Камни в почках. Мелкие камни имеют тенденцию к саморазгрузке на фоне консервативного лечения, размером более 10 рекомендуется урологическое вмешательство. Показаниями являются неизлечимая почечная колика, анурия и прогрессирование мочеточника. Используется ударно-волновая литотрипсия, извлечение литового камня во время уретероскопии, лапароскопическое или удаление налета.
• Сужение мочеиспускательного канала. На выбор хирургической техники влияет длина стеноза. В современной урологии расширение транслюминального баллона используется при коротких ишемических стенозах. В случае неудачи они используют лапароскопические или открытые методы: рассечение сужения с катетеризацией, иссечение патологического участка с анастомозом, пластическая хирургия мочеиспускательного канала с использованием собственных тканей.
Операции, выполняемые для устранения внутрипузырной обструкции, включают трансуретральную операцию по поводу ДГПЖ, открытые и лапароскопические вмешательства. Камень, блокирующий мочевой пузырь, можно устранить с помощью чрескожной или трансуретральной цистолитолапаксии, открытой надлобковой цистостомии, которая в настоящее время чаще используется для многих крупных и плотных камней зубного камня. При сужении мочеиспускательного канала выполняются уретра, баллонная дилатация и уретра.
Прогноз
Прогноз определяется индивидуально, в зависимости от патогенетической причины, сохранения функциональных возможностей почек, наличия двустороннего или одностороннего мегалюретера. Доказано, что раннее начало лечения на 90% может сохранить функцию почек при острой патологии. Нарушение уродинамики, существующее более 6 недель, с развитием уретерогидронефроза часто приводит к необратимым последствиям. Высокая смертность сопровождает гидроуретан, вызванный опухолевым процессом в брюшной полости.
Профилактика
Профилактика предполагает врачебное наблюдение уролога или нефролога за людьми с патологией мочеполовой сферы, назначение антимикробного лечения при первых признаках воспаления и отказ от вредных привычек. Сбалансированное питание может предотвратить или уменьшить проявления мочекаменной болезни: острые, соленые бульоны, экстрактивные вещества, мясо органов исключаются из рациона. Беременным женщинам рекомендуется практиковать пассивную гимнастику почек, которая состоит в том, чтобы занять колено-локтевое положение по 5-7 минут несколько раз в день.
|
|
Список литературы
1. Подход к хирургическому лечению врожденого обструктивного мегауретера у детей/ Барская М.А., Гасанов Д.А., Гасанов Д.А., Терёхин С.С., Мелкумова Е.Г., Бастраков А.Н., Алексеева И.Н., Картавцев С.Ф., Ерёмин П.В. Международный журнал прикладных и фундаментальных исследований. 2015 - № 12.
2. Гидронефроз и гидроуретер/ Dennis G Lusaya //Медскейп. Урология - 2018.
3. Мегауретер у детей/ Лопаткин Н.А., Пугачев А.Ю. 1998.
4. Детская хирургия/ под ред. Исакова Ю.Ф., Дронова А.Ф. 2009.
2. Гидронефроз и гидроуретер/ Dennis G Lusaya //Медскейп. Урология - 2018.
3. Мегауретер у детей/ Лопаткин Н.А., Пугачев А.Ю. 1998.
4. Детская хирургия/ под ред. Исакова Ю.Ф., Дронова А.Ф. 2009.