Другие названия и синонимы
Intestinal obstruction in children.
МКБ-10 коды
|
|
Описание
Кишечная непроходимость у детей. Это нарушение движения кала по желудочно-кишечному тракту, вызванное механическими препятствиями, нарушениями иннервации или сочетанием этих факторов. Заболевание проявляется сильным болевым синдромом, неукротимой рвотой, задержкой стула и газов. Диагностическое исследование включает физикальное обследование ребенка, использование инструментальных методов - простой рентген брюшной полости, УЗИ, лапароскопию. Лечение заключается в декомпрессии кишечника и назначении лекарств, при их неэффективности проводится хирургическое вмешательство.
Дополнительные факты
Заболеваемость кишечной непроходимостью составляет около 5 случаев на 100 тысяч населения, это примерно одинаково для детей и взрослых. Пик выявления заболевания приходится на первые недели жизни грудных детей при врожденных формах, а приобретенные варианты заболевания в основном регистрируются у детей после 3 лет. Мальчики болеют чаще, чем девочки. Проблема кишечной непроходимости остается актуальной в детской хирургии. Несмотря на разнообразие методов лечения, патология часто дает осложнения. При несвоевременной помощи 5-7% случаев заканчиваются летальным исходом.
Причины
Врожденная непроходимость кишечника возникает под влиянием пороков развития желудочно-кишечного тракта, которые нарушают отхождение кала. Эта группа причин включает стеноз и атрезию, сдавление кишечника извне аномальными сосудами, кольцевидную поджелудочную железу или эмбриональные тяжи брюшины. Иногда патология возникает у детей на фоне мекониевой непроходимости. Приобретенные формы заболевания имеют множество этиологических факторов:
• Образование адгезии. Спайки после травм и операций на брюшной полости - наиболее частая причина нарушения отхождения стула у детей. Заболевание чаще наблюдается в раннем периоде после операции (в первые 4-5 недель), но может проявиться через несколько месяцев.
• Глистная инвазия. Закупорка просвета кишечника сплетенным клубком гельминтов характерна для аскаридоза. Черви поселяются в кишечнике и разрастаются до больших размеров, что вначале приводит к затруднению движения кала и хроническим запорам, которые в дальнейшем заканчиваются непроходимостью.
• опухоли. Реже причина болезни у детей, но ее нельзя исключать. Патология вызывается доброкачественными полипами и злокачественными образованиями, опухолями соседних органов, сдавливающих кишечник извне. Возможное развитие кишечной непроходимости у пациентов с дивертикулом Меккеля.
• Неврологические расстройства. Заболевания позвоночника и головного мозга сопровождаются изменением иннервации стенки кишечника, в результате чего угнетается ее моторика и прекращается движение стула. Повреждение периферических нервов реже вызывается нарушением обмена веществ (гипокалиемией) и экзогенным отравлением.
К предрасполагающим факторам относятся расстройства пищевого поведения: одновременное употребление большого количества пищи, переход с грудного вскармливания на искусственное. Они способствуют изменению перистальтики кишечника. Вероятность развития непроходимости увеличивается у детей с болезнью Гиршпрунга, врожденными особенностями строения желудочно-кишечного тракта - длинной брыжейкой, долихосигмой.
• Образование адгезии. Спайки после травм и операций на брюшной полости - наиболее частая причина нарушения отхождения стула у детей. Заболевание чаще наблюдается в раннем периоде после операции (в первые 4-5 недель), но может проявиться через несколько месяцев.
• Глистная инвазия. Закупорка просвета кишечника сплетенным клубком гельминтов характерна для аскаридоза. Черви поселяются в кишечнике и разрастаются до больших размеров, что вначале приводит к затруднению движения кала и хроническим запорам, которые в дальнейшем заканчиваются непроходимостью.
• опухоли. Реже причина болезни у детей, но ее нельзя исключать. Патология вызывается доброкачественными полипами и злокачественными образованиями, опухолями соседних органов, сдавливающих кишечник извне. Возможное развитие кишечной непроходимости у пациентов с дивертикулом Меккеля.
• Неврологические расстройства. Заболевания позвоночника и головного мозга сопровождаются изменением иннервации стенки кишечника, в результате чего угнетается ее моторика и прекращается движение стула. Повреждение периферических нервов реже вызывается нарушением обмена веществ (гипокалиемией) и экзогенным отравлением.
К предрасполагающим факторам относятся расстройства пищевого поведения: одновременное употребление большого количества пищи, переход с грудного вскармливания на искусственное. Они способствуют изменению перистальтики кишечника. Вероятность развития непроходимости увеличивается у детей с болезнью Гиршпрунга, врожденными особенностями строения желудочно-кишечного тракта - длинной брыжейкой, долихосигмой.
Патогенез
В случае непроходимости нарушаются функции тонкого и толстого кишечника (моторная, секреторная, абсорбционная), что приводит к эндогенному отравлению и нарушению гомеостаза. Ишемия стенки кишечника связана с увеличением проницаемости бактерий и токсинов, попадающих в систему воротной вены и лимфатические сосуды. Кишечник становится основным источником отравлений, усугубляя возникающие функциональные нарушения и создавая «порочный круг».
Классификация
В зависимости от времени появления патология делится на врожденную, вызванную пороками развития, и приобретенную, проявившуюся у детей с другими заболеваниями желудочно-кишечного тракта. По локализации поражения различают кишечную непроходимость (до 80% случаев) и толстую кишку. По ходу курса выделяют острую и хроническую форму. Однако более значимой является классификация по механизму развития, согласно которой существует 3 варианта кишечной непроходимости:
• Механический. Образуется при закупорке просвета кишечника изнутри копролитами, клубком глистов (Обструктивная форма) или при сдавливании кишечника извне (удушение).
• Динамический. Он развивается в результате нарушения иннервации и моторики желудочно-кишечного тракта, при этом отсутствуют механические препятствия для движения кала. Подразделяется на паралитическую и спастическую формы.
• Смешанный. Самый распространенный вид кишечной непроходимости у детей - по разным данным составляет от 30% до 83% в структуре заболеваемости. Возникает из-за кишечных инвагинаций, спаек в брюшной полости.
• Механический. Образуется при закупорке просвета кишечника изнутри копролитами, клубком глистов (Обструктивная форма) или при сдавливании кишечника извне (удушение).
• Динамический. Он развивается в результате нарушения иннервации и моторики желудочно-кишечного тракта, при этом отсутствуют механические препятствия для движения кала. Подразделяется на паралитическую и спастическую формы.
• Смешанный. Самый распространенный вид кишечной непроходимости у детей - по разным данным составляет от 30% до 83% в структуре заболеваемости. Возникает из-за кишечных инвагинаций, спаек в брюшной полости.
Клиническая картина
При кишечной непроходимости различают 3 основных симптома: задержка газов и стула, боль в животе, многократная рвота. Болевой синдром при механической и спастической форме заболевания постоянный, неуклонно нарастающий, периодически усиливающийся, что связано с прохождением перистальтической волны. Для паралитической непроходимости характерна тупая постоянная боль в животе.
При слабой кишечной непроходимости у детей стул и газы не выходят, а при непроходимости тонкой кишки возможна дефекация за счет опорожнения расположенного под препятствием желудочно-кишечного тракта. Если патология вызвана инвагинацией, в кале обнаруживаются примеси крови, что иногда ошибочно воспринимается как дизентерия или колит другой этиологии и затрудняет диагностику.
Рвота - важный критерий: чем раньше она разовьется от начала заболевания, тем выше локализация патологического процесса в кишечнике. Первоначально симптом связан с перенапряжением кишечника и раздражением его нервных окончаний. Рвота содержит частицы переваренной пищи и желудочного сока. Позже рвота становится непобедимой, ребенок выделяет скудное количество слизи и желчи.
При кишечной непроходимости пациент имеет характерный внешний вид. Он лежит, наклоняется и прижимает ноги к животу или стонет и мечется по кровати во время приступа боли. Живот сильно вздут, несимметричен, при попытке прикоснуться к нему боли усиливаются. Лицо приобретает жалкое выражение, кожа серая, губы сухие и потрескавшиеся.
Ассоциированные симптомы: Боль в животе. Запор у детей. Кал красного цвета. Каловая рвота. Рвота. Рвота желчью. Рвота пищей. Сухость во рту.
При слабой кишечной непроходимости у детей стул и газы не выходят, а при непроходимости тонкой кишки возможна дефекация за счет опорожнения расположенного под препятствием желудочно-кишечного тракта. Если патология вызвана инвагинацией, в кале обнаруживаются примеси крови, что иногда ошибочно воспринимается как дизентерия или колит другой этиологии и затрудняет диагностику.
Рвота - важный критерий: чем раньше она разовьется от начала заболевания, тем выше локализация патологического процесса в кишечнике. Первоначально симптом связан с перенапряжением кишечника и раздражением его нервных окончаний. Рвота содержит частицы переваренной пищи и желудочного сока. Позже рвота становится непобедимой, ребенок выделяет скудное количество слизи и желчи.
При кишечной непроходимости пациент имеет характерный внешний вид. Он лежит, наклоняется и прижимает ноги к животу или стонет и мечется по кровати во время приступа боли. Живот сильно вздут, несимметричен, при попытке прикоснуться к нему боли усиливаются. Лицо приобретает жалкое выражение, кожа серая, губы сухие и потрескавшиеся.
Ассоциированные симптомы: Боль в животе. Запор у детей. Кал красного цвета. Каловая рвота. Рвота. Рвота желчью. Рвота пищей. Сухость во рту.
Возможные осложнения
Распространенным последствием заболевания у детей является токсикоз с экзикозом, вызванный эндогенным отравлением организма, массивная потеря жидкости с рвотой и недостатком воды из-за отказа ребенка от питья. Состояние сопровождается нарушением гемодинамики, гипоксическим поражением головного мозга. Если пациенту не будет оказана своевременная медицинская помощь, кишечная непроходимость переходит в стадию полиорганных нарушений и перитонита.
|
|
Диагностика
Детский хирург получает ценную информацию из анамнеза и физического осмотра. При перкуссии живота определяется тимпанит с металлическим оттенком, аускультативно в начале заболевания, с повышенной перистальтикой и шумом брызг. Пальцевое ректальное исследование обязательно. В диагностическом исследовании информативны инструментальные методы исследования:
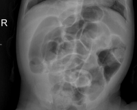
• Рентгенография брюшной полости. Патогномоничным признаком кишечной непроходимости являются чаши Клойбера, которые представляют собой растянутые петли кишечника, наполненные калом и газами. На рентгенограмме заметен симптом каймы (вздутые складки слизистой оболочки).
• УЗИ органов брюшной полости. Исследование эффективно для диагностики воспалительных инфильтратов и опухолей, которые действуют как механическое препятствие движению кала. Из-за сильной пневматизации и пареза кишечника УЗИ не всегда показательно, в 5-10% случаев бывает гипердиагностика.
• Лапароскопия. Диагностическая визуализация брюшной полости с помощью лапароскопа с оптическим устройством является наиболее ценным методом обследования. У детей он используется в сложных ситуациях, когда неинвазивные методы не дают достоверной информации.
• Рентгенография брюшной полости. Патогномоничным признаком кишечной непроходимости являются чаши Клойбера, которые представляют собой растянутые петли кишечника, наполненные калом и газами. На рентгенограмме заметен симптом каймы (вздутые складки слизистой оболочки).
• УЗИ органов брюшной полости. Исследование эффективно для диагностики воспалительных инфильтратов и опухолей, которые действуют как механическое препятствие движению кала. Из-за сильной пневматизации и пареза кишечника УЗИ не всегда показательно, в 5-10% случаев бывает гипердиагностика.
• Лапароскопия. Диагностическая визуализация брюшной полости с помощью лапароскопа с оптическим устройством является наиболее ценным методом обследования. У детей он используется в сложных ситуациях, когда неинвазивные методы не дают достоверной информации.
Лечение
Ребенок с кишечной непроходимостью срочно госпитализирован в хирургический стационар. Лечение начинается с декомпрессии желудка путем введения тонкого зонда, снижающего степень интоксикации. Для стимуляции кишечника вводятся препараты из группы ингибиторов холинэстеразы, а через 30-40 минут вводится сифонная клизма. При спазматических болях показаны спазмолитики. Консервативные меры эффективны в 50% случаев.
При неудаче медикаментозных методов ребенку назначается срочная операция. Во время процедуры проводится ревизия брюшной полости, выявление и резекция пораженного участка кишечника, расслаиваются спайки, развивается заворот кишечника. Операция заканчивается наложением анастомоза для восстановления целостности желудочно-кишечного тракта. В послеоперационном периоде детям проводят дезинтоксикационную, инфузионную и антибактериальную терапию.
При неудаче медикаментозных методов ребенку назначается срочная операция. Во время процедуры проводится ревизия брюшной полости, выявление и резекция пораженного участка кишечника, расслаиваются спайки, развивается заворот кишечника. Операция заканчивается наложением анастомоза для восстановления целостности желудочно-кишечного тракта. В послеоперационном периоде детям проводят дезинтоксикационную, инфузионную и антибактериальную терапию.
Список литературы
1. Национальные клинические рекомендации Российского общества хирургов «Острая неопухолевая кишечная непроходимость». 2015.
2. Спаечная кишечная непроходимость как одна из причин неотложных состояний у детей. Е.Ю. Дьяконова, И.В. Поддубный, А.С. Бекин // Диагностика в педиатрии. 2015.
3. Оценка эффективность диагностики острой кишечной непроходимости у детей. П.Е. Пермяков, А.А. Жидовинов // Российский вестник детской хирургии, анестезиологии и реаниматологии. 2015.
4. Детская хирургия: национальное руководство / под ред. Ю.Ф. Исакова, А.Ф. Дронова. 2009.
2. Спаечная кишечная непроходимость как одна из причин неотложных состояний у детей. Е.Ю. Дьяконова, И.В. Поддубный, А.С. Бекин // Диагностика в педиатрии. 2015.
3. Оценка эффективность диагностики острой кишечной непроходимости у детей. П.Е. Пермяков, А.А. Жидовинов // Российский вестник детской хирургии, анестезиологии и реаниматологии. 2015.
4. Детская хирургия: национальное руководство / под ред. Ю.Ф. Исакова, А.Ф. Дронова. 2009.