Другие названия и синонимы
Calcification of the coronary arteries.
Описание
Кальциноз коронарной артерии. Именно отложение солей кальция в сосудистой стенке доставляет артериальную кровь к миокарду. Заболевание длительное время протекает бессимптомно. Клинические проявления (боль в сердце, слабость, головокружение) возникают через несколько лет после начала кальцификации. Для диагностики коронарной кальцификации назначают инструментальные методы визуализации: электронно-лучевая и мультиспиральная компьютерная томография, внутрисосудистое ультразвуковое исследование, коронарная ангиография. Лечебные мероприятия включают лечение основного заболевания, стентирование коронарных сосудов, статины и гормональные препараты.
|
|
Дополнительные факты
Кальциноз коронарной артерии - независимый фактор риска развития острого коронарного синдрома. Точная распространенность этого заболевания неизвестна. Выборочные исследования показали, что у здоровых женщин старше 40 лет кальцификация сосудов сердца встречается в 11,2% случаев. У мужчин распространенность патологии выше. Коронарный кальциноз часто сочетается с кальцификацией аорты и артерий внутренних органов.
Факторы риска
К факторам риска кальцификации относятся необратимые и обратимые. Необратимые симптомы включают мужской пол, пожилой возраст и семейный анамнез сердечно-сосудистых заболеваний. К обратимым (контролируемым) относятся дислипидемия, воспалительные изменения сосудистой стенки, несбалансированное питание с дефицитом нутриентов. Гиповитаминоз D считается одним из основных контролируемых факторов, поскольку в отсутствие холекальциферола нарушаются процессы метаболизма кальция.
Причины
Причины.
В современной кардиологии ведутся дискуссии об этиологических факторах кальцификации. Было обнаружено, что отложение соли кальция может начаться у молодых людей (20-30 лет), не страдающих сердечно-сосудистыми заболеваниями. Причины этих бессимптомных изменений неизвестны. У пациентов среднего и пожилого возраста кальцификация артерий связана с атеросклеротическими изменениями сосудов.
Патогенез
Ученые считают, что кальцификация коронарных артерий - это активный и обратимый процесс, который по механизму развития аналогичен образованию кости. Основную роль в отложении солей кальция в сосудах играют белки костного матрикса, которые по характеру действия делятся на 2 группы: ингибиторы кальцификации и индукторы. Эти белки находятся в костной ткани, стенках артерий и липидных бляшках.
Индукторы кальцификации включают костную щелочную фосфатазу и костные метаболические белки. Они увеличивают концентрацию кальция и других минералов во внутренней мембране коронарных артерий и усиливают местный воспалительный процесс. Среди ингибиторов кальцификации - остеопонтин, остеопротегерин и фетуин-А. Артериальная кальцификация вызвана дисбалансом между этими группами регуляторных белков.
Индукторы кальцификации включают костную щелочную фосфатазу и костные метаболические белки. Они увеличивают концентрацию кальция и других минералов во внутренней мембране коронарных артерий и усиливают местный воспалительный процесс. Среди ингибиторов кальцификации - остеопонтин, остеопротегерин и фетуин-А. Артериальная кальцификация вызвана дисбалансом между этими группами регуляторных белков.
Клиническая картина
Кальциноз сосудов длительное время протекает бессимптомно. Клинические признаки кальцификации появляются при обширной ишемической болезни сердца, сопровождающейся ишемией миокарда. Симптомы появляются и при присоединении других сердечно-сосудистых заболеваний. Типичный возраст появления симптомов - 45-50 лет. Патогномоничных симптомов кальцификации коронарных артерий нет.
Чаще всего пациенты испытывают боли разного характера в прекардиальной области - боль, пришивание, сдавливание. Болевой синдром провоцирует физические нагрузки, сильные эмоциональные переживания. Реже боль ощущается в покое. Продолжительность болезненных ощущений варьируется от нескольких минут до часов или даже дней. Пациенты иногда описывают свои симптомы как стеснение в груди и дискомфорт.
Наблюдаются неспецифические признаки: повышенная утомляемость, снижение работоспособности. При одновременном поражении других артерий беспокоит головокружение, снижается память - это последствия хронической церебральной гипоксии. Кальцификация коронарной артерии обычно связана со снижением плотности костной ткани и остеопорозом. Это вызывает дополнительные проявления: беспричинные боли в костях и суставах, снижение физической активности.
Кальциноз коронарной артерии.
Ассоциированные симптомы: Боль в сердце. Боль за грудиной.
Чаще всего пациенты испытывают боли разного характера в прекардиальной области - боль, пришивание, сдавливание. Болевой синдром провоцирует физические нагрузки, сильные эмоциональные переживания. Реже боль ощущается в покое. Продолжительность болезненных ощущений варьируется от нескольких минут до часов или даже дней. Пациенты иногда описывают свои симптомы как стеснение в груди и дискомфорт.
Наблюдаются неспецифические признаки: повышенная утомляемость, снижение работоспособности. При одновременном поражении других артерий беспокоит головокружение, снижается память - это последствия хронической церебральной гипоксии. Кальцификация коронарной артерии обычно связана со снижением плотности костной ткани и остеопорозом. Это вызывает дополнительные проявления: беспричинные боли в костях и суставах, снижение физической активности.
Кальциноз коронарной артерии.
Ассоциированные симптомы: Боль в сердце. Боль за грудиной.
Возможные осложнения
Кальциноз коронарных артерий является предиктором сердечно-сосудистых кризов. В ходе наблюдений было установлено, что эффект кальцификации сосудов наиболее выражен у пациентов со средним риском сердечного приступа по шкале SCORE. Согласно исследованиям, около 20% пациентов переводятся в группу высокого и очень высокого риска после обнаружения кальциевых бляшек в сосудах. У таких людей риск смерти от сердечных причин увеличивается до 10% и более.
Кальцификация атеросклеротических бляшек значительно увеличивает вероятность разрыва под давлением. Выстилка бляшки в месте ее соединения с нормальной стенкой артерии становится очень тонкой и хрупкой. В случае нарушения целостности бляшки липидные конгломераты могут блокировать просвет одной из коронарных артерий, что приводит к некрозу области миокарда.
Кальцификация атеросклеротических бляшек значительно увеличивает вероятность разрыва под давлением. Выстилка бляшки в месте ее соединения с нормальной стенкой артерии становится очень тонкой и хрупкой. В случае нарушения целостности бляшки липидные конгломераты могут блокировать просвет одной из коронарных артерий, что приводит к некрозу области миокарда.
Диагностика
Стандартное физикальное обследование с аускультацией сердца не имеет большого значения для выявления кальцификатов коронарных артерий. В начале обследования кардиолог назначает общеклинические анализы крови и мочи для своевременного обследования состояния организма, исключения воспалительных заболеваний и патологий кроветворной системы. Диагностика кальцификации коронарных артерий включает следующие методы:
• внутрикоронарное ультразвуковое исследование. Ультразвуковое исследование с использованием коронарных катетеров - наиболее информативный метод выявления кальцификатов в стенках артерий. Специфичность диагноза - 100%, а чувствительность - 90%. Инвазивное УЗИ проводится только в специализированных кардиологических центрах.
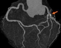
• Ишемическая ангиография. Классический инвазивный метод, который выполняется для визуализации внутренней поверхности коронарных сосудов. Обследование помогает выявить бляшки на стенках или в просвете кровеносных сосудов, но коронарная ангиография не может определить их плотность и химический состав.
• Электронно-лучевая КТ. Этот метод помогает быстро, почти в реальном времени оценить состояние коронарной артерии и обнаружить признаки кальцификации. Для расчета кальциевого индекса (КИ) более информативна мультиспиральная томография. При расчете КИ учитывается площадь поражения артерии и плотность обызвествления.
• Лабораторные методы. Для определения уровня кальция в сыворотке необходим биохимический анализ. О патологии говорят при повышении показателя до 2,75 ммоль / л и более. Чтобы исключить воспаление и некроз сердечной мышцы, измеряют стандартные маркеры миокарда: миоглобин, тропонин, КФК.
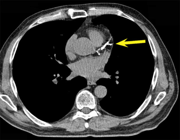
Компьютерная томография. Стрелка указывает на большую кальцинированную бляшку в коронарной артерии.
• внутрикоронарное ультразвуковое исследование. Ультразвуковое исследование с использованием коронарных катетеров - наиболее информативный метод выявления кальцификатов в стенках артерий. Специфичность диагноза - 100%, а чувствительность - 90%. Инвазивное УЗИ проводится только в специализированных кардиологических центрах.
• Ишемическая ангиография. Классический инвазивный метод, который выполняется для визуализации внутренней поверхности коронарных сосудов. Обследование помогает выявить бляшки на стенках или в просвете кровеносных сосудов, но коронарная ангиография не может определить их плотность и химический состав.
• Электронно-лучевая КТ. Этот метод помогает быстро, почти в реальном времени оценить состояние коронарной артерии и обнаружить признаки кальцификации. Для расчета кальциевого индекса (КИ) более информативна мультиспиральная томография. При расчете КИ учитывается площадь поражения артерии и плотность обызвествления.
• Лабораторные методы. Для определения уровня кальция в сыворотке необходим биохимический анализ. О патологии говорят при повышении показателя до 2,75 ммоль / л и более. Чтобы исключить воспаление и некроз сердечной мышцы, измеряют стандартные маркеры миокарда: миоглобин, тропонин, КФК.
Компьютерная томография. Стрелка указывает на большую кальцинированную бляшку в коронарной артерии.
Лечение
Учитывая неясные этиопатогенетические механизмы развития заболевания, возникают трудности при выборе медикаментозного лечения. Часто кальциноз диагностируется на этапе слияния с другими сердечными заболеваниями, поэтому терапия подбирается с учетом полного диагноза. В зависимости от степени поражения сердца назначают антиангинальные, гиполипидемические и антиаритмические препараты.
Во избежание больших кальцификаций используются методы интервенционной кардиологии - малоинвазивные хирургические вмешательства. Наилучшие результаты дает коронарное стентирование - расширение просвета пораженной артерии с помощью специальных сетчатых имплантатов. Методика отличается коротким реабилитационным периодом и минимальной травматичностью.
Хотя не существует утвержденных кардиологических протоколов для лечения кальцификации коронарных артерий, многочисленные исследования по этой проблеме были опубликованы в медицинской литературе. Существует теория, что статины эффективны в уменьшении количества кальцинированного налета. Эта гипотеза была подтверждена в двойных слепых плацебо-контролируемых исследованиях.
Препараты эстрогена рекомендуются женщинам старше 50 лет с диагностированным кальцинозом коронарных артерий. Половые гормоны обладают кардиопротекторным действием, нормализуют обмен кальция и предотвращают дальнейшее повреждение коронарных сосудов. Активно обсуждается эффективность фитопрепаратов и витаминных препаратов для улучшения метаболизма миокарда.
Во избежание больших кальцификаций используются методы интервенционной кардиологии - малоинвазивные хирургические вмешательства. Наилучшие результаты дает коронарное стентирование - расширение просвета пораженной артерии с помощью специальных сетчатых имплантатов. Методика отличается коротким реабилитационным периодом и минимальной травматичностью.
Хотя не существует утвержденных кардиологических протоколов для лечения кальцификации коронарных артерий, многочисленные исследования по этой проблеме были опубликованы в медицинской литературе. Существует теория, что статины эффективны в уменьшении количества кальцинированного налета. Эта гипотеза была подтверждена в двойных слепых плацебо-контролируемых исследованиях.
Препараты эстрогена рекомендуются женщинам старше 50 лет с диагностированным кальцинозом коронарных артерий. Половые гормоны обладают кардиопротекторным действием, нормализуют обмен кальция и предотвращают дальнейшее повреждение коронарных сосудов. Активно обсуждается эффективность фитопрепаратов и витаминных препаратов для улучшения метаболизма миокарда.
|
|
Список литературы
1. Кальциноз коронарных артерий - современное состояние проблемы/ В.Б. Симоненко, А.Ю. Екимовских, И.В. Долбин// Клиническая медицина. 2013.
2. Коронарный кальциноз как фактор риска развития инфаркта миокарда: случай из практики/ Ф.Д. Ахматова, З.Ю. Курбатова, Л.С. Аронов, С.Х. Галачиева // Вестник РГМУ. 2013.
3. Особенности эндоваскулярного лечения кальцинированных поражений коронарных артерий/ А.М. Бабунашвили, Д.С. Карташов// Материалы ХХ Всероссийского съезда сердечно-сосудистых хирургов. 2014.
4. Кальциноз коронарный артерий и аорты у больных с высоким риском развития сердечно-сосудистых осложнений и сниженной минеральной плотностью костной ткани/ З.Н. Бланкова, Н.С. Самсонова, И.В. Баринова, И.С. Федотенков// Кардиологический вестник. 2018.
2. Коронарный кальциноз как фактор риска развития инфаркта миокарда: случай из практики/ Ф.Д. Ахматова, З.Ю. Курбатова, Л.С. Аронов, С.Х. Галачиева // Вестник РГМУ. 2013.
3. Особенности эндоваскулярного лечения кальцинированных поражений коронарных артерий/ А.М. Бабунашвили, Д.С. Карташов// Материалы ХХ Всероссийского съезда сердечно-сосудистых хирургов. 2014.
4. Кальциноз коронарный артерий и аорты у больных с высоким риском развития сердечно-сосудистых осложнений и сниженной минеральной плотностью костной ткани/ З.Н. Бланкова, Н.С. Самсонова, И.В. Баринова, И.С. Федотенков// Кардиологический вестник. 2018.