Другие названия и синонимы
Peliosis of the liver, Пелиозный гепатит.
МКБ-10 коды
- МКБ-10
- K76.4 Пелиоз печени
|
|
Описание
Пелиоз печени. Это заболевание, характеризующееся расширением носовых пазух и образованием многочисленных кровеносных разрывов в ткани печени. Патология проявляется болью и тяжестью в правом подреберье, увеличением живота и расчесыванием вен на передней брюшной стенке, а иногда и пожелтением. Для диагностики используются инструментальные исследования: УЗИ печени, МРТ и КТ с контрастированием, ангиография. Терапия пелиоза - это отмена препаратов с гепатотоксическим действием, назначение урсодезоксихолевой кислоты. В тяжелых случаях показано хирургическое лечение: резекция доли или трансплантация печени.
Дополнительные факты
Этот термин происходит от греческого слова peliosis, что означает пурпурный или темный. Некоторые ученые называют пелиоз болезнью гепатита. Заболевание встречается крайне редко - в медицинской литературе описано всего несколько сотен случаев. Обычно пелиоз клинически не проявляется, и при вскрытии обнаруживаются характерные морфологические отклонения. Среди заболевших преобладают люди среднего и пожилого возраста. Пелиоз чаще встречается у мужчин. Описаны случаи детской болезни в сочетании с лимфомой Ходжкина.
Причины
Пелиоз печени носит полиэтиологический характер, но в 20-50% случаев установить конкретный этиологический фактор не удается. Причинно-следственные связи в развитии заболевания продолжают оставаться предметом дискуссий среди специалистов в области гепатологии. Результаты исследований доказывают влияние нецирротической портальной гипертензии на возникновение пелиоза. Причинами заболевания называются:
• Опьянение. Чаще всего патология обнаруживается при систематическом приеме ряда гепатотоксических препаратов. К ним относятся анаболические стероиды и кортикостероиды, цитостатики, комбинированные пероральные контрацептивы. Реже пелиоз наблюдается при отравлении мышьяком, медью и торием.
• Злокачественные новообразования. Вероятность поражения синусоидов печени существует при онкологических процессах любой локализации, особенно в случае применения лучевой терапии. Чаще всего пелиоз вызывается системными патологическими изменениями организма при болезни Ходжкина.
• Бактериальные инфекции. Волосатое поражение печени может быть диагностировано у больных инфекционным эндокардитом, длительно перенесенным туберкулезом. Показана роль некоторых бактерий рода вacillus (B. henselae, в. quintana) в возникновении заболевания у людей с пониженным иммунитетом.
Изредка пелиоз возникает на фоне множественной миеломы и макроглобулинемии Вальденстрема. Основным предрасполагающим фактором является ВИЧ-инфекция, которая сопровождается резким снижением работы иммунной системы. В группу риска также входят пациенты, перенесшие трансплантацию сердца или почки и получающие массивную иммуносупрессивную терапию. У пациентов с сахарным диабетом чаще развивается пелиоз.
• Опьянение. Чаще всего патология обнаруживается при систематическом приеме ряда гепатотоксических препаратов. К ним относятся анаболические стероиды и кортикостероиды, цитостатики, комбинированные пероральные контрацептивы. Реже пелиоз наблюдается при отравлении мышьяком, медью и торием.
• Злокачественные новообразования. Вероятность поражения синусоидов печени существует при онкологических процессах любой локализации, особенно в случае применения лучевой терапии. Чаще всего пелиоз вызывается системными патологическими изменениями организма при болезни Ходжкина.
• Бактериальные инфекции. Волосатое поражение печени может быть диагностировано у больных инфекционным эндокардитом, длительно перенесенным туберкулезом. Показана роль некоторых бактерий рода вacillus (B. henselae, в. quintana) в возникновении заболевания у людей с пониженным иммунитетом.
Изредка пелиоз возникает на фоне множественной миеломы и макроглобулинемии Вальденстрема. Основным предрасполагающим фактором является ВИЧ-инфекция, которая сопровождается резким снижением работы иммунной системы. В группу риска также входят пациенты, перенесшие трансплантацию сердца или почки и получающие массивную иммуносупрессивную терапию. У пациентов с сахарным диабетом чаще развивается пелиоз.
Патогенез
При пелиозе образуются многочисленные лакунарные полости, которые заполнены кровью. Поражения обнаруживаются по всей паренхиме печени. Диаметр зазоров варьируется от 1-2 миллиметров до нескольких сантиметров. В большинстве случаев в патологический процесс вовлекаются обе доли печени. Микроскопически поражение характеризуется множественными синусоидами, нечеткими границами гепатоцитов.
Патогномоничным признаком пелиоза является наличие разрывов в ретикулярных волокнах, поддерживающих синусоиды и гепатоциты. Такое повреждение развивается из-за нарушения структуры коллагеновых волокон стенок сосудов или некроза клеток печени. Если этиологическим фактором заболевания являются бактерии, образуются очаговые воспалительные инфильтраты с большим количеством макрофагов.
Патогномоничным признаком пелиоза является наличие разрывов в ретикулярных волокнах, поддерживающих синусоиды и гепатоциты. Такое повреждение развивается из-за нарушения структуры коллагеновых волокон стенок сосудов или некроза клеток печени. Если этиологическим фактором заболевания являются бактерии, образуются очаговые воспалительные инфильтраты с большим количеством макрофагов.
Классификация
Систематизация пелиоза печени по степени поражения имеет большое клиническое и прогностическое значение. Следуя этому подходу, многие ученые выделяют очаговый пелиоз как отдельную форму, но этот тип повреждения паренхимы встречается у немногих пациентов. В современной гастроэнтерологии более распространена этиопатогенетическая классификация заболевания, которая включает 3 подтипа пелиоза:
• Флебектатическая форма. Для него характерно наличие эндотелиальной выстилки в расширенных сосудистых полостях. Часто сопровождается аневризмальным расширением центральных печеночных вен.
• Телесная форма. При этом подтипе эндотелиальные клетки в лакунарных полостях отсутствуют. Развитие пелиоза в основном связано с некрозом паренхимы печени.
• Бактериальный пелиоз. Заболевание вызывается заражением бактериальными возбудителями. Помимо поражения печени, типичные морфологические изменения развиваются в селезенке, лимфатических узлах и коже.
• Флебектатическая форма. Для него характерно наличие эндотелиальной выстилки в расширенных сосудистых полостях. Часто сопровождается аневризмальным расширением центральных печеночных вен.
• Телесная форма. При этом подтипе эндотелиальные клетки в лакунарных полостях отсутствуют. Развитие пелиоза в основном связано с некрозом паренхимы печени.
• Бактериальный пелиоз. Заболевание вызывается заражением бактериальными возбудителями. Помимо поражения печени, типичные морфологические изменения развиваются в селезенке, лимфатических узлах и коже.
Клиническая картина
В 70-80% случаев пелиоз протекает бессимптомно. Изредка случайно обнаруживается при инструментальных исследованиях брюшной полости, назначенных по другой причине. Главный клинический признак - увеличение печени. Больные ощущают тяжесть и дискомфорт в правом подреберье, которые усиливаются при наклонах туловища вперед. После еды возникает тошнота, отрыжка.
Нарушение печеночного кровотока и возникновение портальной гипертензии проявляется расширением подкожных вен внизу живота. Позже по всему телу появляются отеки. Характерный симптом - асцит - скопление жидкости в брюшной полости. Признаки асцита - увеличение размеров живота, затрудненное дыхание. На нарушение оттока желчи указывает желтизна кожных покровов и слизистых оболочек, сильный зуд.
Ассоциированные симптомы: Отрыжка. Тошнота. Тошнота после еды. Тяжесть в подреберье. Увеличение объема живота.
Нарушение печеночного кровотока и возникновение портальной гипертензии проявляется расширением подкожных вен внизу живота. Позже по всему телу появляются отеки. Характерный симптом - асцит - скопление жидкости в брюшной полости. Признаки асцита - увеличение размеров живота, затрудненное дыхание. На нарушение оттока желчи указывает желтизна кожных покровов и слизистых оболочек, сильный зуд.
Ассоциированные симптомы: Отрыжка. Тошнота. Тошнота после еды. Тяжесть в подреберье. Увеличение объема живота.
Возможные осложнения
Самым страшным последствием гепатического пелиоза является спонтанный разрыв паренхимы, сопровождающийся внутренним кровотечением. Состояние очень быстро прогрессирует, при отсутствии медицинской помощи в течение первых нескольких часов развивается геморрагический шок. Осложнение клинически проявляется симптомокомплексом «острый живот» и требует вмешательства абдоминальных хирургов.
При пелиозе существует риск отказа печени, что ухудшает течение болезни. Из-за снижения синтеза белка развиваются массивные отеки вплоть до водянки. При длительном существовании портальной гипертензии в пищеводе образуются варикозные вены, склонные к разрыву и кровотечению. Иногда в процесс развития гепаторенального синдрома вовлекаются почки.
При пелиозе существует риск отказа печени, что ухудшает течение болезни. Из-за снижения синтеза белка развиваются массивные отеки вплоть до водянки. При длительном существовании портальной гипертензии в пищеводе образуются варикозные вены, склонные к разрыву и кровотечению. Иногда в процесс развития гепаторенального синдрома вовлекаются почки.
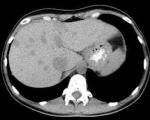
Диагностика
Клиническая картина заболевания неспецифична и напоминает другие варианты поражения сосудов печени. При физикальном обследовании гастроэнтеролог обнаруживает гепатомегалию, сосудистые звездочки на коже, ладонную эритему и другие «печеночные признаки». Для подтверждения диагноза используются лабораторные и инструментальные методы:
• УЗИ печени. При стандартной ультразвуковой диагностике выявляется неоднородная эхогенность паренхимы органа с наличием гипоэхогенных участков. Допплерография рекомендуется для оценки степени васкуляризации долек печени, выявления обструкции венозных сосудов.
• КТ органов брюшной полости. Компьютерная томография с контрастированием - самая информативная. В зависимости от фазы усиления контраста пелиоз визуализируется как расширенные сосуды с интенсивным накоплением контраста или как диффузное увеличение интенсивности сигнала.
• МРТ. Магнитно-резонансная томография используется для небольших поражений, которые менее заметны на КТ. Этот метод используется для определения диаметра и количества пелиотических поражений и участков некроза в паренхиме.
• ангиография. Контрастирование сосудов печени необходимо для того, чтобы был виден пелиоз в виде нескольких сосудистых узлов, которые интенсивно накапливают контрастное вещество. Исследование также позволяет исключить другие формы повреждения венозной сети печени.
• лабораторные образцы. Общий анализ крови покажет признаки тромбоцитопении, легкой или умеренной анемии. Характерно небольшое повышение АСТ, АЛТ и ГГТФ в печеночных пробах. При подозрении на бактериальный пелиоз назначают микробиологическое исследование крови и биопсию.
• УЗИ печени. При стандартной ультразвуковой диагностике выявляется неоднородная эхогенность паренхимы органа с наличием гипоэхогенных участков. Допплерография рекомендуется для оценки степени васкуляризации долек печени, выявления обструкции венозных сосудов.
• КТ органов брюшной полости. Компьютерная томография с контрастированием - самая информативная. В зависимости от фазы усиления контраста пелиоз визуализируется как расширенные сосуды с интенсивным накоплением контраста или как диффузное увеличение интенсивности сигнала.
• МРТ. Магнитно-резонансная томография используется для небольших поражений, которые менее заметны на КТ. Этот метод используется для определения диаметра и количества пелиотических поражений и участков некроза в паренхиме.
• ангиография. Контрастирование сосудов печени необходимо для того, чтобы был виден пелиоз в виде нескольких сосудистых узлов, которые интенсивно накапливают контрастное вещество. Исследование также позволяет исключить другие формы повреждения венозной сети печени.
• лабораторные образцы. Общий анализ крови покажет признаки тромбоцитопении, легкой или умеренной анемии. Характерно небольшое повышение АСТ, АЛТ и ГГТФ в печеночных пробах. При подозрении на бактериальный пелиоз назначают микробиологическое исследование крови и биопсию.
|
|
Лечение
Чтобы остановить патологический процесс, необходимо отменить все препараты, оказывающие токсическое действие на печень. Когда пелиоз вызван ядовитыми веществами, принимаются интенсивные меры по очищению организма. Комбинированная антибактериальная терапия показана при микобактериальном пелиозе. Прием урсодезоксихолевой кислоты дает хорошие долгосрочные результаты.
Наиболее эффективным и радикальным методом лечения является трансплантация печени, которая показана пациентам с полным поражением паренхимы и печеночной недостаточностью. В случае очагового пелиоза допустима частичная резекция органа. У ослабленных пациентов эмболизация артерий используется в качестве первой линии лечения для замедления прогрессирования заболевания.
Наиболее эффективным и радикальным методом лечения является трансплантация печени, которая показана пациентам с полным поражением паренхимы и печеночной недостаточностью. В случае очагового пелиоза допустима частичная резекция органа. У ослабленных пациентов эмболизация артерий используется в качестве первой линии лечения для замедления прогрессирования заболевания.
Список литературы
1. Пелиоз печени: известное о неизвестном/ Е.В. Колесникова// Гастроэнтерология. Гепатология. Колопроктология. 2015.
2. Роль комплексного инструментального исследования в диагностике пелиоза печени/ Д.Р. Оразбаева, А.Т. Сарсекеева, С.Б. Асбатова, Ж. Козыбаева // Гепатология и гастроэнтерология. 2017.
3. К вопросу о механизме патогенеза пелиоза печени/ Г.А. Демяшкин, А.Ю. Цибулевский, М.А. Балыка, А.Н. Иванов // Патологическая физиология и экспериментальная терапия. 2019.
2. Роль комплексного инструментального исследования в диагностике пелиоза печени/ Д.Р. Оразбаева, А.Т. Сарсекеева, С.Б. Асбатова, Ж. Козыбаева // Гепатология и гастроэнтерология. 2017.
3. К вопросу о механизме патогенеза пелиоза печени/ Г.А. Демяшкин, А.Ю. Цибулевский, М.А. Балыка, А.Н. Иванов // Патологическая физиология и экспериментальная терапия. 2019.