Другие названия и синонимы
Additional chord of the child's heart.
Описание
Дополнительная хорда сердца у ребенка. Это незначительное отклонение от нормы развития, которое представляет собой пуповину внутри желудочка. Это происходит из-за унаследованной или недавно возникшей генетической мутации, которая нарушает дифференцировку сердечной ткани в пренатальной фазе. Он протекает бессимптомно или проявляется кардиалгией, перебоями в работе сердца, повышенной утомляемостью. В план диагностических мероприятий входит эхокардиография, ЭКГ, проведение функциональных нагрузочных проб. Лечение бессимптомных хорд не проводится, при развитии осложнений назначаются патогенетические препараты, иногда требуется помощь детских кардиохирургов.
|
|
Дополнительные факты
Патология была впервые описана в 1893 году и получила название «мышечный канатик». Современный термин появился позже из-за расположения образования, которое фактически проходит через полость желудочка. По данным эхокардиографии частота выявления хорд колеблется от 0,5% до 68% в популяции из-за отсутствия единых диагностических критериев. У мальчиков аномалия встречается в 2-3 раза чаще. Поскольку образование дополнительной пуповины у детей происходит во время внутриутробного развития, пуповину можно обнаружить в любом возрасте. Пиков заболеваемости нет.
Причины
Аномальные тяжи являются одним из вариантов дисплазии соединительной ткани сердца (ДСКТ), поэтому четких этиологических факторов их возникновения не установлено. В современной педиатрии считается, что появление незначительных отклонений связано с действием неблагоприятных факторов в ранней внутриутробной фазе внутриутробного развития плода. К основным причинам патологии можно отнести следующее:
• Наследование. Было обнаружено, что некоторые варианты второстепенных аккордов наследуются по аутосомно-доминантному типу, что означает, что они встречаются в каждом поколении, независимо от пола детей. Генетические мутации влияют на дифференцировку клеток миокарда, что провоцирует образование аномалии.
• Тератогенные факторы. Вероятность развития дополнительной хорды увеличивается, если женщина подвергается воздействию ионизирующего излучения, радиации и неблагоприятных условий окружающей среды в первые несколько месяцев беременности. Некоторые инфекции могут вызывать аномалии, если сильные лекарства используются без рецепта врача.
• Патология беременности. Вероятность появления дополнительных хорд коррелирует с частотой и тяжестью осложнений во время гестационного периода. Аномалии чаще возникают у детей, перенесших плацентарную недостаточность, внутриутробную гипоксию или рожденных от матерей с хроническими соматическими заболеваниями.
• Наследование. Было обнаружено, что некоторые варианты второстепенных аккордов наследуются по аутосомно-доминантному типу, что означает, что они встречаются в каждом поколении, независимо от пола детей. Генетические мутации влияют на дифференцировку клеток миокарда, что провоцирует образование аномалии.
• Тератогенные факторы. Вероятность развития дополнительной хорды увеличивается, если женщина подвергается воздействию ионизирующего излучения, радиации и неблагоприятных условий окружающей среды в первые несколько месяцев беременности. Некоторые инфекции могут вызывать аномалии, если сильные лекарства используются без рецепта врача.
• Патология беременности. Вероятность появления дополнительных хорд коррелирует с частотой и тяжестью осложнений во время гестационного периода. Аномалии чаще возникают у детей, перенесших плацентарную недостаточность, внутриутробную гипоксию или рожденных от матерей с хроническими соматическими заболеваниями.
Патогенез
Основная теория состоит в том, что образование дополнительных мышечных трабекул происходит во время эмбрионального развития ребенка. Петли образуются из внутреннего слоя миокарда при связывании сосочковых мышц. Если дифференцировка клеток нарушена, некоторые из них будут создавать папиллярные структуры, а остальные клетки будут организованы в дополнительные тяжи и расположены в полости желудочка.
Морфологические изменения при дисплазии характеризуются изменением структуры коллагеновых и эластиновых волокон, нарушением нормального соотношения гликопротеинов, протеогликанов и фибробластов. В этом случае возникает патология пространственной организации белков и белково-углеводных комплексов. Некоторые авторы приписывают гипомагниемию важную роль в патогенезе спинного мозга и в симптомах, которые они вызывают.
Морфологические изменения при дисплазии характеризуются изменением структуры коллагеновых и эластиновых волокон, нарушением нормального соотношения гликопротеинов, протеогликанов и фибробластов. В этом случае возникает патология пространственной организации белков и белково-углеводных комплексов. Некоторые авторы приписывают гипомагниемию важную роль в патогенезе спинного мозга и в симптомах, которые они вызывают.
Классификация
Выделение вариантов внутрисердечных хорд является спорным с научной точки зрения, поскольку сегодня существует несколько классификаций. Гистологические исследования разрезанного материала позволяют разделить тяжи в сердце на 3 типа:
• фиброзно-мышечный (до 64%);
• мышца;
• фиброзный.
Среди фиброзно-мышечных до 4,7% составляют образования, содержащие проводящие кардиомиоциты.
А.А. Корженков предложил разделить хорды на 5 вариантов локализации. Самые распространенные из них: по горизонтали (до 60% случаев) и по диагонали (30-35%). К редким вариантам внутрисердечных канатиков относятся продольные (2-3%), множественные (1-2%), с тремя и более точками прикрепления (до 1%). Дополнения к классификации включают определение длины и толщины образования, а также его расположение относительно наиболее важных анатомических ориентиров.
• фиброзно-мышечный (до 64%);
• мышца;
• фиброзный.
Среди фиброзно-мышечных до 4,7% составляют образования, содержащие проводящие кардиомиоциты.
А.А. Корженков предложил разделить хорды на 5 вариантов локализации. Самые распространенные из них: по горизонтали (до 60% случаев) и по диагонали (30-35%). К редким вариантам внутрисердечных канатиков относятся продольные (2-3%), множественные (1-2%), с тремя и более точками прикрепления (до 1%). Дополнения к классификации включают определение длины и толщины образования, а также его расположение относительно наиболее важных анатомических ориентиров.
Клиническая картина
Для дополнительных сердечных связок у детей характерна вариативность течения: от бессимптомных вариантов, выявленных при инструментальной диагностике по другой причине, до явных признаков сердечной дисфункции и общего состояния. По наблюдениям врачей, незначительные отклонения от нормы являются основной причиной функциональных шумов в сердце, которые диагностируются не реже одного раза в жизни у каждого второго или третьего ребенка.
Около 50% пациентов с лишними связками иногда испытывают боли в сердце. Ребенок жалуется на покалывание, боль или чувство давления, которое явно не связано с физическим или эмоциональным стрессом. Примерно с такой же частотой появляются аритмии, которые ощущаются как сильное сердцебиение или наоборот, сердцебиение в течение нескольких секунд, сопровождающееся ухудшением самочувствия.
Многие дети плохо переносят физические нагрузки, утомляются после непродолжительных занятий спортом в школе. При интенсивных упражнениях возможны обмороки, продолжительное сердцебиение, усиление кровотока и жар к голове. Иногда ребенок чувствует одышку, в результате чего он начинает делать быстрые и глубокие вдохи. Среди атипичных эквивалентов одышки - частая зевота, кашель и боль в горле.
Поскольку DSTS обычно сочетается с другими признаками дизэмбриогенеза, у ребенка могут быть отклонения формы черепа и лица, неправильные глаза и асимметрия туловища и конечностей. Изредка добавочные аккорды являются одним из проявлений синдрома Марфана: в этом случае ребенок имеет характерное астеническое телосложение, обвисшую истонченную кожу и другие патогномоничные симптомы.
Ассоциированные симптомы: Боль в груди слева. Боль в сердце. Боль за грудиной.
Около 50% пациентов с лишними связками иногда испытывают боли в сердце. Ребенок жалуется на покалывание, боль или чувство давления, которое явно не связано с физическим или эмоциональным стрессом. Примерно с такой же частотой появляются аритмии, которые ощущаются как сильное сердцебиение или наоборот, сердцебиение в течение нескольких секунд, сопровождающееся ухудшением самочувствия.
Многие дети плохо переносят физические нагрузки, утомляются после непродолжительных занятий спортом в школе. При интенсивных упражнениях возможны обмороки, продолжительное сердцебиение, усиление кровотока и жар к голове. Иногда ребенок чувствует одышку, в результате чего он начинает делать быстрые и глубокие вдохи. Среди атипичных эквивалентов одышки - частая зевота, кашель и боль в горле.
Поскольку DSTS обычно сочетается с другими признаками дизэмбриогенеза, у ребенка могут быть отклонения формы черепа и лица, неправильные глаза и асимметрия туловища и конечностей. Изредка добавочные аккорды являются одним из проявлений синдрома Марфана: в этом случае ребенок имеет характерное астеническое телосложение, обвисшую истонченную кожу и другие патогномоничные симптомы.
Ассоциированные симптомы: Боль в груди слева. Боль в сердце. Боль за грудиной.
Возможные осложнения
Дополнительные хорды в 73% случаев связаны с синдромом ранней реполяризации желудочков, что увеличивает риск развития пароксизмальной наджелудочковой тахикардии. При наличии ДСТС в 4-6 раз чаще встречается феномен предвозбуждения желудочков (Вольфа-Паркинсона-Уайта), вызывающий тяжелые аритмии. Наблюдается четкая закономерность: чем ближе пуповина к базальной части межжелудочковой перегородки, тем выше ее аритмогенность.
Ребенка с дополнительной хордой в сердце гораздо чаще беспокоят обмороки, вызванные приступами аритмий и нарушениями регуляции сосудистого тонуса. У 30% обнаруживается геморрагический синдром, развивающийся на фоне мезенхимальной дисплазии. Проявляется кровоточивостью десен, частыми кровотечениями из носа, у девочек-подростков дополнительной жалобой становится продолжительная и обильная менструация.
Ребенка с дополнительной хордой в сердце гораздо чаще беспокоят обмороки, вызванные приступами аритмий и нарушениями регуляции сосудистого тонуса. У 30% обнаруживается геморрагический синдром, развивающийся на фоне мезенхимальной дисплазии. Проявляется кровоточивостью десен, частыми кровотечениями из носа, у девочек-подростков дополнительной жалобой становится продолжительная и обильная менструация.
Диагностика
При стандартном клиническом осмотре детским кардиологом выявляются неспецифические признаки порока сердца. Пальпация и перкуссия не дают ценной информации, а при аускультации врач часто выявляет у ребенка функциональные систолические шумы. Для визуализации мелких отклонений и детальной оценки сердечной деятельности эффективны следующие методы диагностики:
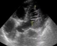
• Эхокардиография. На УЗИ сердца обнаруживается дополнительное линейное образование, не связанное с клапанным аппаратом. Для большей надежности пояс необходимо визуализировать в 2-х плоскостях, перпендикулярных друг другу. При ультразвуковом исследовании определяется толщина и длина спинного мозга, его подвижность в период сердечного цикла.
• ЭКГ. Запись ЭКГ необходима для выявления аритмий как осложнения лишнего аккорда, а также врожденных нарушений сердечного ритма. Врач настораживает наличие у ребенка дополнительных проводящих путей, образование на ЭКГ патологических зубцов, удлинение или укорочение интервалов.
• Функциональные тесты. Школьники могут проводить стресс-тесты (тест на велоэргометре, тест на беговой дорожке), чтобы дополнительно оценить степень компенсации имеющихся аномалий. По их результатам кардиолог оценивает адаптацию сердечно-сосудистой системы к физическим нагрузкам.
• Эхокардиография. На УЗИ сердца обнаруживается дополнительное линейное образование, не связанное с клапанным аппаратом. Для большей надежности пояс необходимо визуализировать в 2-х плоскостях, перпендикулярных друг другу. При ультразвуковом исследовании определяется толщина и длина спинного мозга, его подвижность в период сердечного цикла.
• ЭКГ. Запись ЭКГ необходима для выявления аритмий как осложнения лишнего аккорда, а также врожденных нарушений сердечного ритма. Врач настораживает наличие у ребенка дополнительных проводящих путей, образование на ЭКГ патологических зубцов, удлинение или укорочение интервалов.
• Функциональные тесты. Школьники могут проводить стресс-тесты (тест на велоэргометре, тест на беговой дорожке), чтобы дополнительно оценить степень компенсации имеющихся аномалий. По их результатам кардиолог оценивает адаптацию сердечно-сосудистой системы к физическим нагрузкам.
|
|
Лечение
Если дополнительное сухожилие не сопровождается сердечной дисфункцией, детская кардиология использует выжидательный подход и периодически повторяет его. Большинству пациентов с добавочной сердечной мышцей не требуется специального лечения. Наличие кардиалгии, аритмий и других симптомов свидетельствует о назначении патогенетической и симптоматической терапии. В случае комбинированной дисплазии сердечной ткани необходима консультация кардиохирурга.
Прогноз
В большинстве случаев связки протекают бессимптомно или бессимптомно и не влияют на повседневную жизнь пациента. Прогноз благоприятный, если у ребенка нет других дисплазий или пороков сердца. При наследственных или многофакторных нарушениях соединительной ткани прогноз ухудшается. Учитывая неясные этиопатогенетические характеристики ДСТ, никаких профилактических мер разработано не было.
Список литературы
1. Роль малых аномалий сердца в структуре врожденных пороков сердца/ О.В. Ефименко, Е.Д. Княжева// NovaInfo. 2018.
2. Причины развития и распространенность недифференцированной дисплазии соединительной ткани у детей пубертатного возраста/ О.В. Сидорович// Современные проблемы науки и образования. 2017.
3. Дисплазия соединительной ткани: основные клинические синдромы, формулировка диагноза, лечение/ Г.И. Нечаева, В.М. Яковлев// Лечащий врач. 2008.
4. Аномально расположенные хорды: история. Эпидемиология, классификация, патогенез основных клинических синдромом/ В.И. Шишко// Журнал ГрГМУ. 2007.
2. Причины развития и распространенность недифференцированной дисплазии соединительной ткани у детей пубертатного возраста/ О.В. Сидорович// Современные проблемы науки и образования. 2017.
3. Дисплазия соединительной ткани: основные клинические синдромы, формулировка диагноза, лечение/ Г.И. Нечаева, В.М. Яковлев// Лечащий врач. 2008.
4. Аномально расположенные хорды: история. Эпидемиология, классификация, патогенез основных клинических синдромом/ В.И. Шишко// Журнал ГрГМУ. 2007.