Другие названия и синонимы
Brody's abscess.
МКБ-10 коды
- МКБ-10
- M86.8 Другой остеомиелит
|
|
Описание
Абсцесс Броди. Это разновидность остеомиелита с хроническим течением и образованием ограниченного абсцесса в губчатом веществе кости. Для него характерно вялое течение. Возникают рецидивирующие экссудативные синовиты, болезненность при пальпации, перемены погоды, после физических нагрузок. У некоторых пациентов развиваются периодические обострения с усилением боли. Диагноз ставится на основании результатов клинического обследования, рентгенографии, КТ. На начальных этапах проводится иммобилизация, антибактериальная терапия, на последующих этапах - вскрытие, соскоб, при необходимости заполнение полости костной стружкой или специальными имплантатами.
Дополнительные факты
Абсцесс Броди - редкая форма остеомиелита с атипичным благоприятным течением. Обычно диагностируется у подростков и молодых людей, в основном у мужчин. В 80% случаев локализуется в метафизах большеберцовой кости, чаще всего страдает проксимальная часть сегмента. Может поражать бедренную и плечевую кости, реже другие трубчатые кости. Губчатые кости поражаются редко. Типичны значительная продолжительность заболевания (до нескольких десятков лет), симптомы, имитирующие поражение суставов, и изменяющийся рентгеновский снимок.
Причины
Абсцесс Броди вызывается несколькими низковирулентными штаммами стафилококков. Чаще всего возбудителем является золотистый стафилококк. Заражение происходит гематогенно из отдаленных эндогенных очагов (кариес, воспаленные миндалины при хроническом тонзиллите и ). Предрасполагающими факторами считаются перенесенные ранее острые вирусные инфекции, легкие травмы и нарушения иммунной системы. Патология обычно развивается в подростковом возрасте, до окостенения эпифизарной пластинки.
Патогенез
После проникновения болезнетворных микроорганизмов в кость образуется одиночная капля или продольное поражение диаметром 1,5-2 часто поверхностно расположенное в поднадкостничном слое. При более длительном курсе размер абсцесса может увеличиться до 4-5 Вокруг очага развивается явный остеосклероз. Определяется утолщение надкостницы. Содержимое абсцесса представлено грануляциями, серозной или гнойной жидкостью. Появление свищей и деформаций костей встречается редко.
Клиническая картина
Патология проявляется повышением температуры тела при повышении температуры тела, общей слабостью, слабостью, симптомами интоксикации. Перечисленные проявления длятся 2-3 дня. Сразу после этого или через несколько дней возникает местная боль в околосуставной зоне. Затем абсцесс Бродов становится хроническим. Пациенты жалуются на появление болезненных ощущений при изменении погодных условий после нагрузки на конечность.
Возможна усиленная боль в ночное время. У некоторых пациентов отмечаются периодические обострения, во время которых увеличивается продолжительность и интенсивность болевого синдрома без ухудшения общего состояния. В клинической картине часто преобладают суставные симптомы. Обнаружен рецидивирующий синовит. Некоторое ограничение движений возможно из-за реактивного асептического воспаления суставной полости.
Ассоциированные симптомы: Боль в суставах. Фебрильная температура тела.
Возможна усиленная боль в ночное время. У некоторых пациентов отмечаются периодические обострения, во время которых увеличивается продолжительность и интенсивность болевого синдрома без ухудшения общего состояния. В клинической картине часто преобладают суставные симптомы. Обнаружен рецидивирующий синовит. Некоторое ограничение движений возможно из-за реактивного асептического воспаления суставной полости.
Ассоциированные симптомы: Боль в суставах. Фебрильная температура тела.
Возможные осложнения
Для абсцесса Броди характерно благоприятное течение. Осложнения случаются редко. Секвестры обычно не образуются. Описаны отдельные случаи образования наружных свищей и прорыва содержимого абсцесса в полость сустава с возникновением гнойного артрита.
Отек и гиперпигментация левой щиколотки у 27-летнего мужчины с абсцессом Броди (A, в). Рентгенограммы (C, F) и компьютерные томограммы (D, E) показывают поражение дистального отдела большеберцовой кости.
Отек и гиперпигментация левой щиколотки у 27-летнего мужчины с абсцессом Броди (A, в). Рентгенограммы (C, F) и компьютерные томограммы (D, E) показывают поражение дистального отдела большеберцовой кости.
Диагностика
Установлением этиологии заболевания занимаются травматологи. Диагностика часто затруднена из-за особенностей симптоматики и вариабельности рентгенологической картины патологии. Выполняются следующие диагностические измерения:
• Физический осмотр. При внешнем осмотре обнаруживается небольшой отек, небольшая локальная гипертермия и увеличенная сосудистая сеть. В период рецидива синовита выявляется флюктуация. Признаки воспаления в крови выражены слабо, поэтому лабораторные исследования малоинформативны.
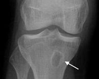
• Рентгенография. В типичных случаях на изображениях видна единственная изолированная округлая костная полость правильной формы, длина которой соответствует длине кости. Полость окружена полосой остеосклероза. Метафиз немного утолщен за счет слоев надкостницы.
• Компьютерная томография. Это подтверждает наличие внутрикостного кистозного образования, окруженного зоной окостенения, яркой периостальной реакции со склеротической трансформацией.
• Физический осмотр. При внешнем осмотре обнаруживается небольшой отек, небольшая локальная гипертермия и увеличенная сосудистая сеть. В период рецидива синовита выявляется флюктуация. Признаки воспаления в крови выражены слабо, поэтому лабораторные исследования малоинформативны.
• Рентгенография. В типичных случаях на изображениях видна единственная изолированная округлая костная полость правильной формы, длина которой соответствует длине кости. Полость окружена полосой остеосклероза. Метафиз немного утолщен за счет слоев надкостницы.
• Компьютерная томография. Это подтверждает наличие внутрикостного кистозного образования, окруженного зоной окостенения, яркой периостальной реакции со склеротической трансформацией.
Диф. диагностика
Абсцесс Броди дифференцируют от обычного хронического остеомиелита, костно-суставного туберкулеза, костной кисты, десны, остеоид-остеомы, эозинофильной гранулемы. Для распространенного остеомиелита характерны секвестрация, образование грубых надкостничных разрастаний, чередование участков остеосклероза и остеопороза. Костная киста более крупная, многокамерная.
При костном туберкулезе очаг меньше, неправильной формы, с губчатой секвестрацией, склонен к быстрому разрыву на поверхности кожи или в полости сустава. Десны в подавляющем большинстве случаев множественные, имеют менее гладкие контуры. В эозинофильных гранулемах на изображениях видны картонные очертания, менее выраженная граница склероза. Остеоид-остеомы проявляются постепенным усилением боли.
При костном туберкулезе очаг меньше, неправильной формы, с губчатой секвестрацией, склонен к быстрому разрыву на поверхности кожи или в полости сустава. Десны в подавляющем большинстве случаев множественные, имеют менее гладкие контуры. В эозинофильных гранулемах на изображениях видны картонные очертания, менее выраженная граница склероза. Остеоид-остеомы проявляются постепенным усилением боли.
Лечение
Лечение проводится в стационарных условиях. В зависимости от стадии заболевания может быть показана консервативная или хирургическая тактика. Консервативные меры, принятые на ранней стадии, включают:
• наложение пластыря на 3-4 недели;
• антибактериальная терапия с учетом чувствительности микрофлоры;
• физиотерапия (УВЧ).
При неэффективности перечисленных мероприятий показан прием пациента с длительно перенесенным абсцессом Броди, иссечение патологического очага в неизмененных тканях. Небольшие полости соскабливаются, промываются, дренируются, большие полости после удаления пораженных тканей заполняются костной стружкой для улучшения заживления. В послеоперационном периоде делают перевязки, назначают антибиотики внутримышечно.
В последние годы биосовместимые композитные имплантаты в виде стержней, пластин и штифтов используются для борьбы с инфекциями и стимуляции остеогенеза. На поверхность имплантатов наносятся антибиотики, оротовая кислота и глюконат кальция. Препараты обладают антимикробным и остеотропным действием, структура постепенно растворяется в течение периода от 8 месяцев до 3 лет по мере формирования нормальной кости.
• наложение пластыря на 3-4 недели;
• антибактериальная терапия с учетом чувствительности микрофлоры;
• физиотерапия (УВЧ).
При неэффективности перечисленных мероприятий показан прием пациента с длительно перенесенным абсцессом Броди, иссечение патологического очага в неизмененных тканях. Небольшие полости соскабливаются, промываются, дренируются, большие полости после удаления пораженных тканей заполняются костной стружкой для улучшения заживления. В послеоперационном периоде делают перевязки, назначают антибиотики внутримышечно.
В последние годы биосовместимые композитные имплантаты в виде стержней, пластин и штифтов используются для борьбы с инфекциями и стимуляции остеогенеза. На поверхность имплантатов наносятся антибиотики, оротовая кислота и глюконат кальция. Препараты обладают антимикробным и остеотропным действием, структура постепенно растворяется в течение периода от 8 месяцев до 3 лет по мере формирования нормальной кости.
|
|
Прогноз
Прогноз достаточно благоприятный. При раннем начале лечения возможно устранение гнойного очага, хотя на практике такие случаи наблюдаются редко из-за позднего поступления пациентов и других факторов. Несмотря на тенденцию к длительному течению, абсцесс Броди редко становится причиной развития серьезных осложнений. Остается трудоспособность. Результат хирургических вмешательств хороший.
Профилактика
Профилактические меры включают своевременное лечение очагов хронической инфекции, коррекцию нарушений иммунитета, адекватную терапию вирусных инфекций. Важную роль в ранней диагностике заболевания и предупреждении его длительного течения играет комплексное обследование, включающее рентгенографию сустава с захватом метафизарной зоны.
Список литературы
1. Остеомиелит/ Акжигитов Г.Н. и - 1986.
2. Хирургическое лечение атипичных форм остеомиелита у детей и подростков/ Краснояров Г.А., Амагыров В.П. и // Бюллетень ВСНЦ СО РАМН - 2005 - №3.
3. The Penumbra Sign on Magnetic Resonance Images of вrodie’s Abscess: A сase Report/ Ahmadreza Afshar and Afshin Mohammadi// Iran J Radiol. 2011 - №8.
2. Хирургическое лечение атипичных форм остеомиелита у детей и подростков/ Краснояров Г.А., Амагыров В.П. и // Бюллетень ВСНЦ СО РАМН - 2005 - №3.
3. The Penumbra Sign on Magnetic Resonance Images of вrodie’s Abscess: A сase Report/ Ahmadreza Afshar and Afshin Mohammadi// Iran J Radiol. 2011 - №8.