Другие названия и синонимы
TRALI syndrome, Острое посттрансфузионное повреждение легких.
МКБ-10 коды
|
|
Описание
Синдром TRALI. Это острое повреждение легких, которое происходит в течение 6 часов после переливания крови или компонентов крови, таких как свежезамороженная плазма, эритроциты или тромбоциты. Клиническая картина складывается из симптомов острой дыхательной недостаточности - одышки, кашля с отхождением пенистой мокроты, пониженного артериального давления. Иногда наблюдается гипертермия. Диагноз ставится на основании клинических, лабораторных и рентгенологических признаков дыхательной недостаточности у пациента, перенесшего переливание крови. Лечение включает прекращение переливания крови, кислородную терапию и, при необходимости, искусственную вентиляцию легких.
Дополнительные факты
Синдром TRALI - это респираторный дистресс-синдром, связанный с переливанием крови. Это состояние было впервые описано в 1951 году. Заболеваемость у мужчин и небеременных женщин одинакова - 0,4-1,6 случая на 1000 пациентов, перенесших переливание крови. Чуть чаще патология развивается при переливании плазмы. В некоторых странах синдром TRALI считается наиболее частым осложнением при переливании крови и занимает 3-е место среди причин смерти, связанных с переливаниями крови.
Причины
В подавляющем большинстве случаев этиологическим фактором является наличие в крови донора специфических антител, которые взаимодействуют с антигенами системы HLA, экспрессируемыми на мембранах лейкоцитов реципиента. Образование комплексов антиген-антитело приводит к активации нейтрофилов, которые запускают каскад патологических реакций.
Другой причиной развития патологии считается попадание в организм реципиента продуктов распада клеточных мембран - биологически активных липидов (лизофосфатидилхолинов), содержащихся в донорской крови с длительным периодом подготовки. Факторами риска, повышающими вероятность синдрома TRALI, являются беременность и заболевания, требующие массивного переливания крови - обширная кровопотеря, гемобластоз, цитостатическая болезнь.
Другой причиной развития патологии считается попадание в организм реципиента продуктов распада клеточных мембран - биологически активных липидов (лизофосфатидилхолинов), содержащихся в донорской крови с длительным периодом подготовки. Факторами риска, повышающими вероятность синдрома TRALI, являются беременность и заболевания, требующие массивного переливания крови - обширная кровопотеря, гемобластоз, цитостатическая болезнь.
Патогенез
Активированные нейтрофилы начинают секретировать медиаторы воспаления (цитокины, интерлейкины, фактор некроза опухоли), активные формы кислорода и протеолитический фермент эластазу. Это приводит к повреждению эндотелиального барьера капилляров легких, увеличению проницаемости сосудов и плазменному потоотделению. Чрезмерное выделение оксида азота приводит к сильному расширению сосудов и развитию гипотонии.
Происходит агглютинация нейтрофилов, то есть их слипание. Высвободившийся фактор активации тромбоцитов стимулирует агрегацию форменных элементов и образование тромбов. Преобладающее поражение легких при синдроме TRALI объясняется тем, что около 2/3 пула нейтрофилов находится в малом круге кровообращения.
При переливании крови, содержащей специфические антитела, значительная часть нейтрофилов агглютинирует и повреждает микрососуды легких. Патологическое исследование легких показывает диффузную лейкоцитарную инфильтрацию, застой полиморфно-ядерных лейкоцитов в легочных капиллярах, разрушение легочной паренхимы.
Происходит агглютинация нейтрофилов, то есть их слипание. Высвободившийся фактор активации тромбоцитов стимулирует агрегацию форменных элементов и образование тромбов. Преобладающее поражение легких при синдроме TRALI объясняется тем, что около 2/3 пула нейтрофилов находится в малом круге кровообращения.
При переливании крови, содержащей специфические антитела, значительная часть нейтрофилов агглютинирует и повреждает микрососуды легких. Патологическое исследование легких показывает диффузную лейкоцитарную инфильтрацию, застой полиморфно-ядерных лейкоцитов в легочных капиллярах, разрушение легочной паренхимы.
Классификация
По патогенетическому механизму различают 2 типа синдрома TRALI:
• Иммуноопосредованный. Вызвано наличием антинейтрофильных антител в компонентах переливаемой крови.
• Неиммуноопосредованный. Повреждение легочного эндотелия вызывается биологически активными веществами, которые содержатся в крови длительного хранения.
По клиническому течению различают следующие типы синдрома TRALI:
• Классический. Для него характерно быстрое появление симптомов после переливания крови (в течение 2-6 часов), практически полное исчезновение патологических изменений и низкая летальность.
• С задержкой. Обычно постепенное развитие (от 6 до 72 часов), отсутствие лихорадки, медленное прогрессирование и более высокий уровень смертности.
• Иммуноопосредованный. Вызвано наличием антинейтрофильных антител в компонентах переливаемой крови.
• Неиммуноопосредованный. Повреждение легочного эндотелия вызывается биологически активными веществами, которые содержатся в крови длительного хранения.
По клиническому течению различают следующие типы синдрома TRALI:
• Классический. Для него характерно быстрое появление симптомов после переливания крови (в течение 2-6 часов), практически полное исчезновение патологических изменений и низкая летальность.
• С задержкой. Обычно постепенное развитие (от 6 до 72 часов), отсутствие лихорадки, медленное прогрессирование и более высокий уровень смертности.
Клиническая картина
Клиническая картина заболевания включает признаки отека легких и дыхательной недостаточности. Сначала затруднено дыхание на вдохе и выдохе (одышка смешанного характера), затем появляется кашель с пенистой мокротой. По мере того как одышка усиливается, пациент становится более возбужденным, а частота сердечных сокращений и дыхания увеличивается. Иногда температура тела повышается до лихорадочных цифр.
Наиболее специфический симптом синдрома TRALI - снижение артериального давления. У больных появляется головокружение, потемнение в глазах, общая слабость. При снижении содержания кислорода в артериальной крови менее 60 мм Изобразительное искусство. губы, кончик носа и пальцы приобретают голубоватый оттенок, в процессе дыхания задействуются вспомогательные мышцы - мышцы шеи, верхнего плечевого пояса и спины. Частота дыхания менее 12 в минуту. Иногда наблюдается нарушение дыхания: Чейн-Стокса, Биота и.
Ассоциированные симптомы: Лейкопения.
Наиболее специфический симптом синдрома TRALI - снижение артериального давления. У больных появляется головокружение, потемнение в глазах, общая слабость. При снижении содержания кислорода в артериальной крови менее 60 мм Изобразительное искусство. губы, кончик носа и пальцы приобретают голубоватый оттенок, в процессе дыхания задействуются вспомогательные мышцы - мышцы шеи, верхнего плечевого пояса и спины. Частота дыхания менее 12 в минуту. Иногда наблюдается нарушение дыхания: Чейн-Стокса, Биота и.
Ассоциированные симптомы: Лейкопения.
Возможные осложнения
Синдром TRALI - серьезное, опасное для жизни состояние, требующее срочной медицинской помощи. Без своевременной диагностики и лечения наступает смерть. Причина смерти почти всегда - острая дыхательная недостаточность. При быстро развивающейся гипоксемии пациент может потерять сознание.
У пациентов с субклиническим течением и медленно прогрессирующей респираторной дисфункцией может развиться гипоксическая кома или гиперкапния. Осложнения связаны с компенсаторным усилением мозгового кровотока, повышением внутричерепного давления и отеком мозга.
У пациентов с субклиническим течением и медленно прогрессирующей респираторной дисфункцией может развиться гипоксическая кома или гиперкапния. Осложнения связаны с компенсаторным усилением мозгового кровотока, повышением внутричерепного давления и отеком мозга.
Диагностика
Обычно лечение пациентов с синдромом TRALI проводят анестезиологи-реаниматологи и трансфузиологи. Поворотным моментом в диагностике является наличие четкой связи между переливанием крови и появлением симптомов. Для подтверждения диагноза назначают:
• Лабораторное исследование. В общем анализе крови у пациентов с иммуноопосредованным TRALI-синдромом иногда наблюдается преходящая лейкопения. Определяется наличие антител к HLA и аллоантигенам нейтрофилов в крови донора и антилейкоцитарных антигенов реципиента. Положительный лимфатический перекрестный тест является типичным. Нормальный уровень мозгового натрийуретического пептида может исключить дисфункцию левого желудочка.
• Исследование газового состава крови. Характеризуется снижением парциального давления кислорода в артериальной крови, фракции кислорода на вдохе и респираторного индекса. При проведении пульсоксиметрии выявляется снижение сатурации (насыщения крови кислородом).
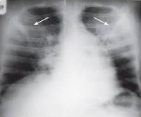
• Рентгенологические исследования. На рентгенограмме грудной клетки определяется изображение отека легких - диффузная инфильтрация легких вплоть до полного затемнения полей легких. Отличительной особенностью этих изменений является их быстрое исчезновение во время лечения.
• Исследование аспирата из бронхов. Биохимический анализ аспирата, полученного при бронхоальвеолярном лаваже, показывает высокое содержание белка, близкое к концентрации в сыворотке.
Дифференциальная диагностика проводится с кардиогенным отеком легких, респираторным дистресс-синдромом различной этиологии, пневмонией. Следует отличать это состояние от других осложнений, связанных с переливанием крови и ее компонентов: синдром гемодинамической перегрузки (синдром ТАКО), анафилактические трансфузионные реакции.
• Лабораторное исследование. В общем анализе крови у пациентов с иммуноопосредованным TRALI-синдромом иногда наблюдается преходящая лейкопения. Определяется наличие антител к HLA и аллоантигенам нейтрофилов в крови донора и антилейкоцитарных антигенов реципиента. Положительный лимфатический перекрестный тест является типичным. Нормальный уровень мозгового натрийуретического пептида может исключить дисфункцию левого желудочка.
• Исследование газового состава крови. Характеризуется снижением парциального давления кислорода в артериальной крови, фракции кислорода на вдохе и респираторного индекса. При проведении пульсоксиметрии выявляется снижение сатурации (насыщения крови кислородом).
• Рентгенологические исследования. На рентгенограмме грудной клетки определяется изображение отека легких - диффузная инфильтрация легких вплоть до полного затемнения полей легких. Отличительной особенностью этих изменений является их быстрое исчезновение во время лечения.
• Исследование аспирата из бронхов. Биохимический анализ аспирата, полученного при бронхоальвеолярном лаваже, показывает высокое содержание белка, близкое к концентрации в сыворотке.
Дифференциальная диагностика проводится с кардиогенным отеком легких, респираторным дистресс-синдромом различной этиологии, пневмонией. Следует отличать это состояние от других осложнений, связанных с переливанием крови и ее компонентов: синдром гемодинамической перегрузки (синдром ТАКО), анафилактические трансфузионные реакции.
|
|
Лечение
Все пациенты должны находиться в отделении интенсивной терапии. Первым этапом лечения является немедленное прекращение переливания крови. Это событие считается как этиотропной, так и патогенетической терапией. Назначение глюкокортикостероидов для подавления иммунологического воспаления теоретически оправдано, но убедительных доказательств полезности препаратов при данной патологии нет.
Мочегонное средство фуросемид, традиционно применяемое для лечения отека легких, строго противопоказано, как и другие диуретики, поскольку эти препараты усугубляют артериальную гипотензию. Остальные методы лечения симптоматические и используются в зависимости от тяжести заболевания пациента:
• Кислородная терапия. В случае дыхательной недостаточности первой степени для купирования гипоксемии достаточно назначения кислородных ингаляций через носовой катетер или лицевую маску. Экстракорпоральная мембранная оксигенация используется при тяжелой респираторной дисфункции.
• механическая вентиляция. Тяжелая дыхательная недостаточность является показанием к включению аппарата искусственной вентиляции легких. Вентиляция в режиме с низким дыхательным объемом и низким давлением на вдохе.
• Инфузионная терапия. Для коррекции артериальной гипотензии используются внутривенные инфузии коллоидных и кристаллоидных растворов через центральный катетер под контролем ЦВД и диуреза.
• вазопрессоры. Если инфузионная коррекция артериального давления неэффективна, то назначают препараты, вызывающие сужение сосудов и повышение сердечного выброса - дофамин, норадреналин.
Мочегонное средство фуросемид, традиционно применяемое для лечения отека легких, строго противопоказано, как и другие диуретики, поскольку эти препараты усугубляют артериальную гипотензию. Остальные методы лечения симптоматические и используются в зависимости от тяжести заболевания пациента:
• Кислородная терапия. В случае дыхательной недостаточности первой степени для купирования гипоксемии достаточно назначения кислородных ингаляций через носовой катетер или лицевую маску. Экстракорпоральная мембранная оксигенация используется при тяжелой респираторной дисфункции.
• механическая вентиляция. Тяжелая дыхательная недостаточность является показанием к включению аппарата искусственной вентиляции легких. Вентиляция в режиме с низким дыхательным объемом и низким давлением на вдохе.
• Инфузионная терапия. Для коррекции артериальной гипотензии используются внутривенные инфузии коллоидных и кристаллоидных растворов через центральный катетер под контролем ЦВД и диуреза.
• вазопрессоры. Если инфузионная коррекция артериального давления неэффективна, то назначают препараты, вызывающие сужение сосудов и повышение сердечного выброса - дофамин, норадреналин.
Прогноз
Синдром TRALI - серьезное, малопрогностическое, опасное для жизни осложнение переливания крови. Летальность, по разным данным, колеблется от 5 до 10%. Подавляющее большинство смертей связано с переливанием плазмы (примерно 50%). Профилактика очень важна, особенно на этапе сдачи крови.
Основными профилактическими мерами являются использование промытых эритроцитов, скрининг донорской крови на антитела к HLA и получение свежезамороженной плазмы только от доноров мужского или женского пола, которые не были беременны. Еще один способ снизить риск синдрома TRALI - удалить лейкоциты из донорской крови с помощью специальных фильтров.
Основными профилактическими мерами являются использование промытых эритроцитов, скрининг донорской крови на антитела к HLA и получение свежезамороженной плазмы только от доноров мужского или женского пола, которые не были беременны. Еще один способ снизить риск синдрома TRALI - удалить лейкоциты из донорской крови с помощью специальных фильтров.
Список литературы
1. Трансфузионные острые повреждения легких - главное смертельное осложнение/ Люляева О.Д., Федоров Н.Д., Павлов С.А. Российские медицинские вести - 2008 - №4.
2. TRALI-синдром (этиология, патогенез, лечение)/ Мравян С. Р., Петрухин В. А., Головин А. А. и // Российский вестник акушерства и гинекологии ‒ 2014 ‒ №2.
3. TRALI-синдром в акушерстве/ Падалко А. А., Жежер А. А., Ващук Ф. С. и // Медицина неотложных состояний ‒ 2016 ‒ № 3.
4. Острое повреждение легких, ассоциированное с трансфузией, у кардиохирургических больных/ Афонин А. Н., Мороз В. В., Карпун Н. А. Общая реаниматология ‒ 2008 ‒ № 3.
2. TRALI-синдром (этиология, патогенез, лечение)/ Мравян С. Р., Петрухин В. А., Головин А. А. и // Российский вестник акушерства и гинекологии ‒ 2014 ‒ №2.
3. TRALI-синдром в акушерстве/ Падалко А. А., Жежер А. А., Ващук Ф. С. и // Медицина неотложных состояний ‒ 2016 ‒ № 3.
4. Острое повреждение легких, ассоциированное с трансфузией, у кардиохирургических больных/ Афонин А. Н., Мороз В. В., Карпун Н. А. Общая реаниматология ‒ 2008 ‒ № 3.