Другие названия и синонимы
Adenovirus encephalitis.
МКБ-10 коды
|
|
Описание
Аденовирусный энцефалит. Это воспаление ткани мозга, вызванное патогенами из семейства аденовирусов. Риск развития заболевания увеличивается при нарушении иммунитета в раннем возрасте у пациентов, перенесших трансплантацию. Заболевание проявляется типичными респираторными симптомами аденовирусной инфекции в сочетании с очаговыми неврологическими симптомами, головной болью и нарушением сознания. Для диагностики патологии необходимы инструментальные (МРТ, КТ, ЭЭГ), лабораторные методы исследования (анализ спинномозговой жидкости, ПЦР, серологические реакции). Лечение в основном патогенетическое - борьба с отеком мозга, нейропротекция, нейрометаболическая терапия.
Дополнительные факты
На аденовирусную инфекцию приходится треть всех респираторных вирусных инфекций, особенно в младенчестве от 6 месяцев до 7 лет. Распространен повсеместно, возможны вспышки в организованных группах. Доля аденовирусов в инфекционных заболеваниях составляет 10%. Энцефалит - редкое осложнение инфекционного процесса, статистики о его распространенности нет. Однако проблема не теряет актуальности из-за риска тяжелых последствий, остаточного неврологического дефицита.
Причины
Заболевание связано с заражением пациента вирусами, содержащими ДНК из семейства Adenoviridae рода Mastadenovirus. Всего известно 49 патогенных серотипов человека, которые сгруппированы в 7 групп в соответствии с антигенной структурой и патогенными факторами. Явные формы заболевания чаще всего вызывают вирусы групп В и Е (серотипы 3, 4, 7, 14, 21). Вероятность развития аденовирусной инфекции с переходом в энцефалит увеличивается при наличии следующих факторов риска:
• Сезонность. Наибольшее количество заражений происходит зимой и весной, что связано с особенностями патогенеза вирусной инфекции, повышенной восприимчивостью населения.
• Повышенная вирулентность. У некоторых видов аденовирусов выявляются более агрессивные факторы патогенности, поэтому они чаще приводят к генерализованным формам заболевания.
• Возраст. Аденовирусный энцефалит характерен для детей первого года жизни, у которых иммунная защита еще недостаточно развита, а ткани головного мозга более склонны к гидрофилии, некротическим процессам.
• Пониженный иммунитет. Это включает временное снижение защитных сил (во время стресса, после продолжительной болезни), а также первичные и вторичные формы иммунодефицита.
• Трансплантация. Тяжелая форма аденовирусной инфекции является одной из причин смертности детей после трансплантации гемопоэтических стволовых клеток.
• Сезонность. Наибольшее количество заражений происходит зимой и весной, что связано с особенностями патогенеза вирусной инфекции, повышенной восприимчивостью населения.
• Повышенная вирулентность. У некоторых видов аденовирусов выявляются более агрессивные факторы патогенности, поэтому они чаще приводят к генерализованным формам заболевания.
• Возраст. Аденовирусный энцефалит характерен для детей первого года жизни, у которых иммунная защита еще недостаточно развита, а ткани головного мозга более склонны к гидрофилии, некротическим процессам.
• Пониженный иммунитет. Это включает временное снижение защитных сил (во время стресса, после продолжительной болезни), а также первичные и вторичные формы иммунодефицита.
• Трансплантация. Тяжелая форма аденовирусной инфекции является одной из причин смертности детей после трансплантации гемопоэтических стволовых клеток.
Патогенез
Заражение аденовирусами происходит через слизистую оболочку дыхательной системы воздушно-капельным путем, реже через эпителий кишечника фекально-оральным механизмом. Сначала развивается местное воспаление в глотке, миндалинах, конъюнктиве, после чего вирусы лимфогенным путем проникают в кровь. Виремия продолжается до 10 дней - в это время при сочетании неблагоприятных факторов и высокой патогенности аденовирусов возможно их проникновение в ткань головного мозга.
В патогенезе поражения нервной ткани участвуют сами патогены, обладающие прямым цитотоксическим действием, и воспалительные цитокины: гамма-интерферон, фактор некроза опухоли и некоторые виды интерлейкинов. На фоне воспаления отмечаются нарушения микроциркуляции, нарушение регуляции тонуса сосудов, повреждение эндотелия сосудов головного мозга. Это провоцирует гипоксию головного мозга, местный или диффузный интерстициальный отек.
Аденовирусный энцефалит характеризуется поражением ткани мозжечка, второй по частоте вовлечения в процесс является височная доля коры. Интенсивность колеблется от временного отека до необратимого перерождения нервной ткани, что с учетом объема очага поражения определяет тяжесть заболевания и количество осложнений. У новорожденных более характерно диффузное распространение воспалительных изменений, склонность к некрозам и образованию кист головного мозга.
В патогенезе поражения нервной ткани участвуют сами патогены, обладающие прямым цитотоксическим действием, и воспалительные цитокины: гамма-интерферон, фактор некроза опухоли и некоторые виды интерлейкинов. На фоне воспаления отмечаются нарушения микроциркуляции, нарушение регуляции тонуса сосудов, повреждение эндотелия сосудов головного мозга. Это провоцирует гипоксию головного мозга, местный или диффузный интерстициальный отек.
Аденовирусный энцефалит характеризуется поражением ткани мозжечка, второй по частоте вовлечения в процесс является височная доля коры. Интенсивность колеблется от временного отека до необратимого перерождения нервной ткани, что с учетом объема очага поражения определяет тяжесть заболевания и количество осложнений. У новорожденных более характерно диффузное распространение воспалительных изменений, склонность к некрозам и образованию кист головного мозга.
Клиническая картина
Развитию энцефалита предшествуют специфические катаральные проявления аденовирусной инфекции. Беспокоят симптомы ринита, фарингита, влажного кашля. При осмотре горла обнаруживается гиперемия и припухлость задней стенки глотки, гиперплазия лимфоидных фолликулов. Типичные поражения глаз: слезотечение, светобоязнь, отек кожи век. Часто увеличиваются одна или несколько групп периферических лимфатических узлов.
Энцефалит возникает при лихорадке, сопровождающейся сильными головными болями, а у больных маленьких детей часто возникают тошнота, рвота и нарушения стула. Больные теряют аппетит, испытывают сильную слабость, сонливость. Менингеальные признаки выражены слабо: небольшая жесткость затылочных мышц, повышенная чувствительность к яркому свету и громким звукам, сомнительные симптомы Кернига, Брудзинского.
Очаговые признаки аденовирусного энцефалита зависят от локализации поражения. При распространении воспаления на мозжечок наблюдается неуверенная шатающаяся походка, нарушение координации движений, невозможность контролировать мелкую моторику. Пониженный мышечный тонус, тремор возникает при попытке сохранить осанку или выполнении целенаправленных движений.
Реже встречаются нарушения речи: нечеткое произношение слов, неправильное построение фраз, затруднение произношения в начале слова или слога. Возможен нистагм - частые непроизвольные колебания глазных яблок. Иногда слуховые галлюцинации проявляются в виде монотонного шума, неспособности распознавать речь с сохранением способности говорить, вестибулярных нарушений.
Ассоциированные симптомы: Влажный кашель. Высокая температура тела. Кашель. Нарушение походки. Общая слабость. Тремор. Тремор при движении. Тремор рук. Увеличение лимфоузлов. Увеличение подчелюстных лимфоузлов. Увеличение шейных лимфоузлов. Фебрильная температура тела. Шаткая походка.
Энцефалит возникает при лихорадке, сопровождающейся сильными головными болями, а у больных маленьких детей часто возникают тошнота, рвота и нарушения стула. Больные теряют аппетит, испытывают сильную слабость, сонливость. Менингеальные признаки выражены слабо: небольшая жесткость затылочных мышц, повышенная чувствительность к яркому свету и громким звукам, сомнительные симптомы Кернига, Брудзинского.
Очаговые признаки аденовирусного энцефалита зависят от локализации поражения. При распространении воспаления на мозжечок наблюдается неуверенная шатающаяся походка, нарушение координации движений, невозможность контролировать мелкую моторику. Пониженный мышечный тонус, тремор возникает при попытке сохранить осанку или выполнении целенаправленных движений.
Реже встречаются нарушения речи: нечеткое произношение слов, неправильное построение фраз, затруднение произношения в начале слова или слога. Возможен нистагм - частые непроизвольные колебания глазных яблок. Иногда слуховые галлюцинации проявляются в виде монотонного шума, неспособности распознавать речь с сохранением способности говорить, вестибулярных нарушений.
Ассоциированные симптомы: Влажный кашель. Высокая температура тела. Кашель. Нарушение походки. Общая слабость. Тремор. Тремор при движении. Тремор рук. Увеличение лимфоузлов. Увеличение подчелюстных лимфоузлов. Увеличение шейных лимфоузлов. Фебрильная температура тела. Шаткая походка.
Возможные осложнения
Самым опасным последствием острого энцефалита является отек головного мозга, который без своевременного обезвоживания приводит к вывиховому синдрому. Если мозг застрял в большом затылочном отверстии, высока вероятность смерти от нарушения жизненно важных функций. Особенно тяжело протекает вирусный процесс у пациентов с ослабленным иммунитетом - летальность достигает 70%.
В 30% случаев воспаление распространяется с развитием энцефаломиелита, менингоэнцефалита, энцефаломиелополирадикулоневрита. Другие осложнения острой стадии - полиорганная недостаточность и кровоизлияние в мозг. Отдаленными последствиями аденовирусного энцефалита являются нарушения мышечного тонуса, двигательные нарушения и когнитивные нарушения. Иногда гидроцефалия и эпилепсия возникают после болезни.
В 30% случаев воспаление распространяется с развитием энцефаломиелита, менингоэнцефалита, энцефаломиелополирадикулоневрита. Другие осложнения острой стадии - полиорганная недостаточность и кровоизлияние в мозг. Отдаленными последствиями аденовирусного энцефалита являются нарушения мышечного тонуса, двигательные нарушения и когнитивные нарушения. Иногда гидроцефалия и эпилепсия возникают после болезни.
|
|
Диагностика
Осмотр пациента неврологом начинается со сбора анамнеза, выяснения случаев контакта с больными аденовирусной инфекцией. Во время обследования обращают внимание на очаговые неврологические симптомы, что помогает поставить актуальный диагноз, а также оценить состояние кожных покровов, работу сердечно-сосудистой и дыхательной систем. Для подтверждения диагноза назначаются специализированные методы исследования:
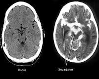
• МРТ головного мозга. Стандартная визуализация, использование контрастной МР-ангиографии и МР-венографии являются наиболее информативными методами диагностики, которые выявляют до 90% очаговых изменений в головном мозге при энцефалите. В качестве альтернативы можно сделать компьютерную томографию головного мозга.
• Нейросонография. УЗИ головного мозга рекомендуется в основном до 5 лет как безопасный и достаточно информативный способ ежедневного наблюдения за состоянием пациента. Для исключения возможных тромботических осложнений проводится дуплексное сканирование сосудов головного мозга.
• Дополнительные техники визуализации. Если диагноз неясен и для прогнозирования результатов проводят МРТ с функциональными пробами, МР-спектроскопию. Позитронно-эмиссионная томография показательна для оценки функционального состояния коры головного мозга.
• Нейрофизиологическое обследование. В зависимости от преобладающих клинических симптомов используются электроэнцефалография, мультимодальные вызванные потенциалы мозга и транскраниальная магнитная стимуляция. Для выявления периферических поражений проводят ЭНМГ и игольчатую миографию.
• Исследование сSF. Диагностическая люмбальная пункция выявляет смешанный плеоцитоз, который через 10-14 дней переходит в лимфоцитарный. Уровень протеина в пределах возрастной нормы или повышен до 1,5-2 г / л, показатели по хлоридам и глюкозе без отклонений.
• Идентификация возбудителя. ПЦР крови и спинномозговой жидкости используется для обнаружения аденовирусов. Информативны серологические тесты: ИФА на антитела к аденовирусной инфекции, РСК, РТГА, РН. В редких случаях прибегают к выделению вируса на тканевых культурах.
• МРТ головного мозга. Стандартная визуализация, использование контрастной МР-ангиографии и МР-венографии являются наиболее информативными методами диагностики, которые выявляют до 90% очаговых изменений в головном мозге при энцефалите. В качестве альтернативы можно сделать компьютерную томографию головного мозга.
• Нейросонография. УЗИ головного мозга рекомендуется в основном до 5 лет как безопасный и достаточно информативный способ ежедневного наблюдения за состоянием пациента. Для исключения возможных тромботических осложнений проводится дуплексное сканирование сосудов головного мозга.
• Дополнительные техники визуализации. Если диагноз неясен и для прогнозирования результатов проводят МРТ с функциональными пробами, МР-спектроскопию. Позитронно-эмиссионная томография показательна для оценки функционального состояния коры головного мозга.
• Нейрофизиологическое обследование. В зависимости от преобладающих клинических симптомов используются электроэнцефалография, мультимодальные вызванные потенциалы мозга и транскраниальная магнитная стимуляция. Для выявления периферических поражений проводят ЭНМГ и игольчатую миографию.
• Исследование сSF. Диагностическая люмбальная пункция выявляет смешанный плеоцитоз, который через 10-14 дней переходит в лимфоцитарный. Уровень протеина в пределах возрастной нормы или повышен до 1,5-2 г / л, показатели по хлоридам и глюкозе без отклонений.
• Идентификация возбудителя. ПЦР крови и спинномозговой жидкости используется для обнаружения аденовирусов. Информативны серологические тесты: ИФА на антитела к аденовирусной инфекции, РСК, РТГА, РН. В редких случаях прибегают к выделению вируса на тканевых культурах.
Лечение
При подозрении на вирусный энцефалит до выяснения этиологического фактора назначают лечение, начиная с препаратов из группы нуклеотидов и нуклеозидов. После проверки аденовирусной природы заболевания этот препарат отменяют; противовирусные амидные производные D-рибозы рекомендуются в качестве этиотропного лечения.
В основе лечения воспаления тканей головного мозга лежит комплексная патогенетическая терапия, которая подбирается лечащим врачом индивидуально. Его основные направления:
• Обезвоживание. При отеке головного мозга назначают глюкокортикоиды в возрастных дозах, осмодиуретики в сочетании с салуретиками. Объем инфузионной терапии снижен до 75% от физиологической потребности.
• Нейропротекция. При крайне тяжелом течении болезни используют барбитуратовую кому, чтобы предотвратить распространение поражения на другие части мозга. Энергокорректоры назначают с первого дня болезни.
• Иммунокоррекция. Для повышения иммунитета показаны препараты рекомбинантного интерферона, внутривенные иммуноглобулины, в тяжелых случаях проводится плазмаферез.
• Ноотропная терапия. Препараты используются для ускорения восстановления неврологических функций, повышения устойчивости тканей мозга к гипоксии и улучшения обменных процессов в нейронах.
В основе лечения воспаления тканей головного мозга лежит комплексная патогенетическая терапия, которая подбирается лечащим врачом индивидуально. Его основные направления:
• Обезвоживание. При отеке головного мозга назначают глюкокортикоиды в возрастных дозах, осмодиуретики в сочетании с салуретиками. Объем инфузионной терапии снижен до 75% от физиологической потребности.
• Нейропротекция. При крайне тяжелом течении болезни используют барбитуратовую кому, чтобы предотвратить распространение поражения на другие части мозга. Энергокорректоры назначают с первого дня болезни.
• Иммунокоррекция. Для повышения иммунитета показаны препараты рекомбинантного интерферона, внутривенные иммуноглобулины, в тяжелых случаях проводится плазмаферез.
• Ноотропная терапия. Препараты используются для ускорения восстановления неврологических функций, повышения устойчивости тканей мозга к гипоксии и улучшения обменных процессов в нейронах.
Реабилитация и амбулаторное лечение
После купирования острых проявлений аденовирусного энцефалита возможен остаточный неврологический дефицит. Для его коррекции назначают физиотерапию, механотерапию и специальные массажные комплексы. Когнитивные нарушения требуют программ логопедии, нейроакустики и дефектологии. Диспансерное наблюдение после энцефалита длится 3-5 лет, включает регулярные инструментальные осмотры.
Прогноз
Для пациентов с нормальным иммунным статусом прогноз благоприятный, до 99% случаев заканчиваются выздоровлением, регрессом очаговой неврологической симптоматики. Прогноз менее оптимистичный для детей в возрасте до одного года, пациентов с ослабленным иммунитетом и реципиентов трансплантата. У них чаще развиваются генерализованные формы патологии, есть риск полиорганной недостаточности, летального исхода.
Для предотвращения аденовирусной инфекции необходимо изолировать больных, разделить детей в школах и детских садах на период вспышки инфекции, провести текущую и заключительную дезинфекцию. При контакте с пациентами необходимо носить средства индивидуальной защиты. Важную роль играет соблюдение личной гигиены: тщательно мыть руки, при необходимости обрабатывать их антисептиками.
Для предотвращения аденовирусной инфекции необходимо изолировать больных, разделить детей в школах и детских садах на период вспышки инфекции, провести текущую и заключительную дезинфекцию. При контакте с пациентами необходимо носить средства индивидуальной защиты. Важную роль играет соблюдение личной гигиены: тщательно мыть руки, при необходимости обрабатывать их антисептиками.
Список литературы
1. Недооцененная инфекция - к вопросу о факторах патогенности аденовирусов человека/ М.Р. Агеева, С.Б. Яцышина// Вопросы вирусология. 2019. №2.
2. Вирусный энцефалит: современная тактика ведения пациента/ М.С. Марчук// Украинский медицинский журнал. 2019. №2.
3. Федеральные клинические рекомендации по диагностике и лечению вирусных энцефалитов у детей/ Г.П. Иванова, Н.В. Скрипченко. 2013.
4. Клинические рекомендации (протокол лечения) оказания медицинской помощи детям, больным аденовирусной инфекцией. 2013.
2. Вирусный энцефалит: современная тактика ведения пациента/ М.С. Марчук// Украинский медицинский журнал. 2019. №2.
3. Федеральные клинические рекомендации по диагностике и лечению вирусных энцефалитов у детей/ Г.П. Иванова, Н.В. Скрипченко. 2013.
4. Клинические рекомендации (протокол лечения) оказания медицинской помощи детям, больным аденовирусной инфекцией. 2013.
|
|