Другие названия и синонимы
Central pontine myelinolysis.
МКБ-10 коды
|
|
Описание
Центральный миелинолиз моста. Это острая невоспалительная демиелинизация, расположенная в средней части мозга. Возникает в результате неадекватной коррекции гипонатриемии, которая развивается при нарушении функции печени и почек, хроническом алкоголизме и некоторых гормональных нарушениях. Проявляется центральным тетрапарезом, псевдобульбарным синдромом, патологическими рефлексами. Для постановки диагнозов используются МРТ головного мозга, анализ спинномозговой жидкости, биохимические анализы крови. Симптоматическое лечение: назначают кортикостероиды, инфузионные растворы, витамины, ноотропы.
Дополнительные факты
Центральный мостовидный миелинолиз (ЦПМ) - один из вариантов осмотического демиелинизирующего синдрома (ОРВ). По данным МРТ, нарушения, характерные для ХПН, выявляются у 40-56% пациентов с ОРВ. В популяции патология встречается редко, еще реже ее диагностируют при жизни: распространенность у неврологических больных составляет 0,4-0,56%. сPM был впервые описан в 1959 г. у четырех пациентов с тетраплегией и псевдобульбарными расстройствами. В 70-е годы была установлена связь между заболеванием и трансплантацией печени. Наследственной предрасположенности или статистически значимых половых различий в заболеваемости не обнаружено. Случаи заболевания у детей казуистичны.
Причины
Непосредственной причиной острой демиелинизации является своевременная медикаментозная коррекция гипонатриемии. В современной неврологии также обсуждается роль дисбаланса калия, фосфатов и магния в развитии сPM. Однако окончательно эти предположения не подтвердились.
Заболевание не является специфическим синдромом, может возникать при заболеваниях, сопровождающихся нарушением водно-солевого обмена. Типичные предпосылки для его обучения:
• Повреждение печени. Заболевание часто выявляется у людей с хронической печеночной недостаточностью, поражением органов на фоне хронического злоупотребления алкоголем. В редких случаях сPM действует как осложнение после трансплантации печени.
• Эндокринные расстройства. Предрасполагающими факторами являются сахарный диабет, аденома гипофиза. У женщин после родов острая ограниченная демиелинизация может быть одним из признаков болезни Шихана.
• Нарушения обмена веществ. Патология часто развивается у людей с тяжелой недостаточностью питания, булимией. Нарушения метаболизма мочевины являются важным предиктором формирования миелинолиза моста.
• Прием диуретиков. При неправильной дозе диуретиков врачом или склонности пациента к самолечению диуретиками возникают тяжелые электролитные нарушения, которые увеличивают риск ХПК.
• Редкие причины. Иногда причиной являются тяжелые вирусные инфекции, системная красная волчанка, иммунодефицитные состояния.
Заболевание не является специфическим синдромом, может возникать при заболеваниях, сопровождающихся нарушением водно-солевого обмена. Типичные предпосылки для его обучения:
• Повреждение печени. Заболевание часто выявляется у людей с хронической печеночной недостаточностью, поражением органов на фоне хронического злоупотребления алкоголем. В редких случаях сPM действует как осложнение после трансплантации печени.
• Эндокринные расстройства. Предрасполагающими факторами являются сахарный диабет, аденома гипофиза. У женщин после родов острая ограниченная демиелинизация может быть одним из признаков болезни Шихана.
• Нарушения обмена веществ. Патология часто развивается у людей с тяжелой недостаточностью питания, булимией. Нарушения метаболизма мочевины являются важным предиктором формирования миелинолиза моста.
• Прием диуретиков. При неправильной дозе диуретиков врачом или склонности пациента к самолечению диуретиками возникают тяжелые электролитные нарушения, которые увеличивают риск ХПК.
• Редкие причины. Иногда причиной являются тяжелые вирусные инфекции, системная красная волчанка, иммунодефицитные состояния.
Патогенез
Согласно общепринятой гипотезе, для развития центрального миелинолиза необходимо снижение уровня натрия в сыворотке ниже 120 ммоль / л, продолжающееся более 48 часов. Чтобы компенсировать изменения в организме, активируются два основных механизма. Первый - это высвобождение воды из клеток для баланса содержания внеклеточных и внутриклеточных электролитов. Второй механизм - прекращение синтеза осмолитов (глутамата, таурина, глицина) в клетке.
Когда в условиях стационара проводится быстрая и неконтролируемая коррекция содержания натрия, количество электролитов в интерстиции резко увеличивается, что вместе с повышенным количеством осмолитов во внеклеточной жидкости создает градиент концентрации. Для устранения этих нарушений внутриклеточная жидкость активно отключается, а сами клетки сжимаются и погибают. Эти патологические нарушения сохраняются в течение 2-3 дней от начала лечения гипонатриемии.
Из-за изменений центральных структур головного мозга возникает синдром осмотической демиелинизации (SDD), которому наиболее подвержены мост, базальные ганглии и средний мозг. В патогенез заболевания также вовлечены иммунные факторы - антитела к миелиновой оболочке образуются без развития воспаления. На центральный мостовой миелинолиз приходится около половины случаев ОРВ, 10-23% - экстрапонтинный миелинолиз (ЭПМ), в других случаях эти состояния сочетаются.
Патологической основой заболевания является распад миелиновых оболочек аксонов в центральных понтических отделах головного мозга, который постепенно распространяется на все проводящие пути, кроме латеральных отделов. Однако сами нейроны не умирают; следовательно, сPM потенциально можно рассматривать как обратимое состояние. В отличие от центральной формы патологии, при ЭПМ очаги демиелинизации располагаются в ножках головного мозга, зрительном бугре и мозолистом теле.
Когда в условиях стационара проводится быстрая и неконтролируемая коррекция содержания натрия, количество электролитов в интерстиции резко увеличивается, что вместе с повышенным количеством осмолитов во внеклеточной жидкости создает градиент концентрации. Для устранения этих нарушений внутриклеточная жидкость активно отключается, а сами клетки сжимаются и погибают. Эти патологические нарушения сохраняются в течение 2-3 дней от начала лечения гипонатриемии.
Из-за изменений центральных структур головного мозга возникает синдром осмотической демиелинизации (SDD), которому наиболее подвержены мост, базальные ганглии и средний мозг. В патогенез заболевания также вовлечены иммунные факторы - антитела к миелиновой оболочке образуются без развития воспаления. На центральный мостовой миелинолиз приходится около половины случаев ОРВ, 10-23% - экстрапонтинный миелинолиз (ЭПМ), в других случаях эти состояния сочетаются.
Патологической основой заболевания является распад миелиновых оболочек аксонов в центральных понтических отделах головного мозга, который постепенно распространяется на все проводящие пути, кроме латеральных отделов. Однако сами нейроны не умирают; следовательно, сPM потенциально можно рассматривать как обратимое состояние. В отличие от центральной формы патологии, при ЭПМ очаги демиелинизации располагаются в ножках головного мозга, зрительном бугре и мозолистом теле.
Клиническая картина
В начальном периоде центрального понтинного миелинолиза клиническая картина соответствует проявлениям гипонатриемии: угнетение сознания, повторная рвота, судороги. После введения электролитных составов с натрием состояние больных быстро стабилизируется. Период благополучия длится не более 72 часов, однако в это время уже происходят патологические процессы в структурах центральной нервной системы.
Типичный вариант заболевания проявляется очаговыми неврологическими симптомами. Основным симптомом миелинолиза считается псевдобульбарный синдром, включающий дисфагию (нарушение глотания), дисфонию (нарушение голосообразования), дизартрию. Наступает тотальный паралич - центральная квадриплегия, которая становится причиной синдрома «застрявшего человека».
Нарушение проявляется повышением мышечного тонуса, гиперрефлексией, патологическими рефлексами орального и спинномозгового автоматизма. Когда демиелинизация распространяется на соседние участки головного мозга, появляется гиперкинезия (атаксия, паркинсонизм, дистония). К редким симптомам заболевания относятся вертикальный или горизонтальный парез взгляда, сходящееся косоглазие, чередующиеся синдромы моста (Миярда-Гублера, Фовиля, Гасперини).
Ассоциированные симптомы: Диспросодия. Невнятность речи. Рвота. Слабость мышц (парез). Судороги. Тетрапарез.
Типичный вариант заболевания проявляется очаговыми неврологическими симптомами. Основным симптомом миелинолиза считается псевдобульбарный синдром, включающий дисфагию (нарушение глотания), дисфонию (нарушение голосообразования), дизартрию. Наступает тотальный паралич - центральная квадриплегия, которая становится причиной синдрома «застрявшего человека».
Нарушение проявляется повышением мышечного тонуса, гиперрефлексией, патологическими рефлексами орального и спинномозгового автоматизма. Когда демиелинизация распространяется на соседние участки головного мозга, появляется гиперкинезия (атаксия, паркинсонизм, дистония). К редким симптомам заболевания относятся вертикальный или горизонтальный парез взгляда, сходящееся косоглазие, чередующиеся синдромы моста (Миярда-Гублера, Фовиля, Гасперини).
Ассоциированные симптомы: Диспросодия. Невнятность речи. Рвота. Слабость мышц (парез). Судороги. Тетрапарез.
Возможные осложнения
Основная опасность состояния - необратимость демиелинизирующих процессов в головном мозге. Пока нейроны еще живы, лекарства и методы, которые могут запустить процесс восстановления оболочки миелиновых путей, еще предстоит разработать.
Чем позже будет поставлен диагноз сPM, тем выше риск смерти или осложнений, вызывающих инвалидность. Типичное последствие заболевания - синдром «запертого», характеризующийся отсутствием реакции на внешние раздражители из-за потери физической активности и речи. При этом пациент полностью в сознании.
Раньше уровень смертности при сPM составлял 90-100%, но благодаря усовершенствованию медицинских протоколов эффективность лечения таких пациентов значительно возросла. Смертность наступает в основном из-за соматических осложнений (пневмония, уросепсия). У 60-75% выживших остаточные симптомы сохраняются в зависимости от степени повреждения головного мозга. Отрицательные последствия - паралич, парез, нарушение функции речи и тяжелые когнитивные нарушения.
Чем позже будет поставлен диагноз сPM, тем выше риск смерти или осложнений, вызывающих инвалидность. Типичное последствие заболевания - синдром «запертого», характеризующийся отсутствием реакции на внешние раздражители из-за потери физической активности и речи. При этом пациент полностью в сознании.
Раньше уровень смертности при сPM составлял 90-100%, но благодаря усовершенствованию медицинских протоколов эффективность лечения таких пациентов значительно возросла. Смертность наступает в основном из-за соматических осложнений (пневмония, уросепсия). У 60-75% выживших остаточные симптомы сохраняются в зависимости от степени повреждения головного мозга. Отрицательные последствия - паралич, парез, нарушение функции речи и тяжелые когнитивные нарушения.
|
|
Диагностика
Опытным неврологам удается заподозрить патологию по сочетанию перенесенной ранее гипонатриемии с признаками поражения головного мозга, однако из-за тяжести состояния и неспецифичности симптомов своевременная диагностика заболевания затруднена. Для подтверждения наличия центрального понтинного миелинолиза назначают следующие методы исследования:
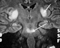
• МРТ головного мозга. На изображениях видны гиперинтенсивные (светящиеся) участки демиелинизации, симметричные очаги овальной формы в полушариях головного мозга в сочетании с повреждениями типа «бабочка» или «трезубец» на мосту. Для лучшей проверки демиелинизирующих процессов используется МРТ в Т2-режиме.
• Электроэнцефалография. ЭЭГ выявляет диффузное замедление биоэлектрической активности обоих полушарий головного мозга. При судорожных припадках исследование показывает патологическую бета-активность, наличие комплексов «остро-медленная волна».
• Анализ сSF. При исследовании спинномозговой жидкости отмечается повышение давления ликвора, мононуклеарный плеоцитоз и небольшое повышение уровня белка. Для дифференциальной диагностики нейроинфекций проводятся серологические, бактериологические и вирусологические анализы.
• биохимия крови. Чтобы оценить изменения дисэлектролита и следить за динамикой состояния, необходимо регулярно измерять количество натрия, калия и кальция. Поскольку поражение печени - частая причина патологий, желательно провести функциональные пробы печени.
• МРТ головного мозга. На изображениях видны гиперинтенсивные (светящиеся) участки демиелинизации, симметричные очаги овальной формы в полушариях головного мозга в сочетании с повреждениями типа «бабочка» или «трезубец» на мосту. Для лучшей проверки демиелинизирующих процессов используется МРТ в Т2-режиме.
• Электроэнцефалография. ЭЭГ выявляет диффузное замедление биоэлектрической активности обоих полушарий головного мозга. При судорожных припадках исследование показывает патологическую бета-активность, наличие комплексов «остро-медленная волна».
• Анализ сSF. При исследовании спинномозговой жидкости отмечается повышение давления ликвора, мононуклеарный плеоцитоз и небольшое повышение уровня белка. Для дифференциальной диагностики нейроинфекций проводятся серологические, бактериологические и вирусологические анализы.
• биохимия крови. Чтобы оценить изменения дисэлектролита и следить за динамикой состояния, необходимо регулярно измерять количество натрия, калия и кальция. Поскольку поражение печени - частая причина патологий, желательно провести функциональные пробы печени.
Лечение
Специфической терапии миелинолиза моста не существует. Пациентам назначают патогенетическое и симптоматическое лечение с учетом тяжести клинической картины, характера основного заболевания, вызвавшего гипонатриемию. Реиндуцированная гипонатриемия рассматривается как один из вариантов лечения. Схемы лечения могут включать следующие фармацевтические препараты:
• Кортикостероиды. Вероятно, препараты уменьшают вторичный воспалительный процесс в мозговой ткани и снижают риск развития осложнений. Их используют в сочетании с внутривенными иммуноглобулинами.
• Витамины. Препараты аскорбиновой кислоты, токоферола обладают антиоксидантной активностью. Использование витаминов группы В рекомендуется для коррекции неврологического дефицита.
На этапе выздоровления требуется индивидуальная программа реабилитации для устранения или уменьшения долгосрочных последствий миелинолиза моста. Для коррекции дизартрических расстройств показаны курсы с логопедом. Для улучшения двигательной функции рекомендуется физиотерапия, механотерапия и лечебная физкультура. Хороший эффект отмечается после приема ноотропов, нейрометаболических препаратов.
• Кортикостероиды. Вероятно, препараты уменьшают вторичный воспалительный процесс в мозговой ткани и снижают риск развития осложнений. Их используют в сочетании с внутривенными иммуноглобулинами.
• Витамины. Препараты аскорбиновой кислоты, токоферола обладают антиоксидантной активностью. Использование витаминов группы В рекомендуется для коррекции неврологического дефицита.
На этапе выздоровления требуется индивидуальная программа реабилитации для устранения или уменьшения долгосрочных последствий миелинолиза моста. Для коррекции дизартрических расстройств показаны курсы с логопедом. Для улучшения двигательной функции рекомендуется физиотерапия, механотерапия и лечебная физкультура. Хороший эффект отмечается после приема ноотропов, нейрометаболических препаратов.
Прогноз
Центральный мостовидный миелинолиз отличается неблагоприятным течением и высокой летальностью (до 12%). У выздоровевших пациентов обычно сохраняется остаточное неврологическое нарушение. Профилактика включает корректировку медицинских стандартов лечения, эффективное использование растворов электролитов и тщательный мониторинг неврологического статуса пациентов с гипонатриемией.
Список литературы
1. Центральный понтинный миелинолиз на фоне инфекции SARS-CoV-2 (клинические наблюдения)/ Воскресенская О.Н., Коваленко А.А., Надбитова Е.Б., Гринюк В.В., Климанов А.В., Шор Ю.М. Неврология, нейропсихиатрия, психосоматика. 2021. №2.
2. Центральный понтинный и экстрапонтинный миелинолиз: обзор литературы и собственное наблюдение/ Е.М. Шевелева, Л.Г. Заславский, А.Г. Ковеленов, Е.А. Скорнякова// Ученые записки СПбГМУ им. акад. И.П. Павлова. 2020. №2.
3. Центральный понтинный миелинолиз/ И. Дамулин, А. Струценко, В. Быченко// Врач. 2018. №1.
2. Центральный понтинный и экстрапонтинный миелинолиз: обзор литературы и собственное наблюдение/ Е.М. Шевелева, Л.Г. Заславский, А.Г. Ковеленов, Е.А. Скорнякова// Ученые записки СПбГМУ им. акад. И.П. Павлова. 2020. №2.
3. Центральный понтинный миелинолиз/ И. Дамулин, А. Струценко, В. Быченко// Врач. 2018. №1.