Другие названия и синонимы
Agenesis of the corpus callosum.
МКБ-10 коды
|
|
Описание
Агенезия мозолистого тела. Это врожденное отсутствие мозолистого тела или его части. Аномалия вызвана генетическими нарушениями, пороками развития сосудов, тератогенными факторами. Основные признаки заболевания: двигательные нарушения, задержка умственного развития, судороги. При негрубом (частичном) варианте патологии возможно малосимптомное течение. Для диагностики состояния назначают КТ или МРТ головного мозга, нейросонографию у новорожденных, генетические исследования. Симптоматическое лечение: медикаментозная коррекция осложнений, реабилитационные программы.
Дополнительные факты
Агенезия мозолистого тела (ТМА) - одно из наиболее частых пороков развития нервной системы. Распространенность заболевания в популяции составляет от 0,05% до 7% у новорожденных, а в группе детей с задержкой развития психики агенезия встречается у 2,3%. Калифорнийская программа по врожденным дефектам предусматривает другой уровень агенезии - 1,4 на 10 000 живорождений. Впервые это состояние было описано в 1812 году на вскрытии, проведенном немецким анатомом И. Рэйлем, и названо «естественной моделью рассеченного мозга».
Причины
Точные этиологические факторы заболевания не установлены. В современной неврологии преобладает многофакторная теория, согласно которой для формирования врожденной аномалии ЦНС необходимо сочетание неблагоприятных экзогенных и эндогенных причин. Ученые выделяют несколько наиболее вероятных предпосылок развития агенеза:
• Генетические аномалии. Поражение мозолистого тела отмечается при различных наследственных синдромах: Миллера-Диккера, Рубинштейна-Тауби, Доннея-Кугана. Заболевание является частью как минимум 7 аутосомно-доминантных заболеваний, 23 аутосомно-рецессивных и 12 X-сцепленных врожденных заболеваний.
• Сосудистые расстройства. Причиной недоразвития мозолистого тела могут быть артериовенозные мальформации или аневризмы, для которых характерно отсутствие нормальной капиллярной сети. В этом случае происходит явление кражи, МТ-клетки не получают должного количества кислорода и питательных веществ.
• Токсические эффекты. Заболевание связано с действием тератогенных химических факторов: лекарств, солей тяжелых металлов, пестицидов и бытовой химии. Вдыхание табачного дыма (активное или пассивное курение) или прием алкоголя беременной женщиной во время вынашивания отрицательно влияет на формирование центральной нервной системы плода.
• Внутриутробные инфекции. Аномалии формирования неврологических структур, в том числе агенезия мозолистого тела, возникают при попадании возбудителей в плод на 2-3 мес беременности. Герпетические инфекции, токсоплазмоз, цитомегаловирус проявляют нейротропные свойства.
Главный фактор риска - недоношенность. У новорожденных, родившихся до 27 недель беременности, МТ истончается в задних отделах, между 28 и 30 неделями - только в области гребня. У рожденных после 30 недель в неонатальном периоде изменений не обнаруживается, хотя нейропсихологическое исследование у школьников часто выявляет дефицит межполушарной передачи когнитивной информации.
• Генетические аномалии. Поражение мозолистого тела отмечается при различных наследственных синдромах: Миллера-Диккера, Рубинштейна-Тауби, Доннея-Кугана. Заболевание является частью как минимум 7 аутосомно-доминантных заболеваний, 23 аутосомно-рецессивных и 12 X-сцепленных врожденных заболеваний.
• Сосудистые расстройства. Причиной недоразвития мозолистого тела могут быть артериовенозные мальформации или аневризмы, для которых характерно отсутствие нормальной капиллярной сети. В этом случае происходит явление кражи, МТ-клетки не получают должного количества кислорода и питательных веществ.
• Токсические эффекты. Заболевание связано с действием тератогенных химических факторов: лекарств, солей тяжелых металлов, пестицидов и бытовой химии. Вдыхание табачного дыма (активное или пассивное курение) или прием алкоголя беременной женщиной во время вынашивания отрицательно влияет на формирование центральной нервной системы плода.
• Внутриутробные инфекции. Аномалии формирования неврологических структур, в том числе агенезия мозолистого тела, возникают при попадании возбудителей в плод на 2-3 мес беременности. Герпетические инфекции, токсоплазмоз, цитомегаловирус проявляют нейротропные свойства.
Главный фактор риска - недоношенность. У новорожденных, родившихся до 27 недель беременности, МТ истончается в задних отделах, между 28 и 30 неделями - только в области гребня. У рожденных после 30 недель в неонатальном периоде изменений не обнаруживается, хотя нейропсихологическое исследование у школьников часто выявляет дефицит межполушарной передачи когнитивной информации.
Патогенез
Мозолистое тело (МТ) представляет собой большой пучок комиссуральных нервных волокон. Это важный аксональный путь, соединяющий соответствующие области коры правого и левого полушарий. Анатомическая структура длиной 7-9 см состоит из более чем 300 миллионов аксонов. Формирование МТ начинается на стадии позднего нейроонтогенеза (8-9 недель эмбриогенеза). Созревание обычно длится до 20-25 лет.
Агенезия наступает при нарушении дифференцировки нервной трубки в период от 2 до 5 месяцев внутриутробного развития. При полном отсутствии МТ третий желудочек мозга остается открытым, столбы свода не сформированы, прозрачные перегородки отсутствуют. В 60% случаев при АМТ передняя спайка отсутствует. В 10% он увеличен и берет на себя часть функций мозолистого тела у новорожденных, а также на следующих этапах послеродового периода.
Характерным анатомическим изменением является кольпоцефалия, при которой расширяются задние отделы боковых желудочков головного мозга. Состояние не относится к истинной гидроцефалии у новорожденных, но связано с уменьшением ассоциативных путей коры головного мозга. Другой типичный признак дефекта - пучки Пробста, которые представляют собой неправильно ориентированные аксоны, расположенные параллельно межполушарной щели.
Агенезия наступает при нарушении дифференцировки нервной трубки в период от 2 до 5 месяцев внутриутробного развития. При полном отсутствии МТ третий желудочек мозга остается открытым, столбы свода не сформированы, прозрачные перегородки отсутствуют. В 60% случаев при АМТ передняя спайка отсутствует. В 10% он увеличен и берет на себя часть функций мозолистого тела у новорожденных, а также на следующих этапах послеродового периода.
Характерным анатомическим изменением является кольпоцефалия, при которой расширяются задние отделы боковых желудочков головного мозга. Состояние не относится к истинной гидроцефалии у новорожденных, но связано с уменьшением ассоциативных путей коры головного мозга. Другой типичный признак дефекта - пучки Пробста, которые представляют собой неправильно ориентированные аксоны, расположенные параллельно межполушарной щели.
Классификация
В практической неврологии состояние делится на полное, когда орган полностью отсутствует, и частичное (частичное), при котором методы визуализации не обнаруживают отдельные участки ТМ. Это важно из-за тяжести клинической картины и возможных осложнений. В соответствии с патогенетическими особенностями формирования врожденных пороков развития выделяют следующие 3 формы заболевания:
• Агенезия. Очертание зародышевого зачатка МТ полностью отсутствует.
• Аплазия. Зачаток мозолистого тела присутствует, но не развивается.
• Гипоплазия. ТМ недоразвита из-за нарушений на одном из этапов эмбриогенеза: уменьшаются размеры и масса органа, снижается его функциональная активность.
• Агенезия. Очертание зародышевого зачатка МТ полностью отсутствует.
• Аплазия. Зачаток мозолистого тела присутствует, но не развивается.
• Гипоплазия. ТМ недоразвита из-за нарушений на одном из этапов эмбриогенеза: уменьшаются размеры и масса органа, снижается его функциональная активность.
Клиническая картина
Клиническая картина агенезии мозолистого тела широко варьирует от практически бессимптомных форм (с гипоплазией) до критических психоневрологических расстройств с грубым недоразвитием, сопровождающимся другими врожденными пороками центральной нервной системы. У новорожденных признаки патологии могут полностью отсутствовать и появляться по мере взросления малыша с задержкой психомоторного развития.
Двигательные расстройства определяются у 35-40% пациентов. Они проявляются гипотонией или дистонией мышц, гипер- или гипорефлексией, нарушением глотательного и сосательного рефлексов. Позже дети начинают держать голову, им трудно научиться сидеть, ползать и ходить. Могут отмечаться нарушения координации, неуклюжая походка. Из пароксизмальных расстройств у новорожденных и детей первого года жизни преобладают судороги.
Мозолистое тело поддерживает связь между областями мозга, образует межполушарную организацию высших психических процессов. При его агенезии или гипоплазии у детей выявляются когнитивные нарушения. У новорожденных и в раннем детстве наблюдается задержка речи, снижение динамической составляющей игровой деятельности. В дошкольном и школьном возрасте возникают проблемы с концентрацией внимания, нарушение памяти, при общей АМТ коэффициент интеллекта снижается.
Ассоциированные симптомы: Нарушение понимания речи. Нарушение походки. Отсутствие речи. Судороги. Судороги в ногах.
Двигательные расстройства определяются у 35-40% пациентов. Они проявляются гипотонией или дистонией мышц, гипер- или гипорефлексией, нарушением глотательного и сосательного рефлексов. Позже дети начинают держать голову, им трудно научиться сидеть, ползать и ходить. Могут отмечаться нарушения координации, неуклюжая походка. Из пароксизмальных расстройств у новорожденных и детей первого года жизни преобладают судороги.
Мозолистое тело поддерживает связь между областями мозга, образует межполушарную организацию высших психических процессов. При его агенезии или гипоплазии у детей выявляются когнитивные нарушения. У новорожденных и в раннем детстве наблюдается задержка речи, снижение динамической составляющей игровой деятельности. В дошкольном и школьном возрасте возникают проблемы с концентрацией внимания, нарушение памяти, при общей АМТ коэффициент интеллекта снижается.
Ассоциированные симптомы: Нарушение понимания речи. Нарушение походки. Отсутствие речи. Судороги. Судороги в ногах.
Возможные осложнения
Около 65% случаев заболевания сопровождаются сопутствующими врожденными патологиями, среди которых преобладают пороки развития коры головного мозга (22,8%), межполушарные кисты (14,3%), голопроэнцефалия (14,3%). Менее распространенными сопутствующими аномалиями являются кисты и гипоплазия мозжечка, синдром Арнольда-Киари. Помимо структур центральной нервной системы, до 20% новорожденных имеют дефекты ряда внутренних органов.
Симптоматическая эпилепсия височно-лобной локализации наблюдается у 75% пациентов с тотальным поражением, а когнитивные нарушения возникают в 66% случаев. У 16% пациентов развиваются расстройства аутистического спектра. Изредка возникают патологии органа зрения в виде хориоретинальных лакунарных очагов, сочетанных аномалий зрительных нервов.
Симптоматическая эпилепсия височно-лобной локализации наблюдается у 75% пациентов с тотальным поражением, а когнитивные нарушения возникают в 66% случаев. У 16% пациентов развиваются расстройства аутистического спектра. Изредка возникают патологии органа зрения в виде хориоретинальных лакунарных очагов, сочетанных аномалий зрительных нервов.
|
|
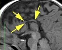
Диагностика
Акушерское УЗИ - основной метод обследования в дородовой период. У новорожденных нейросонография используется для скринингового диагноза, но этот метод не всегда показывает хорошую информативность, особенно в случаях частичной агенезии. Для проверки диагноза назначаются следующие методы исследования:
• КТ головного мозга. С помощью компьютерной томографии определяют широко расставленные передние рога, приподнятое положение третьего желудочка, параллельный ход медиальных стенок боковых желудочков. КТ выполняется в рамках послеродовой диагностики.
• МРТ головного мозга. Для наиболее точной визуализации степени агенезии или гипоплазии мозолистого тела новорожденному проводят трехплоскостную магнитно-резонансную томографию. В зависимости от показаний беременным может быть рекомендована МРТ для исключения сопутствующих нарушений ЦНС, несовместимых с жизнью.
• Нейропсихологическое обследование. Для изучения когнитивных функций у детей используются Шкала интеллекта Векслера (пересмотренная WISC), оцениваемые тесты по чтению и правописанию Шеннеля, оценка беглости речи и тест на ассоциативную связь с контролируемым устным словом.
• Генетический анализ. Для подтверждения или исключения наследственных заболеваний, сопровождающихся агенезом мозолистого тела, представлены результаты кариотипа и секвенирования генома как у новорожденных, так и у детей разного возраста. Также проводятся исследования в пренатальный период, чтобы решить, сохранить ли беременность или прервать ее.
• КТ головного мозга. С помощью компьютерной томографии определяют широко расставленные передние рога, приподнятое положение третьего желудочка, параллельный ход медиальных стенок боковых желудочков. КТ выполняется в рамках послеродовой диагностики.
• МРТ головного мозга. Для наиболее точной визуализации степени агенезии или гипоплазии мозолистого тела новорожденному проводят трехплоскостную магнитно-резонансную томографию. В зависимости от показаний беременным может быть рекомендована МРТ для исключения сопутствующих нарушений ЦНС, несовместимых с жизнью.
• Нейропсихологическое обследование. Для изучения когнитивных функций у детей используются Шкала интеллекта Векслера (пересмотренная WISC), оцениваемые тесты по чтению и правописанию Шеннеля, оценка беглости речи и тест на ассоциативную связь с контролируемым устным словом.
• Генетический анализ. Для подтверждения или исключения наследственных заболеваний, сопровождающихся агенезом мозолистого тела, представлены результаты кариотипа и секвенирования генома как у новорожденных, так и у детей разного возраста. Также проводятся исследования в пренатальный период, чтобы решить, сохранить ли беременность или прервать ее.
Лечение
Специфической терапии нет. Медикаментозное лечение назначает индивидуально неонатолог или педиатр с учетом ведущих патологических синдромов: у новорожденных, детей раннего возраста применяются противосудорожные препараты, нейрометаболические препараты и дегидратационная терапия. В основе медицинской помощи лежит комплексная реабилитация, которая состоит из следующих элементов:
• Неврологические программы. Занятия с детским логопедом направлены на развитие речевых функций, устранение симптомов дизартрии и улучшение артикуляции.
• Дефектологические программы. В случае детей с ограниченными интеллектуальными возможностями, которых нельзя обучать в обычных классах, требуется помощь педагогов.
• Нейроакустические программы. Формирование и гармонизация высших психических функций происходит с помощью звуковой и музыкальной терапии.
• Неврологические программы. Занятия с детским логопедом направлены на развитие речевых функций, устранение симптомов дизартрии и улучшение артикуляции.
• Дефектологические программы. В случае детей с ограниченными интеллектуальными возможностями, которых нельзя обучать в обычных классах, требуется помощь педагогов.
• Нейроакустические программы. Формирование и гармонизация высших психических функций происходит с помощью звуковой и музыкальной терапии.
Прогноз
Прогноз зависит от вида врожденной аномалии мозолистого тела, наличия сопутствующих пороков развития центральной нервной системы. Благоприятный исход наблюдается при частичной гипоплазии МТ, а при сложных пороках развития головного мозга у новорожденных могут быть опасные для жизни осложнения. Профилактические меры включают медико-генетическое консультирование, исключение тератогенных эффектов при беременности.
Список литературы
1. Эпилептические проявления когнитивные и аутистические расстройства у пациентов с агенезией мозолистого тела: результаты нейропсихологического тестирования/ О.А. Милованова, О.А. Комиссарова, Т.Ю. Тараканова, С.В. Бугрий// Эпилепсия и пароксизмальные состояния. 2018. №4.
2. Влияние особенностей строения мозолистого тела и доминирующего полушария на протекание психических процессов в юношеском возрасте/ У.С. Чернышова, Т.Ю. Хабарова, Д.А. Соколов// Центральный научный вестник. 2016.
3. Нейропсихологический анализ патологии мозолистого тела/ М.С. Ковязина. 2016.
4. Молекулярная эмбриология: на пути каталогизации генов врожденных пороков развития головного мозга/ В.П. Пишак, М.А. Ризничук// Международный журнал педиатрии, акушерства и гинекологии. 2014. №5.
2. Влияние особенностей строения мозолистого тела и доминирующего полушария на протекание психических процессов в юношеском возрасте/ У.С. Чернышова, Т.Ю. Хабарова, Д.А. Соколов// Центральный научный вестник. 2016.
3. Нейропсихологический анализ патологии мозолистого тела/ М.С. Ковязина. 2016.
4. Молекулярная эмбриология: на пути каталогизации генов врожденных пороков развития головного мозга/ В.П. Пишак, М.А. Ризничук// Международный журнал педиатрии, акушерства и гинекологии. 2014. №5.