Другие названия и синонимы
Munier-Kun syndrome, Мегатрахея, Трахеобронхомегалия, Трахеобронхоэктазия, Трахеоцеле.
МКБ-10 коды
|
|
Описание
Синдром Мунье-Куна. Это патологическое расширение просвета трахеи и проксимальных бронхов за счет структурных дефектов их стенок. Анатомическая аномалия сопровождается клиникой рецидивирующих респираторных инфекций: характерным «вибрирующим» кашлем с гнойной мокротой, свистящими хрипами при дыхании, постоянной одышкой, кровохарканьем. Предполагаемый диагноз уточняется по результатам трахеобронхоскопии, рентгенографии, бронхографии, компьютерной томографии. Поддерживающая терапия направлена на купирование рецидивирующей инфекции: в период обострений проводят антибактериальную терапию, санитарную бронхоскопию, ингаляции и массаж.
Дополнительные факты
Синдром Мунье-Куна (трахеобронхомегалия, мегатрахея, трахеобронхоэктазы, трахеоцеле) - врожденное расширение трахеобронхиального дерева. Первые упоминания об аномалии - «пульсирующий дивертикул трахеи» - относятся к концу 19 века. Подробное клиническое описание трахеобронхомегалии принадлежит французскому отоларингологу П. Мунье-Куну (1932). У мужчин патология встречается в 4 раза чаще. В настоящее время зафиксировано около 100 случаев заболевания, хотя их реальное количество могло быть гораздо больше, так как многие больные протекают совершенно бессимптомно. Возраст проявления варьирует от 20 до 40 лет.
Причины
В современной пульмонологии синдром Мунье-Куна в основном рассматривается как первичная врожденная аномалия, в основе которой лежит системная дисплазия соединительной ткани. При этом заболевании отмечают дистрофию хрящевого каркаса и/или недоразвитие мышечного слоя трахеобронхиального дерева (ТБД), приводящее к его гигантскому расширению.
Этиологически трахеобронхомегалия может быть связана с такими патологиями, как синдром Марфана, синдром Элерса-Данлоса, эластолиз (синдром дряблой кожи) и ; Предполагается, что дефект структуры ТБД наследуется по аутосомно-рецессивному типу, на что указывают семейные наблюдения трахеобронхомегалии. Однако на сегодняшний день не выявлено ни одной генетической мутации, и большинство известных случаев носят спорадический характер.
Существуют гипотезы о возможных вторичных изменениях стенок трахеобронхов с последующим прогрессированием дилатации в течение жизни, о чем свидетельствует поздний возраст манифестации синдрома Мунье-Куна. В литературе имеются сообщения о случаях приобретенной трахеобронхомегалии на фоне:
• респираторные инфекции (трахеобронхит, коклюш);
• диффузный легочный фиброз;
• респираторный дистресс-синдром у недоношенных новорожденных, длительно находящихся на ИВЛ;
• врожденный иммунодефицит (синдром Луи-Бар, агаммаглобулинемия Брутона);
• перенесенные ранее манипуляции и оперативные вмешательства на трахее.
Раздражающими и провоцирующими факторами могут быть вдыхание сигаретного дыма, токсичных промышленных газов, загрязненный воздух, постоянный кашель.
Этиологически трахеобронхомегалия может быть связана с такими патологиями, как синдром Марфана, синдром Элерса-Данлоса, эластолиз (синдром дряблой кожи) и ; Предполагается, что дефект структуры ТБД наследуется по аутосомно-рецессивному типу, на что указывают семейные наблюдения трахеобронхомегалии. Однако на сегодняшний день не выявлено ни одной генетической мутации, и большинство известных случаев носят спорадический характер.
Существуют гипотезы о возможных вторичных изменениях стенок трахеобронхов с последующим прогрессированием дилатации в течение жизни, о чем свидетельствует поздний возраст манифестации синдрома Мунье-Куна. В литературе имеются сообщения о случаях приобретенной трахеобронхомегалии на фоне:
• респираторные инфекции (трахеобронхит, коклюш);
• диффузный легочный фиброз;
• респираторный дистресс-синдром у недоношенных новорожденных, длительно находящихся на ИВЛ;
• врожденный иммунодефицит (синдром Луи-Бар, агаммаглобулинемия Брутона);
• перенесенные ранее манипуляции и оперативные вмешательства на трахее.
Раздражающими и провоцирующими факторами могут быть вдыхание сигаретного дыма, токсичных промышленных газов, загрязненный воздух, постоянный кашель.
Патогенез
В патологоанатомической основе синдрома Мунье-Куна лежит атрофия эластических волокон и истончение гладкомышечного слоя трахеи и главных бронхов. Это приводит к лабильности стенок трахеобронхов и значительным колебаниям размеров дыхательных путей в разные фазы дыхания. Возможно изолированное расширение бронхов (бронхомегалия) без трахеомегалии.
Во время вдоха повышается отрицательное внутригрудное давление, что сопровождается расширением просвета трахеобронхов; в фазе выдоха давление снижается, что приводит к коллапсу дыхательных путей. При усилиях кашля стенки трахеи смыкаются и вибрируют. Слабость мышечного слоя вызывает выпячивание стенки трахеи между хрящевыми кольцами и образование дивертикулов.
Нарушается бронхиальный дренаж, что приводит к развитию гнойного трахеобронхита. Постоянный кашель способствует повышению внутрибронхиального давления, а через некоторое время вторично формируются бронхоэктазы дистальных бронхов, пневмосклероз и эмфизема легких.
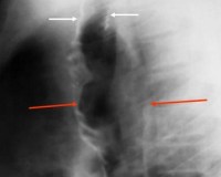
Трахеобронхомегалия.
Во время вдоха повышается отрицательное внутригрудное давление, что сопровождается расширением просвета трахеобронхов; в фазе выдоха давление снижается, что приводит к коллапсу дыхательных путей. При усилиях кашля стенки трахеи смыкаются и вибрируют. Слабость мышечного слоя вызывает выпячивание стенки трахеи между хрящевыми кольцами и образование дивертикулов.
Нарушается бронхиальный дренаж, что приводит к развитию гнойного трахеобронхита. Постоянный кашель способствует повышению внутрибронхиального давления, а через некоторое время вторично формируются бронхоэктазы дистальных бронхов, пневмосклероз и эмфизема легких.
Трахеобронхомегалия.
Классификация
В зависимости от выраженности структурных изменений при ТБД различают три подтипа синдрома Мунье-Куна:
• тип 1. Имеется незначительное симметричное расширение трахеи и главных бронхов;
• тип 2. Выраженное расширение и дивертикулы трахеи;
• тип 3. Расширение ТБД распространяется билатерально на дистальные отделы бронхов.
• тип 1. Имеется незначительное симметричное расширение трахеи и главных бронхов;
• тип 2. Выраженное расширение и дивертикулы трахеи;
• тип 3. Расширение ТБД распространяется билатерально на дистальные отделы бронхов.
Клиническая картина
При отсутствии бронхолегочных инфекций синдром Мунье-Куна протекает бессимптомно. Клиническая картина обычно имеет место на третьем-четвертом десятилетии жизни. Симптомы трахеобронхомегалии неспецифичны и обычно неотличимы от симптомов, вызванных хроническим трахеобронхитом.
Основная жалоба - хронический изнуряющий кашель с обильным выделением гнойной мокроты. Звуки кашля характеризуются вибрирующим тембром, напоминающим «блеяние козы». Из-за множества хрипов дыхание становится шумным, «мурлыкающим», слышимым на расстоянии. Беспокоит одышка, усиливающаяся при физической нагрузке, стеснение и боль в груди, усиливающаяся при вдохе, периодические подъемы температуры. При обширном поражении ТБД отмечают акроцианоз, деформацию фаланг пальцев. Возможны эпизоды кровохарканья.
Ассоциированные симптомы: Боль в грудной клетке. Влажный кашель. Гнойная мокрота. Деформация. Кашель. Кровохарканье. Мокрота. Одышка. Пальцы - барабанные палочки.
Основная жалоба - хронический изнуряющий кашель с обильным выделением гнойной мокроты. Звуки кашля характеризуются вибрирующим тембром, напоминающим «блеяние козы». Из-за множества хрипов дыхание становится шумным, «мурлыкающим», слышимым на расстоянии. Беспокоит одышка, усиливающаяся при физической нагрузке, стеснение и боль в груди, усиливающаяся при вдохе, периодические подъемы температуры. При обширном поражении ТБД отмечают акроцианоз, деформацию фаланг пальцев. Возможны эпизоды кровохарканья.
Ассоциированные симптомы: Боль в грудной клетке. Влажный кашель. Гнойная мокрота. Деформация. Кашель. Кровохарканье. Мокрота. Одышка. Пальцы - барабанные палочки.
Возможные осложнения
На фоне рецидивирующих респираторных инфекций и упорного кашля у больных с синдромом Мунье-Куна со временем развиваются деформирующий бронхит, бронхоэктазы и трахеобронхомаляция. Буллезная эмфизема возникает дистальнее измененных бронхов. Возможны эпизоды спонтанного пневмоторакса. Постепенно формируются ХОБЛ, легочная гипертензия, хроническая дыхательная недостаточность. Наиболее частым нереспираторным осложнением является гастроэзофагеальная рефлюксная болезнь, вторичная по отношению к устойчивому повышению внутрибрюшного давления.
Диагностика
Обследование больных с подозрением на синдром Мунье-Куна проводят в пульмонологическом стационаре. Аускультативная картина характеризуется влажными хрипами, вибрирующим тоном в проекции трахеи при форсированном дыхании и кашле. Для подтверждения трахеобронхомегалии проводят:
• Рентгенодиагностика: на простых рентгенограммах легких выявляют вторичные изменения легочной паренхимы, сильно расширенную трахею, диаметр которой превышает диаметр позвоночного столба. Для уточнения состояния ТБД и степени поражения проводят бронхографию. Более точную рентгенологическую картину получают при КТ легких, выявляющей патологическое расширение дыхательных путей (диаметр трахеи >25-27 мм у мужчин и 21-23 мм у женщин).
• Бронхоскопия. Трахеобронхомегалия подтверждается эндоскопическим исследованием TBD. Стенки трахеи истончены, слизистая оболочка атрофирована и втянута в межхрящевые промежутки («зубы пилы»). В сегментарных бронхах находим явления гнойного эндобронхита, возможна визуализация дивертикулов трахеи. При выдохе и кашле возникает экспираторный коллапс - стенки трахеи спадаются в передне-заднем направлении. Для подтверждения морфологического диагноза проводят биопсию.
• Другие исследования. Для оценки выраженности нарушений дыхания проводят спирометрию, выявляющую обструктивно-рестриктивные нарушения, увеличение остаточного объема (иногда показатели спирометрии остаются в норме). Проводят пульсоксиметрию, анализ газов крови, бактериологический посев мокроты.
• Рентгенодиагностика: на простых рентгенограммах легких выявляют вторичные изменения легочной паренхимы, сильно расширенную трахею, диаметр которой превышает диаметр позвоночного столба. Для уточнения состояния ТБД и степени поражения проводят бронхографию. Более точную рентгенологическую картину получают при КТ легких, выявляющей патологическое расширение дыхательных путей (диаметр трахеи >25-27 мм у мужчин и 21-23 мм у женщин).
• Бронхоскопия. Трахеобронхомегалия подтверждается эндоскопическим исследованием TBD. Стенки трахеи истончены, слизистая оболочка атрофирована и втянута в межхрящевые промежутки («зубы пилы»). В сегментарных бронхах находим явления гнойного эндобронхита, возможна визуализация дивертикулов трахеи. При выдохе и кашле возникает экспираторный коллапс - стенки трахеи спадаются в передне-заднем направлении. Для подтверждения морфологического диагноза проводят биопсию.
• Другие исследования. Для оценки выраженности нарушений дыхания проводят спирометрию, выявляющую обструктивно-рестриктивные нарушения, увеличение остаточного объема (иногда показатели спирометрии остаются в норме). Проводят пульсоксиметрию, анализ газов крови, бактериологический посев мокроты.
|
|
Диф. диагностика
При верификации синдрома Мунье-Куна исключают другие врожденные и приобретенные патологии дыхательных путей:
• трахеомаляция;
• синдром Вильямса-Кэмпбелла;
• команда Картагенер;
• кистозная гипоплазия легких;
• инородные тела трахеи и бронхов.
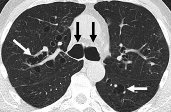
КТ легких. Расширенные бронхи (черные стрелки) и бронхоэктазы (белые стрелки).
• трахеомаляция;
• синдром Вильямса-Кэмпбелла;
• команда Картагенер;
• кистозная гипоплазия легких;
• инородные тела трахеи и бронхов.
КТ легких. Расширенные бронхи (черные стрелки) и бронхоэктазы (белые стрелки).
Лечение
Бессимптомные пациенты с синдромом Мунье-Куна не требуют специального лечения. При рецидивирующих бронхолегочных инфекциях проводят симптоматическую поддерживающую терапию. В периоды обострения проводят антибактериальную терапию, назначают муколитики, бронходилататоры, кортикостероиды, проводят бронхоальвеолярный лаваж.
Для улучшения дренирующей функции ТБД показаны сеансы электрофореза, лечебные ингаляции, дыхательная гимнастика, перкуссионный массаж и постуральный дренаж. Некоторым пациентам может потребоваться неинвазивная вентиляция сPAP.
Хирургическое лечение синдрома Мунье-Куна малоэффективно. Стентирование трахеи и трахеобронхопластика выполняются редко в связи с распространенным характером поражения. Резекция легкого часто имеет обратный эффект и вызывает прогрессирование трахеобронхомегалии. Трансплантация легких также не продемонстрировала эффективности с точки зрения прогноза и выживаемости заболевания.
Для улучшения дренирующей функции ТБД показаны сеансы электрофореза, лечебные ингаляции, дыхательная гимнастика, перкуссионный массаж и постуральный дренаж. Некоторым пациентам может потребоваться неинвазивная вентиляция сPAP.
Хирургическое лечение синдрома Мунье-Куна малоэффективно. Стентирование трахеи и трахеобронхопластика выполняются редко в связи с распространенным характером поражения. Резекция легкого часто имеет обратный эффект и вызывает прогрессирование трахеобронхомегалии. Трансплантация легких также не продемонстрировала эффективности с точки зрения прогноза и выживаемости заболевания.
Прогноз
Прогноз зависит от степени и скорости развития заболеваний органов дыхания. Рецидивирующие инфекции нижних дыхательных путей, фиброз легких оказывают наибольшее влияние на качество жизни и ее продолжительность. Рекомендации по профилактике включают отказ от курения, минимизацию воздействия промышленных и профессиональных раздражителей, загрязняющих веществ и профилактику бронхолегочных инфекций. Пациентов с синдромом Мунье-Куна регулярно вакцинируют против гриппа и пневмококковой инфекции.
Список литературы
1. Пороки развития, наследственные интерстициальные болезни легких у детей/ Самаль Т.Н. 2014.
2. Врожденные пороки трахеобронхиального дерева у детей/ Закиров И.И., Сафина А.И. Вестник современной клинической медицины. 2014.
3. Эпонимические бронхолегочные синдромы/ Розинова Н.Н., Лев Н.С., Богорад А.Е. Российский вестник перинатологии и педиатрии. 2012.
4. Редкие заболевания легких у детей - актуальная проблема современной пульмонологии/ Мизерницкий Ю.Л. Российский вестник перинатологии и педиатрии. 2012.
2. Врожденные пороки трахеобронхиального дерева у детей/ Закиров И.И., Сафина А.И. Вестник современной клинической медицины. 2014.
3. Эпонимические бронхолегочные синдромы/ Розинова Н.Н., Лев Н.С., Богорад А.Е. Российский вестник перинатологии и педиатрии. 2012.
4. Редкие заболевания легких у детей - актуальная проблема современной пульмонологии/ Мизерницкий Ю.Л. Российский вестник перинатологии и педиатрии. 2012.