Другие названия и синонимы
Lipoid pneumonia, Жировая пневмония.
Описание
Липоидная пневмония. Это воспалительная инфильтрация легких, развивающаяся после вдыхания или эндогенного накопления липидсодержащих субстратов. Клинические проявления включают слабость, лихорадку, боль в груди, одышку, сухой кашель, кровохарканье. Патологический процесс верифицируют рентгенографией и КТ легких, бронхоскопией с анализом БАЛ, гистологией биоптата. Для разрешения пневмонии применяют кортикостероидную терапию, кислородную поддержку, бронходренирующую терапию и, в случае осложненного течения, антибактериальную терапию.
|
|
Дополнительные факты
Липоидная (жировая) пневмония представляет собой вид легочной паренхиматозной реакции (воспаление, приводящее к фиброзу) на скопление жировых веществ в альвеолах. Редко выявляется прижизненно, по данным аутопсии - в 1-2,5% случаев, хотя в группах риска распространенность может достигать более 14%. Впервые по нозологии в 1925 г. патологоанатом Г. Ф. Лафлин обнаружил жировые включения в легочной ткани у четырех больных, при жизни длительное время принимавших слабительные на масляной основе и капли в нос. В современной пульмонологии бензиновая пневмония относится к разновидности острых экзогенных липоидных пневмоний.
Причины
По этиологической структуре различают экзогенную и эндогенную липоидную пневмонию. Экзогенная форма связана с вдыханием или аспирацией жировых веществ и минеральных масел, которые, депонируя в альвеолах, вызывают воспалительную реакцию. Наиболее распространенными триггерами являются:
• минеральные масла (парафин, вазелин);
• нефтепродукты (керосин, бензин);
• растительные и животные масла и жиры (оливковое, подсолнечное, топленое масло, сквален).
Эти и другие субстраты иногда применяют для самостоятельных лечебных манипуляций (смазывание носа, инстилляции трахеостомии, применение в качестве слабительных средств). Кроме того, вдыхание нефтесодержащих аэрозолей распространено среди лиц таких профессий, как маляры, пожарные, рабочие сельскохозяйственной и металлообрабатывающей промышленности, факиры, выпускающие изо рта огонь.
Эндогенная липидная пневмония обусловлена накоплением в легочной ткани экссудата, богатого продуктами распада клеток, содержащими холестерин, триглицериды и липиды. Такой путь развития жировой пневмонии характерен для:
• бронхиальная обструкция инородным телом;
• обтурирующий бронх центрального рака легкого;
• нарушения транспорта липидов - липидоз;
• инвазивные микозы легких.
• минеральные масла (парафин, вазелин);
• нефтепродукты (керосин, бензин);
• растительные и животные масла и жиры (оливковое, подсолнечное, топленое масло, сквален).
Эти и другие субстраты иногда применяют для самостоятельных лечебных манипуляций (смазывание носа, инстилляции трахеостомии, применение в качестве слабительных средств). Кроме того, вдыхание нефтесодержащих аэрозолей распространено среди лиц таких профессий, как маляры, пожарные, рабочие сельскохозяйственной и металлообрабатывающей промышленности, факиры, выпускающие изо рта огонь.
Эндогенная липидная пневмония обусловлена накоплением в легочной ткани экссудата, богатого продуктами распада клеток, содержащими холестерин, триглицериды и липиды. Такой путь развития жировой пневмонии характерен для:
• бронхиальная обструкция инородным телом;
• обтурирующий бронх центрального рака легкого;
• нарушения транспорта липидов - липидоз;
• инвазивные микозы легких.
Факторы риска
Существуют определенные группы населения, заболевания и сопутствующие заболевания, которые повышают риск липидной пневмонии. К возрастным группам риска относятся младенцы, пациенты старше 50 лет и работники, занятые в производстве нефтехимической продукции. Предрасполагающими фонами к аспирации маслянистых веществ являются:
• гастроэзофагеальный рефлюкс;
• дисфагия;
• трахеопищеводный свищ;
• врожденная расщелина неба;
• наличие трахеостомы;
• Инсульт;
• психические расстройства;
• Потребление алкоголя.
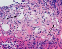
Липоидная пневмония.
• гастроэзофагеальный рефлюкс;
• дисфагия;
• трахеопищеводный свищ;
• врожденная расщелина неба;
• наличие трахеостомы;
• Инсульт;
• психические расстройства;
• Потребление алкоголя.
Липоидная пневмония.
Патогенез
Тяжесть и распространенность патологических изменений при экзогенно-липоидной пневмонии зависят от характера, количества и продолжительности воздействия этиологического агента. Жиры могут в определенной степени угнетать кашлевой рефлекс и снижать мукоцилиарную функцию бронхиального эпителия, что облегчает их поступление в дыхательные пути. Липидосодержащие вещества заполняют просвет бронхиол и альвеол, вызывая местное провоспалительное действие.
При вдыхании (вдыхании) растительных и минеральных масел воспалительная реакция выражена слабо. При однократном или ограниченном по времени контакте с возбудителем жировые капли инкапсулируются с образованием парафинома, ограниченного фиброзной тканью. При повторном или массивном вдохе возникает диффузное уплотнение легких (опеченение).
Животные масла и жиры производят более выраженные изменения путем гидролиза липазами в легких с выделением свободных жирных кислот. Последние инициируют сильный воспалительный процесс с местным отеком и внутрипузырным кровоизлиянием. Затем жирные кислоты фагоцитируются альвеолярными макрофагами, в результате чего цитоплазма этих клеток заполняется жировыми включениями. Насыщенные липидами макрофаги - липофаги - оседают и накапливаются в межальвеолярных перегородках, вызывая их утолщение и разрушение. В результате липидной пневмонии развивается фиброз легких с уменьшением площади функционирующей паренхимы.
Эндогенно насыщенные липидами макрофаги и продукты распада клеток накапливаются в альвеолах ниже места бронхиальной обструкции. Развивается воспалительная интерстициальная пневмония. Липоидная пневмония представляет собой патологический асептический воспалительный процесс с наличием в аспирате и биопсии макрофагов и гигантских клеток, нагруженных липидными частицами.
При вдыхании (вдыхании) растительных и минеральных масел воспалительная реакция выражена слабо. При однократном или ограниченном по времени контакте с возбудителем жировые капли инкапсулируются с образованием парафинома, ограниченного фиброзной тканью. При повторном или массивном вдохе возникает диффузное уплотнение легких (опеченение).
Животные масла и жиры производят более выраженные изменения путем гидролиза липазами в легких с выделением свободных жирных кислот. Последние инициируют сильный воспалительный процесс с местным отеком и внутрипузырным кровоизлиянием. Затем жирные кислоты фагоцитируются альвеолярными макрофагами, в результате чего цитоплазма этих клеток заполняется жировыми включениями. Насыщенные липидами макрофаги - липофаги - оседают и накапливаются в межальвеолярных перегородках, вызывая их утолщение и разрушение. В результате липидной пневмонии развивается фиброз легких с уменьшением площади функционирующей паренхимы.
Эндогенно насыщенные липидами макрофаги и продукты распада клеток накапливаются в альвеолах ниже места бронхиальной обструкции. Развивается воспалительная интерстициальная пневмония. Липоидная пневмония представляет собой патологический асептический воспалительный процесс с наличием в аспирате и биопсии макрофагов и гигантских клеток, нагруженных липидными частицами.
Классификация
По этиологии липоидные пневмонии бывают эндогенными и экзогенными:
• эндогенный. Возникает при разрушении и отложении в везикулах собственных липидных фракций;
• экзогенный. Развивается при вдыхании/аспирации жировых компонентов из внешней среды.
Острое течение липидной пневмонии наблюдается при однократной массивной ингаляции/аспирации жирового субстрата. Хронический вариант развивается при многократном и длительном вдыхании в дыхательные пути небольших количеств маслянистых аэрозолей. Описаны случаи, когда патологические процессы развились в сроки от 1 месяца до 10 лет.
• эндогенный. Возникает при разрушении и отложении в везикулах собственных липидных фракций;
• экзогенный. Развивается при вдыхании/аспирации жировых компонентов из внешней среды.
Острое течение липидной пневмонии наблюдается при однократной массивной ингаляции/аспирации жирового субстрата. Хронический вариант развивается при многократном и длительном вдыхании в дыхательные пути небольших количеств маслянистых аэрозолей. Описаны случаи, когда патологические процессы развились в сроки от 1 месяца до 10 лет.
Клиническая картина
Острый экзогенный вариант патологии характеризуется внезапным началом. Беспокоит чувство нехватки воздуха, одышка в покое, непродуктивный кашель, боль в грудной клетке. В анамнезе можно проследить недавнее вдыхание или проглатывание маслянистых веществ. В легких случаях все клинические проявления исчезают при прекращении контакта с триггерами и проведении симптоматического лечения.
Хроническая липоидная пневмония протекает бессимптомно или с неспецифическими жалобами на слабость, сухой кашель, одышку при минимальной физической нагрузке, дискомфорт в грудной клетке. В редких случаях отмечается кровохарканье, похудание, лихорадка. Хроническая дыхательная недостаточность развивается со временем.
Ассоциированные симптомы: Боль в грудной клетке. Глубокий сухой кашель. Кашель. Кровохарканье. Одышка.
Хроническая липоидная пневмония протекает бессимптомно или с неспецифическими жалобами на слабость, сухой кашель, одышку при минимальной физической нагрузке, дискомфорт в грудной клетке. В редких случаях отмечается кровохарканье, похудание, лихорадка. Хроническая дыхательная недостаточность развивается со временем.
Ассоциированные симптомы: Боль в грудной клетке. Глубокий сухой кашель. Кашель. Кровохарканье. Одышка.
Возможные осложнения
При массивном попадании жировых агентов в дыхательные пути развивается респираторный дистресс-синдром. Больной может погибнуть от острой дыхательной недостаточности и отека легких. Течение липидной пневмонии может осложняться плевритом, пневмотораксом, эмфиземой средостения, вторичной микробной или грибковой инфекцией. Хронический вариант сопровождается формированием пневмофиброза, легочной гипертензии и хронического легочного сердца.
Диагностика
При осмотре больного с данными жалобами важно выяснить предшествующий анамнез: прием внутрь или вдыхание жиросодержащих веществ, частоту и продолжительность контакта. При осмотре и аускультации пульмонолог может обнаружить учащение дыхания, сухие хрипы с обеих сторон, хрипы. Другие диагностические тактики включают:
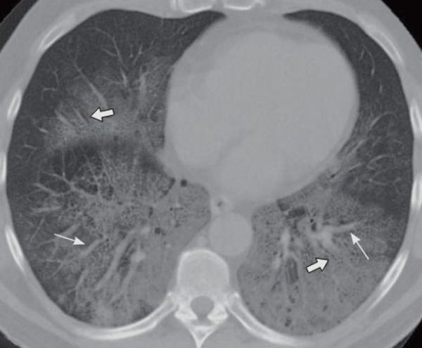
• КТ грудной клетки. При рентгенологическом исследовании выявляют двустороннее сегментарное или долевое уменьшение пневматизации легочной ткани (симптом матового стекла), утолщение междольковых перегородок (симптом булыжника). В более поздних стадиях видны участки фиброза, утолщение междолевой плевры.
• Бронхоскопия. Целью эндоскопии бронхиального дерева является исключение обструкции, сбор бронхоальвеолярного лаважа (БАЛ) и выполнение трансбронхиальной биопсии. При цитологическом исследовании БАЛ и мокроты, гистологии биоптата выявлены липофаги.
• ФВД. Обследование проводят при удовлетворительном состоянии больного и без трахеостомии. Спирометрия может выявить умеренные обструктивные нарушения легочной вентиляции, снижение диффузионной способности легких.
• Контроль насыщения. Проводится инвазивно (определение газового состава крови) и неинвазивно (пульсоксиметрия). У больных липидной пневмонией снижение насыщения крови кислородом зависит от степени поражения легких.
Компьютерная томография грудной клетки. Феномен матового стекла.
• КТ грудной клетки. При рентгенологическом исследовании выявляют двустороннее сегментарное или долевое уменьшение пневматизации легочной ткани (симптом матового стекла), утолщение междольковых перегородок (симптом булыжника). В более поздних стадиях видны участки фиброза, утолщение междолевой плевры.
• Бронхоскопия. Целью эндоскопии бронхиального дерева является исключение обструкции, сбор бронхоальвеолярного лаважа (БАЛ) и выполнение трансбронхиальной биопсии. При цитологическом исследовании БАЛ и мокроты, гистологии биоптата выявлены липофаги.
• ФВД. Обследование проводят при удовлетворительном состоянии больного и без трахеостомии. Спирометрия может выявить умеренные обструктивные нарушения легочной вентиляции, снижение диффузионной способности легких.
• Контроль насыщения. Проводится инвазивно (определение газового состава крови) и неинвазивно (пульсоксиметрия). У больных липидной пневмонией снижение насыщения крови кислородом зависит от степени поражения легких.
Компьютерная томография грудной клетки. Феномен матового стекла.
|
|
Диф. диагностика
Липоидная пневмония имеет неспецифические симптомы и рентгенологическую картину, поэтому при постановке диагноза исключают следующие нозологии:
• криптогенная организующая пневмония;
• бактериальные и грибковые пневмонии;
• аспирационная пневмония;
• ковидная пневмония;
• бронхоальвеолярный рак легкого;
• альвеолярный протеиноз;
• Гранулематоз Вегенера.
• криптогенная организующая пневмония;
• бактериальные и грибковые пневмонии;
• аспирационная пневмония;
• ковидная пневмония;
• бронхоальвеолярный рак легкого;
• альвеолярный протеиноз;
• Гранулематоз Вегенера.
Лечение
Первым условием успешного лечения является прекращение аэрозольного поступления липидсодержащих средств в дыхательные пути и устранение бронхиальной обструкции. При бессимптомной липоидной пневмонии дополнительную терапию не назначают. В случаях, требующих госпитализации, проводят:
• Фармакотерапия. Патогенетическая терапия заключается в назначении инфузий кортикостероидов (иногда в сочетании с их ингаляционным введением) и последующем переводе на пероральную форму. Применяют также муколитики, при развитии внутрибольничной пневмонии - антибиотики.
• Санитарная бронхоскопия. Для удаления капель жира и липофагов из дыхательных путей показаны повторные процедуры бронхоальвеолярного лаважа. Эффективность лечебной бронхоскопии тем выше, чем меньше времени прошло с момента аспирации или вдыхания жировых веществ.
• Бронходренажная терапия. Включает перкуссионный массаж грудной клетки, ЛФК, постуральный дренаж, дыхательную гимнастику. Помогает ускорить эвакуацию жировых молекул из нижних дыхательных путей.
• Кислородная поддержка. Если насыщение кислородом низкое, оксигенотерапию можно проводить через носовой катетер или лицевую маску. В некоторых случаях может потребоваться установка трахеостомической трубки, интубация и искусственная вентиляция легких.
• Фармакотерапия. Патогенетическая терапия заключается в назначении инфузий кортикостероидов (иногда в сочетании с их ингаляционным введением) и последующем переводе на пероральную форму. Применяют также муколитики, при развитии внутрибольничной пневмонии - антибиотики.
• Санитарная бронхоскопия. Для удаления капель жира и липофагов из дыхательных путей показаны повторные процедуры бронхоальвеолярного лаважа. Эффективность лечебной бронхоскопии тем выше, чем меньше времени прошло с момента аспирации или вдыхания жировых веществ.
• Бронходренажная терапия. Включает перкуссионный массаж грудной клетки, ЛФК, постуральный дренаж, дыхательную гимнастику. Помогает ускорить эвакуацию жировых молекул из нижних дыхательных путей.
• Кислородная поддержка. Если насыщение кислородом низкое, оксигенотерапию можно проводить через носовой катетер или лицевую маску. В некоторых случаях может потребоваться установка трахеостомической трубки, интубация и искусственная вентиляция легких.
Прогноз
Сценарий развития и исход заболевания зависит от причины липоидной пневмонии, дозы и продолжительности воздействия возбудителя. Острые экзогенные формы, вызванные однократным контактом, могут рассасываться самостоятельно. Хронические формы приводят к легочному фиброзу, который снижает функцию дыхания. При загруженном пробеге не исключены фатальные последствия. Прогноз эндогенной липидной пневмонии напрямую связан с течением основного заболевания.
Профилактика заключается в осторожном использовании препаратов и косметических средств, содержащих жир, использовании средств защиты органов дыхания на работе. Целесообразно ограничить доступ к опасным веществам для детей, лиц с нарушениями глотания, психическими расстройствами и лиц, страдающих алкогольной зависимостью.
Профилактика заключается в осторожном использовании препаратов и косметических средств, содержащих жир, использовании средств защиты органов дыхания на работе. Целесообразно ограничить доступ к опасным веществам для детей, лиц с нарушениями глотания, психическими расстройствами и лиц, страдающих алкогольной зависимостью.
Список литературы
1. Экзогенная липоидная пневмония/ Чикина С.Ю. Практическая пульмонология. 2012.
2. Липоидная пневмония: клинические случаи/ Чикина С.Ю., Авдеев С.Н., Трушенко Н.В., Кошназарова Е.В., Самсонова М.В., Черняев А.Л. Пульмонология. 2012 - №4.
3. Липоидная пневмония: клинический случай/ Морозова Л.В., Ермилов О.В., Бочарова М.А., Волочаева Е.М. Научные ведомости. Серия «Медицина. Фармация». 2015. N16 (213). Выпуск 31.
4. Аспирационная липоидная пневмония у полуторогодовалого ребенка/ Бударова В., Шмаков А.Н., Бокуть В.А., Макарова Д.Ю., Полонская М.А., Успенская С.В. Педиатр. 2020. Т. 11. Вып. 2.
2. Липоидная пневмония: клинические случаи/ Чикина С.Ю., Авдеев С.Н., Трушенко Н.В., Кошназарова Е.В., Самсонова М.В., Черняев А.Л. Пульмонология. 2012 - №4.
3. Липоидная пневмония: клинический случай/ Морозова Л.В., Ермилов О.В., Бочарова М.А., Волочаева Е.М. Научные ведомости. Серия «Медицина. Фармация». 2015. N16 (213). Выпуск 31.
4. Аспирационная липоидная пневмония у полуторогодовалого ребенка/ Бударова В., Шмаков А.Н., Бокуть В.А., Макарова Д.Ю., Полонская М.А., Успенская С.В. Педиатр. 2020. Т. 11. Вып. 2.