Продолжая работу с сайтом, вы разрешаете использование сookies и соглашаетесь с политикой конфиденциальности.
.,о.,р..и.:г,.и.,н.;н.,а;,л.. .,н.:а,.х.,о.,д.;и.,т..с.:я,, ..н.;а., .,k;,i..b.:e,;r.,i.,s.,.;.r.:u,

Дермоид

ДобавьАналогиСравни
Используемые препараты: ... скрыть
 
Препаратов не найдено
Лечат в 2462 клиниках 116 городов
X
X
Нужен: проктолог, 1 услугу
Волгоград, ул. Автотранспортная, д. 75 +7(844..показать+7(495) 104-88-01, +7(844) 243-55-43, +7(844) 253-40-00 от 3728₽
Краснодар, ул. Василия Мачуги, д. 84 +7(861..показать+7(495) 104-88-01, +7(861) 257-15-00 от 4100₽
Краснодар, пгт Яблоновский, ул. Гагарина, д. 157/2 +7(861..показать+7(495) 104-88-01, +7(861) 257-15-00, +7(861) 290-47-07 от 4100₽
Ростов-на-Дону, ул. 1-я линия, д. 6 +7(800..показать+7(495) 104-88-01, +7(800) 234-74-40 от 4200₽
Краснодар, ул. Московская, д. 40 +7(861..показать+7(495) 104-88-01, +7(861) 257-15-00 от 4600₽
Краснодар, ул. Вологодская, д. 20 +7(861..показать+7(495) 104-88-01, +7(861) 991-44-84 от 4600₽
Краснодар, ул. Кузнечная, д. 4 +7(861..показать+7(495) 104-88-01, +7(861) 298-30-33 от 4720₽
Москва, Ленинский пр-т, д. 121/1, к. 2 +7(499..показать+7(495) 104-88-01, +7(499) 116-77-93, +7(495) 513-14-31 от 5000₽
Санкт-Петербург, пр-т Динамо, д. 3 +7(812..показать+7(495) 104-88-01, +7(812) 246-00-24, +7(812) 246-00-04, +7(812) 246-00-03, +7(812) 246-00-60 от 5500₽
Москва, ул. Полтавская, д. 2 +7(495..показать+7(495) 104-88-01, +7(495) 604-12-12 от 5600₽
Ещё 2452 клиники
  1. Описание
  2. Клиническая картина
  3. Дифференциальная диагностика
  4. Причины
  5. Лечение
  6. Похожие заболевания
  7. Основные медицинские услуги
  8. Клиники для лечения

Другие названия и синонимы

Dermoid.
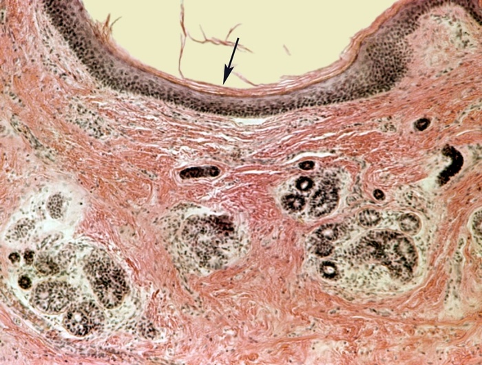
Микропрепарат стенки дермоида

Описание

 Дермоид - это врожденные кисты, образованные из эктодермального листка, смещенного в глубокие ткани. Типичные места расположения кист: срединный угол глазной щели, сосцевидная, височная и затылочная области.

Клиническая картина

 Дермоидная опухоль плотная, гладкая, безболезненная, не спаяна с кожей.

Дифференциальная диагностика

 Дифференциальный диагноз проводят от мозговых грыж и атером. От грыж дермоиды отличает большая плотность, несжимаемость, отсутствие дефекта в кости, от атером - подвижность кожных покровов над опухолью.

Причины

 Данная киста имеет эктодермальное происхождение.

Лечение

 Лечение дермоидной опухоли хирургическое.

Похожие заболевания

42a96bb5c8a2acfb07fc866444b97bf1
Доступно только при использовании PRO аккаунта
Модератор контента: Васин А.С.


  1. Киберис НЕ является интернет-магазином и НЕ осуществляет закупку, хранение, продажу и доставку препаратов. Ресурс выступает лишь в роли посредника между вами и производителем препаратов или аптечными пунктами, которые и осуществляют поставку.
  2. На Киберис размещены описания препаратов, часть из которых предназначена только для врачей. Данная информация не может быть использована пациентами для принятия решения об использовании препаратов, их отмене или коррекции дозировок.
  3. Ничто в представленной информации не должно быть истолковано как призыв использовать данные препараты.
  4. К Киберис не могут быть обращены претензии по поводу любого ущерба или вреда, понесенного в результате использования размещенной на сайте информации.