Другие названия и синонимы
Hyperprolactinemic hypogonadism.
МКБ-10 коды
- МКБ-10
- E22.1 Гиперпролактинемия
|
|
Описание
Гиперпролактинемический гипогонадизм. Нейроэндокринный синдром, связанный с избыточной секрецией гормона пролактина передней долей гипофиза и сопровождающийся рядом эндокринных и соматогенных расстройств. Гиперпролактинемический гипогонадизм проявляется нарушением менструальной функции, патологической галактореей, гирсутизмом, бесплодием (у женщин), снижением либидо, эректильной дисфункцией, гинекомастией, бесплодием (у мужчин). Диагностика основана на многократном определении уровня пролактина в крови; проведении медикаментозных проб, рентгенографии черепа, МРТ головного мозга, исследовании полей зрения; обследовании щитовидной железы и репродуктивной системы. При выборе тактики лечения гиперпролактинемического гипогонадизма учитывается причина гиперпролактинемии: при пролактиноме - лечение хирургическое. В остальных случаях проводится медикаментозная терапия агонистами дофаминовых рецепторов.
Дополнительные факты
Гиперпролактинемический гипогонадизм - один их наиболее распространенных видов гипоталамо-гипофизарной дисфункции, характеризующийся гиперпродукцией гормона пролактина. Данная патология встречается у 0,5% женского и 0,07% мужского населения в общей популяции. Гиперпролактинемический гипогонадизм выявляется у 70% женщин с бесплодием и 15-20 % пациенток с вторичной аменореей. Наиболее часто заболевание диагностируется в возрасте 20-40 лет. Гиперпролактинемический гипогонадизм также известен в литературе как синдром гиперпролактинемии, у женщин - синдром персистирующей галактореи-аменореи.
Между тем, гиперпролактинемия и гиперпролактинемический гипогонадизм не всегда синонимичны. Повышение уровня пролактина в сыворотке крови (гиперпролактинемия) может быть бессимптомным (биохимическим), физиологическим (в период беременности, лактации, новорожденности) и патологическим, сопровождающимся развитием гиперпролактинемического гипогонадизма. В медицине гиперпролактинемический гипогонадизм является предметом исследования различных клинических дисциплин: эндокринологии, гинекологии, андрологии, сексологии.
Между тем, гиперпролактинемия и гиперпролактинемический гипогонадизм не всегда синонимичны. Повышение уровня пролактина в сыворотке крови (гиперпролактинемия) может быть бессимптомным (биохимическим), физиологическим (в период беременности, лактации, новорожденности) и патологическим, сопровождающимся развитием гиперпролактинемического гипогонадизма. В медицине гиперпролактинемический гипогонадизм является предметом исследования различных клинических дисциплин: эндокринологии, гинекологии, андрологии, сексологии.
Клиническая картина
Ассоциированные симптомы: Гиперпролактинемия. Редкие месячные.
Причины
Гиперпролактинемический гипогонадизм может иметь самостоятельное, первичное значение, сочетаться с другой патологией гипоталамо-гипофизарной системы или носить характер симптоматических проявлений. Как первичное заболевание, гиперпролактинемический гипогонадизм развивается при аденомах гипофиза (микро- и макропролактиноме). Причины идиопатической гиперпролактинемии, возникающей при отсутствии аденомы гипофиза и других видимых причин, неизвестны.
При поражении периферических эндокринных желез развивается, так называемый, симптоматический гиперпролактинемический гипогонадизм, который может быть обусловлен приемом лекарственных препаратов, гипотиреозом, синдромом поликистозных яичников, хроническим простатитом, циррозом печени, почечной недостаточностью Гиперпролактинемический гипогонадизм может сочетаться с гормонально-неактивными аденомами, синдромом «пустого» турецкого седла и прочими гипоталамо-гипофизарными нарушениями (краниофарингиомой, акромегалией, болезнью Иценко-Кушинга, лимфоцитарным гипофизитом, хронической внутричерепной гипертензией).
Ключевым звеном в развитии гиперпролактинемического гипогонадизма любого генеза является снижение либо отсутствие блокирующего влияния дофамина на продукцию пролактина гипофизом. Это вызывает вначале гиперплазию пролактинсекретирующих клеток, а затем - формирование микропролактиномы гипофиза. В случае симптоматического гиперпролактинемического гипогонадизма стимуляторами блокады дофаминовой трансмиссии и гиперпролактинемии могут выступать фармакопрепараты (антидепрессанты, аминазин, оральные контрацептивы и тд ) и эндогенные гормоны (мелатонин, серотонин, стероиды, тиролиберин, вазоактивный интестинальный полипептид и пр.
При поражении периферических эндокринных желез развивается, так называемый, симптоматический гиперпролактинемический гипогонадизм, который может быть обусловлен приемом лекарственных препаратов, гипотиреозом, синдромом поликистозных яичников, хроническим простатитом, циррозом печени, почечной недостаточностью Гиперпролактинемический гипогонадизм может сочетаться с гормонально-неактивными аденомами, синдромом «пустого» турецкого седла и прочими гипоталамо-гипофизарными нарушениями (краниофарингиомой, акромегалией, болезнью Иценко-Кушинга, лимфоцитарным гипофизитом, хронической внутричерепной гипертензией).
Ключевым звеном в развитии гиперпролактинемического гипогонадизма любого генеза является снижение либо отсутствие блокирующего влияния дофамина на продукцию пролактина гипофизом. Это вызывает вначале гиперплазию пролактинсекретирующих клеток, а затем - формирование микропролактиномы гипофиза. В случае симптоматического гиперпролактинемического гипогонадизма стимуляторами блокады дофаминовой трансмиссии и гиперпролактинемии могут выступать фармакопрепараты (антидепрессанты, аминазин, оральные контрацептивы и тд ) и эндогенные гормоны (мелатонин, серотонин, стероиды, тиролиберин, вазоактивный интестинальный полипептид и пр.
Патогенез
Для гиперпролактинемического гипогонадизма характерно развитие комплекса репродуктивных, сексуальных, метаболических и эмоционально-личностных нарушений.
Диагностика
Диагностическими задачами при подозрении на гиперпролактинемический гипогонадизм являются: выявление гиперпролактинемии и установление ее характера (опухолевая, симптоматическая, идиопатическая, медикаментозная).
Исследование концентрации пролактина в сыворотке крови выявляет его увеличение в десятки и даже сотни раз. Гиперпролактинемия подтверждается при наличии увеличенного уровня пролактина не менее, чем в трех образцах крови. При уровне пролактина выше 200 нг/мл следует думать о макроаденоме гипофиза; менее 200 нг/мл - о микроаденоме или идиопатической гиперпролактинемии. Умеренная гиперпролактинемия характерна для гипотиреоза, приема лекарственных препаратов, заболеваний органов малого таза. Фармакодинамические пробы с метоклопрамидом, тиролиберином не вызывают значительного увеличения уровня пролактина.
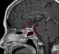
С целью функционального обследования щитовидной железы определяются гормональные показатели (Т4 св. ТТГ), проводится УЗИ щитовидной железы. При подозрении на поражение почек исследуются клинические анализы крови и мочи, биохимические показатели (электролиты). С целью оценки плотности костной ткани выполняется денситометрия. Для определения причин гиперпролактинемии (главным образом, выявления аденом гипофиза), проводится рентгенография черепа, КТ или МРТ головного мозга или гипоталамо-гипофизарной области.
Обследование репродуктивной сферы при гиперпролактинемическом гипогонадизме предполагает проведение УЗИ малого таза, гинекологического осмотра (у женщин); УЗИ мошонки и предстательной железы, исследование спермограммы - у мужчин. Определяется уровень половых гормонов (тестостерона, эстрадиола, гонадотропинов - ЛГ, ФСГ). При наличии хиазмального синдрома необходима консультация офтальмолога с визометрией, исследованием глазного дна и полей зрения (периметрия), что позволяет исключить атрофию зрительного нерва, неврит зрительного нерва, хориоретинит и тд патологию.
Исследование концентрации пролактина в сыворотке крови выявляет его увеличение в десятки и даже сотни раз. Гиперпролактинемия подтверждается при наличии увеличенного уровня пролактина не менее, чем в трех образцах крови. При уровне пролактина выше 200 нг/мл следует думать о макроаденоме гипофиза; менее 200 нг/мл - о микроаденоме или идиопатической гиперпролактинемии. Умеренная гиперпролактинемия характерна для гипотиреоза, приема лекарственных препаратов, заболеваний органов малого таза. Фармакодинамические пробы с метоклопрамидом, тиролиберином не вызывают значительного увеличения уровня пролактина.
С целью функционального обследования щитовидной железы определяются гормональные показатели (Т4 св. ТТГ), проводится УЗИ щитовидной железы. При подозрении на поражение почек исследуются клинические анализы крови и мочи, биохимические показатели (электролиты). С целью оценки плотности костной ткани выполняется денситометрия. Для определения причин гиперпролактинемии (главным образом, выявления аденом гипофиза), проводится рентгенография черепа, КТ или МРТ головного мозга или гипоталамо-гипофизарной области.
Обследование репродуктивной сферы при гиперпролактинемическом гипогонадизме предполагает проведение УЗИ малого таза, гинекологического осмотра (у женщин); УЗИ мошонки и предстательной железы, исследование спермограммы - у мужчин. Определяется уровень половых гормонов (тестостерона, эстрадиола, гонадотропинов - ЛГ, ФСГ). При наличии хиазмального синдрома необходима консультация офтальмолога с визометрией, исследованием глазного дна и полей зрения (периметрия), что позволяет исключить атрофию зрительного нерва, неврит зрительного нерва, хориоретинит и тд патологию.
Лечение
Метод лечения гиперпролактинемического гипогонадизма зависит от обусловившей его причины. При медикаментозной гиперпролактинемии требуется снижение дозы или отмена препаратов, вызвавших нарушение. В случае симптоматической гиперпролактинемии, связанной с гипотиреозом, назначается лечение препаратами тиреоидных гормонов.
Для подавления секреции пролактина показано назначение агонистов дофамина (бромокриптина, каберголина, L-ДОФА). Нормализация уровня пролактина способствует восстановлению синтеза гонадотропных гормонов, менструального цикла, половой активности и фертильности. В некоторых случаях у мужчин целесообразно одновременное применение хорионического гонадотропина или андрогенов.
При опухолях гипофиза, вызвавших развитие гиперпролактинемического гипогонадизма, может проводиться дистанционная лучевая терапия, лекарственная терапия дофаминомиметиками. При резистентных к консервативной терапии аденомах, особенно хиазмальной области, показана трансназальная транссфеноидальная аденомэктомия. После подобных операции нередко развивается пангипопитуитаризм, в связи с чем требуется заместительная терапия гормонами (ХГЧ, тиреоидином и тд ).
Для подавления секреции пролактина показано назначение агонистов дофамина (бромокриптина, каберголина, L-ДОФА). Нормализация уровня пролактина способствует восстановлению синтеза гонадотропных гормонов, менструального цикла, половой активности и фертильности. В некоторых случаях у мужчин целесообразно одновременное применение хорионического гонадотропина или андрогенов.
При опухолях гипофиза, вызвавших развитие гиперпролактинемического гипогонадизма, может проводиться дистанционная лучевая терапия, лекарственная терапия дофаминомиметиками. При резистентных к консервативной терапии аденомах, особенно хиазмальной области, показана трансназальная транссфеноидальная аденомэктомия. После подобных операции нередко развивается пангипопитуитаризм, в связи с чем требуется заместительная терапия гормонами (ХГЧ, тиреоидином и тд ).
Прогноз
В большинстве случаев гиперпролактинемического гипогонадизма терапия дофаминомиметиками позволяет нормализовать уровень пролактина, устранить симптоматику и восстановить фертильность. Длительные ремиссии (свыше 5 лет) наблюдаются у 5-10 % пациентов после прекращения лечения. В трети случаев самопроизвольная ремиссия у женщин развивается после родов или наступления менопаузы.
|
|
Связанные клинические рекомендации
Связанные стандарты мед. помощи
- Стандарт специализированной медицинской помощи несовершеннолетним при олигоменорее и аменорее
- Стандарт специализированной медицинской помощи женщинам при гипогонадизме
- Стандарт специализированной медицинской помощи детям при гипогонадизме
- Стандарт первичной медико-санитарной помощи детям при олиго- и аменорее
- Стандарт первичной медико-санитарной помощи детям при гипогонадизме