Другие названия и синонимы
Tuberculous pleurisy.
МКБ-10 коды
|
|
Описание
Плеврит может быть первым клиническим проявлением туберкулеза,особенно у подростков и лиц молодого возраста. Часто он развивается при первичном туберкулезе. Плеврит может быть единственным клиническим проявлением болезни, когда он возникает при наличии скрытопротекающих свежих очагов, расположенных в легких субплеврально, или очагов в лимфатических узлах.
Клиническая картина
Клинически плевриты разделяются на сухие и экссудативные.
По клиническим проявлениям плеврит делят на острый, подострый и хронический.
По локализации выделяют следующие плевриты:
А) костно-диафрагмальный;
Б) диафрагмальный;
В) костальный;
Г) междолевой;
Д) парамедиастинальный;
Е) верхушечный.
Чаще выпот располагается в плевральной полости свободно, но может быть и осумкованным.
Сухой (фибринозный) плеврит представляет собой воспаление ограниченных участков плевры с отложением на ее поверхности фибрина. Основными клиническими проявлениями являются боли в груди, сухой кашель, нарушение общего состояния и субфебрильная температура. Локализация болей зависит от места поражения. Боли усиливаются при глубоком дыхании, кашле и надавливании на межреберья.
При физикальном исследовании больных выявляется отставание пораженной стороны грудной клетки при дыхании, небольшое притупление перкуторного тона.
Аускультативно:основным диагностическим признаком является шум трения плевры, который усиливается при надавливании стетоскопом и не исчезает после кашля.
Анализ крови у больных плевритом выявляет умеренный лейкоцитоз, сдвиг нейтрофилов влево и ускорение СОЭ.
При рентгенологическом исследовании выявляется ограничение подвижности купола диафрагмы, контуры диафрагмы становятся неровными, понижается прозрачность пораженных отделов легких.
Сухой плеврит протекает благоприятно и заканчивается излечением. Иногда он приобретает рецидивирующий характер.
Антибактериальное лечение проводится по стандартным схемам в зависимости от резистентности МБТ и толерантности организма к противотуберкулезным препаратам.
Экссудативный (серозный) плеврит является распространенной формой плевритов туберкулезной этиологии. Начинается он постепенно с общего недомогания, слабости, периодических болей в груди, изредка с кашлем, субфебрильной температурой. Затем температура повышается, боль в груди усиливается, появляется одышка. По мере накопления экссудата одышка нарастает за счет коллапса легкого и давления на органы средостения.
Относительно редко плеврит начинается в период полного здоровья с озноба, высокой лихорадки, боли в груди, сухого мучительного кашля.
Течение острого серозного плеврита туберкулезной этиологии можно разделить на три периода: экссудации; стабилизации процесса; резорбции выпота.
При физикальном исследовании больных плевритом, в фазе экссудации отмечаются ограничение дыхательной экскурсии пораженной стороны, сглаженность межреберий и даже их выбухание при больших количествах жидкости. Характерно притупление перкуторного звука с верхней границей в виде косой линии Эллиса-Дамуазо, которая идет от позвоночника вверх, достигает верхней точки по аксиллярным линиям и далее опускается спереди по передней стенке грудной клетки. Смещение органов средостения в здоровую сторону обычно наблюдается при скоплении большого количества жидкости в плевральной полости.
Фазы стабилизации и рассасывания экссудата характеризуются стиханием признаков болезни, снижением температуры, уменьшением боли и одышки. Постепенно исчезают объективные патологические симптомы, но может появиться шум трения плевры.
Изменения гемограммы в острой фазе характеризуются наличием лейкоцитоза (до 12 000-15 000), лимфо- и эозинопении, нейтрофильного сдвига влево и ускорением СОЭ до 50-60 мм/ При затихании процесса показатели крови нормализуются.
При экссудативном плеврите отмечаются существенные сдвиги в протеинограмме. В острой фазе снижается количество альбуминов и нарастают глобулины. При инволюции процесса восстанавливается нормальное содержание глобулинов.
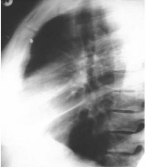
Если жидкость скапливается над диафрагмой, то при рентгенологическом исследовании больного в вертикальном положении она часто не видна. В подобных случаях необходимо исследование в боковой позиции. При увеличении выпота появляется гомогенное затемнение в области наружного синуса. Легочный рисунок дифференцируется плохо. Свободная жидкость может перемещаться в зависимости от положения тела больного. Плевральная жидкость может скапливаться в междолевых щелях, парамедиастинально и в области купола диафрагмы, где и определяется затемнение при полипозиционном рентгенологическом исследовании.
Гнойные туберкулезные плевриты (пиоторакс, эмпиема плевры).
Гнойный плеврит характеризуется скоплением в межплевральной щели гнойного экссудата. Кроме туберкулеза, причиной гнойного плеврита у больного туберкулезом может быть лимфогематогенное распространение гноеродной инфекции при различных гнойных и инфекционных заболеваниях. Нетуберкулезная эмпиема в этих случаях может сохранять свой характер до излечения или быстро перейти в смешанную в результате обострения туберкулезного процесса.
Туберкулезное поражение плевры с образованием гнойного экссудата чаще развивается при тяжелом прогрессировании серозного и геморрагического плеврита или возникает при прорыве каверны в плевральную полость. Туберкулезная эмпиема может протекать хронически. При этом состояние больного ухудшается, повышается температура, появляются ознобы, ночные поты, одышка, похудание.
Особенно тяжело протекает эмпиема при первичном казеозном плеврите и нарушении целости каверны, когда образуются бронхо-плевральные свищи. При длительном накоплении большого количества гноя в плевральной полости может образоваться также плевроторакальный свищ.
Хроническая эмпиема приводит к развитию амилоидоза внутренних органов. При гнойном плеврите имеются выраженные сдвиги со стороны лейкограммы и протеинограммы, развивается гипохромная анемия. В гнойном экссудате в 90% случаев находят микобактерии туберкулеза.
Ассоциированные симптомы: Базофилия. Боль в груди слева. Боль в грудной клетке. Высокая температура тела. Гиперкальциемия. Глубокий сухой кашель. Кашель. Лейкоцитоз. Мокрота. Моноцитоз. Недомогание. Нейтрофилез. Ночная потливость у мужчин. Одышка. Озноб. Покалывание в груди. Потливость. Субфебрильная температура. Эозинофилия.
По клиническим проявлениям плеврит делят на острый, подострый и хронический.
По локализации выделяют следующие плевриты:
А) костно-диафрагмальный;
Б) диафрагмальный;
В) костальный;
Г) междолевой;
Д) парамедиастинальный;
Е) верхушечный.
Чаще выпот располагается в плевральной полости свободно, но может быть и осумкованным.
Сухой (фибринозный) плеврит представляет собой воспаление ограниченных участков плевры с отложением на ее поверхности фибрина. Основными клиническими проявлениями являются боли в груди, сухой кашель, нарушение общего состояния и субфебрильная температура. Локализация болей зависит от места поражения. Боли усиливаются при глубоком дыхании, кашле и надавливании на межреберья.
При физикальном исследовании больных выявляется отставание пораженной стороны грудной клетки при дыхании, небольшое притупление перкуторного тона.
Аускультативно:основным диагностическим признаком является шум трения плевры, который усиливается при надавливании стетоскопом и не исчезает после кашля.
Анализ крови у больных плевритом выявляет умеренный лейкоцитоз, сдвиг нейтрофилов влево и ускорение СОЭ.
При рентгенологическом исследовании выявляется ограничение подвижности купола диафрагмы, контуры диафрагмы становятся неровными, понижается прозрачность пораженных отделов легких.
Сухой плеврит протекает благоприятно и заканчивается излечением. Иногда он приобретает рецидивирующий характер.
Антибактериальное лечение проводится по стандартным схемам в зависимости от резистентности МБТ и толерантности организма к противотуберкулезным препаратам.
Экссудативный (серозный) плеврит является распространенной формой плевритов туберкулезной этиологии. Начинается он постепенно с общего недомогания, слабости, периодических болей в груди, изредка с кашлем, субфебрильной температурой. Затем температура повышается, боль в груди усиливается, появляется одышка. По мере накопления экссудата одышка нарастает за счет коллапса легкого и давления на органы средостения.
Относительно редко плеврит начинается в период полного здоровья с озноба, высокой лихорадки, боли в груди, сухого мучительного кашля.
Течение острого серозного плеврита туберкулезной этиологии можно разделить на три периода: экссудации; стабилизации процесса; резорбции выпота.
При физикальном исследовании больных плевритом, в фазе экссудации отмечаются ограничение дыхательной экскурсии пораженной стороны, сглаженность межреберий и даже их выбухание при больших количествах жидкости. Характерно притупление перкуторного звука с верхней границей в виде косой линии Эллиса-Дамуазо, которая идет от позвоночника вверх, достигает верхней точки по аксиллярным линиям и далее опускается спереди по передней стенке грудной клетки. Смещение органов средостения в здоровую сторону обычно наблюдается при скоплении большого количества жидкости в плевральной полости.
Фазы стабилизации и рассасывания экссудата характеризуются стиханием признаков болезни, снижением температуры, уменьшением боли и одышки. Постепенно исчезают объективные патологические симптомы, но может появиться шум трения плевры.
Изменения гемограммы в острой фазе характеризуются наличием лейкоцитоза (до 12 000-15 000), лимфо- и эозинопении, нейтрофильного сдвига влево и ускорением СОЭ до 50-60 мм/ При затихании процесса показатели крови нормализуются.
При экссудативном плеврите отмечаются существенные сдвиги в протеинограмме. В острой фазе снижается количество альбуминов и нарастают глобулины. При инволюции процесса восстанавливается нормальное содержание глобулинов.
Если жидкость скапливается над диафрагмой, то при рентгенологическом исследовании больного в вертикальном положении она часто не видна. В подобных случаях необходимо исследование в боковой позиции. При увеличении выпота появляется гомогенное затемнение в области наружного синуса. Легочный рисунок дифференцируется плохо. Свободная жидкость может перемещаться в зависимости от положения тела больного. Плевральная жидкость может скапливаться в междолевых щелях, парамедиастинально и в области купола диафрагмы, где и определяется затемнение при полипозиционном рентгенологическом исследовании.
Гнойные туберкулезные плевриты (пиоторакс, эмпиема плевры).
Гнойный плеврит характеризуется скоплением в межплевральной щели гнойного экссудата. Кроме туберкулеза, причиной гнойного плеврита у больного туберкулезом может быть лимфогематогенное распространение гноеродной инфекции при различных гнойных и инфекционных заболеваниях. Нетуберкулезная эмпиема в этих случаях может сохранять свой характер до излечения или быстро перейти в смешанную в результате обострения туберкулезного процесса.
Туберкулезное поражение плевры с образованием гнойного экссудата чаще развивается при тяжелом прогрессировании серозного и геморрагического плеврита или возникает при прорыве каверны в плевральную полость. Туберкулезная эмпиема может протекать хронически. При этом состояние больного ухудшается, повышается температура, появляются ознобы, ночные поты, одышка, похудание.
Особенно тяжело протекает эмпиема при первичном казеозном плеврите и нарушении целости каверны, когда образуются бронхо-плевральные свищи. При длительном накоплении большого количества гноя в плевральной полости может образоваться также плевроторакальный свищ.
Хроническая эмпиема приводит к развитию амилоидоза внутренних органов. При гнойном плеврите имеются выраженные сдвиги со стороны лейкограммы и протеинограммы, развивается гипохромная анемия. В гнойном экссудате в 90% случаев находят микобактерии туберкулеза.
Ассоциированные симптомы: Базофилия. Боль в груди слева. Боль в грудной клетке. Высокая температура тела. Гиперкальциемия. Глубокий сухой кашель. Кашель. Лейкоцитоз. Мокрота. Моноцитоз. Недомогание. Нейтрофилез. Ночная потливость у мужчин. Одышка. Озноб. Покалывание в груди. Потливость. Субфебрильная температура. Эозинофилия.
|
|
Причины
Возбудителями туберкулёза являются микобактерии - кислотоустойчивые бактерии рода Mycobacterium. Всего известно 74 вида таких микобактерий. Они широко распространены в почве, воде, среди людей и животных. Однако туберкулёз у человека вызывает условно выделенный комплекс M. tuberculosis, включающий в себя Mycobacterium tuberculosis (человеческий вид), Mycobacterium bovis (бычий вид), Mycobacterium africanum, Mycobacterium bovis вCG (БЦЖ-штамм), Mycobacterium microti, Mycobacterium canetti. В последнее время к нему отнесены Mycobacterium pinnipedii, Mycobacterium caprae, филогенетически имеющие отношение к Mycobacterium microti и Mycobacterium bovis. Основной видовой признак микобактерии туберкулёза (МБТ) - патогенность, которая проявляется в вирулентности. Вирулентность может существенно изменяться в зависимости от факторов внешней среды и по-разному проявляться в зависимости от состояния макроорганизма, который подвергается бактериальной агрессии.
Туберкулёз у людей чаще всего возникает при заражении человеческим и бычьим видами возбудителя. Выделение M. bovis отмечается преимущественно у жителей сельской местности, где путь передачи в основном алиментарный. Отмечается также птичий туберкулез, который встречается преимущественно у иммунодефицитных носителей.
МБТ относятся к прокариотам (в их цитоплазме нет высокоорганизованных органелл аппарата Гольджи, лизосом). Отсутствуют также характерные для части прокариотов плазмиды, обеспечивающие для микроорганизмов динамику генома.
Форма - слегка изогнутая или прямая палочка 1-10 мкм × 0,2-0,6 мкм. Концы слегка закруглены. Обычно они длинные и тонкие, но возбудители бычьего вида более толстые и короткие.
МБТ неподвижны, не образуют микроспор и капсул.
В бактериальной клетке дифференцируется:
- микрокапсула - стенка из 3-4 слоёв толщиной 200-250 нм, прочно связана с клеточной стенкой, состоит из полисахаридов, защищает микобактерию от воздействия внешней среды, не обладает антигенными свойствами, но проявляет серологическую активность;
- клеточная стенка - ограничивает микобактерию снаружи, обеспечивает стабильность размеров и формы клетки, механическую, осмотическую и химическую защиту, включает факторы вирулентности - липиды, с фосфатидной фракцией которых связывают вирулентность микобактерий;
- гомогенная бактериальная цитоплазма;
- цитоплазматическая мембрана - включает липопротеиновые комплексы, ферментные системы, формирует внутрицитоплазматическую мембранную систему (мезосому);
- ядерная субстанция - включает хромосомы и плазмиды.
Белки (туберкулопротеиды) являются главными носителями антигенных свойств МБТ и проявляют специфичность в реакциях повышенной чувствительности замедленного типа. К этим белкам относится туберкулин. С полисахаридами связано обнаружение антител в сыворотке крови больных туберкулёзом. Липидные фракции способствуют устойчивости микобактерий к кислотам и щелочам.
Mycobacterium tuberculosis - аэроб, Mycobacterium bovis и Mycobacterium africanum - аэрофилы.
В пораженных туберкулёзом органах (лёгкие, лимфатические узлы, кожа, кости, почки, кишечник и ) развивается специфическое «холодное» туберкулёзное воспаление, носящее преимущественно гранулематозный характер и приводящее к образованию множественных бугорков со склонностью к распаду.
Туберкулёз у людей чаще всего возникает при заражении человеческим и бычьим видами возбудителя. Выделение M. bovis отмечается преимущественно у жителей сельской местности, где путь передачи в основном алиментарный. Отмечается также птичий туберкулез, который встречается преимущественно у иммунодефицитных носителей.
МБТ относятся к прокариотам (в их цитоплазме нет высокоорганизованных органелл аппарата Гольджи, лизосом). Отсутствуют также характерные для части прокариотов плазмиды, обеспечивающие для микроорганизмов динамику генома.
Форма - слегка изогнутая или прямая палочка 1-10 мкм × 0,2-0,6 мкм. Концы слегка закруглены. Обычно они длинные и тонкие, но возбудители бычьего вида более толстые и короткие.
МБТ неподвижны, не образуют микроспор и капсул.
В бактериальной клетке дифференцируется:
- микрокапсула - стенка из 3-4 слоёв толщиной 200-250 нм, прочно связана с клеточной стенкой, состоит из полисахаридов, защищает микобактерию от воздействия внешней среды, не обладает антигенными свойствами, но проявляет серологическую активность;
- клеточная стенка - ограничивает микобактерию снаружи, обеспечивает стабильность размеров и формы клетки, механическую, осмотическую и химическую защиту, включает факторы вирулентности - липиды, с фосфатидной фракцией которых связывают вирулентность микобактерий;
- гомогенная бактериальная цитоплазма;
- цитоплазматическая мембрана - включает липопротеиновые комплексы, ферментные системы, формирует внутрицитоплазматическую мембранную систему (мезосому);
- ядерная субстанция - включает хромосомы и плазмиды.
Белки (туберкулопротеиды) являются главными носителями антигенных свойств МБТ и проявляют специфичность в реакциях повышенной чувствительности замедленного типа. К этим белкам относится туберкулин. С полисахаридами связано обнаружение антител в сыворотке крови больных туберкулёзом. Липидные фракции способствуют устойчивости микобактерий к кислотам и щелочам.
Mycobacterium tuberculosis - аэроб, Mycobacterium bovis и Mycobacterium africanum - аэрофилы.
В пораженных туберкулёзом органах (лёгкие, лимфатические узлы, кожа, кости, почки, кишечник и ) развивается специфическое «холодное» туберкулёзное воспаление, носящее преимущественно гранулематозный характер и приводящее к образованию множественных бугорков со склонностью к распаду.
Лечение
Антибактериальная терапия туберкулезных плевритов - основной метод лечения. В острый период заболевания показаны постельный режим, полноценное питание с ограничением углеводов, соли и жидкости, пища должна быть богата белками, жирами и витаминами (особенно витамином С).
Эффективность лечения повышается при применении кортикостероидных гормонов в начальной фазе заболевания в течение 3-4 нед. В период рассасывания плеврита назначаются лечение электрофорезом с препаратами кальция и дыхательная гимнастика.
При гнойном плеврите необходимы систематические и частые эвакуации гноя с промыванием плевральной полости и введением антибиотиков в полость плевры. Лечение больных хронической туберкулезной или смешанной эмпиемой сложное. При отсутствии эффекта от терапевтических методов, особенно при наличии бронхиального свища, целесообразно хирургическое лечение.
Эффективность лечения повышается при применении кортикостероидных гормонов в начальной фазе заболевания в течение 3-4 нед. В период рассасывания плеврита назначаются лечение электрофорезом с препаратами кальция и дыхательная гимнастика.
При гнойном плеврите необходимы систематические и частые эвакуации гноя с промыванием плевральной полости и введением антибиотиков в полость плевры. Лечение больных хронической туберкулезной или смешанной эмпиемой сложное. При отсутствии эффекта от терапевтических методов, особенно при наличии бронхиального свища, целесообразно хирургическое лечение.