Продолжая работу с сайтом, вы разрешаете использование сookies и соглашаетесь с политикой конфиденциальности.
.,о.,р..и.:г,.и.,н.;н.,а;,л.. .,н.:а,.х.,о.,д.;и.,т..с.:я,, ..н.;а., .,k;,i..b.:e,;r.,i.,s.,.;.r.:u,

Хронический эзофагит

ДобавьАналогиСравни
Используемые препараты: ... скрыть
 
Фарм. гр. Вещество Препараты
Ранитидин | | |
Роксатидин
Циметидин | |
Карбальдрат
Магния оксид
Алгелдрат + Магния гидроксид
Лансопразол | |
Омепразол | | | | | | | | | |
Домперидон + Омепразол
Бензокаин
Алюминия фосфат
Магния карбонат
Отилония бромид
Лечат в 4758 клиниках 165 городов
X
X
Нужен: терапевт, 1 анализ, 2 услуги
Москва, ул. Большая Серпуховская, д. 16/15, стр. 1, 2, 5 +7(495..показать+7(495) 104-88-01, +7(495) 407-73-61 от 980₽
Нижний Новгород, ул. Таллинская, д. 8В, корп. 2 +7(831..показать+7(495) 104-88-01, +7(831) 248-53-86 от 1105₽
Петергоф, ул. Константиновская, д. 1 +7(812..показать+7(495) 104-88-01, +7(812) 409-75-20, +7(812) 409-77-15, +7(812) 409-75-60 от 1300₽
Москва, ул. Алабяна, д. 13, корп. 1 +7(495..показать+7(495) 104-88-01, +7(495) 407-73-61 от 1300₽
Екатеринбург, ул. Юлиуса Фучика, д. 1 +7(343..показать+7(495) 104-88-01, +7(343) 288-23-85, +7(950) 641-54-28 от 1480₽
Екатеринбург, ул. Тверитина, д. 46 +7(343..показать+7(495) 104-88-01, +7(343) 288-23-83, +7(904) 179-02-22 от 1480₽
Екатеринбург, ул. Агрономическая, д. 6А +7(343..показать+7(495) 104-88-01, +7(343) 305-22-25, +7(922) 032-38-98 от 1605₽
Екатеринбург, ул. Надеждинская, д. 9А +7(343..показать+7(495) 104-88-01, +7(343) 204-95-05, +7(343) 310-93-56, +7(343) 310-95-30 от 1769₽
Казань, Сибирский тракт, д. 34, корп. 5 +7(843..показать+7(495) 104-88-01, +7(843) 520-20-20, +7(843) 510-96-88 от 1800₽
Казань, ул. Юлиуса Фучика, д. 91А +7(843..показать+7(495) 104-88-01, +7(843) 520-20-20 от 1800₽
Ещё 4748 клиник
  1. МКБ-10 коды
  2. Описание
  3. Клиническая картина
  4. Причины
  5. Патогенез
  6. Лечение
  7. Профилактика
  8. Похожие заболевания
  9. Связанные стандарты мед. помощи
  10. Основные медицинские услуги
  11. Клиники для лечения

Другие названия и синонимы

Chronic esophagitis.
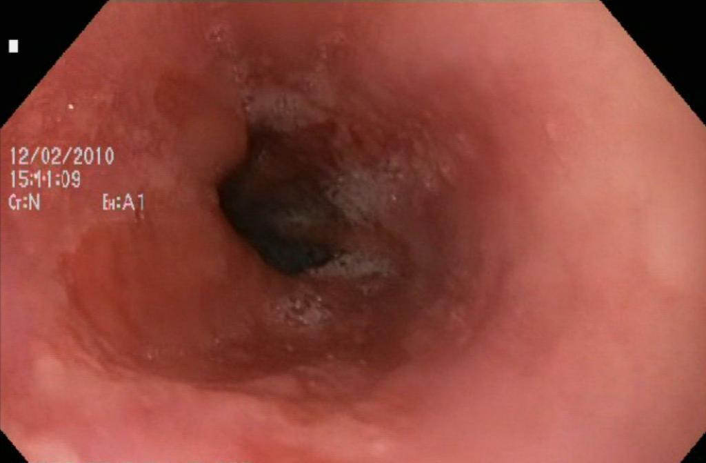
ЭФГДС при хроническом эзофагите

МКБ-10 коды

Описание

 Хронический эзофагит - воспаление слизистой оболочки пищевода продолжительностью более 6 месяцев. Наиболее распространенным вариантом этого заболевания является пептический эзофагит (рефлюкс-эзофагит).

Клиническая картина

 Клиническая картина хронического эзофагита обусловлена как воспалительными изменениями со стороны слизистой оболочки пищевода, так и сопутствующей дискинезией пищевода и теми ситуациями, которые послужили причиной развития хронического процесса. Основными симптомами хронического эзофагита являются:
 Дисфагия;
 Боли;
 Изжога;
 Регургитация (пищеводная рвота);
 Отрыжка;
 Рвота.
 Дисфагия при хроническом эзофагите носит приступообразный характер и проявляется затруднением прохождения в основном жидкой пищи.
 Боли локализуются преимущественно за грудиной, могут иррадиировать в нижнюю челюсть, шею и межлопаточную область. Характернейшая особенность болей при хроническом эзофагите - их связь с приемом пищи и сочетание с дифагией. Изжога обычно возникает после еды, особенно после приема жирной и острой пищи, томатов, шоколада, алкоголя, а также после курения. Она может усиливаться в горизонтальном положении больного, при наклоне туловища вперед, при метеоризме, подъеме тяжестей, ношении тугого пояса.
 Регургитация (пищеводная рвота) наблюдается при застойных эзофагитах, при этом может быть аспирация пищевых масс.
 Отрыжка может быть кислым, горьким, а также съеденной пищей. Обычно отрыжка наблюдается при гастроэзофагеальном рефлюксе. Рвота достаточно часто наблюдается при хроническом эзофагите, особенно при алкогольном поражении пищевода и обычно по утрам ( утренняя рвота алкоголиков ). Чаще всего рвотные массы богаты слизью, но иногда имеется и примесь пищи. Упорная рвота может привести к надрывам воспаленной слизистой и вызвать кровотечение.
 Выделяют несколько стадий в развитии хронического эзофагита:
 I стадия - отек и гиперемия слизистой, наличие большого количества слизи;
 II стадия - появление единичных эрозий на фоне отека, гиперемия слизистой оболочки пищевода;
 III стадия - многочисленные эрозии и легкая кровоточивость слизистой оболочки пищевода на фоне выраженного отека и гиперемии слизистой оболочки пищевода;
 IV стадия - эрозии распространяются по всему пищеводу, отмечаются контактная (при прикосновении эндоскопа) кровоточивость, отек, гиперемия слизистой оболочки пищевода, наличие вязкой слизи в виде налета, иногда с желтоватым оттенком.
 При рентгеноскопии характерными признаками хронического эзофагита являются отечность складок слизистой оболочки, неровность контуров пищевода, наличие большого количества слизи. При наличии эрозий слизистой оболочки пищевода обнаруживаются округлые или овальные полоски депо бария размером 0,5-1,0.
 Ассоциированные симптомы: Боль в грудной клетке. Боль в спине между лопатками. Боль в шее спереди. Боль за грудиной. Изжога. Отрыжка. Потеря веса. Рвота. Тошнота.

Причины

 Хронический эзофагит может возникать при постоянной травматизации пищевода алиментарным фактором (прием горячей, слишком холодной или грубой пищи, злоупотреблением алкоголем). Застойные эзофагиты обусловлены постоянным и длительным застоем и разложением пищи при дивертикулах, доброкачественных и злокачественных стенозах пищевода, а также могут развиваться при ахалазии кардии и постоянном воздействии на слизистую оболочку пищевода вредных производственных факторов (солей тяжелых металлов, щелочей, кислот ). В последнем случае возможно развитие профессионального эзофагита. Аллергические факторы способствуют развитию аллергического эзофагита.
 При полигиповитаминозах, тканевой гипоксии любого генеза, портальной гипертензии (в связи с нарушением трофики слизистой оболочки пищевода) развиваются диетологические эзофагиты.
 Рефлюкс-эзофагит (пептический эзофагит) связан с постоянным забросом в пищевод желудочного или дуоденального содержимого.
 Травмы и инородные тела могут также служить причиной развития хронического эзофагита, так как обычно к последствиям травмы присоединяется инфекционно-воспалительный процесс.
 Ряд специфических заболеваний (туберкулез, сифилис, кандидомикоз) могут привести к развитию специфического эзофагита, хотя последний встречается в практике довольно редко.

Патогенез

 Патогенез хронического эзофагита заключается в повреждающем влиянии этиологических факторов на слизистую оболочку пищевода, снижении ее защитных свойств и резистентности, нарушении равновесия между агрессивными факторами желудочного сока и барьерными функциями слизистой.

Лечение

 Лечение хронического эзофагита строится на тех же принципах, что и лечение острого эзофагита, и отличается только длительностью (до полного исчезновения воспалительного процесса).

Профилактика

 Профилактика хронического эзофагита включает рациональное питание (исключение всех алиментарных погрешностей, вызывающих эзофагит); при профессиональных вредностях необходима особая осторожность при работе с кислотами и щелочами, источниками ионизирующего излучения, своевременное и адекватное лечение основных и специфических заболеваний, борьба с гипо- и авитаминозами, длительным застоем пищи в пищеводе.

Похожие заболевания

Связанные стандарты мед. помощи

42a96bb5c8a2acfb07fc866444b97bf1
Доступно только при использовании PRO аккаунта
Модератор контента: Васин А.С.


  1. Киберис НЕ является интернет-магазином и НЕ осуществляет закупку, хранение, продажу и доставку препаратов. Ресурс выступает лишь в роли посредника между вами и производителем препаратов или аптечными пунктами, которые и осуществляют поставку.
  2. На Киберис размещены описания препаратов, часть из которых предназначена только для врачей. Данная информация не может быть использована пациентами для принятия решения об использовании препаратов, их отмене или коррекции дозировок.
  3. Ничто в представленной информации не должно быть истолковано как призыв использовать данные препараты.
  4. К Киберис не могут быть обращены претензии по поводу любого ущерба или вреда, понесенного в результате использования размещенной на сайте информации.