Продолжая работу с сайтом, вы разрешаете использование сookies и соглашаетесь с политикой конфиденциальности.
.,о.,р..и.:г,.и.,н.;н.,а;,л.. .,н.:а,.х.,о.,д.;и.,т..с.:я,, ..н.;а., .,k;,i..b.:e,;r.,i.,s.,.;.r.:u,

Хронический персистирующий гепатит

ДобавьАналогиСравни
Используемые препараты: ... скрыть
 
Фарм. гр. Вещество Препараты
Инозин
Аскорбиновая кислота
Морфолиний-метил-триазолил-тиоацетат
Расторопши пятнистой плодов экстракт | | | | |
Преднизолон
Метилпреднизолон
Кукурузы столбики с рыльцами
Фосфолипиды
Дексаметазон
Лечат в 3063 клиниках 134 городов
X
X
Нужен: гастроэнтеролог, 3 анализа, 2 услуги
Нижний Новгород, ул. Таллинская, д. 8В, корп. 2 +7(831..показать+7(495) 104-88-01, +7(831) 248-53-86 от 2750₽
Новосибирск, ул. Кошурникова, д. 8 +7(383..показать+7(495) 104-88-01, +7(383) 311-02-11 от 3139₽
Казань, ул. Чистопольская, д. 38 +7(843..показать+7(495) 104-88-01, +7(843) 291-00-19 от 3280₽
Казань, ул. Космонавтов, д. 16 +7(843..показать+7(495) 104-88-01, +7(843) 291-00-19 от 3280₽
Москва, ул. Часовая, д. 20 +7(495..показать+7(495) 104-88-01, +7(495) 925-02-02, +7(499) 151-43-34 от 3766₽
Екатеринбург, ул. Уральская, д. 57, корп. 2 +7(343..показать+7(495) 104-88-01, +7(343) 288-52-00 от 3820₽
Екатеринбург, ул. Чекистов, д. 16 +7(343..показать+7(495) 104-88-01, +7(343) 288-52-00 от 3820₽
Нижний Новгород, ул. Белинского, д. 106Б +7(831..показать+7(495) 104-88-01, +7(831) 215-30-15, +7(910) 396-87-07 от 3910₽
Ростов-на-Дону, ул. 1-я линия, д. 6 +7(800..показать+7(495) 104-88-01, +7(800) 234-74-40 от 3978₽
Ростов-на-Дону, ул. 13-я Линия, д. 8 +7(863..показать+7(495) 104-88-01, +7(863) 309-37-71 от 4000₽
Ещё 3053 клиники
  1. МКБ-10 коды
  2. Описание
  3. Клиническая картина
  4. Причины
  5. Лечение
  6. Похожие заболевания
  7. Основные медицинские услуги
  8. Клиники для лечения

Другие названия и синонимы

Chronic persistent hepatitis.
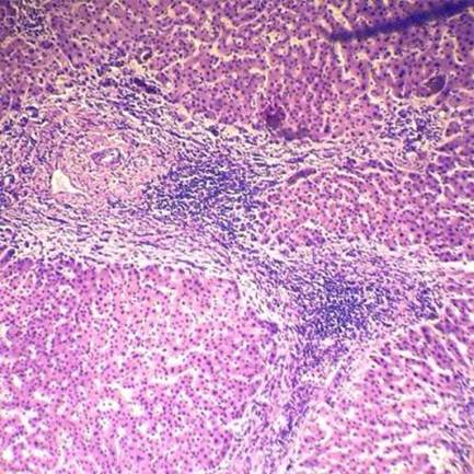
Хронический персистирующий гепатит (гистологический препарат)

МКБ-10 коды

Описание

 Хронический персистирующий гепатит / Малоактивный гепатит - это наиболее доброкачественная форма. Могут быть жалобы на незначительные ноющие боли или тяжесть в правом подреберье, непостоянную общую слабость, утомляемость.

Клиническая картина

 Течение хронического персистирующего гепатита / малоактивного гепатитамноголетнее, не прогрессирует. Малоактивный (персистирующий) гепатит протекает бессимптомно или с незначительными симптомами, изменения лабораторных показателей также незначительны. Обострения процесса нехарактерны. Часто больные не ощущают своего заболевания, жалобы полностью отсутствуют. Печень незначительно увеличена, слабо болезненная, редко увеличена селезенка, желтухи не бывает. В период обострения возможны явления диспепсии, тошнота, незначительный болевой синдром. Изменения в биохимическом анализе крови - повышение трансаминаз, тимоловой пробы только в период обострения.

Причины

 Этиологическими факторами являются вирусы гепатита В или С. Причиной хронического персистирующего гепатита могут быть воздействие алкоголя, экзогенных токсинов, медикаментов. Характерных клинических и функциональных критериев нет, лишь комплексное исследование позволяет заподозрить у больного хронический персистирующий гепатит.

Лечение

 При рациональном образе жизни (диета, запрет алкоголя) возможно выздоровление. Питание должно быть 4-х разовое с полным исключением грибов, консервированных, копченых и вяленых продуктов, жареных блюд, изделий из шоколада, крема и сдобного теста, спиртного, ограничить употребление животных жиров (жирные сорта мяса, утка, гусь, свинина). 1-2 раза в год курсы витаминотерапии (группа В, аскорбиновая кислота, рутин) . Рекомендуется творог (ежедневно до 100-150 г), неострые сорта сыра, нежирные сорта рыбы в отварном виде (треска и ). Не рекомендуется прием желчегонных препаратов. Один раз в 6-12 месяцев больному проводить исследование крови на печеночные пробы.

Похожие заболевания

42a96bb5c8a2acfb07fc866444b97bf1
Доступно только при использовании PRO аккаунта
Модератор контента: Васин А.С.


  1. Киберис НЕ является интернет-магазином и НЕ осуществляет закупку, хранение, продажу и доставку препаратов. Ресурс выступает лишь в роли посредника между вами и производителем препаратов или аптечными пунктами, которые и осуществляют поставку.
  2. На Киберис размещены описания препаратов, часть из которых предназначена только для врачей. Данная информация не может быть использована пациентами для принятия решения об использовании препаратов, их отмене или коррекции дозировок.
  3. Ничто в представленной информации не должно быть истолковано как призыв использовать данные препараты.
  4. К Киберис не могут быть обращены претензии по поводу любого ущерба или вреда, понесенного в результате использования размещенной на сайте информации.