Продолжая работу с сайтом, вы разрешаете использование сookies и соглашаетесь с политикой конфиденциальности.
.,о.,р..и.:г,.и.,н.;н.,а;,л.. .,н.:а,.х.,о.,д.;и.,т..с.:я,, ..н.;а., .,k;,i..b.:e,;r.,i.,s.,.;.r.:u,

Стеноз пищевода

ДобавьАналогиСравни
Используемые препараты: ... скрыть
 
Фарм. гр. Вещество Препараты
Дротаверин
Лечат в 4683 клиниках 161 города
X
X
Нужен: онколог, 4 услуги
Волгоград, ул. Автотранспортная, д. 75 +7(844..показать+7(495) 104-88-01, +7(844) 243-55-43, +7(844) 253-40-00 от 3005₽
Казань, ул. Академика Глушко, д. 15А +7(843..показать+7(495) 104-88-01, +7(843) 205-23-25 от 3400₽
Казань, пр-т Ямашева, д. 54, корп. 1 +7(843..показать+7(495) 104-88-01, +7(843) 205-23-25 от 3400₽
Воскресенск, Больничный пр-д, д. 1 +7(496..показать+7(495) 104-88-01, +7(496) 449-74-23, +7(496) 442-13-86, +7(496) 442-12-91 от 3435₽
Волгоград, ул. 8-й Воздушной Армии, д. 11Б +7(844..показать+7(495) 104-88-01, +7(844) 232-66-66, +7(937) 103-10-10 от 3480₽
Казань, ул. Чистопольская, д. 38 +7(843..показать+7(495) 104-88-01, +7(843) 291-00-19 от 3860₽
Казань, ул. Космонавтов, д. 16 +7(843..показать+7(495) 104-88-01, +7(843) 291-00-19 от 3860₽
Екатеринбург, ул. Донбасская, д. 6 +7(343..показать+7(495) 104-88-01, +7(343) 333-51-21 от 3900₽
Нижний Новгород, ул. Таллинская, д. 8В, корп. 2 +7(831..показать+7(495) 104-88-01, +7(831) 248-53-86 от 3950₽
Уфа, ул. Карла Маркса, д. 69 +7(347..показать+7(495) 104-88-01, +7(347) 292-70-07 от 4200₽
Ещё 4673 клиники
  1. МКБ-10 коды
  2. Описание
  3. Клиническая картина
  4. Причины
  5. Лечение
  6. Похожие заболевания
  7. Связанные стандарты мед. помощи
  8. Основные медицинские услуги
  9. Клиники для лечения

Другие названия и синонимы

Esophageal stenosis, стриктура пищевода, Esophageal stricture.
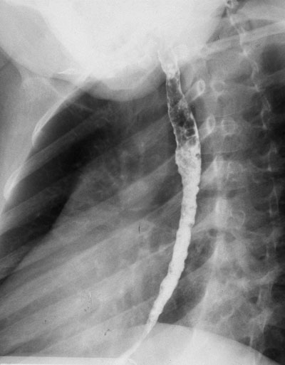
Выраженный стеноз пищевода на ФЭГС

МКБ-10 коды

Описание

 Стриктура пищевода - сужение пищевода, часто вызванное воздействием кислотного содержимого желудка, забрасываемого в пищевод.

Клиническая картина

 Основным симптомом стриктуры пищевода является дисфагия, которая нередко сочетается с изжогой, кислой и горькой отрыжкой. Быстро прогрессирующая дисфагия (менее 3 мес) с потерей массы тела более характерна для рака пищевода.
 С целью уточнения диагноза первоначально проводится исследование грудной клетки и пищевода, далее - эзофаго-гастроскопия.
 На основании эндоскопической картины по выраженности сужения пищевода выделяют 4 степени и столько же по клинике синдрома дисфалгии (0 - нормальное глотание; 1 - периодические затруднения при прохождении твердой пиши; 2 - питание полужидкой пищей: 3 - питание только жидкой пищей; 4 - невозможность проглотить слюну). При этом учитывают также протяженность рубцового стеноза пищевода, так как от этого нередко зависит успешность неоперативного расширения стриктуры и адекватного восстаноатения перо-рального питания.

Причины

 Чаще всего причиной возникновения стриктуры (сужения) пищевода являются эрозивно-язвенный рефлюкс-эзофагит, прием нестероидных противовоспалительных препаратов, реже - последствия ожогов и других повреждений пищевода, включая лучевую терапию по поводу рака молочной железы, бронхов или пищевода (стенозы, возникающие после рентгенотерапии опухолей пищевода, обычно всегда связаны с рецидивом опухоли).

Лечение

 В терапии таких больных в настоящее время используется эндоскопическая дилатаиия. Если после чепешной процедуры симптомы рецидивируют в первые 4 недели, то следует предполагать карциному. Наряду с эндоскопической дилата-цией пищевода влечении этих больных, по показаниям, могут использоваться антпескрегорные препараты, особенно омепразол (лосек) - по 20 мг/ в течение 4 недель.

Похожие заболевания

Связанные стандарты мед. помощи

42a96bb5c8a2acfb07fc866444b97bf1
Доступно только при использовании PRO аккаунта
Модератор контента: Васин А.С.


  1. Киберис НЕ является интернет-магазином и НЕ осуществляет закупку, хранение, продажу и доставку препаратов. Ресурс выступает лишь в роли посредника между вами и производителем препаратов или аптечными пунктами, которые и осуществляют поставку.
  2. На Киберис размещены описания препаратов, часть из которых предназначена только для врачей. Данная информация не может быть использована пациентами для принятия решения об использовании препаратов, их отмене или коррекции дозировок.
  3. Ничто в представленной информации не должно быть истолковано как призыв использовать данные препараты.
  4. К Киберис не могут быть обращены претензии по поводу любого ущерба или вреда, понесенного в результате использования размещенной на сайте информации.