Другие названия и синонимы
Osteopenia of premature babies.
Описание
Остеопения недоношенных. Это нарушение роста и минерализации костей из-за недостатка кальция и фосфора в организме новорожденного. Заболевание обусловлено особенностями минерального обмена во внутриутробном периоде в сочетании с материнскими и ятрогенными факторами. Заболевание проявляется медленным ростом в длину тела, нарушением дыхания, патологическими переломами. Для диагностики проводят рентгенографию и остеоденситометрию, биохимические исследования крови и мочи. Лечение остеопении требует коррекции энтерального питания, заместительной терапии препаратами фосфатов, кальция и витамина D.
|
|
Дополнительные факты
Остеопения недоношенных относится к группе метаболических заболеваний костей. Рахит недоношенных и задержка роста также попадают в эту категорию. У малышей, родившихся до 32-й недели гестации, патология встречается в 20% случаев. Теоретически все дети с массой тела при рождении менее 1500 г могут иметь признаки поражения костей. Остеопения является актуальной проблемой современной педиатрии и неонатологии, что связано с увеличением числа преждевременных родов и совершенствованием протоколов грудного вскармливания недоношенных детей.
Причины
Основным фактором развития остеопении недоношенных является преждевременное рождение ребенка. Чем ниже гестационный возраст младенца и меньше масса тела при рождении, тем выше риск развития заболевания. По данным рентгенологического исследования установлено, что у детей с массой тела 1000-1500 г признаки поражения костей наблюдаются в 23-30% случаев, менее 1000 г - в 50-55% случаев. Развитию остеопении способствуют следующие отягчающие состояния:
• Длительное парентеральное питание. Питательные растворы для инфузий, которые вводят недоношенным детям в реанимационном отделении, часто имеют несбалансированный состав микроэлементов. Ребенок недополучает фосфатов, что приводит к нарушению минерального обмена у него.
• Неадекватное энтеральное питание. Нарушения минерализации костей усугубляются при длительном применении гидролизатов молочной сыворотки для доношенных новорожденных или сцеженного грудного молока. Эти продукты не в состоянии удовлетворить повышенные потребности в питании недоношенного ребенка.
• Низкая физическая активность. Механическая стимуляция при активных движениях является необходимым пусковым механизмом для развития и созревания костной ткани. У глубоконедоношенных детей активность снижена из-за неврологических нарушений, угнетения мышечного тонуса и необходимости длительного грудного вскармливания в закрытых боксах.
• Прием лекарств. Остеопения недоношенного ребенка чаще всего выявляется у детей, которым по медицинским показаниям требуется назначение кортикостероидов, диуретиков, метилксантинов. Лекарственные препараты используются для коррекции критических состояний неонатального периода, и их существенным побочным эффектом является повышенное выведение кальция из организма.
• Генетические факторы. Существуют гены, которые способствуют развитию метаболического заболевания костей (Era) или предотвращают его возникновение (VDR6 сOLIA1). При их полиморфизме характерно более длительное и тяжелое течение остеопении недоношенных.
• Материнские факторы. Риск развития остеопении повышается при дефиците у беременной витамина D и кальция, несбалансированном питании, чрезмерных физических нагрузках в третьем триместре. Формированию заболевания способствуют поздний гестоз, хронические соматические патологии у матери.
• Длительное парентеральное питание. Питательные растворы для инфузий, которые вводят недоношенным детям в реанимационном отделении, часто имеют несбалансированный состав микроэлементов. Ребенок недополучает фосфатов, что приводит к нарушению минерального обмена у него.
• Неадекватное энтеральное питание. Нарушения минерализации костей усугубляются при длительном применении гидролизатов молочной сыворотки для доношенных новорожденных или сцеженного грудного молока. Эти продукты не в состоянии удовлетворить повышенные потребности в питании недоношенного ребенка.
• Низкая физическая активность. Механическая стимуляция при активных движениях является необходимым пусковым механизмом для развития и созревания костной ткани. У глубоконедоношенных детей активность снижена из-за неврологических нарушений, угнетения мышечного тонуса и необходимости длительного грудного вскармливания в закрытых боксах.
• Прием лекарств. Остеопения недоношенного ребенка чаще всего выявляется у детей, которым по медицинским показаниям требуется назначение кортикостероидов, диуретиков, метилксантинов. Лекарственные препараты используются для коррекции критических состояний неонатального периода, и их существенным побочным эффектом является повышенное выведение кальция из организма.
• Генетические факторы. Существуют гены, которые способствуют развитию метаболического заболевания костей (Era) или предотвращают его возникновение (VDR6 сOLIA1). При их полиморфизме характерно более длительное и тяжелое течение остеопении недоношенных.
• Материнские факторы. Риск развития остеопении повышается при дефиците у беременной витамина D и кальция, несбалансированном питании, чрезмерных физических нагрузках в третьем триместре. Формированию заболевания способствуют поздний гестоз, хронические соматические патологии у матери.
Патогенез
Формирование остеопении недоношенных обусловлено необычными закономерностями кальциево-фосфорного обмена. Большинство питательных веществ накапливается в организме плода равномерно в линейной зависимости: чем выше срок гестации новорожденного, тем выше концентрация минеральных веществ в крови. Наоборот, создание запасов кальция и фосфора начинается с 33-34-й недели беременности и протекает опережающими темпами (по экспоненциальной зависимости).
В первый год жизни ребенка рост скелета происходит за счет доступных запасов питательных веществ и сопровождается снижением плотности костной ткани. На фоне снижения минерализации костей на 25-70% процессы роста усугубляют имеющуюся проблему. Незрелость пищеварительной системы, характерная для недоношенных, снижает возможность экзогенного поступления минералов, поэтому процессы восстановления кальциево-фосфорного обмена задерживаются.
Недоношенный ребенок.
В первый год жизни ребенка рост скелета происходит за счет доступных запасов питательных веществ и сопровождается снижением плотности костной ткани. На фоне снижения минерализации костей на 25-70% процессы роста усугубляют имеющуюся проблему. Незрелость пищеварительной системы, характерная для недоношенных, снижает возможность экзогенного поступления минералов, поэтому процессы восстановления кальциево-фосфорного обмена задерживаются.
Недоношенный ребенок.
Клиническая картина
Метаболические изменения развиваются с первых дней жизни новорожденного, но клинические признаки появляются в среднем через 6-8 недель, что соответствует уточненным 38-40 неделям гестационного возраста. Остеопения характеризуется бессимптомным течением или неспецифической задержкой физического развития, характерной для недоношенных детей.
Первыми симптомами остеопении у недоношенных детей обычно являются нарушения дыхания: одышка, кряхтение или задыхающиеся стоны, потребность в длительной кислородной поддержке. Симптомы связаны с гипотонией межреберных мышц, слабостью в грудной клетке, уменьшением объема легких при вдохе. При осмотре выявляют краниотабес, размягчение краев родничка, разрастание эпифизов.
Поздние клинические проявления остеопении обусловлены длительным минеральным дефицитом. Дети отстают от своих сверстников в росте, для них характерна сниженная мышечная сила. На этом фоне замедляется моторное развитие: сидение, стояние, ходьба. Из-за мягкости и хрупкости костной ткани могут возникать различные деформации скелета, в том числе формирование головы неправильной формы с уплощенным черепом.
Ассоциированные симптомы: Одышка.
Первыми симптомами остеопении у недоношенных детей обычно являются нарушения дыхания: одышка, кряхтение или задыхающиеся стоны, потребность в длительной кислородной поддержке. Симптомы связаны с гипотонией межреберных мышц, слабостью в грудной клетке, уменьшением объема легких при вдохе. При осмотре выявляют краниотабес, размягчение краев родничка, разрастание эпифизов.
Поздние клинические проявления остеопении обусловлены длительным минеральным дефицитом. Дети отстают от своих сверстников в росте, для них характерна сниженная мышечная сила. На этом фоне замедляется моторное развитие: сидение, стояние, ходьба. Из-за мягкости и хрупкости костной ткани могут возникать различные деформации скелета, в том числе формирование головы неправильной формы с уплощенным черепом.
Ассоциированные симптомы: Одышка.
Возможные осложнения
До 10% младенцев с остеопенией имеют переломы конечностей, возникающие во время обычных медицинских процедур или ухода за ребенком. Клинически они проявляются местной припухлостью и болью, беспокойством новорожденного при неосторожном прикосновении к травмированному участку. Учитывая неспецифичность симптомов, многие случаи травмы до рентгенологической диагностики ошибочно принимают за признаки остеомиелита.
При уровне фосфора менее 0,3 ммоль/л наблюдают дисфункцию ряда органов и глубокие нарушения обмена веществ. Диагностируется сердечно-легочная недостаточность, дисфагия, дисфункция лейкоцитов. В связи с усилением выведения кальция с мочой повышается риск развития дисметаболической нефропатии и мочекаменной болезни. В крайне тяжелых случаях наблюдается остеопения, острая почечная недостаточность, рабдомиолиз и гемолиз эритроцитов.
При уровне фосфора менее 0,3 ммоль/л наблюдают дисфункцию ряда органов и глубокие нарушения обмена веществ. Диагностируется сердечно-легочная недостаточность, дисфагия, дисфункция лейкоцитов. В связи с усилением выведения кальция с мочой повышается риск развития дисметаболической нефропатии и мочекаменной болезни. В крайне тяжелых случаях наблюдается остеопения, острая почечная недостаточность, рабдомиолиз и гемолиз эритроцитов.
Диагностика
Обследование недоношенных детей с подозрением на остеопению входит в обязанности неонатолога. Вначале производят тщательный сбор акушерского анамнеза и характера течения родов, после чего проводят клиническое обследование новорожденного, оценку функционального состояния основных систем органов. Для подтверждения метаболического заболевания костей назначают следующие виды исследований:
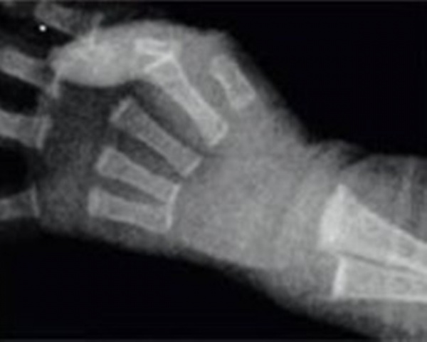
• Рентген костей. Видимые изменения на рентгенограммах определяются снижением плотности костной ткани на 20-40%. Характерные признаки остеопении недоношенного ребенка: «прозрачные» кости, расширенные и неровные края эпифизов, патологические переломы.
• Ультразвуковая денситометрия. Ультразвуковое сканирование определяет степень минерализации кости и толщину кортикального слоя. Исследование применяется повсеместно как альтернатива или дополнение к рентгенографии, так как не сопровождается лучевым воздействием на организм ребенка.
• Биохимический анализ крови. Остеопения недоношенных характеризуется снижением уровня фосфора менее 1,8 ммоль/л с одновременным повышением показателя щелочной фосфатазы в 5 и более раз от нормативных значений. Уровень кальция сохраняется в пределах нормы в течение длительного времени, поэтому не является диагностическим критерием.
• Исследование мочи. У всех недоношенных детей наблюдается повышенная экскреция микроэлементов с мочой, даже при снижении концентрации минералов в сыворотке. Диагностическое значение при остеопении имеет увеличение реабсорбции фосфатов более чем на 95%.
Прозрачность костей при остеопении.
• Рентген костей. Видимые изменения на рентгенограммах определяются снижением плотности костной ткани на 20-40%. Характерные признаки остеопении недоношенного ребенка: «прозрачные» кости, расширенные и неровные края эпифизов, патологические переломы.
• Ультразвуковая денситометрия. Ультразвуковое сканирование определяет степень минерализации кости и толщину кортикального слоя. Исследование применяется повсеместно как альтернатива или дополнение к рентгенографии, так как не сопровождается лучевым воздействием на организм ребенка.
• Биохимический анализ крови. Остеопения недоношенных характеризуется снижением уровня фосфора менее 1,8 ммоль/л с одновременным повышением показателя щелочной фосфатазы в 5 и более раз от нормативных значений. Уровень кальция сохраняется в пределах нормы в течение длительного времени, поэтому не является диагностическим критерием.
• Исследование мочи. У всех недоношенных детей наблюдается повышенная экскреция микроэлементов с мочой, даже при снижении концентрации минералов в сыворотке. Диагностическое значение при остеопении имеет увеличение реабсорбции фосфатов более чем на 95%.
Прозрачность костей при остеопении.
|
|
Лечение
Важную роль в коррекции минерального обмена играет рациональное вскармливание новорожденных. Необходим как можно более ранний переход с парентерального на энтеральное питание, если позволяет состояние ребенка. Для вскармливания детей раннего возраста с остеопенией до нормализации массы тела используют только обогащенное грудное молоко или специальные смеси с повышенным содержанием микроэлементов.
Большинству младенцев рекомендуются инъекции фосфатов в дозе до 2 ммоль/кг в день. Способ применения и дозировка рассчитывается врачом индивидуально с учетом показателей биохимии крови. Младенцам с очень низкой массой тела при рождении требуются низкие дозы кальция в дополнение к фосфату натрия. Если на фоне лечения электролитный состав крови остается неудовлетворительным, возможно применение повышенных доз витамина Д.
Поскольку иммобилизация негативно влияет на формирование костной ткани, рекомендуется постепенное развитие двигательной активности при грудном вскармливании новорожденных с преждевременной остеопенией. Некоторые исследования показывают хороший эффект от кратковременных пассивных упражнений (5-10 минут). Они способствуют укреплению мышц и правильному развитию скелета.
Большинству младенцев рекомендуются инъекции фосфатов в дозе до 2 ммоль/кг в день. Способ применения и дозировка рассчитывается врачом индивидуально с учетом показателей биохимии крови. Младенцам с очень низкой массой тела при рождении требуются низкие дозы кальция в дополнение к фосфату натрия. Если на фоне лечения электролитный состав крови остается неудовлетворительным, возможно применение повышенных доз витамина Д.
Поскольку иммобилизация негативно влияет на формирование костной ткани, рекомендуется постепенное развитие двигательной активности при грудном вскармливании новорожденных с преждевременной остеопенией. Некоторые исследования показывают хороший эффект от кратковременных пассивных упражнений (5-10 минут). Они способствуют укреплению мышц и правильному развитию скелета.
Прогноз
При своевременном начале терапии остеопении недоношенных уровень минерализации костной ткани восстанавливается к шестимесячному возрасту. В дальнейшем у доношенных детей могут отмечаться задержки в росте и физическом развитии, но к 5-6 годам показатели выравниваются. Профилактика заключается в улучшении акушерско-гинекологической помощи беременным, устранении факторов риска преждевременных родов и адекватном вскармливании новорожденных.
Список литературы
1. Детские болезни/ Н.П. Шабалов. 2017.
2. Остеопения (метаболическая болезнь костей) у недоношенных: возможности диагностики, лечения и профилактики/ Нароган М.В., Рюмина И.И., Степанов А.В. Неонатология: Новости. Мнения. Обучение. 2014. №3.
3. Остеопения недоношенных/ Сафина А.И. Вестник современной клинической медицины. 2013. №6.
4. Нарушение фосфорно-кальциевого обмена у детей: учебное пособие для студентов/ Гуцуляк С.А. 2009.
2. Остеопения (метаболическая болезнь костей) у недоношенных: возможности диагностики, лечения и профилактики/ Нароган М.В., Рюмина И.И., Степанов А.В. Неонатология: Новости. Мнения. Обучение. 2014. №3.
3. Остеопения недоношенных/ Сафина А.И. Вестник современной клинической медицины. 2013. №6.
4. Нарушение фосфорно-кальциевого обмена у детей: учебное пособие для студентов/ Гуцуляк С.А. 2009.