Другие названия и синонимы
Piosalpinx.
МКБ-10 коды
|
|
Описание
Пиосальпинкс. Замкнутое скопление гнойного экссудата в просвете фаллопиевой трубы вследствие облитерации ее маточной и ампулярной части. Пиосальпинкс характеризуется болями в нижних отделах живота, повышенной температурой тела, нередко - признаками острого живота. Диагноз пиосальпинкса устанавливается с помощью влагалищного исследования, УЗИ, УЗ-гистеросальпингоскопии, пункции заднего свода влагалища, диагностической лапароскопии. Лечение пиосальпинкса оперативное - вскрытие и санация фаллопиевой трубы или тубэктомия. При пиосальпинксе проводится интенсивная антибактериальная и дезинтоксикационная терапия, затем - физиолечение.
Дополнительные факты
Пиосальпинкс чаще всего является исходом острого сальпингита (сальпингоофорита). Воспалительные изменения приводят к облитерации (заращению) маточной и фимбриальной части фаллопиевой трубы с образованием в ней замкнутой мешотчатой полости, заполненной гнойным содержимым. При пиосальпинксе стенки маточной трубы растягиваются и утолщаются, слизистая постепенно атрофируется и замещается грануляционными тканями. Ампулярная часть маточной трубы обычно сращивается с соседними органами - сальником, яичником, петлями кишечника, телом матки, образуя с ними единый воспалительный конгломерат.
Гнойный секрет пиосальпинкса вначале жидкий, содержащий вирулентные микроорганизмы; со временем может становиться густым и асептическим. При вовлечении в процесс яичника в нем формируется абсцесс, а при гнойном расплавлении овариальной ткани - пиовар, который может сливаться с пиосальпинксом в единую полость - тубоовариальный абсцесс.
Протеолитическое действие гноя на капсулу сопровождается перфорацией пиосальпинкса. При разрыве стенок пиосальпинкса гной может изливаться в прямую кишку, мочевой пузырь, влагалище с образованием длительно не заживающего трубно-кишечного, трубно-пузырного или трубно-влагалищного свища; иногда прорыв гнойника происходит в свободную брюшную полость и полость малого таза с развитием диффузного перитонита или пельвиоперитонита.
Гнойный секрет пиосальпинкса вначале жидкий, содержащий вирулентные микроорганизмы; со временем может становиться густым и асептическим. При вовлечении в процесс яичника в нем формируется абсцесс, а при гнойном расплавлении овариальной ткани - пиовар, который может сливаться с пиосальпинксом в единую полость - тубоовариальный абсцесс.
Протеолитическое действие гноя на капсулу сопровождается перфорацией пиосальпинкса. При разрыве стенок пиосальпинкса гной может изливаться в прямую кишку, мочевой пузырь, влагалище с образованием длительно не заживающего трубно-кишечного, трубно-пузырного или трубно-влагалищного свища; иногда прорыв гнойника происходит в свободную брюшную полость и полость малого таза с развитием диффузного перитонита или пельвиоперитонита.
Причины
Причиной пиосальпинкса служит проникновение инфекционных агентов в маточную трубу с развитием в ней септического воспаления. Наиболее часто при пиосальпинксе выявляются стрептококки, кишечная палочка, стафилококки, гонококки, хламидии, микоплазмы, микобактерии туберкулеза, протеи, клебсиеллы, энтерококки, которые выступают изолированно или образуют микробные ассоциации.
Возбудители попадают в придатки восходящим путем - из влагалища, цервикального канала, тела матки; иногда проникают гематогенным или лимфогенным способом (при туберкулезе). Инфицирование часто развивается после хирургических абортов, диагностических выскабливаний, самопроизвольного прерывания беременности, родов; к развитию пиосальпинкса нередко приводит сальпингит или аднексит гонококковой или септической этиологии. К образованию пиосальпинкса предрасполагает использование ВМС, менструация, снижение реактивности организма.
Пиосальпинкс при септической инфекции чаще имеет одностороннюю локализацию, при гонококковой - двухстороннюю. По характеру течения пиосальпинкс может носить острый или хронический характер.
Возбудители попадают в придатки восходящим путем - из влагалища, цервикального канала, тела матки; иногда проникают гематогенным или лимфогенным способом (при туберкулезе). Инфицирование часто развивается после хирургических абортов, диагностических выскабливаний, самопроизвольного прерывания беременности, родов; к развитию пиосальпинкса нередко приводит сальпингит или аднексит гонококковой или септической этиологии. К образованию пиосальпинкса предрасполагает использование ВМС, менструация, снижение реактивности организма.
Пиосальпинкс при септической инфекции чаще имеет одностороннюю локализацию, при гонококковой - двухстороннюю. По характеру течения пиосальпинкс может носить острый или хронический характер.
Клиническая картина
Клиника пиосальпинкса характеризуется распирающими, пульсирующими болями в нижних отделах живота и, особенно, на пораженной стороне. Боли часто иррадиируют в поясницу, крестец, нижнюю конечность, паховую область.
Характерна высокая лихорадка с ознобами, которая сменяется периодами субфебрилитета. Отмечаются признаки интоксикации, ухудшение самочувствия, недомогание, слабость, потливость, тахикардия. Могут наблюдаться тошнота, диспепсические и дизурические явления, задержка стула и отхождения газов. Пиосальпинксу нередко сопутствует нарушение менструальной функции, появление серозно-гнойного или гнойного отделяемого из половых путей. В хронических случаях пиосальпинкса боли носят непостоянный тупой характер, усиливаются после переохлаждения, полового акта, физического усилия, менструации.
Ассоциированные симптомы: Боль в придатках. Выделения из влагалища (бели). Гнойные выделения из влагалища. Лейкоцитоз. Недомогание. Озноб. Потливость. Рвота. Тошнота. Холодный пот.
Характерна высокая лихорадка с ознобами, которая сменяется периодами субфебрилитета. Отмечаются признаки интоксикации, ухудшение самочувствия, недомогание, слабость, потливость, тахикардия. Могут наблюдаться тошнота, диспепсические и дизурические явления, задержка стула и отхождения газов. Пиосальпинксу нередко сопутствует нарушение менструальной функции, появление серозно-гнойного или гнойного отделяемого из половых путей. В хронических случаях пиосальпинкса боли носят непостоянный тупой характер, усиливаются после переохлаждения, полового акта, физического усилия, менструации.
Ассоциированные симптомы: Боль в придатках. Выделения из влагалища (бели). Гнойные выделения из влагалища. Лейкоцитоз. Недомогание. Озноб. Потливость. Рвота. Тошнота. Холодный пот.
Диагностика
Данные анамнеза, гинекологического, лабораторных и инструментальных исследований позволяют дифференцировать пиосальпинкс от острого аппендицита, холецистита, пиелонефрита, осложненной кистомы яичника. В процессе бимануального влагалищного исследования в области пораженного придатка определяется болезненное опухолеподобное образование, не имеющее четких контуров. При двустороннем пиосальпинксе увеличенные маточные трубы могут занимать всю полость малого таза; матка при этом не определяется или контурируется с большим трудом. При пальпации ощущаются очаги флюктуации. Для уточнения диагноза пиосальпинкса проводится пункция через задний свод влагалища.
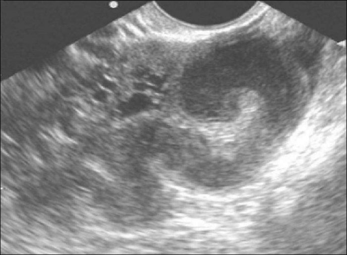
По данным трансвагинального УЗИ или трансабдоминального УЗИ малого таза позади матки определяется расширенная фаллопиева труба неоднородной эхогенности с мелкодисперсной взвесью. Исследование периферической крови отражает картину воспаления: лейкоцитоз, сдвиг в лейкоформуле влево, нарастание СОЭ, положительный тест на СРБ. Для определения инфекционных возбудителей производится бактериологический посев мазка на микрофлору.
Среди дополнительных исследований, которые применяет гинекология, при пиосальпинксе наиболее информативной является диагностическая лапароскопия, позволяющая определить характер процесса, его локализацию, наличие выпота и спаек в брюшной полости. Кроме того, лапароскопия может выполняться с лечебными целями - аспирации гнойного содержимого, местного введения антибиотиков. При перфорации пиосальпинкса в полые органы может потребоваться консультация уролога, проктолога, выполнение цистоскопии, УЗИ мочевого пузыря, ректороманоскопии.
По данным трансвагинального УЗИ или трансабдоминального УЗИ малого таза позади матки определяется расширенная фаллопиева труба неоднородной эхогенности с мелкодисперсной взвесью. Исследование периферической крови отражает картину воспаления: лейкоцитоз, сдвиг в лейкоформуле влево, нарастание СОЭ, положительный тест на СРБ. Для определения инфекционных возбудителей производится бактериологический посев мазка на микрофлору.
Среди дополнительных исследований, которые применяет гинекология, при пиосальпинксе наиболее информативной является диагностическая лапароскопия, позволяющая определить характер процесса, его локализацию, наличие выпота и спаек в брюшной полости. Кроме того, лапароскопия может выполняться с лечебными целями - аспирации гнойного содержимого, местного введения антибиотиков. При перфорации пиосальпинкса в полые органы может потребоваться консультация уролога, проктолога, выполнение цистоскопии, УЗИ мочевого пузыря, ректороманоскопии.
Лечение
Выявление пиосальпинкса требует госпитализации пациентки в гинекологический стационар. Лечение пиосальпинкса исключительно хирургическое в сочетании с антибактериальной, дезинтоксикационной, иммуностимулирующей терапией.
Хирургическая тактика определяется возрастом пациентки и характером пиосальпинкса. У молодых женщин при необходимости сохранения фаллопиевой трубы предпочтительна сальпингостомия - выполнение прицельной пункции пиосальпинкса с аспирацией содержимого и санацией полости гнойника антисептиками, антибиотиками, ферментами. Пункции проводят через задний свод влагалища под УЗ-контролем курсом из 3-5 процедур, через день.
Вскрытие фимбриального отдела трубы (туботомия) при пиосальпинксе также может быть выполнено в процесса лапароскопии. Кроме всего прочего, лапароскопия позволяет выполнить лизис спаек, вскрытие гнойного образования, санацию или дренирование брюшной полости, внутрибрюшную инфузию лекарственных растворов.
При отсутствии эффекта от сальпингостомии, необходимости или возможности сохранения маточной трубы производится тубэктомия с одной или обеих сторон; при тубоовариальной гнойной опухоли - удаление придатков (аднексэктомия). В осложненных случаях при пиосальпинксе может потребоваться удаление матки - проведение надвлагалищной ампутации или гистерэктомии с придатками.
В постоперационном периоде для профилактики образования рубцов и спаек показано проведение аутогемотерапии, УФО, электрофореза, ультразвука, лазеротерапии, магнотолазеротерапии, парафиновых, озокеритовых или грязевых аппликаций. Возможно проведение гинекологического, сегментарного, точечного, вибрационного массажа, бальнеотерапии.
Хирургическая тактика определяется возрастом пациентки и характером пиосальпинкса. У молодых женщин при необходимости сохранения фаллопиевой трубы предпочтительна сальпингостомия - выполнение прицельной пункции пиосальпинкса с аспирацией содержимого и санацией полости гнойника антисептиками, антибиотиками, ферментами. Пункции проводят через задний свод влагалища под УЗ-контролем курсом из 3-5 процедур, через день.
Вскрытие фимбриального отдела трубы (туботомия) при пиосальпинксе также может быть выполнено в процесса лапароскопии. Кроме всего прочего, лапароскопия позволяет выполнить лизис спаек, вскрытие гнойного образования, санацию или дренирование брюшной полости, внутрибрюшную инфузию лекарственных растворов.
При отсутствии эффекта от сальпингостомии, необходимости или возможности сохранения маточной трубы производится тубэктомия с одной или обеих сторон; при тубоовариальной гнойной опухоли - удаление придатков (аднексэктомия). В осложненных случаях при пиосальпинксе может потребоваться удаление матки - проведение надвлагалищной ампутации или гистерэктомии с придатками.
В постоперационном периоде для профилактики образования рубцов и спаек показано проведение аутогемотерапии, УФО, электрофореза, ультразвука, лазеротерапии, магнотолазеротерапии, парафиновых, озокеритовых или грязевых аппликаций. Возможно проведение гинекологического, сегментарного, точечного, вибрационного массажа, бальнеотерапии.
|
|
Прогноз
При пиосальпинксе прогноз может отягощаться нарушением менструального цикла, развитием стойкой формы бесплодия, повышением вероятности внематочной беременности. При планировании беременности обычно требуется повторное лапароскопическое лечение с восстановлением просвета (реокклюзией) и последующей оценкой проходимости и функционального состояния маточных труб (гистеросальпингографией, УЗГСС).
Профилактика
Профилактика пиосальпинкса в гинекологии диктует необходимость своевременного лечения сальпингитов, исключения ИППП (гонореи, хламидиоза, микоплазмоза и тд ), предупреждения абортов, постоперационных и послеродовых осложнений.