Продолжая работу с сайтом, вы разрешаете использование сookies и соглашаетесь с политикой конфиденциальности.
.,о.,р..и.:г,.и.,н.;н.,а;,л.. .,н.:а,.х.,о.,д.;и.,т..с.:я,, ..н.;а., .,k;,i..b.:e,;r.,i.,s.,.;.r.:u,

Идиопатический гемосидероз легких

ДобавьАналогиСравни
Нигде не найдено ... скрыть
 
По жалобе ничего не найдено в выбранном разделе медицины. Попробуйте переформулировать жалобу или сменить источник поиска выше
Лечат в 3092 клиниках 134 городов
X
X
Нужен: гастроэнтеролог, 3 анализа, 5 услуг
Волгоград, ул. Автотранспортная, д. 75 +7(844..показать+7(495) 104-88-01, +7(844) 243-55-43, +7(844) 253-40-00 от 3102₽
Нижний Новгород, ул. Таллинская, д. 8В, корп. 2 +7(831..показать+7(495) 104-88-01, +7(831) 248-53-86 от 3855₽
Новосибирск, ул. Кошурникова, д. 8 +7(383..показать+7(495) 104-88-01, +7(383) 311-02-11 от 4084₽
Санкт-Петербург, ул. Народная, д. 21, корп. 2 +7(812..показать+7(495) 104-88-01, +7(812) 670-94-44, +7(812) 670-78-82, +7(812) 670-78-80, +7(812) 670-91-31 от 4940₽
Казань, ул. Николая Ершова, д. 65 +7(843..показать+7(495) 104-88-01, +7(843) 272-48-82, +7(800) 234-34-34 от 5450₽
Нижний Новгород, ул. Пролетарская, д. 3 +7(831..показать+7(495) 104-88-01, +7(831) 215-22-22 от 6235₽
Нижний Новгород, ул. Тропинина, д. 4А +7(831..показать+7(495) 104-88-01, +7(831) 215-20-00 от 7085₽
Казань, ул. Маяковского, д. 30 +7(843..показать+7(495) 104-88-01, +7(843) 207-04-40, +7(843) 276-46-46, +7(919) 626-30-42 от 7402₽
Казань, пр-т Победы, д. 152/33 +7(843..показать+7(495) 104-88-01, +7(843) 207-04-40, +7(843) 276-46-46, +7(919) 626-30-42 от 7402₽
Краснодар, ул. Герцена, д. 267 +7(861..показать+7(495) 104-88-01, +7(861) 298-84-03, +7(800) 234-36-65 от 7470₽
Ещё 3082 клиники
  1. МКБ-10 коды
  2. Описание
  3. Причины
  4. Клиническая картина
  5. Лечение
  6. Похожие заболевания
  7. Связанные стандарты мед. помощи
  8. Основные медицинские услуги
  9. Клиники для лечения

Другие названия и синонимы

Idiopathic hemosiderosis of the lungs.
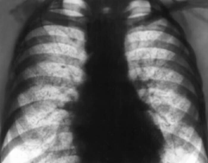
Рентгенограмма органов грудной клетки при идиопатическом гемосидерозе легких

МКБ-10 коды

Описание

 Болезнь характеризуется выходом крови в альвеолы, большим количеством гемосидерофагов в их просвете, гиперплазией альвеолярного эпителия, интерстициальным фиброзом и склерозом легочных сосудов. Начинается обычно в детском возрасте.
Микропрепарат бронхоальвеолярного смыва при гемосидерозе легких

Причины

 Предполагают генетическую природу заболевания. Популяционная чистота неизвестна.

Клиническая картина

 Отмечаются:
 - повторные респираторные заболевания, нередко диагностируемые как пневмонии, кашель, кровохарканье;
 - у детей грудного возраста кашель может сопровождаться рвотой с примесью крови;
 - в дальнейшем заболевание принимает характер хронического, отмечаются постоянная одышка, свистящее дыхание, быстрая утомляемость;
 - рано развивается железодефицитная анемия, иногда она опережает появления симптомов со стороны органов дыхания. Примерно в 50% случаев больные умирают в течение первых 5 лет жизни, обычно от острого легочного кровотечения и нарастающей дыхательной недостаточности.
 В начале болезни диагноз представляет определенные трудности. Исследование мокроты или рвотных масс обнаруживает наличие гемосидерофагов. Па рентгенограмме грудной клетки определяются небольшие инфильтраты или массивные поражения с вторичными ателектазами, эмфиземой и увеличением прикорневых лимфатических узлов. Достоверный прижизненный диагноз возможен только при открытой или пункционной биопсии легкого.

Лечение

 Диета с исключением из рациона коровьего молока (положительный эффект подтверждает диагноз). Кортикортероиды могут обусловить ремиссию или облечение течения болезни.

Похожие заболевания

Связанные стандарты мед. помощи

42a96bb5c8a2acfb07fc866444b97bf1
Доступно только при использовании PRO аккаунта
Модератор контента: Васин А.С.


  1. Киберис НЕ является интернет-магазином и НЕ осуществляет закупку, хранение, продажу и доставку препаратов. Ресурс выступает лишь в роли посредника между вами и производителем препаратов или аптечными пунктами, которые и осуществляют поставку.
  2. На Киберис размещены описания препаратов, часть из которых предназначена только для врачей. Данная информация не может быть использована пациентами для принятия решения об использовании препаратов, их отмене или коррекции дозировок.
  3. Ничто в представленной информации не должно быть истолковано как призыв использовать данные препараты.
  4. К Киберис не могут быть обращены претензии по поводу любого ущерба или вреда, понесенного в результате использования размещенной на сайте информации.