Другие названия и синонимы
Interstitial nephritis, Тубулоинтерстициальный нефрит.
МКБ-10 коды
|
|
Описание
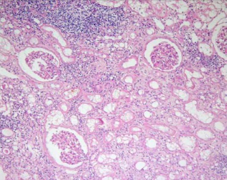
Интерстициальный нефрит (ИН) представляет собой воспалительное заболевание почек неинфекционной (абактериальной) природы с локализацией патологического процесса в межуточной (интерстициальной) ткани и поражением канальцевого аппарата нефронов. Это самостоятельная нозологическая форма заболевания. В отличие от пиелонефрита, при котором также поражаются межуточная ткань и почечные канальцы, интерстициальный нефрит не сопровождается деструктивными изменениями почечной ткани, а воспалительный процесс не распространяется на чашки и лоханки. Заболевание пока еще мало известно практическим врачам.
Клиническая диагностика интерстициального нефрита даже в специализированных учреждениях нефрологического профиля представляет большие трудности из-за отсутствия характерных, патогномоничных только для него клинических и лабораторных критериев, а также в связи со сходством его с другими формами нефропатии. Поэтому наиболее надежным и убедительным методом диагностики ИН пока является пункционная биопсия почки.
Поскольку в условиях клинической практики ИН диагностируется еще сравнительно редко, то до сих пор не существует точных данных о частоте его распространения. Тем не менее, по имеющимся в литературе сведениям, за последние десятилетия отмечается явная тенденция к росту частоты этого заболевания среди взрослого населения. Это связано не только с улучшением методов диагностики ИН, но и с более широким воздействием на почки тех факторов, которые служат причиной его возникновения (особенно лекарственных препаратов) (Б. И. Шулутко, 1983; Я. П. Залькалнс, 1990 и ).
Различают острый Интерстициальный нефрит (ОИН) и хронический Интерстициальный нефрит (ХИН), а также первичный и вторичный. Поскольку при этом заболевании в патологический процесс всегда вовлекается не только интерстициальная ткань, но и канальцы, то наряду с термином интерстициальный нефрит считают правомочным использовать и термин тубулоинтерстициальный нефрит . Первичный ИН развивается без предшествующего какого-либо поражения (заболевания) почек. Вторичный ИН обычно осложняет течение уже ранее существовавшего заболевания почек или таких заболеваний, как миеломная болезнь, лейкемия, сахарный диабет, подагра, сосудистые поражения почек, гиперкальциемия, оксалатная нефропатия и (С. О. Андросова, 1983).
Острый интерстициальный нефрит (ОИН) может возникнуть в любом возрасте, в том числе у новорожденных и у пожилых лиц, однако подавляющее большинство больных регистрируется в возрасте 20-50 лет.
Клиническая диагностика интерстициального нефрита даже в специализированных учреждениях нефрологического профиля представляет большие трудности из-за отсутствия характерных, патогномоничных только для него клинических и лабораторных критериев, а также в связи со сходством его с другими формами нефропатии. Поэтому наиболее надежным и убедительным методом диагностики ИН пока является пункционная биопсия почки.
Поскольку в условиях клинической практики ИН диагностируется еще сравнительно редко, то до сих пор не существует точных данных о частоте его распространения. Тем не менее, по имеющимся в литературе сведениям, за последние десятилетия отмечается явная тенденция к росту частоты этого заболевания среди взрослого населения. Это связано не только с улучшением методов диагностики ИН, но и с более широким воздействием на почки тех факторов, которые служат причиной его возникновения (особенно лекарственных препаратов) (Б. И. Шулутко, 1983; Я. П. Залькалнс, 1990 и ).
Различают острый Интерстициальный нефрит (ОИН) и хронический Интерстициальный нефрит (ХИН), а также первичный и вторичный. Поскольку при этом заболевании в патологический процесс всегда вовлекается не только интерстициальная ткань, но и канальцы, то наряду с термином интерстициальный нефрит считают правомочным использовать и термин тубулоинтерстициальный нефрит . Первичный ИН развивается без предшествующего какого-либо поражения (заболевания) почек. Вторичный ИН обычно осложняет течение уже ранее существовавшего заболевания почек или таких заболеваний, как миеломная болезнь, лейкемия, сахарный диабет, подагра, сосудистые поражения почек, гиперкальциемия, оксалатная нефропатия и (С. О. Андросова, 1983).
Острый интерстициальный нефрит (ОИН) может возникнуть в любом возрасте, в том числе у новорожденных и у пожилых лиц, однако подавляющее большинство больных регистрируется в возрасте 20-50 лет.
Клиническая картина
Характер и тяжесть клинических проявлений ОИН зависит от выраженности общей интоксикации организма и от степени активности патологического процесса в почках. Первые субъективные симптомы заболевания обычно появляются через 2-3 дня от начала лечения антибиотиками (чаще всего пенициллином либо полусинтетическими его аналогами) по геоводу обострения хронического тонзиллита, ангины, отита, гайморита, ОРВИ и других заболеваний, предшествующих развитию ОИН. В других случаях они возникают спустя несколько дней после назначения нестероидных противовоспалительных средств, диуретиков, цитостатиков, введения рентгеноконтрастных веществ, сывороток, вакцин. У большинства больных появляются жалобы на общую слабость, потливость, головную боль, боли ноющего характера в поясничной области, сонливость, снижение либо потерю аппетита, тошноту. Нередко упомянутые симптомы сопровождаются ознобом с лихорадкой, ломотой в мышцах, иногда полиартралгией, кожными аллергическими высыпаниями. В отдельных случаях возможно развитие умеренно выраженной и непродолжительной артериальной гипертензии. Отеки для ОИН не характерны и, как правило, отсутствуют. Не наблюдается обычно и дизурических явлений. В подавляющем большинстве случаев уже с первых дней отмечается полиурия с низкой относительной плотностью мочи (гипостенурия). Лишь при очень тяжелом течении ОИН в начале заболевания наблюдается значительное уменьшение (олигурия) мочи вплоть до развития анурии (сочетающейся, однако, с гипостенурией) и других признаков ОПН. Одновременно выявляется и мочевой синдром: незначительная (0,033-0,33 г/л) либо (реже) умеренно выраженная (от 1,0 до 3,0 г/л) протеинурия, микрогематурия, небольшая либо умеренная лейкоцитурия, цилиндрурия с преобладанием гиалиновых, а при тяжелом течении - и появлением зернистых и восковидных цилиндров. Часто обнаруживаются оксалатурия и кальцийурия.
Происхождение протеинурии связано прежде всего со снижением реабсорбции белка эпителием проксимальных отделов канальцев, однако не исключается возможность секреции особого (специфического) тканевого белка Tamm-Horsfall в просвет канальцев (Б. И. Шулутко, 1983).
Механизм возникновения микрогематурии не совсем ясен.
Патологические изменения в моче сохраняются на протяжении всего заболевания (в течение 2-4-8 недель). Особенно длительно (до 2-3 месяцев и более) держатся полиурия и гипостенурия. Наблюдающуюся иногда в первые дни заболевания олигурию связывают с повышением внутриканальцевого и внутрикапсулярного давления, что приводит к падению эффективного фильтрационного давления и преходящему снижению скорости клубочковой фильтрации. Наряду со снижением концентрационной способности рано (также в первые дни) развивается нарушение азотовыделительной функции почек (особенно в тяжелых случаях), что проявляется гиперазотемией, повышением уровня в крови мочевины и креатинина. Характерно, что гиперазотемия развивается на фоне полиурии и гипостенурии. Возможно также расстройство электролитного баланса (гипокалиемия, гипонатриемия, гипохлоремия) и кислотно-щелочного равновесия с явлениями ацидоза. Выраженность упомянутых нарушений почек по регуляции азотистого баланса, кислотно-щелочного равновесия и водно-электролитного гомеостаза зависит от тяжести патологического процесса в почках и достигает наибольшей степени в случае развития ОПН.
Как следствие воспалительного процесса в почках и общей интоксикации наблюдаются характерные изменения со стороны периферической крови: небольшой либо умеренно выраженный лейкоцитоз с незначительным сдвигом влево, часто - эозинофилия, увеличение СОЭ. В тяжелых случаях возможно развитие анемии. При биохимическом исследовании крови обнаруживаются С-реактивный белок, повышенные показатели ДФА-пробы, сиаловых кислот, фибриногена (или фибрина), диспротеинемия с гипер-a1- и а2-глобулинемией.
При оценке клинической картины ОИН и его диагностике важно иметь в виду, что практически почти во всех случаях и уже в первые дни от начала заболевания развиваются признаки почечной недостаточности различной степени выраженности: от незначительного повышения в крови уровня мочевины и креатинина (в легких случаях) до типичной картины ОПН (при тяжелом течении). При этом характерно, что развитие анурии (выраженной олигурии) возможно, но вовсе не обязательно. Чаще почечная недостаточность развивается на фоне полиурии и гипостенурии.
В подавляющем большинстве случаев явления почечной недостаточности носят обратимый характер и проходят через 2-3 недели, однако нарушение концентрационной функции почек сохраняется, как уже отмечалось, на протяжении 2-3 месяцев и более (иногда до года).
С учетом особенностей клинической картины заболевания и его течения выделяют (Б. И. Шулутко, 1981) следующие варианты (формы) ОИН.
1. Развернутая форма, для которой характерны все перечисленные выше клинические симптомы и лабораторные признаки этого заболевания.
2. Вариант ОИН, протекающий по типу банальной (обычной) ОПН с длительной анурией и нарастающей гиперазотемией, с характерной для ОПН фазностью развития патологического процесса и весьма тяжелым его течением, требующим при оказании помощи больному использования острого гемодиализа.
3. Абортивная форма с характерным для нее отсутствием фазы анурии, ранним развитием полиурии, незначительной и непродолжительной гиперазотемией, благоприятным течением и быстрым восстановлением азотовыделительной и концентрационной (в течение 1-1,5 месяца) функций почек.
4. Очаговая форма, при которой клинические симптомы ОИН выражены слабо, стерты, изменения в моче минимальны и непостоянны, гиперазотемия либо отсутствует, либо незначительная и быстро преходящая. Для этой формы более характерны остро возникающая полиурия с гипостенурией, быстрое (в течение месяца) восстановление концентрационной функции почек и исчезновение патологических изменений в моче. Это наиболее легкий по течению и наиболее благоприятный по исходу вариант ОИН. В поликлинических условиях он обычно проходит как инфекционно-токсическая почка .
При ОИН прогноз чаще всего благоприятный. Обычно исчезновение основных клинике-лабораторных симптомов заболевания происходит в первые 2-4 недели от его начала. В течение этого периода нормализуются показатели мочи и периферической крови, восстанавливается нормальный уровень мочевины и креатинина в крови, значительно дольше сохраняется полиурия с гипостенурией (иногда до 2-3 месяцев и более). Лишь в редких случаях при очень тяжелом течении ОИН с выраженными явлениями ОПН возможен неблагоприятный исход. Иногда ОИН может приобретать хроническое течение, главным образом при поздней его диагностике и неправильном лечении, несоблюдении больными врачебных рекомендаций.
Ассоциированные симптомы: Боль в почках. Боль в пояснице. Высокая температура тела. Гематурия. Гиперурикемия. Гипокалиемия. Гипомагниемия. Гипостенурия. Головная боль. Жажда. Лейкоцитурия. Недомогание. Никтурия. Озноб. Олигурия. Полиурия. Привкус во рту. Протеинурия. Рвота. Сильная жажда. Тошнота. Цилиндрурия. Эозинофилия.
Происхождение протеинурии связано прежде всего со снижением реабсорбции белка эпителием проксимальных отделов канальцев, однако не исключается возможность секреции особого (специфического) тканевого белка Tamm-Horsfall в просвет канальцев (Б. И. Шулутко, 1983).
Механизм возникновения микрогематурии не совсем ясен.
Патологические изменения в моче сохраняются на протяжении всего заболевания (в течение 2-4-8 недель). Особенно длительно (до 2-3 месяцев и более) держатся полиурия и гипостенурия. Наблюдающуюся иногда в первые дни заболевания олигурию связывают с повышением внутриканальцевого и внутрикапсулярного давления, что приводит к падению эффективного фильтрационного давления и преходящему снижению скорости клубочковой фильтрации. Наряду со снижением концентрационной способности рано (также в первые дни) развивается нарушение азотовыделительной функции почек (особенно в тяжелых случаях), что проявляется гиперазотемией, повышением уровня в крови мочевины и креатинина. Характерно, что гиперазотемия развивается на фоне полиурии и гипостенурии. Возможно также расстройство электролитного баланса (гипокалиемия, гипонатриемия, гипохлоремия) и кислотно-щелочного равновесия с явлениями ацидоза. Выраженность упомянутых нарушений почек по регуляции азотистого баланса, кислотно-щелочного равновесия и водно-электролитного гомеостаза зависит от тяжести патологического процесса в почках и достигает наибольшей степени в случае развития ОПН.
Как следствие воспалительного процесса в почках и общей интоксикации наблюдаются характерные изменения со стороны периферической крови: небольшой либо умеренно выраженный лейкоцитоз с незначительным сдвигом влево, часто - эозинофилия, увеличение СОЭ. В тяжелых случаях возможно развитие анемии. При биохимическом исследовании крови обнаруживаются С-реактивный белок, повышенные показатели ДФА-пробы, сиаловых кислот, фибриногена (или фибрина), диспротеинемия с гипер-a1- и а2-глобулинемией.
При оценке клинической картины ОИН и его диагностике важно иметь в виду, что практически почти во всех случаях и уже в первые дни от начала заболевания развиваются признаки почечной недостаточности различной степени выраженности: от незначительного повышения в крови уровня мочевины и креатинина (в легких случаях) до типичной картины ОПН (при тяжелом течении). При этом характерно, что развитие анурии (выраженной олигурии) возможно, но вовсе не обязательно. Чаще почечная недостаточность развивается на фоне полиурии и гипостенурии.
В подавляющем большинстве случаев явления почечной недостаточности носят обратимый характер и проходят через 2-3 недели, однако нарушение концентрационной функции почек сохраняется, как уже отмечалось, на протяжении 2-3 месяцев и более (иногда до года).
С учетом особенностей клинической картины заболевания и его течения выделяют (Б. И. Шулутко, 1981) следующие варианты (формы) ОИН.
1. Развернутая форма, для которой характерны все перечисленные выше клинические симптомы и лабораторные признаки этого заболевания.
2. Вариант ОИН, протекающий по типу банальной (обычной) ОПН с длительной анурией и нарастающей гиперазотемией, с характерной для ОПН фазностью развития патологического процесса и весьма тяжелым его течением, требующим при оказании помощи больному использования острого гемодиализа.
3. Абортивная форма с характерным для нее отсутствием фазы анурии, ранним развитием полиурии, незначительной и непродолжительной гиперазотемией, благоприятным течением и быстрым восстановлением азотовыделительной и концентрационной (в течение 1-1,5 месяца) функций почек.
4. Очаговая форма, при которой клинические симптомы ОИН выражены слабо, стерты, изменения в моче минимальны и непостоянны, гиперазотемия либо отсутствует, либо незначительная и быстро преходящая. Для этой формы более характерны остро возникающая полиурия с гипостенурией, быстрое (в течение месяца) восстановление концентрационной функции почек и исчезновение патологических изменений в моче. Это наиболее легкий по течению и наиболее благоприятный по исходу вариант ОИН. В поликлинических условиях он обычно проходит как инфекционно-токсическая почка .
При ОИН прогноз чаще всего благоприятный. Обычно исчезновение основных клинике-лабораторных симптомов заболевания происходит в первые 2-4 недели от его начала. В течение этого периода нормализуются показатели мочи и периферической крови, восстанавливается нормальный уровень мочевины и креатинина в крови, значительно дольше сохраняется полиурия с гипостенурией (иногда до 2-3 месяцев и более). Лишь в редких случаях при очень тяжелом течении ОИН с выраженными явлениями ОПН возможен неблагоприятный исход. Иногда ОИН может приобретать хроническое течение, главным образом при поздней его диагностике и неправильном лечении, несоблюдении больными врачебных рекомендаций.
Ассоциированные симптомы: Боль в почках. Боль в пояснице. Высокая температура тела. Гематурия. Гиперурикемия. Гипокалиемия. Гипомагниемия. Гипостенурия. Головная боль. Жажда. Лейкоцитурия. Недомогание. Никтурия. Озноб. Олигурия. Полиурия. Привкус во рту. Протеинурия. Рвота. Сильная жажда. Тошнота. Цилиндрурия. Эозинофилия.
|
|
Причины
Причины, вызывающие ОИН, могут быть разнообразными, но чаще его возникновение связывают с приемом лекарственных препаратов, особенно антибиотиков (пенициллин и его полусинтетические аналоги, аминогликозиды, цефалоспорины, рифампицин и ). Нередко этиологическими факторами ОИН оказываются сульфаниламиды, нестероидные противовоспалительные средства (индометацин, метиндол, бруфен и ), анальгетики, иммунодепрессанты (азатиоприн, имуран, циклофосфамид), мочегонные, барбитураты, каптоприл, аллопуринол. Описаны случаи развития ОИН в результате приема циметидина, после введения рентгеноконтрастных веществ. Он может быть следствием повышенной индивидуальной чувствительности организма к различным химическим веществам, интоксикации этиленгликолем, этанолом (И. Р. Лазовский, 1974; Б. И. Шулутко, Т. Г. Иванова, 1978).
ОИН, возникающий под воздействием упомянутых лекарственных, химических и токсических веществ, а также при введении сывороток, вакцин и других белковых препаратов, обозначается как токсикоаллергический вариант этого заболевания. Случаи ОИН с тяжелой ОПН, развивающегося иногда у больных после вирусных и бактериальных инфекций, обозначают как постинфекционный ИН, хотя здесь не всегда можно исключить и влияние антибиотиков. В ряде случаев причину ОИН установить не удается, и тогда говорят об идиопатическом ОИН.
ОИН, возникающий под воздействием упомянутых лекарственных, химических и токсических веществ, а также при введении сывороток, вакцин и других белковых препаратов, обозначается как токсикоаллергический вариант этого заболевания. Случаи ОИН с тяжелой ОПН, развивающегося иногда у больных после вирусных и бактериальных инфекций, обозначают как постинфекционный ИН, хотя здесь не всегда можно исключить и влияние антибиотиков. В ряде случаев причину ОИН установить не удается, и тогда говорят об идиопатическом ОИН.
Лечение
Больные ОИН должны быть госпитализированы в стационар, при возможности нефрологического профиля. Поскольку в большинстве случаев заболевание это протекает благоприятно, без тяжелых клинических проявлений, то специального лечения не требуется. Решающее значение имеет отмена того лекарственного препарата, который вызвал развитие ОИН. В остальном проводится симптоматическая терапия, диета с ограничением продуктов, богатых белками животного происхождения, в основном мяса. Причем степень такого ограничения зависит от выраженности гиперазотемии: чем она выше, тем меньше должно быть суточное потребление белка. В то же время существенного ограничения поваренной соли и жидкости не требуется, так как задержки жидкости в организме и отеков при ОИН не наблюдается. Напротив, в связи с полиурией и интоксикацией организма рекомендуется дополнительное введение жидкости в виде витаминизированных напитков (морсов, киселей, компотов ), а нередко и внутривенное введение растворов глюкозы, реополиглюкина и других дезинтоксикационных средств. Если ОИН протекает более тяжело и сопровождается олигурией, назначают мочегонные средства (лазикс, фуросемид, урегит, гипотиазид и ) в индивидуально подобранных дозах (в зависимости от выраженности и продолжительности олигурии). Гипотензивные средства назначают редко, поскольку артериальная гипертензия наблюдается далеко не всегда, а если и бывает, то умеренно выраженной и носит преходящий характер. При продолжительной полиурии и возможном нарушении электролитного баланса (гипокалиемии, гипохлоремии и гипонатриемии) проводят коррекцию под контролем содержания этих электролитов в крови и их суточной экскреции с мочой. При необходимости следует вести борьбу с ацидозом.
В целом же целесообразно по возможности избегать назначения лекарственных препаратов, тем более при благоприятном течении заболевания и отсутствии для этого абсолютных показаний. Желательно ограничиться десенсибилизирующими средствами в виде антигистаминных препаратов (тавегил, диазолин, димедрол и ), препаратов кальция, аскорбиновой кислоты. В более тяжелых случаях показано включение в комплекс лечебных мероприятий глюкокортикостероидов -преднизолон по 30-60 мг в сутки (либо метипред в соответствующих дозах) на протяжении 2-4 недель, до исчезновения или существенного уменьшения клинических и лабораторных проявлений ОИН. В случае развития тяжелой острой почечной недостаточности возникает необходимость использования острого гемодиализа.
В целом же целесообразно по возможности избегать назначения лекарственных препаратов, тем более при благоприятном течении заболевания и отсутствии для этого абсолютных показаний. Желательно ограничиться десенсибилизирующими средствами в виде антигистаминных препаратов (тавегил, диазолин, димедрол и ), препаратов кальция, аскорбиновой кислоты. В более тяжелых случаях показано включение в комплекс лечебных мероприятий глюкокортикостероидов -преднизолон по 30-60 мг в сутки (либо метипред в соответствующих дозах) на протяжении 2-4 недель, до исчезновения или существенного уменьшения клинических и лабораторных проявлений ОИН. В случае развития тяжелой острой почечной недостаточности возникает необходимость использования острого гемодиализа.