Другие названия и синонимы
Arachnoid cyst of the brain.
МКБ-10 коды
- МКБ-10
- G93.0 Церебральная киста
|
|
Описание
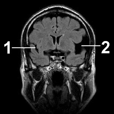
Арахноидальная киста головного мозга. Заполненное цереброспинальной жидкостью образование, располагающееся между дупликатурой арахноидальной оболочки. Может иметь врожденную и вторичную природу. Зачастую протекает латентно, без клинических проявлений. При увеличении объема киста дебютирует симптомами внутричерепной гипертензии, судорожными пароксизмами и очаговым неврологическим дефицитом. Диагностируется в основном по данным МРТ головного мозга. При нарастании клинических симптомов требуется хирургическое лечение - дренирование кисты, ее фенестрация, иссечение или шунтирование.
Дополнительные факты
Арахноидальная киста головного мозга представляет собой ограниченное скопление цереброспинальной жидкости (ликвора) в толще покрывающих головной мозг оболочек. Свое название киста получила в связи с локализацией в арахноидальной церебральной оболочке. В месте образования кисты арахноидальная оболочка утолщена и имеет дупликатуру, разделяется на два листка, между которыми накапливается цереброспинальная жидкость. Как правило, кисты имеют малый объем, но при скоплении в них большого количества ликвора, они оказывают компрессионное воздействие на подлежащую кору головного мозга. Это приводит к манифестации клинических проявлений интракраниального (внутричерепного) объемного образования.
Арахноидальная киста головного мозга может иметь различное месторасположение. Наиболее часто такие кисты находятся в области мостомозжечкового угла, сильвиевой борозды и над турецким седлом (супраселлярно). По имеющимся данным около 4% населения имеют арахноидальные кисты, но далеко не у всех они дают какие-либо клинические проявления. Более подвержены возникновению кист лица мужского пола.
Арахноидальная киста головного мозга может иметь различное месторасположение. Наиболее часто такие кисты находятся в области мостомозжечкового угла, сильвиевой борозды и над турецким седлом (супраселлярно). По имеющимся данным около 4% населения имеют арахноидальные кисты, но далеко не у всех они дают какие-либо клинические проявления. Более подвержены возникновению кист лица мужского пола.
Классификация
Этиологическая классификация учитывает происхождение арахноидальных церебральных кист. По своему происхождению они могут быть первичными, или врожденными, и вторичными, или приобретенными. Первичные кисты относятся к аномалиям развития головного мозга, вторичные возникают как следствие травматических повреждений, воспалительных процессов или кровотечений, происходящих в церебральных оболочках.
Морфологически выделяют простые и сложные арахноидальные кисты. В первом случае полость кисты выслана клетками арахноидальной оболочки, имеющими способность продуцировать цереброспинальную жидкость. Во втором случае в структуру кисты входят и другие ткани, например, глиальные элементы. Морфологическая классификация арахноидальных кист не имеет актуального значения в практической неврологии, в то время как этиологическая классификация обязательно учитывается при постановке развернутого диагноза.
Клинически арахноидальные кисты подразделяют на прогрессирующие и замершие. Прогрессирующие кисты отличаются нарастанием неврологической симптоматики, обусловленным увеличением объема кисты. Замершие кисты не увеличиваются в размерах и обычно имеют латентное течение. Определение вида арахноидальной кисты в соответствии с данной классификацией имеет первостепенное значение для выбора адекватной тактики лечения.
Морфологически выделяют простые и сложные арахноидальные кисты. В первом случае полость кисты выслана клетками арахноидальной оболочки, имеющими способность продуцировать цереброспинальную жидкость. Во втором случае в структуру кисты входят и другие ткани, например, глиальные элементы. Морфологическая классификация арахноидальных кист не имеет актуального значения в практической неврологии, в то время как этиологическая классификация обязательно учитывается при постановке развернутого диагноза.
Клинически арахноидальные кисты подразделяют на прогрессирующие и замершие. Прогрессирующие кисты отличаются нарастанием неврологической симптоматики, обусловленным увеличением объема кисты. Замершие кисты не увеличиваются в размерах и обычно имеют латентное течение. Определение вида арахноидальной кисты в соответствии с данной классификацией имеет первостепенное значение для выбора адекватной тактики лечения.
Причины
Врожденные арахноидальные кисты формируются вследствие нарушений в процессе внутриутробного развития головного мозга. К факторам, обуславливающим их образование, относятся различные вредоносные воздействия на плод, происходящие в период беременности. Это могут быть внутриутробные инфекции (токсоплазмоз, краснуха, герпес, цитомегалия и тд ), интоксикации (профессиональные вредности, алкоголизм, курение, наркомания, прием фармпрепаратов с тератогенным эффектом), радиоактивное облучение, перегревание (посещение беременной женщиной сауны или бани, избыточная инсоляция, привычка принимать горячие ванны). Кисты, локализующиеся в арахноидальной оболочке, зачастую отмечаются у пациентов с синдромом Марфана и гипогенезией мозолистого тела.
Приобретенные арахноидальные кисты возникают после черепно-мозговых травм (сотрясения головного мозга, ушиба головного мозга), а также могут являться следствием операций на головном мозге. Формирование вторичной кисты возможно после перенесенного менингита, арахноидита или менингоэнцефалита. Образование арахноидальной кисты может наблюдаться после разрешения субарахноидального кровоизлияния или субдуральной гематомы. Факторы, способные спровоцировать формирование арахноидальной кисты, могут также вызвать прогрессирующий рост объема ранее существующего в арахноидальной оболочке небольшого субклинического кистозного образования за счет гиперпродукции и скопления в нем цереброспинальной жидкости.
Приобретенные арахноидальные кисты возникают после черепно-мозговых травм (сотрясения головного мозга, ушиба головного мозга), а также могут являться следствием операций на головном мозге. Формирование вторичной кисты возможно после перенесенного менингита, арахноидита или менингоэнцефалита. Образование арахноидальной кисты может наблюдаться после разрешения субарахноидального кровоизлияния или субдуральной гематомы. Факторы, способные спровоцировать формирование арахноидальной кисты, могут также вызвать прогрессирующий рост объема ранее существующего в арахноидальной оболочке небольшого субклинического кистозного образования за счет гиперпродукции и скопления в нем цереброспинальной жидкости.
Клиническая картина
В большинстве случаев арахноидальная киста головного мозга имеет незначительный объем и никак не проявляет себя клинически. Врожденная киста может быть случайной находкой при выполнении нейросонографии через родничок или МРТ головного мозга в связи с другой интракраниальной патологией. Возможен ее клинический дебют при инфекционном, сосудистом или травматическом поражении головного мозга.
При увеличении количества находящегося внутри кисты ликвора и соответственно размеров самой кисты появляются симптомы повышенного внутричерепного давления и очаговые неврологические проявления, характер которых зависит от места расположения кисты. Пациента беспокоят головные боли (цефалгии), периодическое головокружение, шум в ушах, ощущение «тяжелой головы», иногда - чувство «пульсации» в голове, неустойчивость ходьбы.
С нарастанием объема кисты происходит усугубление указанной симптоматики. Цефалгия приобретает постоянный и интенсивный характер, сопровождается тошнотой, давлением на глазные яблоки, рвотой. Возможны развитие тугоухости (падения слуха), понижение остроты зрения, двоение или возникновение «пятен» в полях зрения, онемение тех или иных конечностей, вестибулярная атаксия, дизартрия. Могут отмечаться гемипарезы - снижение мышечной силы в руке и ноге одной половины тела. Нередки эпизоды возникновения судорожных приступов и синкопальных состояний (обмороков). В отдельных случаях наблюдается галлюцинаторный синдром. У детей появляется задержка психического развития.
Ассоциированные симптомы: Боль во всей голове. Галлюцинации. Пульсация в висках. Рвота. Слабость мышц (парез). Судороги. Тонико-клонические судороги. Тошнота. Шум в ушах.
При увеличении количества находящегося внутри кисты ликвора и соответственно размеров самой кисты появляются симптомы повышенного внутричерепного давления и очаговые неврологические проявления, характер которых зависит от места расположения кисты. Пациента беспокоят головные боли (цефалгии), периодическое головокружение, шум в ушах, ощущение «тяжелой головы», иногда - чувство «пульсации» в голове, неустойчивость ходьбы.
С нарастанием объема кисты происходит усугубление указанной симптоматики. Цефалгия приобретает постоянный и интенсивный характер, сопровождается тошнотой, давлением на глазные яблоки, рвотой. Возможны развитие тугоухости (падения слуха), понижение остроты зрения, двоение или возникновение «пятен» в полях зрения, онемение тех или иных конечностей, вестибулярная атаксия, дизартрия. Могут отмечаться гемипарезы - снижение мышечной силы в руке и ноге одной половины тела. Нередки эпизоды возникновения судорожных приступов и синкопальных состояний (обмороков). В отдельных случаях наблюдается галлюцинаторный синдром. У детей появляется задержка психического развития.
Ассоциированные симптомы: Боль во всей голове. Галлюцинации. Пульсация в висках. Рвота. Слабость мышц (парез). Судороги. Тонико-клонические судороги. Тошнота. Шум в ушах.
Диагностика
Клиника арахноидальной кисты не имеет специфичных проявлений и соответствует клинической картине, общей для большинства объемных образований головного мозга. К последним относятся внутримозговые и оболочечные гематомы, первичные и метастатические опухоли мозга, абсцесс головного мозга, внутримозговая киста. Осмотр невролога и первичное неврологическое обследование (электроэнцефалография, реоэнцефалография и эхо-энцефалография) позволяют установить наличие интракраниального образования с внутричерепной гипертензией и существующую судорожную активность головного мозга. Для уточнения характера объемного образования и его локализации необходимо проведение МРТ, СКТ головного мозга или КТ.
Оптимальным диагностическим методом для распознавания арахноидальных кист выступает МРТ головного мозга с контрастированием. Использование контрастных веществ позволяет отдифференцировать кисту от опухоли головного мозга. Основным критерием арахноидальной кисты, отличающим ее от опухоли, является отсутствие способности накапливать контраст. При помощи МРТ проводится дифференциальная диагностика с субдуральной гематомой, субарахноидальным кровоизлиянием, субдуральной гигромой, абсцессом, инсультом, энцефалитом и тд церебральными заболеваниями.
Оптимальным диагностическим методом для распознавания арахноидальных кист выступает МРТ головного мозга с контрастированием. Использование контрастных веществ позволяет отдифференцировать кисту от опухоли головного мозга. Основным критерием арахноидальной кисты, отличающим ее от опухоли, является отсутствие способности накапливать контраст. При помощи МРТ проводится дифференциальная диагностика с субдуральной гематомой, субарахноидальным кровоизлиянием, субдуральной гигромой, абсцессом, инсультом, энцефалитом и тд церебральными заболеваниями.
|
|
Лечение
Замершие арахноидальные кисты с субклиническим течением не нуждаются в терапии. Пациентам рекомендовано наблюдение невролога и ежегодное прохождение МРТ для динамического контроля размеров кисты. Прогрессирующие арахноидальные кисты, кисты, сопровождающиеся эпилепсией и/или значительным повышением внутричерепного давления, не купируемым консервативными методами терапии, подлежат хирургическому лечению. Для решения вопроса о целесообразности хирургического лечения арахноидальной кисты и выборе оптимального способа его осуществления проводится консультация нейрохирурга.
При наличии кровоизлияния в область арахноидальной кисты и при ее разрыве показано полное иссечение кисты. Однако такой метод лечения является высоко травматичным и требует длительного восстановительного периода. Поэтому при отсутствии осложнений предпочтение отдается эндоскопическому вмешательству с т. н. фенестрацией кисты. Операция проводится через фрезевое отверстие и заключается в аспирации содержимого кисты с последующим созданием отверстий, соединяющих полость кисты с желудочком мозга и/или субарахноидальным пространством. В некоторых случаях применяют шунтирующую операцию - кистоперитонеальное шунтирование, в результате которой цереброспинальная жидкость из полости кисты оттекает в брюшную полость, где всасывается. Недостатком подобных операций является вероятность нарушения проходимости шунта.
Профилактика врожденных арахноидальных кист, как и предупреждение прочих пороков внутриутробного развития, включает корректное ведение беременности и соблюдение беременной специального охранительного режима, исключающего вредные воздействия на плод. Профилактикой приобретенных арахноидальных кист выступает правильное и своевременное лечение травм, воспалительных и сосудистых церебральных заболеваний.
При наличии кровоизлияния в область арахноидальной кисты и при ее разрыве показано полное иссечение кисты. Однако такой метод лечения является высоко травматичным и требует длительного восстановительного периода. Поэтому при отсутствии осложнений предпочтение отдается эндоскопическому вмешательству с т. н. фенестрацией кисты. Операция проводится через фрезевое отверстие и заключается в аспирации содержимого кисты с последующим созданием отверстий, соединяющих полость кисты с желудочком мозга и/или субарахноидальным пространством. В некоторых случаях применяют шунтирующую операцию - кистоперитонеальное шунтирование, в результате которой цереброспинальная жидкость из полости кисты оттекает в брюшную полость, где всасывается. Недостатком подобных операций является вероятность нарушения проходимости шунта.
Профилактика врожденных арахноидальных кист, как и предупреждение прочих пороков внутриутробного развития, включает корректное ведение беременности и соблюдение беременной специального охранительного режима, исключающего вредные воздействия на плод. Профилактикой приобретенных арахноидальных кист выступает правильное и своевременное лечение травм, воспалительных и сосудистых церебральных заболеваний.