Другие названия и синонимы
Gaye-Wernicke syndrome.
МКБ-10 коды
- МКБ-10
- E51.2 Энцефалопатия Вернике
|
|
Описание
Синдром Гайе-Вернике (Корсакова-Вернике) - острая энцефалопатия, обусловленная дефицитом витамина В1, необходимого для адекватного метаболизма церебральных клеток. Энцефалопатия Гайе-Вернике характеризуется тремя клиническими синдромами: смешанной атаксией, расстройством глазодвигательной функции и нарушением интегративной функции ЦНС. Верификация диагноза достигается путем изучения анамнеза, оценки неврологического статуса и их сопоставления с данными ЭЭГ, РЭГ, биохимического анализа крови, исследования цереброспинальной жидкости, МРТ головного мозга. Лечение состоит в экстренном введении и последующей длительной терапии витамином В1, назначении психотропных, антиоксидантных, ноотропных, сосудистых фармпрепаратов.
Дополнительные факты
Синдром Гайе-Вернике носит название в честь французского доктора Гайе и немецкого психоневролога Вернике. Первый описал заболевание, которое назвал «диффузная энцефалопатия», второй - дал описание аналогичной клинической картины под названием «верхний острый полиоэнцефалит», поскольку считал, что в ее основе лежат воспалительные процессы. Энцефалопатия Гайе-Вернике встречается преимущественно у мужчин возраста 30-50 лет, чаще всего в периоде от 35 до 45 лет. Однако в современной литературе по неврологии можно найти единичные описания развития синдрома в возрасте до 30 лет. Хотя злоупотребление алкоголем является не единственной причиной, наиболее часто синдром Гайе-Вернике возникает именно на почве алкоголизма, в связи с чем его относят к острой алкогольной энцефалопатии.
Причины
Согласно современным представлениям, синдром Гайе-Вернике обусловлен выраженной недостаточностью в организме тиамина (витамина В1). Последний является кофактором нескольких ферментов, участвующих в различных метаболических процессах человеческого организма. В результате дефицита В1 тормозятся биохимические реакции, обеспечиваемые этими ферментами. Следствием является снижение утилизации глюкозы нервными клетками, их энергетическое голодание, и внеклеточное накопление глутамата. Глутамат выступает активатором рецепторов ионных каналов церебральных нейронов. Его повышенная концентрация приводит к гиперактивации каналов, по которым в нервную клетку поступают ионы кальция. Избыток внутриклеточного кальция влечет за собой активацию целого ряда ферментов, разрушающих структурные элементы клетки, в первую очередь митохондрии, и инициирующих апоптоз (саморазрушение) нейронов.
Характерным является перивентривулярное поражение церебральных тканей в области III и IV желудочков, сильвиевого водопровода. Страдают преимущественно структуры ствола мозга и промежуточного мозга, червь мозжечка, медиодорсальное ядро таламуса. С патологией последнего связывают сопровождающие синдром Гайе-Вернике расстройства памяти.
Причиной возникновения заболевания могут являться любые патологические процессы, приводящие к дефициту тиамина. Например, гиповитаминозы, заболевания ЖКТ с синдромом мальабсорбции, длительное голодание, неадекватное парентеральное питание, постоянная рвота, СПИД, некоторые гельминтозы, онкологические заболевания, приводящие к раковой кахексии, и пр. Однако в большинстве случаев синдром Гайе-Вернике связан с хроническим алкоголизмом. Длительность злоупотребления алкоголем до появления синдрома варьирует от 6 до 20 лет, у женщин может составлять всего 3-4 года. Как правило, синдром Гайе-Вернике манифестирует в третьей или в конце второй стадии алкоголизма, когда ежедневное употребление алкоголя длится месяцами. При этом у 30-50% пациентов в анамнезе уже имеются алкогольные психозы.
Характерным является перивентривулярное поражение церебральных тканей в области III и IV желудочков, сильвиевого водопровода. Страдают преимущественно структуры ствола мозга и промежуточного мозга, червь мозжечка, медиодорсальное ядро таламуса. С патологией последнего связывают сопровождающие синдром Гайе-Вернике расстройства памяти.
Причиной возникновения заболевания могут являться любые патологические процессы, приводящие к дефициту тиамина. Например, гиповитаминозы, заболевания ЖКТ с синдромом мальабсорбции, длительное голодание, неадекватное парентеральное питание, постоянная рвота, СПИД, некоторые гельминтозы, онкологические заболевания, приводящие к раковой кахексии, и пр. Однако в большинстве случаев синдром Гайе-Вернике связан с хроническим алкоголизмом. Длительность злоупотребления алкоголем до появления синдрома варьирует от 6 до 20 лет, у женщин может составлять всего 3-4 года. Как правило, синдром Гайе-Вернике манифестирует в третьей или в конце второй стадии алкоголизма, когда ежедневное употребление алкоголя длится месяцами. При этом у 30-50% пациентов в анамнезе уже имеются алкогольные психозы.
Клиническая картина
Как правило, синдром Гайе-Вернике дебютирует после продромального периода, продолжительность которого колеблется в среднем от нескольких недель до месяцев. В продроме могут наблюдаться астения, анорексия с отвращением к некоторым блюдам, нестабильность стула (запоры, чередующиеся с диареей), тошнота и рвота, абдоминалгии, нарушения сна, судороги в пальцах конечностей и икроножных мышцах, снижение зрения, головокружение. В отдельных случаях синдром Гайе-Вернике дебютирует без продрома на фоне острой соматической или инфекционной патологии, абстинентного синдрома.
Характерной триадой манифестации острой энцефалопатии Гайе-Вернике считается: спутанность сознания, атаксия, глазодвигательные расстройства (офтальмоплегия). Однако она наблюдается только у 35% пациентов. В большинстве случаев отмечается неспособность к концентрации внимания, апатия, дезориентация, отсутствие связного мышления, расстройство понимания и восприятия. Если синдром Гайе-Вернике дебютирует на фоне абстинентного синдрома, возможен алкогольный делирий, сопровождающийся психомоторным возбуждением. Атаксия обычно выражена до степени абазии - невозможности самостоятельно ходить и даже стоять. Она является смешанной: мозжечковой, вестибулярной и сенситивной. Последняя обусловлена полиневропатией, наличие которой констатируется в 80% случаев. Глазные нарушения включают косоглазие, горизонтальный нистагм, опущение верхнего века, дискоординацию содружественных движений глазных яблок; на поздних стадиях - миоз.
При отсутствии лечения энцефалопатия Гайе-Вернике зачастую приводит к коме и смертельному исходу. На фоне проводимой терапии наблюдается постепенный регресс выше указанной симптоматики. В первую очередь исчезает офтальмоплегия. Это может происходить через несколько часов после начала введения витамина В1, в отдельных случаях - через 2-3 суток. При отсутствии подобной динамики следует пересмотреть диагноз. Расстройства сознания регрессируют более медленно. На этом фоне постепенно вырисовываются проблемы с усвоением новой информации и нарушения памяти (фиксационная амнезия, ложные воспоминания), составляющие клинику корсаковского синдрома.
Ассоциированные симптомы: Запор. Понос (диарея). Рвота. Судороги. Судороги в ногах. Тошнота.
Характерной триадой манифестации острой энцефалопатии Гайе-Вернике считается: спутанность сознания, атаксия, глазодвигательные расстройства (офтальмоплегия). Однако она наблюдается только у 35% пациентов. В большинстве случаев отмечается неспособность к концентрации внимания, апатия, дезориентация, отсутствие связного мышления, расстройство понимания и восприятия. Если синдром Гайе-Вернике дебютирует на фоне абстинентного синдрома, возможен алкогольный делирий, сопровождающийся психомоторным возбуждением. Атаксия обычно выражена до степени абазии - невозможности самостоятельно ходить и даже стоять. Она является смешанной: мозжечковой, вестибулярной и сенситивной. Последняя обусловлена полиневропатией, наличие которой констатируется в 80% случаев. Глазные нарушения включают косоглазие, горизонтальный нистагм, опущение верхнего века, дискоординацию содружественных движений глазных яблок; на поздних стадиях - миоз.
При отсутствии лечения энцефалопатия Гайе-Вернике зачастую приводит к коме и смертельному исходу. На фоне проводимой терапии наблюдается постепенный регресс выше указанной симптоматики. В первую очередь исчезает офтальмоплегия. Это может происходить через несколько часов после начала введения витамина В1, в отдельных случаях - через 2-3 суток. При отсутствии подобной динамики следует пересмотреть диагноз. Расстройства сознания регрессируют более медленно. На этом фоне постепенно вырисовываются проблемы с усвоением новой информации и нарушения памяти (фиксационная амнезия, ложные воспоминания), составляющие клинику корсаковского синдрома.
Ассоциированные симптомы: Запор. Понос (диарея). Рвота. Судороги. Судороги в ногах. Тошнота.
Диагностика
Установить диагноз «синдром Гайе-Вернике» неврологу позволяют данные анамнеза, характерная клиническая картина, регресс симптоматики на фоне терапии тиамином. При осмотре обращают внимание на признаки хронического нарушения питания (пониженная масса тела, сухость кожи и снижение ее эластичности, деформация ногтей ). В неврологическом статусе отмечаются расстройство сознания, смешанная атаксия, офтальмоплегия, полиневропатия, признаки вегетативной дисфункции (гипергидроз, тахикардия, артериальная гипотония, ортостатический коллапс).
В биохимическом анализе крови возможно значительное снижение активности транскетолазы и повышение концентрации пирувата. После проведения люмбальной пункции исследование цереброспинальной жидкости определяет, что она соответствует норме. При выявлении плеоцитоза или содержания белка более 1000 г/л следует думать о развитии осложнений. Калорическая проба диагностирует наличие практически симметричных двусторонних вестибулярных расстройств.
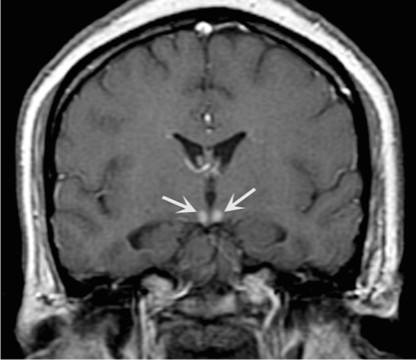
В половине случаев синдром Гайе-Вернике сопровождается генерализованным замедлением волн при ЭЭГ. РЭГ зачастую определяет диффузное снижение церебрального кровотока. КТ головного мозга, как правило, не регистрирует патологические изменения в церебральных тканях. МРТ головного мозга позволяет выявить гиперинтенсивные области в медиальных ядрах таламуса, мамиллярных тельцах, стенках III желудочка, ретикулярной формации, сером веществе, окружающем сильвиев водопровод, крыше среднего мозга. Зоны поражения склонны накапливать контраст, вводимый при проведении дополнительного контрастирования в ходе МРТ. В перечисленных областях могут определяться петехиальные кровоизлияния и признаки цитотоксического отека.
В биохимическом анализе крови возможно значительное снижение активности транскетолазы и повышение концентрации пирувата. После проведения люмбальной пункции исследование цереброспинальной жидкости определяет, что она соответствует норме. При выявлении плеоцитоза или содержания белка более 1000 г/л следует думать о развитии осложнений. Калорическая проба диагностирует наличие практически симметричных двусторонних вестибулярных расстройств.
В половине случаев синдром Гайе-Вернике сопровождается генерализованным замедлением волн при ЭЭГ. РЭГ зачастую определяет диффузное снижение церебрального кровотока. КТ головного мозга, как правило, не регистрирует патологические изменения в церебральных тканях. МРТ головного мозга позволяет выявить гиперинтенсивные области в медиальных ядрах таламуса, мамиллярных тельцах, стенках III желудочка, ретикулярной формации, сером веществе, окружающем сильвиев водопровод, крыше среднего мозга. Зоны поражения склонны накапливать контраст, вводимый при проведении дополнительного контрастирования в ходе МРТ. В перечисленных областях могут определяться петехиальные кровоизлияния и признаки цитотоксического отека.
|
|
Лечение
Синдром Гайе-Вернике является ургентным состоянием. Требуется срочная госпитализация и скорейшее начало терапии витамином В1. Тиамин вводится внутривенно капельно дважды в день, затем переходят на внутримышечное введение. Параллельно с этим назначают и другие витамины: В6, С, РР. Делирий является показанием к назначению барбамила, хлорпромазина, диазепама, галоперидола и пр. психотропных средств. В качестве антиоксидантного лечения применяют инфузии цитофлавина. При необходимости терапия проводится с участием психиатра или нарколога. В дальнейшем для улучшения мнестических функций назначают курсы ноотропов (пирацетама, гамма-аминомасляной кислоты, экстракта гинкго билобы) и сосудистых фармпрепаратов (пентоксифиллина, винпоцетина), проводят повторные курсы терапии тиамином.
Прогноз
Синдром Гайе-Вернике имеет серьезный прогноз. В 15-20% случаев госпитализированные в стационар пациенты погибают, чаще всего от печеночной недостаточности или интеркуррентных инфекций (легочного туберкулеза, тяжелой пневмонии, сепсиса). Если энцефалопатия Гайе-Вернике имеет алкогольный генез, то наблюдается ее трансформация в корсаковский психоз, представляющий собой стойкий психоорганический синдром и ассоциирующийся с хронической алкогольной энцефалопатией.