Продолжая работу с сайтом, вы разрешаете использование сookies и соглашаетесь с политикой конфиденциальности.
.,о.,р..и.:г,.и.,н.;н.,а;,л.. .,н.:а,.х.,о.,д.;и.,т..с.:я,, ..н.;а., .,k;,i..b.:e,;r.,i.,s.,.;.r.:u,

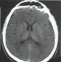
Субдуральная гигрома

ДобавьАналогиСравни
Нигде не найдено ... скрыть
 
По жалобе ничего не найдено в выбранном разделе медицины. Попробуйте переформулировать жалобу или сменить источник поиска выше
Лечат в 2719 клиниках 126 городов
X
X
Нужен: терапевт, 5 анализов, 5 услуг
Уфа, ул. Правды, д. 19 +7(347..показать+7(495) 104-88-01, +7(347) 292-70-07 от 4980₽
Уфа, ул. Союзная, д. 35 +7(347..показать+7(495) 104-88-01, +7(347) 292-70-07 от 4980₽
Уфа, ул. Карла Маркса, д. 69 +7(347..показать+7(495) 104-88-01, +7(347) 292-70-07 от 4980₽
Нижний Новгород, ул. Таллинская, д. 8В, корп. 2 +7(831..показать+7(495) 104-88-01, +7(831) 248-53-86 от 5045₽
Ростов-на-Дону, ул. Тельмана, д. 110, стр. 1 +7(800..показать+7(495) 104-88-01, +7(800) 700-99-01, +7(863) 285-60-99, +7(928) 150-22-25 от 7820₽
Москва, ул. Старокачаловская, д. 3, корп. 3 +7(495..показать+7(495) 104-88-01, +7(495) 023-60-84 от 10350₽
Краснодар, Кубанская наб., д. 37/1 +7(861..показать+7(495) 104-88-01, +7(861) 202-02-02 от 10390₽
Москва, ул. Будайская, д. 2 +7(495..показать+7(495) 104-88-01, +7(495) 727-00-03, +7(499) 187-08-17 от 10423₽
Краснодар, ул. Герцена, д. 265/2 +7(861..показать+7(495) 104-88-01, +7(861) 202-02-02 от 10440₽
Москва, ул. Маршала Голованова, д. 1, корп. 2 +7(495..показать+7(495) 104-88-01, +7(495) 023-60-84 от 10490₽
Ещё 2709 клиник
  1. МКБ-10 коды
  2. Описание
  3. Причины
  4. Клиническая картина
  5. Лечение
  6. Прогноз
  7. Похожие заболевания
  8. Связанные клинические рекомендации
  9. Связанные стандарты мед. помощи
  10. Основные медицинские услуги
  11. Клиники для лечения

Другие названия и синонимы

Subdural hygroma.
Субдуральная гигрома

МКБ-10 коды

Описание

 Субдуральная гигрома - это возникшее в результате ЧМТ отграниченное скопление цереброспинальной жидкости в субдуральном пространстве, вызывающее сдавление головного мозга.
Субдуральная гигрома

Причины

 Субдуральная гигрома образуется при ЧМТ различной тяжести вследствие разрыва субарахноидальных цистерн, чаще на основании мозга (супраселлярной, боковой и ), откуда ЦСЖ распространяется конвекситально. Объем субдуральной гигромы колеблется от 30 до 250 мл; их содержимое представляет кровянистую, ксантохромную или бесцветную жидкость, которая по своим биохимическим показателям гораздо ближе к ЦСЖ, чем к сыворотке крови.

Клиническая картина

 Субдуральные гигромы могут развиваться как изолированные, так и в сложном сочетании с ушибами головного мозга, внутричерепными гематомами, субарахноидальным кровоизлиянием, переломами костей черепа. Эти обстоятельства обусловливают полиморфность клинической картины субдуральной гигромы. Если субдуральная гигрома доминирует в клинической картине, то ее проявление и течение напоминают таковые при внутричерепных гематомах, особенно субдуральных. Для субдуральных гигром в этих случаях характерна трехфазность изменения сознания. Первичная потеря сознания часто бывает непродолжительной и не достигает степени комы. В светлом промежутке ( Светлый промежуток) наблюдается либо полное восстановление сознания, либо умеренное оглушение. Спустя несколько часов или суток на этом фоне отмечаются головные боли, приступообразно усиливающиеся и имеющие оболочечный оттенок (локальная болезненность, иррадиация в глазные яблоки, шейно-затылочную область, светобоязнь). Пароксизмы цефалгии временами сопровождаются рвотой. Обращает на себя внимание сравнительная частота нарушений психики по типу лобного синдрома (снижение критики к своему состоянию, эйфория, апатико-абулические явления, дезориентировка вместе и времени, мнестические расстройства, конфабуляции ), дополняемого появлением хоботкового и хватательного рефлексов. Нередко развивается психомоторное возбуждение. В клинической картине субдуральных гигром видное место занимают менингеальные симптомы. Чаще они обусловлены раздражением мозговых оболочек как самим скоплением ЦСЖ, так и сопутствующим субарахноидальным кровоизлиянием; реже имеют стволовой генез с характерной диссоциацией по оси тела (с преобладанием симптома Кернига над ригидностью затылочных мышц). Для субдуральных гигром типична прогрессирующая брадикардия. Часто улавливаются начальные явления застоя на глазном дне. Эти признаки компрессии могут предшествовать или сопутствовать вторичному выключению сознания. Изменения ритма дыхания, гипертермия, неврологические стволовые расстройства мало свойственны клинике субдуральных гигром.
 Среди очаговой симптоматики ведущая роль принадлежит гомолатеральному мидриазу, контралатеральному гемипарезу, а также (при расположении над доминантным полушарием) речевым нарушениям. Одностороннее расширение зрачка при субдуральной гигроме обычно выражено умеренно и протекает с сохранением его реакций на свет. Если гемипарез обусловлен самой субдуральной гигромой, то он нередко отличается мягкостью и постепенностью развития через фазу брахиофациальной недостаточности. В клинике субдуральной гигромы часто проявляется судорожный компонент; при этом клонические судороги, первоначально возникающие в паретичных конечностях, могут переходить в общий эпилептический припадок.
 Подобно субдуральным гематомам, субдуральные гигромы по темпу развития сдавления мозга делятся на острые, подострые, хронические. При остром течении субдуральной гигромы (с развитием компрессии мозга в первые 3 суток после травмы) чаще имеется их сочетание с другими тяжелыми формами ЧМТ. При подостром течении (с развитием сдавления мозга в течение 4-14 суток после травмы) субдуральные гигромы обычно выступают в сравнительно «чистом» виде. Хронические субдуральные гигромы (с развитием сдавления мозга в сроки от 2 недель до нескольких лет) отличаются от острых и подострых форм образованием капсулы, напоминающей по строению стенку хронической субдуральным гематомы. При любой форме течения субдуральных гигром может встречаться их двустороннее расположение, при этом обнаруживается билатеральная пирамидная недостаточность, нередко асимметричная за счет преобладающего воздействия со стороны гигромы большего объема или сопутствующего ушиба мозга.
 Ассоциированные симптомы: Агрессивность. Боль во всей голове. Рвота. Тонико-клонические судороги. Тошнота.

Лечение

 Субдуральные гигромы, вызывающие общее или местное сдавление мозга, подлежат хирургическому лечению. Часто достаточно наложения фрезевого отверстия и пункционного опорожнения субдуральной гигромы, жидкость из которой обычно выделяется пульсирующей струей. Однако следует учитывать, что субдуральные гигромы могут быстро рецидивировать вследствие сохраняющегося сообщения базальных цистерн с конвекситальным субдуральным пространством. Поэтому целесообразно дренировать субдуральное пространство в течение 1-2 суток. Используют также эндолюмбальные инсуфляции воздуха. Порой приходится прибегать к аспирации скапливающейся жидкости через наложенное при первичном ее опорожнении фрезевое отверстие. При персистирующих субдуральных гигромах применяют различные варианты шунтирующих операций. При сочетании субдуральных гигром и внутричерепных гематом, очагов размозжения, когда необходим широкий оперативный доступ, используют костно-пластическую трепанацию.

Прогноз

 Прогноз. При изолированных субдуральных гигромах прогноз для жизни и социально-трудовой реадаптации в большинстве наблюдений благоприятный. При упорных рецидивах субдуральных гигром существенно возрастают различные осложнения и инвалидизация пострадавших. Летальные исходы при субдуральных гигромах обычно обусловлены сопутствующими тяжелыми повреждениями головного мозга и соматическими отягощениями.

Похожие заболевания

Связанные клинические рекомендации

Связанные стандарты мед. помощи

42a96bb5c8a2acfb07fc866444b97bf1
Доступно только при использовании PRO аккаунта
Модератор контента: Васин А.С.


  1. Киберис НЕ является интернет-магазином и НЕ осуществляет закупку, хранение, продажу и доставку препаратов. Ресурс выступает лишь в роли посредника между вами и производителем препаратов или аптечными пунктами, которые и осуществляют поставку.
  2. На Киберис размещены описания препаратов, часть из которых предназначена только для врачей. Данная информация не может быть использована пациентами для принятия решения об использовании препаратов, их отмене или коррекции дозировок.
  3. Ничто в представленной информации не должно быть истолковано как призыв использовать данные препараты.
  4. К Киберис не могут быть обращены претензии по поводу любого ущерба или вреда, понесенного в результате использования размещенной на сайте информации.