Другие названия и синонимы
Echinococcosis.
МКБ-10 коды
- МКБ-10
- B67 Эхинококкоз
|
|
Описание
Эхинококкоз - редкое хронически протекающее паразитарное заболевание, возникающее в результате воздействия на организм личиночной формы ленточного гельминта Echinococcus granulosus.
Эхинококкоз имеет широкое распространение во всем мире. По статистике наиболее интенсивно поражено население и животные южных стран: страны Южной Америки (Уругвай, Парагвай, Аргентина, Чили, Бразилия), Австралия и Новая Зеландия, Северная Африка (Тунис, Алжир, Марокко, АРЕ), Южная Европа (Италия, Греция, Кипр, Турция, Испания, Югославия. Болгария, Франция), далее - южная часть США, Япония, Индия, бывший СССР. По мере продвижения с юга на север пораженность снижается. На территории бывшего Союза эхинококкоз распространен в тех республиках и областях, где развито животноводство, главным образом овцеводство - Северном Кавказе, Закавказье, Казахстане, Киргизстане, Узбекистане, Молдове (заболеваемость населения составляет 1,37 - 3,85 на 100 000), в России - Башкортостане, Татарстане, Ставропольском, Краснодарском, Алтайском, Красноярском, Хабаровском краях, Волгоградской, Самарской, Ростовской, Оренбургской, Челябинской, Томской, Омской, Камчатской, Магаданской, Амурской областях и Чукотском автономном округе.
В Украине эхинококкоз чаще регистрируется в южных областях - Одесской, Крымской, Херсонской, Николаевской, Донецкой, Запорожской, в остальных - спорадические случаи.
На территории Украины регистрируется 2 типа очагов: в степной южной зоне циркулирует «овечий» штамм, в полесской и лесостепной - преимущественно «свиной». Пораженность овец в Одесской области составила 32%, крупного рогатого скота - 20%, свиней - 9%.
Эхинококкоз имеет широкое распространение во всем мире. По статистике наиболее интенсивно поражено население и животные южных стран: страны Южной Америки (Уругвай, Парагвай, Аргентина, Чили, Бразилия), Австралия и Новая Зеландия, Северная Африка (Тунис, Алжир, Марокко, АРЕ), Южная Европа (Италия, Греция, Кипр, Турция, Испания, Югославия. Болгария, Франция), далее - южная часть США, Япония, Индия, бывший СССР. По мере продвижения с юга на север пораженность снижается. На территории бывшего Союза эхинококкоз распространен в тех республиках и областях, где развито животноводство, главным образом овцеводство - Северном Кавказе, Закавказье, Казахстане, Киргизстане, Узбекистане, Молдове (заболеваемость населения составляет 1,37 - 3,85 на 100 000), в России - Башкортостане, Татарстане, Ставропольском, Краснодарском, Алтайском, Красноярском, Хабаровском краях, Волгоградской, Самарской, Ростовской, Оренбургской, Челябинской, Томской, Омской, Камчатской, Магаданской, Амурской областях и Чукотском автономном округе.
В Украине эхинококкоз чаще регистрируется в южных областях - Одесской, Крымской, Херсонской, Николаевской, Донецкой, Запорожской, в остальных - спорадические случаи.
На территории Украины регистрируется 2 типа очагов: в степной южной зоне циркулирует «овечий» штамм, в полесской и лесостепной - преимущественно «свиной». Пораженность овец в Одесской области составила 32%, крупного рогатого скота - 20%, свиней - 9%.
Клиническая картина
Различают четыре стадии эхинококкоза:
- первая - латентная (начальная бессимптомная), с момента инвазии онкосферы (проникновение в организм) до появления субъективных признаков;
- вторая - слабовыраженные, преимущественно субъективные расстройства;
- третья - резко выраженные объективные симптомы и.
- четвертая - осложнения.
Длительность течения стадий, учитывая медленный рост эхинококковой кисты, установить трудно. Можно только отметить, что быстрота нарастания симптомов связана с локализацией эхинококка. Так, например, киста, развивающаяся в периферических отделах паренхимы печени, долгие годы может не давать никаких ощущений, если же она развивается вблизи ворот печени, то, сдавливая печеночные ходы, довольно быстро вызывает обтурационную желтуху, а сдавливая воротную вену, приводит к развитию асцита.
Клинические проявления при начальных стадиях заболевания обычно скудны, они выявляются, когда киста достигает значительных размеров или в связи со своим расположением сдавит важный орган и приведет к нарушению его функции. Эхинококковая киста внутренних органов (печень, почки, селезенка и ) обычно распознается, когда прощупывается тугоэластическая опухоль, а поражение легких, костей определяется на рентгеновских снимках в виде кистозных образований.
Чаще встречается эхинококкоз печени. При неосложненном эхинококкозе печени растущая киста растягивает капсулу органа, вызывая тупые, ноющие, реже - приступообразные боли.
Ассоциированные симптомы: Влажный кашель. Горький привкус во рту. Кашель. Кровохарканье. Лейкоцитурия. Ломота в мышцах. Ломота в теле. Недомогание. Отсутствие аппетита. Понос (диарея). Потеря веса. Тошнота. Тяжесть в подреберье. Эозинофилия.
- первая - латентная (начальная бессимптомная), с момента инвазии онкосферы (проникновение в организм) до появления субъективных признаков;
- вторая - слабовыраженные, преимущественно субъективные расстройства;
- третья - резко выраженные объективные симптомы и.
- четвертая - осложнения.
Длительность течения стадий, учитывая медленный рост эхинококковой кисты, установить трудно. Можно только отметить, что быстрота нарастания симптомов связана с локализацией эхинококка. Так, например, киста, развивающаяся в периферических отделах паренхимы печени, долгие годы может не давать никаких ощущений, если же она развивается вблизи ворот печени, то, сдавливая печеночные ходы, довольно быстро вызывает обтурационную желтуху, а сдавливая воротную вену, приводит к развитию асцита.
Клинические проявления при начальных стадиях заболевания обычно скудны, они выявляются, когда киста достигает значительных размеров или в связи со своим расположением сдавит важный орган и приведет к нарушению его функции. Эхинококковая киста внутренних органов (печень, почки, селезенка и ) обычно распознается, когда прощупывается тугоэластическая опухоль, а поражение легких, костей определяется на рентгеновских снимках в виде кистозных образований.
Чаще встречается эхинококкоз печени. При неосложненном эхинококкозе печени растущая киста растягивает капсулу органа, вызывая тупые, ноющие, реже - приступообразные боли.
Ассоциированные симптомы: Влажный кашель. Горький привкус во рту. Кашель. Кровохарканье. Лейкоцитурия. Ломота в мышцах. Ломота в теле. Недомогание. Отсутствие аппетита. Понос (диарея). Потеря веса. Тошнота. Тяжесть в подреберье. Эозинофилия.
Течение и стадии
По классификации А. В. Мельникова, различают 3 стадии течения инвазии.
Первая - начальная бессимптомная - с момента заражения до проявления первых клинических признаков болезни. Вторая стадия - появление симптомов болезни: жалобы больных на слабость, снижение работоспособности, ухудшение аппетита, тошноту и рвоту иногда нарушение стула. На этом фоне возникают ощущения давления и тяжести в правом подреберье, эпигастрии, а иногда острые, сильные тупые боли, Печень при пальпации увеличена мало болезненна, при поверхностном расположении кисты - мягкая, эластичная, при начинающемся обызвествлении - деревянистой плотности. Сдавливание воротной или нижней полой вены, а также сдавливание внутри- и внепеченочных желчных протоков приводит к развитию обтурационной желтухи.
Третья стадия - стадия выраженных патологических изменений и осложнений: развитие абсцесса, возможный разрыв кисты с лихорадкой с ознобами, болями в верхней половине живота.
В гемограмме - лейкоцитоз с палочкоядерным сдвигом, возможна эозинофилия.
Разрыв кисты - тяжелейшее осложнение эхинококкоза бывает при ушибе, падении, резком движении, сильном кашлевом толчке. Клинически перфорация кисты может проявиться комплексом аллергических реакций вплоть до развития аллергического шока. Особенно опасна диссеминация эхинококковых кист.
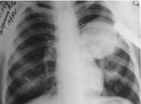
Эхинококкоз легких - второе по частоте проявление инвазии, может симулировать любое заболевание легких другой этиологии.
Первая стадия - стадия невскрывшейся эхинококковой кисты - связана с ростом пузыря, сдавлением ткани легкого, сосудов, бронхов, вовлечением плевры. Больных беспокоят одышка, кровохарканье, боли в грудной клетке, сильный кашель, особенно ночью, вначале сухой, затем переходящий во влажный со слизисто-гнойной мокротой. Визуально - деформация грудной клетки, сглаженность межреберных промежутков. Перкуторно - притупление звука, аускультативно - ослабление дыхания, шум трения плевры и.
Вторая стадия связана с вскрытием кисты. При прорыве в бронх (чаще) появляется сильный кашель, удушье, цианоз, тяжелые аллергические реакции, развитие аспирационной пневмонии. При прорыве в плевру, перикард может наступить анафлактический шок и внезапная смерть.
В случаях эхинококкоза других органов (селезенки, почек, костей, мышц) преобладают симптомы, симулирующие опухолевый процесс.
Важными общими симптомами эхинококкоза являются периодически развивающиеся признаки аллергической реакции (крапивница и ), что обычно связано с всасыванием эхинококковой жидкости при надрывах оболочки кисты или в результате операции. Для эхинококкоза, как, впрочем, и для других глистных заболеваний, характерна эозинофилия, достигающая 10-25 %.
Первая - начальная бессимптомная - с момента заражения до проявления первых клинических признаков болезни. Вторая стадия - появление симптомов болезни: жалобы больных на слабость, снижение работоспособности, ухудшение аппетита, тошноту и рвоту иногда нарушение стула. На этом фоне возникают ощущения давления и тяжести в правом подреберье, эпигастрии, а иногда острые, сильные тупые боли, Печень при пальпации увеличена мало болезненна, при поверхностном расположении кисты - мягкая, эластичная, при начинающемся обызвествлении - деревянистой плотности. Сдавливание воротной или нижней полой вены, а также сдавливание внутри- и внепеченочных желчных протоков приводит к развитию обтурационной желтухи.
Третья стадия - стадия выраженных патологических изменений и осложнений: развитие абсцесса, возможный разрыв кисты с лихорадкой с ознобами, болями в верхней половине живота.
В гемограмме - лейкоцитоз с палочкоядерным сдвигом, возможна эозинофилия.
Разрыв кисты - тяжелейшее осложнение эхинококкоза бывает при ушибе, падении, резком движении, сильном кашлевом толчке. Клинически перфорация кисты может проявиться комплексом аллергических реакций вплоть до развития аллергического шока. Особенно опасна диссеминация эхинококковых кист.
Эхинококкоз легких - второе по частоте проявление инвазии, может симулировать любое заболевание легких другой этиологии.
Первая стадия - стадия невскрывшейся эхинококковой кисты - связана с ростом пузыря, сдавлением ткани легкого, сосудов, бронхов, вовлечением плевры. Больных беспокоят одышка, кровохарканье, боли в грудной клетке, сильный кашель, особенно ночью, вначале сухой, затем переходящий во влажный со слизисто-гнойной мокротой. Визуально - деформация грудной клетки, сглаженность межреберных промежутков. Перкуторно - притупление звука, аускультативно - ослабление дыхания, шум трения плевры и.
Вторая стадия связана с вскрытием кисты. При прорыве в бронх (чаще) появляется сильный кашель, удушье, цианоз, тяжелые аллергические реакции, развитие аспирационной пневмонии. При прорыве в плевру, перикард может наступить анафлактический шок и внезапная смерть.
В случаях эхинококкоза других органов (селезенки, почек, костей, мышц) преобладают симптомы, симулирующие опухолевый процесс.
Важными общими симптомами эхинококкоза являются периодически развивающиеся признаки аллергической реакции (крапивница и ), что обычно связано с всасыванием эхинококковой жидкости при надрывах оболочки кисты или в результате операции. Для эхинококкоза, как, впрочем, и для других глистных заболеваний, характерна эозинофилия, достигающая 10-25 %.
Возможные осложнения
Опасными осложнениями эхинококковой кисты являются нагноение или разрыв ее с обсеменением брюшной, плевральной или какой-либо другой полости.
Причины
Возбудителем эхинококкоза человека является личиночная стадия цепня эхинококка - Echinococcus granulosus.
Половозрелая форма эхинококка - мелкая цестода длиной 2,5 - 5,4 шириной 0,25 - 0,8 Она состоит из грушевидного сколекса, шейки и 3 - 4 члеников.
Сколекс снабжен четырьмя присосками и короной из двух рядов крючьев (28 - 50).
За сколексом идет короткая шейка и членики, первые два - незрелые, третий гермафродитный и четвертый - зрелый. Зрелый членик (длина 1,27 - 3,17 мм) заполнен растянутой маткой, представляющей собой широкий продольный ствол с боковыми выпячиваниями. Матка набита яйцами (400 - 600 штук), не отличающимися по своему строению от яиц бычьего и свиного цепней (тениид), содержащих внутри шестикрючную онкосферу.
Половозрелая форма - цепень эхинококка - паразитирует только у животных: собак, волков, шакалов, лисиц, которые являются окончательными хозяевами. Личиночная стадия - эхинококковая киста - паразитирует у промежуточных хозяев - различных травоядных и всеядных копытных животных (овцы, козы, крупный рогатый скот, свиньи, лошади и ) и человека.
Эхинококковая киста представляет собой пузырь весьма сложной структуры. Снаружи он окружен слоистой оболочкой (кутикулой), толщина которой иногда достигает 5 Под многослойной кутикулярной оболочкой лежит тонкая внутренняя зародышевая (герминативная) оболочка, которая продуцирует выводковые капсулы со сколексами, дочерние пузыри, а также дает рост слоистой оболочке.
Выводковые капсулы представляют собой небольшие пузырьковидные образования, рассеянные на зародышевой оболочке и соединенные с ней тоненькой ножкой. Они имеют то же строение, что и основной пузырь, но с обратным расположением оболочек (снаружи герминативная, внутри - слоистая). Каждая выводковая капсула содержит прикрепленные к ее стенке сколексы, ввернутые внутрь и имеющие типично для цепней строение. Пузырь заполнен жидкостью, играющей роль защитной питательной среды для выводковых капсул и сколексов.
В жидкости могут находиться свободно взвешенные, оторвавшиеся сколексы и выводковые капсулы, так называемый гидатидозный песок.
Пузырь постепенно покрывается соединительнотканной оболочкой. Нередко в такой материнской кисте, помимо выше перечисленных элементов, содержатся еще так называемые дочерние пузыри, имеющие такое же строение, а внутри них - внучатые пузыри.
Такие кисты наблюдаются у человека. Иногда дочерние пузыри образуются не внутри материнской кисты, а снаружи. Такие пузыри называют экзогенными.
Эхинококковые кисты, образующиеся у животных, как правило, не содержат выводковых капсул и сколексов, их называют ацефалоцистами. У человека эта форма не встречается.
В овцеводческих районах южной зоны кругооборот эхинококка идет по схеме: овца -› сторожевые собаки, сопровождающие отару -› овцы.
В западных районах интенсивного свиноводства кругооборот эхинококка идет по схеме: свиньи -› собаки -› свиньи. Отсутствие активной двигательной функции у члеников «свиного» штамма уменьшает загрязнение шерсти собак, почвы, тем самым ограничивает условия заражения людей и животных.
Интенсивность передачи инвазии определяется, прежде всего, численностью источников инвазии окончательных хозяев и количеством выделяемого ими инвазионного материала - онкосфер и члеников.
Онкосферы переносят температуру от -30°С до +38°С, на поверхности почвы в тени при температуре 10 - 26°С сохраняют жизнеспособность в течение месяца, но на солнце при температуре 18 - 50°С погибают через 1-5 суток. В траве при температуре 14 - 28°С они погибают не ранее, чем через 1,5 месяца. Онкосферы хорошо переносят низкую температуру, при которой могут сохраняться ряд лет, но весьма неустойчивы к высыханию.
Циркуляция инвазии при эхинококкозах осуществляется по известной схеме: источник инвазии (окончательные хозяева - плотоядные животные) -› внешняя среда, загрязненная онкосферами и члениками паразита, -› промежуточный хозяин (травоядные, всеядные животные, зараженные личинками) -› незараженный окончательный хозяин.
Человек - промежуточный хозяин - является биологическим тупиком.
При эхинококкозе человека в качестве окончательного хозяина основное положение занимает собака. Собаки заражаются при поедании мясных отбросов боен, убойных площадок, кухонь, при скармливании им конфискатов с боен или пораженных ларвоцистами органов забитых на дому животных. Возможно заражение собак также при скармливании им продуктов охоты - пораженных органов или трупов диких травоядных животных.
Пути заражения промежуточных хозяев также различны, травоядные сельскохозяйственные животные заражаются при проглатывании яиц, члеников гельминта с травой, сеном, водой, загрязненных фекалиями инвазированных собак. Свиньи, будучи копрофагами, заражаются, поедая фекалии собак. Основную роль в заражении человека через грязные руки играет общение с инвазированными собаками, на шерсти и языке которых могут находиться яйца и членики цепней эхинококка. Здоровые животные также могут передавать инвазию человеку в качестве механических переносчиков яиц, которыми загрязняется их шерсть, язык при облизывании зараженной собаки.
Не исключается заражение человека при употреблении пищу немытых овощей, ягод, фруктов, загрязненных фекалиями собак, содержащих онкосферы.
Человек может заражаться также от диких плотоядных во время охоты при разделке шкур, изготовлении меховой одежды, а также при употреблении в пищу немытых дикорастущих ягод, питье воды из природных водоемов.
В овцеводческих районах, где циркуляция возбудителя происходит в основном между собаками и овцами, к группам риска относятся пастухи, чабаны, сопровождающие отары, а также стригали шерсти овец и члены из семей.
Половозрелая форма эхинококка - мелкая цестода длиной 2,5 - 5,4 шириной 0,25 - 0,8 Она состоит из грушевидного сколекса, шейки и 3 - 4 члеников.
Сколекс снабжен четырьмя присосками и короной из двух рядов крючьев (28 - 50).
За сколексом идет короткая шейка и членики, первые два - незрелые, третий гермафродитный и четвертый - зрелый. Зрелый членик (длина 1,27 - 3,17 мм) заполнен растянутой маткой, представляющей собой широкий продольный ствол с боковыми выпячиваниями. Матка набита яйцами (400 - 600 штук), не отличающимися по своему строению от яиц бычьего и свиного цепней (тениид), содержащих внутри шестикрючную онкосферу.
Половозрелая форма - цепень эхинококка - паразитирует только у животных: собак, волков, шакалов, лисиц, которые являются окончательными хозяевами. Личиночная стадия - эхинококковая киста - паразитирует у промежуточных хозяев - различных травоядных и всеядных копытных животных (овцы, козы, крупный рогатый скот, свиньи, лошади и ) и человека.
Эхинококковая киста представляет собой пузырь весьма сложной структуры. Снаружи он окружен слоистой оболочкой (кутикулой), толщина которой иногда достигает 5 Под многослойной кутикулярной оболочкой лежит тонкая внутренняя зародышевая (герминативная) оболочка, которая продуцирует выводковые капсулы со сколексами, дочерние пузыри, а также дает рост слоистой оболочке.
Выводковые капсулы представляют собой небольшие пузырьковидные образования, рассеянные на зародышевой оболочке и соединенные с ней тоненькой ножкой. Они имеют то же строение, что и основной пузырь, но с обратным расположением оболочек (снаружи герминативная, внутри - слоистая). Каждая выводковая капсула содержит прикрепленные к ее стенке сколексы, ввернутые внутрь и имеющие типично для цепней строение. Пузырь заполнен жидкостью, играющей роль защитной питательной среды для выводковых капсул и сколексов.
В жидкости могут находиться свободно взвешенные, оторвавшиеся сколексы и выводковые капсулы, так называемый гидатидозный песок.
Пузырь постепенно покрывается соединительнотканной оболочкой. Нередко в такой материнской кисте, помимо выше перечисленных элементов, содержатся еще так называемые дочерние пузыри, имеющие такое же строение, а внутри них - внучатые пузыри.
Такие кисты наблюдаются у человека. Иногда дочерние пузыри образуются не внутри материнской кисты, а снаружи. Такие пузыри называют экзогенными.
Эхинококковые кисты, образующиеся у животных, как правило, не содержат выводковых капсул и сколексов, их называют ацефалоцистами. У человека эта форма не встречается.
В овцеводческих районах южной зоны кругооборот эхинококка идет по схеме: овца -› сторожевые собаки, сопровождающие отару -› овцы.
В западных районах интенсивного свиноводства кругооборот эхинококка идет по схеме: свиньи -› собаки -› свиньи. Отсутствие активной двигательной функции у члеников «свиного» штамма уменьшает загрязнение шерсти собак, почвы, тем самым ограничивает условия заражения людей и животных.
Интенсивность передачи инвазии определяется, прежде всего, численностью источников инвазии окончательных хозяев и количеством выделяемого ими инвазионного материала - онкосфер и члеников.
Онкосферы переносят температуру от -30°С до +38°С, на поверхности почвы в тени при температуре 10 - 26°С сохраняют жизнеспособность в течение месяца, но на солнце при температуре 18 - 50°С погибают через 1-5 суток. В траве при температуре 14 - 28°С они погибают не ранее, чем через 1,5 месяца. Онкосферы хорошо переносят низкую температуру, при которой могут сохраняться ряд лет, но весьма неустойчивы к высыханию.
Циркуляция инвазии при эхинококкозах осуществляется по известной схеме: источник инвазии (окончательные хозяева - плотоядные животные) -› внешняя среда, загрязненная онкосферами и члениками паразита, -› промежуточный хозяин (травоядные, всеядные животные, зараженные личинками) -› незараженный окончательный хозяин.
Человек - промежуточный хозяин - является биологическим тупиком.
При эхинококкозе человека в качестве окончательного хозяина основное положение занимает собака. Собаки заражаются при поедании мясных отбросов боен, убойных площадок, кухонь, при скармливании им конфискатов с боен или пораженных ларвоцистами органов забитых на дому животных. Возможно заражение собак также при скармливании им продуктов охоты - пораженных органов или трупов диких травоядных животных.
Пути заражения промежуточных хозяев также различны, травоядные сельскохозяйственные животные заражаются при проглатывании яиц, члеников гельминта с травой, сеном, водой, загрязненных фекалиями инвазированных собак. Свиньи, будучи копрофагами, заражаются, поедая фекалии собак. Основную роль в заражении человека через грязные руки играет общение с инвазированными собаками, на шерсти и языке которых могут находиться яйца и членики цепней эхинококка. Здоровые животные также могут передавать инвазию человеку в качестве механических переносчиков яиц, которыми загрязняется их шерсть, язык при облизывании зараженной собаки.
Не исключается заражение человека при употреблении пищу немытых овощей, ягод, фруктов, загрязненных фекалиями собак, содержащих онкосферы.
Человек может заражаться также от диких плотоядных во время охоты при разделке шкур, изготовлении меховой одежды, а также при употреблении в пищу немытых дикорастущих ягод, питье воды из природных водоемов.
В овцеводческих районах, где циркуляция возбудителя происходит в основном между собаками и овцами, к группам риска относятся пастухи, чабаны, сопровождающие отары, а также стригали шерсти овец и члены из семей.
|
|
Лечение
Извлечение эхинококка возможно только оперативным путем. Существует несколько методов операции:
1) радикальная эхинококкэктомия, полное удаление эхинококковой кисты вместе с ее фиброзной оболочкой,.
2) вскрытие кисты с удалением жидкости, всех дочерних пузырей и хитиновой оболочки с протиранием образовавшейся полости дезинфицирующим раствором формалина и тампонированием, дренированием или зашиванием ее наглухо.
При вскрытии эхинококковой кисты особое внимание обращают на изоляцию полостей тела и тканей от эхинококковой жидкости, так как ее попадание в полости (брюшную, грудную и ) или на стенки раны может привести к обсеменению.
1) радикальная эхинококкэктомия, полное удаление эхинококковой кисты вместе с ее фиброзной оболочкой,.
2) вскрытие кисты с удалением жидкости, всех дочерних пузырей и хитиновой оболочки с протиранием образовавшейся полости дезинфицирующим раствором формалина и тампонированием, дренированием или зашиванием ее наглухо.
При вскрытии эхинококковой кисты особое внимание обращают на изоляцию полостей тела и тканей от эхинококковой жидкости, так как ее попадание в полости (брюшную, грудную и ) или на стенки раны может привести к обсеменению.