Другие названия и синонимы
Heiner 's syndrome, Аллергический первичный гемосидероз легких.
МКБ-10 коды
|
|
Описание
Синдром Хайнера. Редкое аллергическое заболевание детского возраста, характеризующееся аномальной реакцией организма на белки коровьего молока. Симптоматика включает поражение дыхательной системы (кашель, одышку, кровохарканье), недобор массы тела у младенцев и другие признаки отставания в физическом развитии, диспепсические расстройства. Диагностику производят путем микроскопического изучения мокроты и кала, лабораторных анализов крови, элиминационных и провокационных проб. Лечение основывается на исключении из рациона молока коров, а также продуктов на его основе (включая смеси для детского питания) и симптоматической терапии.
Дополнительные факты
Синдром Хайнера (аллергический первичный гемосидероз легких) является очень редкой формой аллергической энтеропатии, спровоцированной белками молока - главным образом, коровьего, но описаны случаи аналогичных реакций на козьи и даже соевые молочные продукты. Патология возникает у детей в возрасте от 3 месяцев до 2-3 лет, с одинаковой частотой поражает мальчиков и девочек. Особенности клинического течения (бронхиты и бронхопневмонии неясного генеза, анемия, рвота и диарея) часто приводят к неправильной диагностике и последующему некорректному лечению. Предполагается, что значительная часть случаев (от трети до половины) остается не диагностированной - количество молока в рационе детей уменьшается с переходом на обычное питание, симптоматика самопроизвольно исчезает.
Причины
Этиология заболевания во многом остается неизученной, исследования затруднены из-за редкости патологии и большого количества незарегистрированных случаев. Предполагается, что основным этиологическим фактором является аномальная иммунологическая реакция на некоторые типы альбуминов молока, вызывающая выделение антител против них. Воздействие на собственные ткани организма при этом объясняется перекрестными реакциями - в основном, поражаются белки сосудов легких, предполагается воздействие на мембраны эритроцитов и клетки кишечного эпителия. Обсуждается влияние генетических факторов на развитие синдрома Хайнера, однако четких указаний на наследственный характер патологического состояния не выявлено.
Существует научная дискуссия, считать ли заболевание простым вариантом энтеропатической аллергии или полноценным аутоиммунным состоянием детского возраста. Сторонники аллергической версии указывают на наличие основного провоцирующего фактора - молока крупного рогатого скота, при исключении которого проявления сразу уменьшаются и практически исчезают. С другой стороны, выраженность и активность поражения собственных тканей является нехарактерной для простой аллергии. Недостаточность данных относительно сохранения непереносимости молока в старшем возрасте не дает возможности точно доказать справедливость той или иной точки зрения. Поэтому исследования состояния продолжаются с целью более точного определения его причин.
Существует научная дискуссия, считать ли заболевание простым вариантом энтеропатической аллергии или полноценным аутоиммунным состоянием детского возраста. Сторонники аллергической версии указывают на наличие основного провоцирующего фактора - молока крупного рогатого скота, при исключении которого проявления сразу уменьшаются и практически исчезают. С другой стороны, выраженность и активность поражения собственных тканей является нехарактерной для простой аллергии. Недостаточность данных относительно сохранения непереносимости молока в старшем возрасте не дает возможности точно доказать справедливость той или иной точки зрения. Поэтому исследования состояния продолжаются с целью более точного определения его причин.
Патогенез
Как и этиология, патогенез синдрома Хайнера изучен очень слабо, многие его проявления объясняются предположениями и теоретическими представлениями. Считается, что при попадании в желудочно-кишечный тракт коровьего молока его белки распознаются иммунной системой ребенка как чужеродные, сильно иммуногенные агенты. Возникающая реакция сопровождается выделением антител против данных протеинов, вызывает их связывание и последующую элиминацию. Поскольку при поступлении молока в организм оно первоначально находится в органах ЖКТ, первые проявления патологии затрагивают именно их - изменяется стул, возникают боли, расстройства перистальтики. Нарушается всасывание других нутриентов, в частности - железосодержащих веществ, что оказывает свое влияние на последующих этапах патогенеза синдрома.
На определенном этапе развития патологии возникает перекрестная реакция - антитела против белков молока начинают присоединяться к некоторым клеткам легких и других органов, маркируя их как чужеродные и, тем самым, стимулируя клеточные и гуморальные иммунологические реакции. Развивается инфильтрация легочной ткани с повреждением сосудов малого круга кровообращения, что клинически проявляется симптомами бронхопневмонии. Происходит потеря эритроцитов за счет их выхода из сосудов и поглощения макрофагами с образованием сидерофагов. Этот процесс в сочетании с недостаточным поступлением железа из ЖКТ приводит к гипохромной анемии, иногда принимающей угрожающий характер. В тяжелых случаях возникает гепатоспленомегалия. При продолжающемся поступлении молока сочетание легочных, желудочно-кишечных и гематологических нарушений становится причиной замедления физического развития ребенка.
На определенном этапе развития патологии возникает перекрестная реакция - антитела против белков молока начинают присоединяться к некоторым клеткам легких и других органов, маркируя их как чужеродные и, тем самым, стимулируя клеточные и гуморальные иммунологические реакции. Развивается инфильтрация легочной ткани с повреждением сосудов малого круга кровообращения, что клинически проявляется симптомами бронхопневмонии. Происходит потеря эритроцитов за счет их выхода из сосудов и поглощения макрофагами с образованием сидерофагов. Этот процесс в сочетании с недостаточным поступлением железа из ЖКТ приводит к гипохромной анемии, иногда принимающей угрожающий характер. В тяжелых случаях возникает гепатоспленомегалия. При продолжающемся поступлении молока сочетание легочных, желудочно-кишечных и гематологических нарушений становится причиной замедления физического развития ребенка.
Клиническая картина
Проявления патологии возникают в раннем возрасте, начиная с третьего месяца жизни, их развитию предшествует введение в рацион ребенка цельного коровьего молока либо содержащих его смесей. Первоначально могут определяться неспецифические желудочно-кишечные нарушения - колики, метеоризм, диарея, изредка рвота. Затем присоединяются признаки поражения легких - кашель, свистящие хрипы, затрудненное дыхание. Наблюдаемое на этом фоне повышение температуры тела, кровохарканье создает картину, сходную с пневмонией или другой формой легочной инфекции, что зачастую ведет к ошибочной диагностике и лечению.
Хрипы в легких, боли в животе, диарея и иные проявления усиливаются при продолжении употребления продуктов на основе молочного белка. Реакция на прием антибиотиков и других средств против пневмонии и желудочно-кишечной инфекции отсутствует. Это служит одним из важных диагностических признаков синдрома Хайнера. У некоторых больных возникают кожные проявления - сыпь, крапивница, зуд. Частым симптомом является поражение ЛОР-органов - регистрируется заложенность носа, боль в ушах, обусловленная отитом. Характер кала меняется по мере прогрессирования патологии - из простого жидкого он может становиться кровянистым, включающим сначала тонкие прожилки крови, а затем все большее ее количество.
Ассоциированные симптомы: Заложенность носа. Кашель. Кровохарканье. Лейкопения. Метеоризм. Одышка. Понос (диарея). Рвота. Увеличение СОЭ. Эозинофилия.
Хрипы в легких, боли в животе, диарея и иные проявления усиливаются при продолжении употребления продуктов на основе молочного белка. Реакция на прием антибиотиков и других средств против пневмонии и желудочно-кишечной инфекции отсутствует. Это служит одним из важных диагностических признаков синдрома Хайнера. У некоторых больных возникают кожные проявления - сыпь, крапивница, зуд. Частым симптомом является поражение ЛОР-органов - регистрируется заложенность носа, боль в ушах, обусловленная отитом. Характер кала меняется по мере прогрессирования патологии - из простого жидкого он может становиться кровянистым, включающим сначала тонкие прожилки крови, а затем все большее ее количество.
Ассоциированные симптомы: Заложенность носа. Кашель. Кровохарканье. Лейкопения. Метеоризм. Одышка. Понос (диарея). Рвота. Увеличение СОЭ. Эозинофилия.
Возможные осложнения
В острый период синдрома Хайнера особенную угрозу представляют легочные нарушения, способные осложняться вторичной бактериальной инфекцией с развитием жизнеугрожающих пневмоний с дыхательной недостаточностью. Анемия, дисфункция кишечника и связанное с этим нарушение всасывания нутриентов, витаминов и микроэлементов в целом снижает сопротивляемость организма инфекционным агентам. Инфильтрация тканей легких иммунокомпетентными клетками на протяжении длительного времени может переходить в ее замещение рубцовыми элементами (пневмосклероз). Это снижает емкость легких, затрудняет поступление кислорода в организм. По некоторым данным, у больных старшего возраста наблюдается повышенная частота развития бронхиальной астмы, пищевых аллергий, заболеваний ЛОР-органов.
Диагностика
Определение синдрома Хайнера в современной педиатрии сопряжено с рядом трудностей. Основную роль играет редкость патологии, из-за чего специалисты не всегда могут своевременно распознать ее наличие по причине отсутствия соответствующего опыта. Проблемы также создает неспецифичность проявлений заболевания, их схожесть с инфекционными поражениями легких, органов пищеварительной системы, анемией. Эти факторы приводят к неправильному определению диагноза, что затрудняет лечение и повышает риски возникновения осложнений. Поэтому в процессе определения патологии следует обращать внимание на детали анамнеза и клинической картины. Алгоритм диагностики имеет следующий вид:
• Сбор анамнеза и анализ симптомов. Сочетание легочных нарушений (хрипов, кашля, выделения мокроты с прожилками крови) с диареей, рвотой и анемическими проявлениями должно вызвать подозрения в наличии данной патологии. Дополнительным доводом в пользу заболевания является недавний перевод ребенка на искусственное вскармливание, включение в рацион продуктов из коровьего молока. Частые простуды, отиты, анемия в анамнезе также подтверждают наличие синдрома.
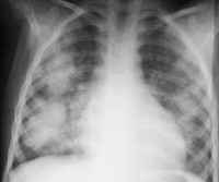
• Рентгенологические исследования. Рентгенография органов грудной клетки выявляет усиление выраженности легочного рисунка, наличие инфильтратов в виде облаковидных теней.
• Лабораторные анализы. В общем анализе крови отмечается гипохромная микроцитарная анемия, выраженность которой зависит от тяжести состояния больного. Характерным признаком синдрома Хайнера является эозинофилия, особенно увеличивающаяся после употребления молочных продуктов, также возможна лейкопения и значительное увеличение СОЭ. Иммунологическое изучение сыворотки обнаруживает наличие антител к белкам молока.
• Микроскопические исследования. Микроскопия мокроты подтверждает значительное количество сидерофагов - моноцитов, содержащих в себе коричневые зерна гемосидерина. Также отмечается наличие эритроцитов, небольшого количества эозинофилов и кристаллов Шарко-Лейдена. Микроскопическое изучение кала (копрограмма) обнаруживает наличие эозинофилов.
• Иммунологические пробы. При подозрении на непереносимость коровьего молока назначают элиминационную пробу - исключение провоцирующих продуктов из рациона при контроле клинических показателей. Улучшение состояния регистрируется уже через 7-10 дней после отмены, что свидетельствует в пользу наличия заболевания. В случае удовлетворительного состояния больного могут использоваться провокационные пробы, связанные с введением аллергена в организм - при этом показатели будут ухудшаться.
Косвенными признаками синдрома может являться отсутствие эффекта при лечении пневмонии антибиотиками, ухудшение состояние пациента при несоблюдении безмолочной диеты.
• Сбор анамнеза и анализ симптомов. Сочетание легочных нарушений (хрипов, кашля, выделения мокроты с прожилками крови) с диареей, рвотой и анемическими проявлениями должно вызвать подозрения в наличии данной патологии. Дополнительным доводом в пользу заболевания является недавний перевод ребенка на искусственное вскармливание, включение в рацион продуктов из коровьего молока. Частые простуды, отиты, анемия в анамнезе также подтверждают наличие синдрома.
• Рентгенологические исследования. Рентгенография органов грудной клетки выявляет усиление выраженности легочного рисунка, наличие инфильтратов в виде облаковидных теней.
• Лабораторные анализы. В общем анализе крови отмечается гипохромная микроцитарная анемия, выраженность которой зависит от тяжести состояния больного. Характерным признаком синдрома Хайнера является эозинофилия, особенно увеличивающаяся после употребления молочных продуктов, также возможна лейкопения и значительное увеличение СОЭ. Иммунологическое изучение сыворотки обнаруживает наличие антител к белкам молока.
• Микроскопические исследования. Микроскопия мокроты подтверждает значительное количество сидерофагов - моноцитов, содержащих в себе коричневые зерна гемосидерина. Также отмечается наличие эритроцитов, небольшого количества эозинофилов и кристаллов Шарко-Лейдена. Микроскопическое изучение кала (копрограмма) обнаруживает наличие эозинофилов.
• Иммунологические пробы. При подозрении на непереносимость коровьего молока назначают элиминационную пробу - исключение провоцирующих продуктов из рациона при контроле клинических показателей. Улучшение состояния регистрируется уже через 7-10 дней после отмены, что свидетельствует в пользу наличия заболевания. В случае удовлетворительного состояния больного могут использоваться провокационные пробы, связанные с введением аллергена в организм - при этом показатели будут ухудшаться.
Косвенными признаками синдрома может являться отсутствие эффекта при лечении пневмонии антибиотиками, ухудшение состояние пациента при несоблюдении безмолочной диеты.
|
|
Дифференциальная диагностика
Дифференциальную диагностику производят с бронхопневмонией, желудочно-кишечной токсикоинфекцией, гематологическими нарушениями. Главной отличительной характеристикой заболевания от вышеперечисленных патологий является отсутствие возбудителя при микроскопическом изучении слизи кала и мокроты.
Лечение
Центральным звеном лечения патологии является исключение поступления в организм белков коровьего молока - в ряде случаев только эти меры позволяют достичь полного выздоровления больного. Если у пациентов старшего возраста (более 1,5-2 лет) это сделать достаточно просто, то при терапии грудных младенцев могут возникнуть сложности. Требуется отмена кормления искусственными смесями, которые в большинстве случаев производятся на основе молока коров, и переход на естественное вскармливание либо использование донорского грудного молока. Применение аналогов (например, соевого молочка) неоднозначно, у ряда больных синдромом Хайнера возникают негативные реакции и при их использовании. Вспомогательные и симптоматические методики лечения включают в себя следующие мероприятия:
• Снижение аллергических и воспалительных проявлений. Часто отмечается положительный эффект от применения антигистаминных средств - происходит улучшение работы ЖКТ, быстрее исчезают инфильтраты в легких. Тяжелые случаи могут потребовать использования кортикостероидов для снижения выраженности воспаления.
• Улучшение показателей крови. Борьба с анемией включает назначение железосодержащих препаратов, введение белков и витаминов в рацион. При грудном вскармливании необходима аналогичная коррекция питания матери.
• Симптоматическая терапия. Сильный кашель может быть ослаблен ингаляциями, постуральным дренажом - назначение отхаркивающих средств противопоказано, так как это может усилить кровоизлияния в легких. Лечение диспепсических расстройств, воспалений ЛОР-органов, вторичных инфекций производится различными группами препаратов согласно показаниям.
Нередко в рамках лечения патологии осуществляется коррекция побочных эффектов от предшествовавших терапевтических мероприятий, назначенных на основе неверной диагностики синдрома. Чаще всего сюда включают коррекцию кишечной микрофлоры, нарушенной в результате приема антибиотиков, применяемых для лечения бронхопневмонии. Другим частым следствием неправильного подхода к терапии является задержка физического развития, возникающая при длительном употреблении коровьего молока. Ее компенсируют санаторно-курортными мероприятиями, лечебной гимнастикой, занятиями с детским психологом.
• Снижение аллергических и воспалительных проявлений. Часто отмечается положительный эффект от применения антигистаминных средств - происходит улучшение работы ЖКТ, быстрее исчезают инфильтраты в легких. Тяжелые случаи могут потребовать использования кортикостероидов для снижения выраженности воспаления.
• Улучшение показателей крови. Борьба с анемией включает назначение железосодержащих препаратов, введение белков и витаминов в рацион. При грудном вскармливании необходима аналогичная коррекция питания матери.
• Симптоматическая терапия. Сильный кашель может быть ослаблен ингаляциями, постуральным дренажом - назначение отхаркивающих средств противопоказано, так как это может усилить кровоизлияния в легких. Лечение диспепсических расстройств, воспалений ЛОР-органов, вторичных инфекций производится различными группами препаратов согласно показаниям.
Нередко в рамках лечения патологии осуществляется коррекция побочных эффектов от предшествовавших терапевтических мероприятий, назначенных на основе неверной диагностики синдрома. Чаще всего сюда включают коррекцию кишечной микрофлоры, нарушенной в результате приема антибиотиков, применяемых для лечения бронхопневмонии. Другим частым следствием неправильного подхода к терапии является задержка физического развития, возникающая при длительном употреблении коровьего молока. Ее компенсируют санаторно-курортными мероприятиями, лечебной гимнастикой, занятиями с детским психологом.
Прогноз
Среди врачей-педиатров синдром Хайнера считается состоянием с относительно благоприятным прогнозом - простое исключение молочных продуктов само по себе обеспечивает успех лечения. Потенциальную угрозу здоровью и жизни ребенка представляет вероятность неверного определения заболевания и, как следствие, неправильного лечения. Оно грозит развитием побочных эффектов (например, дисбактериоза), которые еще больше усугубляют состояние пациента, но большую угрозу представляет дальнейшее поступление молочных белков в организм и обусловленное этим нарастание патологических процессов.
Профилактика
Специфической профилактики заболевания не существует, для уменьшения риска осложнений родителям рекомендуется запоминать, когда и какие продукты были использованы при кормлении ребенка. В дальнейшем это помогает связать развитие симптомокомплекса с определенными компонентами рациона и быстрее определить диагноз.