Другие названия и синонимы
Histioplasmosis.
МКБ-10 коды
- МКБ-10
- B39 Гистоплазмоз
|
|
Описание
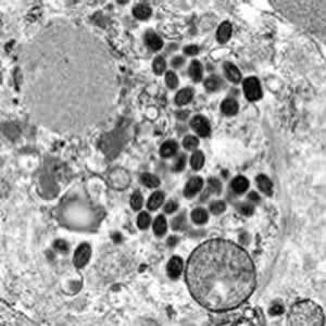
Гистоплазмоз относится к числу глубоких, системных микозов и вызывается диморфным грибом Нiastoplasma capsulatum.
Причины
Заражение происходит аэрогенно, при вдыхании спор гриба. Особенно их много в почве, загрязненной испражнения птиц и летучих мышей. Попадая в альвеолы, споры превращаются в дрожжеподобные клетки. Затем инфекция распространяется во все внутренние органы. Очаги поражения подвергаются казеозному некрозу с последующим обызвествлением, напоминая очаги Гона. Возбудитель обладает свойством паразитировать внутри клеток ретикулоэнлотелиальной системы, поэтому гистоплазмоз называют иногда ретикулоэндотелиальным циотмикозом.
Дети болеют значительно чаше, чем взрослые. Выделяют две формы - диссеминированную и хроническую легочную. У грудных детей преобладает первая.
Дети болеют значительно чаше, чем взрослые. Выделяют две формы - диссеминированную и хроническую легочную. У грудных детей преобладает первая.
Клиническая картина
Диссеминированная форма начинается как:
• острая пневмония - повышение температуры, одышка, кашель; патологический процесс в легких, в отличие от бактериальной пневмонии, всегда носит распространенный характер, поэтому разнообразные обильные хрипы выслушиваются с обеих сторон и носят рассеянный характер; рентгенологически определяется интерстициальная пневмония - усиление легочного рисунка за счет инфильтрации интерстиция легких, что придает рентгенологической картине грубый, крупноячеистый, петлистый характер;
• состояние ребенка быстро ухудшается из-за вовлечения в патологический процесс многих внутренних органов; характерны: генерализованное увеличение периферических лимфатических узлов и гепатоспленомегалия.
Как и при многих других грибковых процессах, отсутствуют островоспалительная реакция со стороны показателей периферической крови: СОЭ увеличена весьма умеренно или нормальная, формула крови не изменена. Эозинофилия отмечается не всегда. Однако присоединение вторичной бактериальной инфекции, нередко осложняющее основное заболевание, может изменить картину крови. Смерть чаще всего наступает от дыхательной недостаточности, профузного желудочно-кишечного кровотечения или сепсиса.
Подозрение на гистоплазмоз должно возникнуть в связи с указанием на контакт ребенка с птицами, почвенной пылью, а также при выявлении необычной двусторонней интерстициальной пневмонии.
Диагноз верифицируют с помощью:
- кожной пробы с гистоплазмином. Эта проба аналогична пробое Манту, читается через 48-72 часа и оценивается как положительная, если имеет место инфильтрат (папула) размеров 5 мм в диаметре и более; положительная проба свидетельствует о сенсибилизации организма, однако если она впервые выявлена у остро заболевшего ребенка, то может иметь диагностическое значение, со временем она угасает;
- определение титра антител в реакции связывания комплемента (РСК): первоначальный титр 1:8 характерен для активной формы заболевания;
- иммунодиффузная проба с М-антигеном гистоплазмы считается более достоверной, чем РСК;
Окончательный диагноз может быть поставлен на основании обнаружения возбудителя или дрожжевых клеток при посеве материала о больного (мокрота, кал), или в гистологических препаратах печени лимфатических узлов, костного мозга.
• острая пневмония - повышение температуры, одышка, кашель; патологический процесс в легких, в отличие от бактериальной пневмонии, всегда носит распространенный характер, поэтому разнообразные обильные хрипы выслушиваются с обеих сторон и носят рассеянный характер; рентгенологически определяется интерстициальная пневмония - усиление легочного рисунка за счет инфильтрации интерстиция легких, что придает рентгенологической картине грубый, крупноячеистый, петлистый характер;
• состояние ребенка быстро ухудшается из-за вовлечения в патологический процесс многих внутренних органов; характерны: генерализованное увеличение периферических лимфатических узлов и гепатоспленомегалия.
Как и при многих других грибковых процессах, отсутствуют островоспалительная реакция со стороны показателей периферической крови: СОЭ увеличена весьма умеренно или нормальная, формула крови не изменена. Эозинофилия отмечается не всегда. Однако присоединение вторичной бактериальной инфекции, нередко осложняющее основное заболевание, может изменить картину крови. Смерть чаще всего наступает от дыхательной недостаточности, профузного желудочно-кишечного кровотечения или сепсиса.
Подозрение на гистоплазмоз должно возникнуть в связи с указанием на контакт ребенка с птицами, почвенной пылью, а также при выявлении необычной двусторонней интерстициальной пневмонии.
Диагноз верифицируют с помощью:
- кожной пробы с гистоплазмином. Эта проба аналогична пробое Манту, читается через 48-72 часа и оценивается как положительная, если имеет место инфильтрат (папула) размеров 5 мм в диаметре и более; положительная проба свидетельствует о сенсибилизации организма, однако если она впервые выявлена у остро заболевшего ребенка, то может иметь диагностическое значение, со временем она угасает;
- определение титра антител в реакции связывания комплемента (РСК): первоначальный титр 1:8 характерен для активной формы заболевания;
- иммунодиффузная проба с М-антигеном гистоплазмы считается более достоверной, чем РСК;
Окончательный диагноз может быть поставлен на основании обнаружения возбудителя или дрожжевых клеток при посеве материала о больного (мокрота, кал), или в гистологических препаратах печени лимфатических узлов, костного мозга.
Лечение
Препаратом выбора является амфотерицин В, который вводится внутривенно капельно, ежедневно один раз в день, кур лечения составляет 2 нед. Возможны рецидивы болезни, поэтом курсы препарата могут быть назначены повторно.