Другие названия и синонимы
Silicatoses.
МКБ-10 коды
|
|
Описание
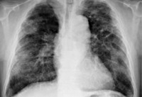
Силикатозы. Группа профессиональных болезней дыхательной системы, развивающихся при систематическом вдыхании различных видов силикатной пыли. Патоморфологические изменения в легких при силикатозах включают хронический обструктивный бронхит, эмфизему и пневмосклероз, которые и обусловливают основной симптомокомплекс: одышку, кашель, дыхательную недостаточность. Силикатозы диагностируются с учетом профессионального анамнеза, рентгенологических изменений, данных спирометрии, анализа мокроты. Лечение основывается на использовании бронходилататоров, глюкокортикоидов, оксигенотерапии, физиотерапии, дыхательной гимнастики.
Дополнительные факты
Силикатозы - пневмокониозы, обусловленные ингаляциями минеральной пыли, содержащей соединения двуокиси кремния с различными металлами. Термин «силикатозы» объединяет в себе такие профессиональные заболевания, как асбестоз, талькоз, каолиноз, оливиноз, цементоз, нефелиноз, слюдяной и цементный пневмокониоз и тд На сегодняшний день силикатозы представляют самую многочисленную и распространенную группу профессиональных болезней легких, встречающихся у лиц, связанных с добычей, обработкой и использованием силикатов. Актуальность силикатозов для пульмонологии заключается еще и в том, что на фоне пылевого поражения дыхательных путей могут незаметно прогрессировать такие опасные заболевания, как бронхиальная астма, туберкулез, рак легких, мезотелиома плевры.
Причины
Силикаты представляют собой соли кремниевой кислоты, содержащие двуокись кремния (SiО2), связанную с другими химическими элементами (алюминием, магнием, железом, кальцием и тд ). В природе силикаты широко представлены в виде полевого шпата, глины, слюды, кварца, нефелина, оливина и других минералов. В свою очередь, силикатные материалы находят масштабное применение в промышленности, строительстве, технике, народном хозяйстве. Поэтому закономерно, что силикатозы являются профессиональными заболеваниями работников, занятых в горнодобывающем, строительном, авиационном, судостроительном, машиностроительном и других производствах.
Основной причиной развития силикатозов служит систематическое вдыхание силикатной пыли (асбестовой, цементной, кварцевой, тальковой, слюдяной, нефелиновой и тд видов). Как правило, силикатозы проявляются спустя 15-20 лет от начала пылевого контакта. В организме силикаты расщепляются с высвобождением кремниевой кислоты, действие которой и обусловливает развитие легочного фиброза. Однако поскольку силикаты содержат менее 10% SiO2, фиброзные изменения прогрессируют медленнее, чем при силикозе. В большинстве случаев силикатозы развиваются только при очень длительном контакте с пылью, характеризуются относительно легким и доброкачественным течением, практически не прогрессируют после прекращения вредного воздействия. Исключение в этом ряду составляет асбестоз, отличающийся агрессивным течением.
Риск развития той или иной формы силикатоза зависит не только от стажа и интенсивности вдыхания силикатной пыли, но также от индивидуальных факторов: уровня иммунитета, наличия фоновых заболеваний (бронхита), вредных привычек (курения).
Основной причиной развития силикатозов служит систематическое вдыхание силикатной пыли (асбестовой, цементной, кварцевой, тальковой, слюдяной, нефелиновой и тд видов). Как правило, силикатозы проявляются спустя 15-20 лет от начала пылевого контакта. В организме силикаты расщепляются с высвобождением кремниевой кислоты, действие которой и обусловливает развитие легочного фиброза. Однако поскольку силикаты содержат менее 10% SiO2, фиброзные изменения прогрессируют медленнее, чем при силикозе. В большинстве случаев силикатозы развиваются только при очень длительном контакте с пылью, характеризуются относительно легким и доброкачественным течением, практически не прогрессируют после прекращения вредного воздействия. Исключение в этом ряду составляет асбестоз, отличающийся агрессивным течением.
Риск развития той или иной формы силикатоза зависит не только от стажа и интенсивности вдыхания силикатной пыли, но также от индивидуальных факторов: уровня иммунитета, наличия фоновых заболеваний (бронхита), вредных привычек (курения).
Классификация
В зависимости от состава силикатной пыли встречаются следующие виды силикатозов:
• Асбестоз. Обусловлен вдыханием асбестсодержащей пыли (силиката магния, кальция, железа, натрия). Обычно поражает работников асбестодобывающих и асбестоперерабатывающих производств.
• Талькоз. Развивается в результате вдыхания тальковой пыли, представляющей собой магнезиальный силикат. Встречается у работников, занятых в производстве керамических, резиновых, лакокрасочных, парфюмерных изделий.
• Каолиноз. Возникает при ингалировании глиняной пыли, содержащей каолинит. Может возникать у гончаров, фарфорщиков, рабочих кирпично-керамических производств.
• Нефелиноз. Вызывается воздействием нефелиновой пыли - алюмосиликата калия и натрия. Нефелиновым пневмокониозом заболевают рабочие стекольного, керамического, кожевенного, алюминиевого производств.
• Оливиноз. Связан с вдыханием оливиновой пыли, основу которой составляет ортосиликат магния и железа. Встречается, главным образом, у работников керамической промышленности и литейных цехов.
• Цементоз. Возникает при воздействии на дыхательные пути и легкие цементной пыли. Поражает лиц, связанных с процессом производства цемента, строителей.
• Слюдяной пневмокониоз. Обусловлен ингаляциями слюдяной пыли при контакте с мусковитом, флогонитом, биотитом; встречается редко.
• Асбестоз. Обусловлен вдыханием асбестсодержащей пыли (силиката магния, кальция, железа, натрия). Обычно поражает работников асбестодобывающих и асбестоперерабатывающих производств.
• Талькоз. Развивается в результате вдыхания тальковой пыли, представляющей собой магнезиальный силикат. Встречается у работников, занятых в производстве керамических, резиновых, лакокрасочных, парфюмерных изделий.
• Каолиноз. Возникает при ингалировании глиняной пыли, содержащей каолинит. Может возникать у гончаров, фарфорщиков, рабочих кирпично-керамических производств.
• Нефелиноз. Вызывается воздействием нефелиновой пыли - алюмосиликата калия и натрия. Нефелиновым пневмокониозом заболевают рабочие стекольного, керамического, кожевенного, алюминиевого производств.
• Оливиноз. Связан с вдыханием оливиновой пыли, основу которой составляет ортосиликат магния и железа. Встречается, главным образом, у работников керамической промышленности и литейных цехов.
• Цементоз. Возникает при воздействии на дыхательные пути и легкие цементной пыли. Поражает лиц, связанных с процессом производства цемента, строителей.
• Слюдяной пневмокониоз. Обусловлен ингаляциями слюдяной пыли при контакте с мусковитом, флогонитом, биотитом; встречается редко.
Клиническая картина
Среди других силикатозов наиболее тяжелым течением и быстрым прогрессированием отличается асбестоз. Ранними признаками асбестового пневмокониоза служат катаральные явления (першение, кашель), сопровождающиеся болью в груди и одышкой. В дальнейшем формируется обструктивный бронхит или бронхиолит, легочное сердце. Типично появление асбестовых бородавок на коже конечностей. При прогрессировании асбестоза нарастает анорексия, похудание. Может развиваться серозный или геморрагический плеврит. На фоне данного вида силикатоза часто возникает пневмония, бронхиальная астма, бронхоэктатическая болезнь. Асбестоз является благоприятным фоном для возникновения туберкулеза (асбестотуберкулез), рака легких и мезотелиомы плевры.
Для талькоза типично позднее и медленное развитие клинико-рентгенологических изменений. Среди симптомов преобладают одышка при физическом напряжении, периодические боли в грудной клетке, сухой кашель, похудание. Фиброзные изменения могут носить очаговый или диффузный характер. Более тяжелое течение имеет силикатоз, вызванный вдыханием косметической пудры: в это случае быстро нарастает сердечно-легочная недостаточность. В случае присоединения туберкулеза легких возникает талькотуберкулез с хроническим течением.
Клинику каолиноза составляют явления субатрофического ринита и фарингита, обструктивного бронхита. Рентгеноморфологическая картина соответствует эмфиземе и интерстициально-очажковому пневмофиброзу. В некоторых случаях может осложняться туберкулезом.
Патоморфологическую основу нефелиноза составляет хронический обструктивный бронхит, легочная эмфизема и пневмофиброз. Больных беспокоит одышка при нагрузке, боли в груди, кашель с вязкой мокротой, сердцебиение, утомляемость и слабость. Течение данной формы силикатоза относительно доброкачественное.
Оливиноз, или силикатоз, обусловленный воздействием оливиновой пыли, проявляется одышкой, кашлем, болью в груди. Сопровождается симптомокомплексом ринофарингита, хронического бронхита, нарушением функции внешнего дыхания. На рентгенографии легких обнаруживается диффузный сетчатый фиброз, базальная эмфизема. Клинические признаки силикатоза часто появляются раньше рентгенологических изменений. Течение компенсированное, при прекращении контакта с оливиновой пылью рентгеноморфологические изменения могут регрессировать.
При вдыхании цементной пыли в первую очередь страдают верхние дыхательные пути. Появляется першение в горле, сухость носоглотки, на слизистых образуются легко кровоточащие корочки, причиняющие боль. Легочные проявления цементоза включают кашель, приступы удушья, боли в груди, обусловленные интерстициальным фиброзом. Кожа становится сухой, на ней появляются трудно заживающие трещины. Поражение органа зрения характеризуется гиперемией конъюнктивы, слезотечением, со временем может развиться нарушение зрения.
Ассоциированные симптомы: Боль в грудной клетке. Глубокий сухой кашель. Кашель. Одышка. Першение в горле. Эритроцитоз.
Для талькоза типично позднее и медленное развитие клинико-рентгенологических изменений. Среди симптомов преобладают одышка при физическом напряжении, периодические боли в грудной клетке, сухой кашель, похудание. Фиброзные изменения могут носить очаговый или диффузный характер. Более тяжелое течение имеет силикатоз, вызванный вдыханием косметической пудры: в это случае быстро нарастает сердечно-легочная недостаточность. В случае присоединения туберкулеза легких возникает талькотуберкулез с хроническим течением.
Клинику каолиноза составляют явления субатрофического ринита и фарингита, обструктивного бронхита. Рентгеноморфологическая картина соответствует эмфиземе и интерстициально-очажковому пневмофиброзу. В некоторых случаях может осложняться туберкулезом.
Патоморфологическую основу нефелиноза составляет хронический обструктивный бронхит, легочная эмфизема и пневмофиброз. Больных беспокоит одышка при нагрузке, боли в груди, кашель с вязкой мокротой, сердцебиение, утомляемость и слабость. Течение данной формы силикатоза относительно доброкачественное.
Оливиноз, или силикатоз, обусловленный воздействием оливиновой пыли, проявляется одышкой, кашлем, болью в груди. Сопровождается симптомокомплексом ринофарингита, хронического бронхита, нарушением функции внешнего дыхания. На рентгенографии легких обнаруживается диффузный сетчатый фиброз, базальная эмфизема. Клинические признаки силикатоза часто появляются раньше рентгенологических изменений. Течение компенсированное, при прекращении контакта с оливиновой пылью рентгеноморфологические изменения могут регрессировать.
При вдыхании цементной пыли в первую очередь страдают верхние дыхательные пути. Появляется першение в горле, сухость носоглотки, на слизистых образуются легко кровоточащие корочки, причиняющие боль. Легочные проявления цементоза включают кашель, приступы удушья, боли в груди, обусловленные интерстициальным фиброзом. Кожа становится сухой, на ней появляются трудно заживающие трещины. Поражение органа зрения характеризуется гиперемией конъюнктивы, слезотечением, со временем может развиться нарушение зрения.
Ассоциированные симптомы: Боль в грудной клетке. Глубокий сухой кашель. Кашель. Одышка. Першение в горле. Эритроцитоз.
|
|
Диагностика
Критериями диагностики силикатозов служат подтвержденная профессиональная вредность, типичные рентгенологические изменения и клиническая картина, нарушения ФВД. Больные направляются на консультацию к пульмонологу и профпатологу, при необходимости - к фтизиатру.
При выставлении диагноза и определении вида силикатоза учитывается стаж работы в условиях повышенного пылеобразования и условия труда. При аускультации выслушивается жесткое или ослабленное дыхание, сухие хрипы, иногда, на отдельных участках - влажные хрипы. При рентгенологическом обследовании в большинстве случаев выявляется сетчато-тяжистый фиброз, утолщение междолевой плевры. Определенную информацию о степени выраженности дыхательной недостаточности может дать спирометрия, анализ газового состава крови. При отдельных формах силикатоза в мокроте могут выявляться «асбестовые тельца», «слюдяные тельца», «талькозные тельца», что позволяет подтвердить этиологический диагноз.
При выставлении диагноза и определении вида силикатоза учитывается стаж работы в условиях повышенного пылеобразования и условия труда. При аускультации выслушивается жесткое или ослабленное дыхание, сухие хрипы, иногда, на отдельных участках - влажные хрипы. При рентгенологическом обследовании в большинстве случаев выявляется сетчато-тяжистый фиброз, утолщение междолевой плевры. Определенную информацию о степени выраженности дыхательной недостаточности может дать спирометрия, анализ газового состава крови. При отдельных формах силикатоза в мокроте могут выявляться «асбестовые тельца», «слюдяные тельца», «талькозные тельца», что позволяет подтвердить этиологический диагноз.
Лечение
Лечение силикатозов осуществляется консервативными методами. Рекомендуется усиленное белками и витаминами питание. С целью торможения фиброзных процессов применяется поливиниллиридин-М-оксид, гормональные препараты. Для уменьшения бронхиальной обструкции назначают бронхолитики, ингаляции с протеолитическими ферментами, дыхательную гимнастику, массаж грудной клетки. Широко используются физиотерапевтические процедуры (ультразвук, электрофорез с гиалуронидазой, кальцием и новокаином и тд ), оксигенотерапия.
При возникновении осложнений (бронхита, бронхиальной астмы, БЭБ, эмфиземы, пневмонии, туберкулеза) показано их соответствующее лечение. Вне обострения силикатоза рекомендовано лечение в профилакториях и санаториях в местной полосе и на Южном побережье Крыма.
При возникновении осложнений (бронхита, бронхиальной астмы, БЭБ, эмфиземы, пневмонии, туберкулеза) показано их соответствующее лечение. Вне обострения силикатоза рекомендовано лечение в профилакториях и санаториях в местной полосе и на Южном побережье Крыма.