Другие названия и синонимы
Pulmonary eosinophilic infiltrate.
МКБ-10 коды
|
|
Описание
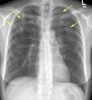
Легочный эозинофильный инфильтрат (легочная эозинофилия, эозинофильная пневмония) включает большую группу заболеваний, основными проявлениями которых являются выявленные рентгенологически затенения в легких, сопровождающиеся эозинофилией. В этиологическом отношении различают эози- нофильные инфильтраты, связанные с:
1) паразитарной, инвазией;
2) лекарственными препаратами и другими химическими веществами;
3) бронхиальной астмой;
4) системными поражениями соединительной ткани [Mayak R„ Soldona М. В кн. Fish- man А., 1980].
Легочные аозинофилъные инфильтраты паразитарного происхождения, связанные с инвазией аскарид, анкилостом, свиного иепня и печеночной двуустки, иногда называют простой легочной эозинофилией [Crafton J., Duglas A., 1974], или синдромом Леффлера (W. Lцf fier).
1) паразитарной, инвазией;
2) лекарственными препаратами и другими химическими веществами;
3) бронхиальной астмой;
4) системными поражениями соединительной ткани [Mayak R„ Soldona М. В кн. Fish- man А., 1980].
Легочные аозинофилъные инфильтраты паразитарного происхождения, связанные с инвазией аскарид, анкилостом, свиного иепня и печеночной двуустки, иногда называют простой легочной эозинофилией [Crafton J., Duglas A., 1974], или синдромом Леффлера (W. Lцf fier).
Клиническая картина
У большинства больных легочный эозинофильный инфильтрат, связанный с аскаридозом и другими глистными инвазиями, протекает бессимптомно и выявляется при профилактических флюорографических исследованиях. Температура тела, как правило, нормальная, иногда она повышается до суб- фебрнльных цифр с нормализацией в течение нескольких дней. У некоторых больных появление легочного эозинофильного инфильтрата сопровождается недомоганием, головной болью, ночными потами, кашлем без мокроты или с незначительным количеством окрашенной в желтый цвет мокроты.
При физикальном исследовании могут быть выявлены небольшое укорочение перкуторного тона и влажные хрипы над участком инфильтрата в легких. Все указанные выше симптомы и физикальные признаки быстро, в течение 1-2 нед, исчезают.
Клинические проявления возникают в среднем через 2 часа - 10 сут после начала приема лекарственных средств и характеризуются следующими симптомами:
•сухой кашель;
•боль в грудной клетке;
•одышка;
•повышение температуры тела с ознобом;
•артериальная гипотония;
•крапивница;
•артралгии.
При физикальном исследовании могут быть выявлены небольшое укорочение перкуторного тона и влажные хрипы над участком инфильтрата в легких. Все указанные выше симптомы и физикальные признаки быстро, в течение 1-2 нед, исчезают.
Клинические проявления возникают в среднем через 2 часа - 10 сут после начала приема лекарственных средств и характеризуются следующими симптомами:
•сухой кашель;
•боль в грудной клетке;
•одышка;
•повышение температуры тела с ознобом;
•артериальная гипотония;
•крапивница;
•артралгии.
Патогенез
Патогенез этих изменений изучен недостаточно. Существует представление о ведущей роли сенсибилизации и аллергии, возникающих при глистной инвазии. Одним из доказательств этой точки зрения является повышение содержания в сыворотке крови больных IgE.
Патологоанатомические изменения состоят в появлении в легких очагов инфильтрации, которые при микроскопическом исследовании представляют собой альвеолярную экссудацию с большим количеством эозинофилов. В отдельных случаях наблюдались периваскулярная инфильтрация лейкоцитами и небольшие тромбозы.
Патологоанатомические изменения состоят в появлении в легких очагов инфильтрации, которые при микроскопическом исследовании представляют собой альвеолярную экссудацию с большим количеством эозинофилов. В отдельных случаях наблюдались периваскулярная инфильтрация лейкоцитами и небольшие тромбозы.
Лечение
Наиболее эффективен антифиляриальный препарат диэгилкарбамазин. У некоторых больных возможно спонтанное выздоровление, однако у больных, которым не проводилось специальное лечение, заболевание может протекать длительно - месяцы и годы, с повторными обострениями, приводя к развитию пневмосклероза.
Легочные эозинофильные инфильтраты могут возникать от воздействия лекарств и химических соединений. Описаны легочные эозинофильные инфильтраты, развивающиеся под влиянием фурадоиина, ацетилсалициловой кислоты, азатиоприна, хлор- пропамида, хромогликата, изониазида, метатрексата, пенициллина, стрептомицина, сульфаниламидов, бериллия, солей золота и никеля и других соединений. Кроме того, эозинофильные легочные инфильтраты могут появляться после ингаляции пыльцы некоторых растений.
Клиническая картина легочного эозинофильного инфильтрата, возникающего после применения фурадонина, описана особенно подробно. Реакции легких на прием фурадонина бывают острыми и хроническими. При остром варианте реакции через 2 ч-10 дней после начала приема фурадонина появлялись лихорадка, сухой кашель, насморк, одышка. На рентгенограммах обычно выявляются диффузные изменения в легких, иногда очаговые неправильной формы инфильтраты в легких, отсутствовали типичные для синдрома Леффлера быстрое исчезновение и миграция инфильтратов, иногда появляется выпотной плеврит, причем в плевральной жидкости содержится много эозинофилов. Характерно увеличенное содержание эозинофилов в крови. При остром течении заболевания вскоре после отмены препарата исчезает эозинофильный инфильтрат в легком. При хроническом течении заболевания рассасывание легочного эозинофильного инфильтрата затягивается, и в отдельных случаях на его месте развивается пневмосклероз.
Лечение. Острые реакции на медикаменты и химические агенты специальной терапии не требуют, и прекращение действия, вызвавшего легочный инфильтрат фактора, приводит к полному исчезновению признаков болезни. В отдельных случаях при затяжном течении заболевания требуется прием глюкокор- тикостероидных препаратов.
Легочные эозинофильные инфильтраты у больных бронхиальной астмой в половине случаев связывают с воздействием на больного Aspergillus fumigatus. В некоторых случаях эозинофильные инфильтраты вызваны вдыханием пыльцы растений, домашней пыли, перхоти животных. Способствует возникновению этого состояния сухость воздуха, которая вызывает высушивание слизистой оболочки органов дыхания, образование густой слизи в бронхах и нарушение выделения слизи. Изменения чаще возникают у больных бронхиальной астмой старше 40 лет и преимущественно у женщин.
При морфологическом исследовании обнаруживаются участки легких, заполненные экссудатом, содержащим большое количество эозинофилов, которые присутствуют также в просвете бронхов и иногда инфильтрируют их стенки.
Клиническая картина у значительной части больных характеризуется тяжелым течением бронхиальной астмы. Обострение болезни сопровождается повышением температуры т е - л а, иногда до высоких цифр. Характерным симптомом является кашель, который бывает приступообразным н сопровождается отхождением густой мокроты в виде пробок и слепков бронхов [Mayak R., Soldona М. В кн. Fishman А., 1980].
Легочные эозинофильные инфильтраты могут возникать от воздействия лекарств и химических соединений. Описаны легочные эозинофильные инфильтраты, развивающиеся под влиянием фурадоиина, ацетилсалициловой кислоты, азатиоприна, хлор- пропамида, хромогликата, изониазида, метатрексата, пенициллина, стрептомицина, сульфаниламидов, бериллия, солей золота и никеля и других соединений. Кроме того, эозинофильные легочные инфильтраты могут появляться после ингаляции пыльцы некоторых растений.
Клиническая картина легочного эозинофильного инфильтрата, возникающего после применения фурадонина, описана особенно подробно. Реакции легких на прием фурадонина бывают острыми и хроническими. При остром варианте реакции через 2 ч-10 дней после начала приема фурадонина появлялись лихорадка, сухой кашель, насморк, одышка. На рентгенограммах обычно выявляются диффузные изменения в легких, иногда очаговые неправильной формы инфильтраты в легких, отсутствовали типичные для синдрома Леффлера быстрое исчезновение и миграция инфильтратов, иногда появляется выпотной плеврит, причем в плевральной жидкости содержится много эозинофилов. Характерно увеличенное содержание эозинофилов в крови. При остром течении заболевания вскоре после отмены препарата исчезает эозинофильный инфильтрат в легком. При хроническом течении заболевания рассасывание легочного эозинофильного инфильтрата затягивается, и в отдельных случаях на его месте развивается пневмосклероз.
Лечение. Острые реакции на медикаменты и химические агенты специальной терапии не требуют, и прекращение действия, вызвавшего легочный инфильтрат фактора, приводит к полному исчезновению признаков болезни. В отдельных случаях при затяжном течении заболевания требуется прием глюкокор- тикостероидных препаратов.
Легочные эозинофильные инфильтраты у больных бронхиальной астмой в половине случаев связывают с воздействием на больного Aspergillus fumigatus. В некоторых случаях эозинофильные инфильтраты вызваны вдыханием пыльцы растений, домашней пыли, перхоти животных. Способствует возникновению этого состояния сухость воздуха, которая вызывает высушивание слизистой оболочки органов дыхания, образование густой слизи в бронхах и нарушение выделения слизи. Изменения чаще возникают у больных бронхиальной астмой старше 40 лет и преимущественно у женщин.
При морфологическом исследовании обнаруживаются участки легких, заполненные экссудатом, содержащим большое количество эозинофилов, которые присутствуют также в просвете бронхов и иногда инфильтрируют их стенки.
Клиническая картина у значительной части больных характеризуется тяжелым течением бронхиальной астмы. Обострение болезни сопровождается повышением температуры т е - л а, иногда до высоких цифр. Характерным симптомом является кашель, который бывает приступообразным н сопровождается отхождением густой мокроты в виде пробок и слепков бронхов [Mayak R., Soldona М. В кн. Fishman А., 1980].
|
|