Продолжая работу с сайтом, вы разрешаете использование сookies и соглашаетесь с политикой конфиденциальности.
.,о.,р..и.:г,.и.,н.;н.,а;,л.. .,н.:а,.х.,о.,д.;и.,т..с.:я,, ..н.;а., .,k;,i..b.:e,;r.,i.,s.,.;.r.:u,

Киста челюсти

ДобавьАналогиСравни
Используемые препараты: ... скрыть
 
Фарм. гр. Вещество Препараты
Аскорбиновая кислота
Поливитамины + Минералы
Лечат в 1482 клиниках 87 городов
X
X
Нужен: стоматолога-хирург
Нижний Новгород, ул. Советская, д. 12 +7(909..показать+7(495) 104-88-01, +7(909) 288-44-88 от 100₽
Екатеринбург, пер. Ремесленный, д. 6 +7(343..показать+7(495) 104-88-01, +7(343) 289-60-35, +7(908) 924-09-85 от 200₽
Нижний Новгород, ул. Свободы, д. 46 +7(831..показать+7(495) 104-88-01, +7(831) 437-87-87, +7(991) 191-43-01 от 200₽
Нижний Новгород, ул. Родионова, д. 197 +7(831..показать+7(495) 104-88-01, +7(831) 261-00-01 от 234₽
Новосибирск, ул. 1905 года, д. 73 +7(383..показать+7(495) 104-88-01, +7(383) 362-02-00, +7(965) 827-82-69, +7(383) 388-84-72, +7(961) 879-57-27 от 250₽
Новосибирск, ул. Дуси Ковальчук, д. 272/1 +7(383..показать+7(495) 104-88-01, +7(383) 362-02-00, +7(965) 827-82-69, +7(383) 388-84-72, +7(961) 879-57-27 от 250₽
Ростов-на-Дону, пр-т Соколова, д. 27 +7(863..показать+7(495) 104-88-01, +7(863) 204-36-91, +7(928) 102-96-65 от 250₽
Новосибирск, пл. Карла Маркса, д. 7 +7(383..показать+7(495) 104-88-01, +7(383) 362-02-00, +7(965) 827-82-69, +7(383) 388-84-72, +7(961) 879-57-27 от 250₽
Видное, ул. Берёзовая, д. 3 +7(495..показать+7(495) 104-88-01, +7(495) 649-00-85 от 300₽
Казань, ул. Восход, д. 16 +7(843..показать+7(495) 104-88-01, +7(843) 210-30-31 от 300₽
Ещё 1472 клиники
  1. МКБ-10 коды
  2. Описание
  3. Причины
  4. Клиническая картина
  5. Лечение
  6. Похожие заболевания
  7. Основные медицинские услуги
  8. Клиники для лечения

Другие названия и синонимы

Jaw cyst.
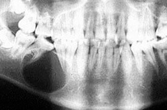
Киста челюсти (рентгенограмма)

МКБ-10 коды

Описание

 Киста челюсти - осложнение заболеваний зубов.

Причины

 Возникает обычно как осложнение заболевания зуба, в результате которого развивается хронический воспалительный процесс у верхушки корня зуба с образованием кисты. В более редких случаях она возникает из оболочки фолликула, окружающего коронку зуба, при нарушении процесса его прорезывания. Поэтому такая киста называется фолликулярной.

Клиническая картина

 В отличие от нее корневая встречается значительно чаще, поскольку заболевание зубов многократно превышает число случаев их затрудненного прорезывания. Киста корневая развивается на фоне хронического воспаления, растет медленно, но неуклонно. Увеличиваясь в объеме, постоянно давит на окружающую ее костную ткань, которая вынужденно отступает , освобождая место для растущей кисты.
 Мало, или совсем себя не проявляя, киста видна, лишь когда появляется выпячивание челюсти с истончением его наружных плотных костных пластинок, на что обращает внимание сам больной или его окружающие. Часто при рентгенографии челюстей по тому или иному поводу киста обнаруживается как случайная находка. Рост ее иногда влечет столь значительные разрушения кости челюсти, что приводит к ее самопроизвольному перелому. Кроме того, проникновение в полость кисты гноеродных микробов может вызвать тяжелый воспалительный процесс с вовлечением в него костного мозга челюсти и развитием остеомиелита. Возможно перерождение корневой кисты как длительно текущего процесса в раковую опухоль.
 Ассоциированные симптомы: Асимметрия лица. Боль в десне. Опухание щеки.

Лечение

 Лечение кисты челюсти хирургическое. При небольших размерах допустимо проведение.
 Операции в амбулаторных условиях. Рекомендация: периодический контроль (1 раз в год) зубо-челюстной системы с помощью рентгенографии.

Похожие заболевания

42a96bb5c8a2acfb07fc866444b97bf1
Доступно только при использовании PRO аккаунта
Модератор контента: Васин А.С.


  1. Киберис НЕ является интернет-магазином и НЕ осуществляет закупку, хранение, продажу и доставку препаратов. Ресурс выступает лишь в роли посредника между вами и производителем препаратов или аптечными пунктами, которые и осуществляют поставку.
  2. На Киберис размещены описания препаратов, часть из которых предназначена только для врачей. Данная информация не может быть использована пациентами для принятия решения об использовании препаратов, их отмене или коррекции дозировок.
  3. Ничто в представленной информации не должно быть истолковано как призыв использовать данные препараты.
  4. К Киберис не могут быть обращены претензии по поводу любого ущерба или вреда, понесенного в результате использования размещенной на сайте информации.