Продолжая работу с сайтом, вы разрешаете использование сookies и соглашаетесь с политикой конфиденциальности.
.,о.,р..и.:г,.и.,н.;н.,а;,л.. .,н.:а,.х.,о.,д.;и.,т..с.:я,, ..н.;а., .,k;,i..b.:e,;r.,i.,s.,.;.r.:u,

Пародонтит

ДобавьАналогиСравни
Используемые препараты: ... скрыть
 
Фарм. гр. Вещество Препараты
Лигнин гидролизный
Хондроитина сульфат
Спирамицин
Мефенамовая кислота
Кетопрофен
Кеторолак
Сангвинарина гидросульфат + Хелеритрина гидросульфат
  1. МКБ-10 коды
  2. Описание
  3. Клиническая картина
  4. Причины
  5. Лечение
  6. Похожие заболевания

Другие названия и синонимы

Parodontit.
Пародонтит

МКБ-10 коды

Описание

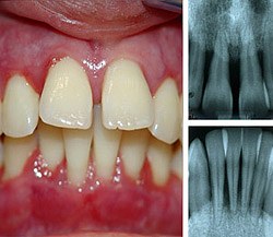
 Пародонтит (от -греч. παρα- - около, ὀδούς - зуб, -ит - воспалительного характера), иначе воспалительное заболевание тканей пародонта, характеризующееся прогрессирующим разрушением нормальной структуры альвеолярного отростка челюсти. Пародонтит распространён достаточно широко, как и другие заболевания пародонта.

Клиническая картина

 Заболевание проявляется прогрессирующей деструкцией альвеолярных отростков (а именно, зубных ячеек этих отростков). На течение пародонтита неблагоприятно влияет отложения зубного камня, неопрятное содержание полости рта. Симптоматика начальных стадий скудна - кровоточивость дёсен, слабость зубной связки, иногда - вязкая слюна, налёт на зубах. При активном течении вследствие быстрой деструкции альвеолярных отростков выпадают зубы.
 Более разнообразны клинические проявления при обострении пародонтита: воспаление десны, гнойные выделения из зубо-десневых карманов, неприятный запах изо рта, патологическая подвижность зубов, их смещения. Нередки абсцессы и свищи на десне, увеличение и болезненность подчелюстных лимфатических узлов. Хроническое течение с частыми обострениями пародонтита могут сопровождаться микробной аллергией.
 Ассоциированные симптомы: Боль в десне. Боль во рту. Зубная боль. Металлический привкус во рту. Неприятный запах изо рта. Онемение верхней губы. Опухание щеки. Потеря веса. Привкус во рту. Судороги.

Причины

 Пародонтит - это воспалительное заболевание тканей десны, окружающих и удерживающих зуб (пародонта). Среди причин развития пародонтита выделяют общие (системные) и местные. К общим относят такую соматическую патологию, как сахарный диабет, иммунодефициты, заболевания системы крови , которые имеют так называемый «пародонтальный синдром». Кроме того, многие хронические заболевания, не обладая специфическим влиянием на пародонт, предрасполагают к возникновению или отягощают течение хронического пародонтита. Наиболее актуальной местной причиной является микробный агент, первичным источником которого служит зубная бляшка. Определены виды микроорганизмов, специфически ответственных за тяжелое течение пародонтита: Porphyromonas gingivalis, Actinobacillus actinomycetemcomitans, Prevotella intermedia, Treponema denticola. Другая доказанная группа причин - травматическая. К ним относятся: травмирующие аномалии прикуса, высокое прикрепление тяжей и уздечек слизистой полости рта, скученность и аномалии положения зубов, гипертонус жевательной мускулатуры.

Лечение

 Основной способ радикального лечения пародонтита является хирургическое лечение с целью устранения патологического зубодесневого кармана, а также удаление безнадежных зубов для сохранения кости альвеолярного отростка, которая может быть использована для дентальной имплантации.
 Местные средства: (антисептики, противовоспалительные препараты, ферменты, эфирные масла), удаление зубных отложений. Физиотерапия, витамины, особенно витамин С и группы В, биогенные стимуляторы.
 Хирургическое и ортопедическое вмешательство, протезирование, в последующем - диетическое и курортное лечение, психический покой. Лечение индивидуальное, комплексное, выбор методов зависит от стадии заболевания, характера осложнения и общего состояния организма.

Похожие заболевания

42a96bb5c8a2acfb07fc866444b97bf1
Доступно только при использовании PRO аккаунта
Модератор контента: Васин А.С.


  1. Киберис НЕ является интернет-магазином и НЕ осуществляет закупку, хранение, продажу и доставку препаратов. Ресурс выступает лишь в роли посредника между вами и производителем препаратов или аптечными пунктами, которые и осуществляют поставку.
  2. На Киберис размещены описания препаратов, часть из которых предназначена только для врачей. Данная информация не может быть использована пациентами для принятия решения об использовании препаратов, их отмене или коррекции дозировок.
  3. Ничто в представленной информации не должно быть истолковано как призыв использовать данные препараты.
  4. К Киберис не могут быть обращены претензии по поводу любого ущерба или вреда, понесенного в результате использования размещенной на сайте информации.