Другие названия и синонимы
Amyloidosis of the kidneys, Амилоидная дистрофия почек, Амилоидный нефроз.
МКБ-10 коды
- МКБ-10
- E85 Амилоидоз
|
|
Описание
Амилоидоз почек - проявление системного амилоидоза, характеризующееся нарушением белково-углеводного обмена с внеклеточным отложением в почечной ткани амилоида - сложного белково-полисахаридного соединения, приводящего к нарушению функции органа. Амилоидоз почек протекает с развитием нефротического синдрома (протеинурия, отеки, гипо- и диспротеинемия, гиперхолестеринемия) и исходом в хроническую почечную недостаточность. Диагностика амилоидоза почек включает исследования мочи, крови и копрограммы; проведение УЗИ почек и биопсии. При амилоидозе почек назначается диета, проводится лекарственная терапия и коррекция первичных нарушений. В тяжелых случаях может потребоваться гемодиализ и трансплантация почки.
В урологии амилоидоз почек (амилоидная дистрофия, амилоидный нефроз) составляет 1-2,8% от всех заболеваний почек. Амилоидоз почек служит наиболее частым проявлением системного амилоидоза, при котором в межклеточном пространстве различных органов накапливается особое гликопротеидное вещество - амилоид, нарушающее их функции. Амилоидоз почек, наряду с гломерулонефритом, является основной причиной развития нефротического синдрома.
В урологии амилоидоз почек (амилоидная дистрофия, амилоидный нефроз) составляет 1-2,8% от всех заболеваний почек. Амилоидоз почек служит наиболее частым проявлением системного амилоидоза, при котором в межклеточном пространстве различных органов накапливается особое гликопротеидное вещество - амилоид, нарушающее их функции. Амилоидоз почек, наряду с гломерулонефритом, является основной причиной развития нефротического синдрома.
Причины
Этиология идиопатического амилоидоза почек в большинстве случаев остается неизвестной; иногда заболевание развивается при множественной миеломе. Кроме почек при первичном амилоидозе могут поражаться язык, кожа, щитовидная железа, печень, легкие, кишечник, селезенка, сердце.
Вторичный амилоидоз обычно ассоциирован с хроническими инфекциями (сифилисом, туберкулезом, малярией), гнойно-деструктивными процессами (брохоэктатической болезнью, эмпиемой плевры, остеомиелитом, затяжным септическим эндокардитом), системными заболеваниями (ревматоидным артритом, псориатическим артритом, болезнью Бехтерева), заболеваниями кишечника (язвенным колитом, болезнью Крона), опухолями (лимфогранулематозом, менингиомой, новообразованиями почек) и Вторичным амилоидозом поражаются почки, сосуды, лимфоузлы, печень и органы.
Причиной диализного амилоидоза почек выступает длительное проведение пациенту гемодиализа. Семейный амилоидоз встречается при периодической болезни, нередко в странах средиземноморского бассейна (в частности, португальский вариант). Старческий амилоидоз рассматривается как признак старения, встречающийся после 80 лет у 80 % людей. Локальные формы амилоидоза могут быть обусловлены опухолями эндокринной системы, болезнью Альцгеймера, сахарным диабетом 2-го типа и причинами.
Среди теорий патогенеза амилоидоза почек рассматриваются иммунологическая, мутационная гипотеза и гипотеза локального клеточного синтеза. Амилоидоз почек характеризуется внеклеточным отложением в почечной ткани, преимущественно в клубочках, амилоида - особого гликопротеида с высоким содержанием нерастворимого фибриллярного белка.
Вторичный амилоидоз обычно ассоциирован с хроническими инфекциями (сифилисом, туберкулезом, малярией), гнойно-деструктивными процессами (брохоэктатической болезнью, эмпиемой плевры, остеомиелитом, затяжным септическим эндокардитом), системными заболеваниями (ревматоидным артритом, псориатическим артритом, болезнью Бехтерева), заболеваниями кишечника (язвенным колитом, болезнью Крона), опухолями (лимфогранулематозом, менингиомой, новообразованиями почек) и Вторичным амилоидозом поражаются почки, сосуды, лимфоузлы, печень и органы.
Причиной диализного амилоидоза почек выступает длительное проведение пациенту гемодиализа. Семейный амилоидоз встречается при периодической болезни, нередко в странах средиземноморского бассейна (в частности, португальский вариант). Старческий амилоидоз рассматривается как признак старения, встречающийся после 80 лет у 80 % людей. Локальные формы амилоидоза могут быть обусловлены опухолями эндокринной системы, болезнью Альцгеймера, сахарным диабетом 2-го типа и причинами.
Среди теорий патогенеза амилоидоза почек рассматриваются иммунологическая, мутационная гипотеза и гипотеза локального клеточного синтеза. Амилоидоз почек характеризуется внеклеточным отложением в почечной ткани, преимущественно в клубочках, амилоида - особого гликопротеида с высоким содержанием нерастворимого фибриллярного белка.
Классификация
В соответствии с этиопатогенетическими механизмами выделяют пять форм амилоидоза почек: идиопатическую, семейную, приобретенную, старческую, локальную опухолевидную.
При первичном (идиопатическом) амилоидозе почек причины и механизмы остаются неизвестными. Семейные (наследственные) формы обусловлены генетическим дефектом образования в организме фибриллярных белков. Вторичный (приобретенный) амилоидоз почек развивается при иммунологических нарушениях (хронических инфекциях, ревматических болезнях, злокачественных опухолях ). В основе старческого амилоидоза лежит инволютивное изменение обмена белков. Природа локального опухолевидного амилоидоза почек неясна.
В зависимости от типа содержащегося в амилоиде фибриллярного белка различные формы амилоидоза («А») принято обозначать следующими аббревиатурами: АА-тип (вторичный, в амилоиде содержится сывороточный a-глобулин); АL-тип (идиопатический, в амилоиде - легкие цепочки Ig); АTTR-тип (семейный, старческий. В амилоиде - белок транстиретин); А2М-тип (диализный. В амилоиде - β2-микроглобулин) и.
Идиопатическая, семейная, старческая и локальная опухолевидная формы амилоидоза выделяются в самостоятельные нозологические единицы. Вторичный амилоидоз почек рассматривается как осложнение основного заболевания.
С учетом преобладающего поражения какого-либо органа и развития его недостаточности выделяют нефропатический (амилоидоз почек), эпинефропатический, нейропатический, гепатопатический, энтеропатический, кардиопатический, панкреатический, смешанный и генерализованный варианты амилоидоза. Независимо от формы и типа при амилоидозе происходит вытеснение специфических структурных элементов тканей амилоидным веществом, понижение, а в итоге и утрата функций соответствующих органов.
К системным (генерализованным) амилоидозам относятся АL-, АА-, АТТR-, А2М амилоидозы; к локальным - амилоидоз почек, предсердий, островков поджелудочной железы, церебральный и.
При первичном (идиопатическом) амилоидозе почек причины и механизмы остаются неизвестными. Семейные (наследственные) формы обусловлены генетическим дефектом образования в организме фибриллярных белков. Вторичный (приобретенный) амилоидоз почек развивается при иммунологических нарушениях (хронических инфекциях, ревматических болезнях, злокачественных опухолях ). В основе старческого амилоидоза лежит инволютивное изменение обмена белков. Природа локального опухолевидного амилоидоза почек неясна.
В зависимости от типа содержащегося в амилоиде фибриллярного белка различные формы амилоидоза («А») принято обозначать следующими аббревиатурами: АА-тип (вторичный, в амилоиде содержится сывороточный a-глобулин); АL-тип (идиопатический, в амилоиде - легкие цепочки Ig); АTTR-тип (семейный, старческий. В амилоиде - белок транстиретин); А2М-тип (диализный. В амилоиде - β2-микроглобулин) и.
Идиопатическая, семейная, старческая и локальная опухолевидная формы амилоидоза выделяются в самостоятельные нозологические единицы. Вторичный амилоидоз почек рассматривается как осложнение основного заболевания.
С учетом преобладающего поражения какого-либо органа и развития его недостаточности выделяют нефропатический (амилоидоз почек), эпинефропатический, нейропатический, гепатопатический, энтеропатический, кардиопатический, панкреатический, смешанный и генерализованный варианты амилоидоза. Независимо от формы и типа при амилоидозе происходит вытеснение специфических структурных элементов тканей амилоидным веществом, понижение, а в итоге и утрата функций соответствующих органов.
К системным (генерализованным) амилоидозам относятся АL-, АА-, АТТR-, А2М амилоидозы; к локальным - амилоидоз почек, предсердий, островков поджелудочной железы, церебральный и.
Клиническая картина
При амилоидозе симптомы могут быть довольно разнообразны, представлю лишь некоторые из них:
Облысение;
Одышка;
Общий упадок сил;
Аритмии;
Отёки на ногах;
Почечная недостаточность;
Боль в груди;
Сердечная недостаточность;
Потеря веса;
Разбитость и слабость;
Аномальные изменения ногтевых пластинок;
Поражения кожи: уплотнения и узелки, изъязвления, не зудящая сыпь;
Анемия (недостаточный уровень гемоглобина);
Головокружение и онемение конечностей из-за повышенного уровня АД.
Частые кровоподтёки;
Нарушение зрения, вследствие скопления аномального белка за хрусталиком глаза (при врожденном амилоидозе);
Повышенная ломкость костей;
Резкие перепады артериального давления;
Воспаление лимфатических узлов;
Иногда может увеличиваться размер языка;
Вегетативная невропатия, в том числе диарея и вздутие живота (нейропатия наследственного характера);
Амилоидоз относится к категории довольно редких заболеваний. Примерно две трети пациентов болеют вторичным амилоидозом. И всего около 5% приходится на старческий, врождённый и первичный амилоидоз.
Практически все больные относятся к возрастной группе старше 45 лет (68% из них мужчины).
Ассоциированные симптомы: Анурия. Боль в висках. Боль в затылке. Гематурия. Гиперфибриногенемия. Гипопротеинемия. Истощение. Кристаллурия. Лейкоцитоз. Лейкоцитурия. Металлический привкус во рту. Одышка. Отек. Отек глаз. Отек лица. Отеки ног. Повышенное АД. Понос (диарея). Протеинурия. Пульсация в висках. Увеличение СОЭ. Цилиндрурия.
Облысение;
Одышка;
Общий упадок сил;
Аритмии;
Отёки на ногах;
Почечная недостаточность;
Боль в груди;
Сердечная недостаточность;
Потеря веса;
Разбитость и слабость;
Аномальные изменения ногтевых пластинок;
Поражения кожи: уплотнения и узелки, изъязвления, не зудящая сыпь;
Анемия (недостаточный уровень гемоглобина);
Головокружение и онемение конечностей из-за повышенного уровня АД.
Частые кровоподтёки;
Нарушение зрения, вследствие скопления аномального белка за хрусталиком глаза (при врожденном амилоидозе);
Повышенная ломкость костей;
Резкие перепады артериального давления;
Воспаление лимфатических узлов;
Иногда может увеличиваться размер языка;
Вегетативная невропатия, в том числе диарея и вздутие живота (нейропатия наследственного характера);
Амилоидоз относится к категории довольно редких заболеваний. Примерно две трети пациентов болеют вторичным амилоидозом. И всего около 5% приходится на старческий, врождённый и первичный амилоидоз.
Практически все больные относятся к возрастной группе старше 45 лет (68% из них мужчины).
Ассоциированные симптомы: Анурия. Боль в висках. Боль в затылке. Гематурия. Гиперфибриногенемия. Гипопротеинемия. Истощение. Кристаллурия. Лейкоцитоз. Лейкоцитурия. Металлический привкус во рту. Одышка. Отек. Отек глаз. Отек лица. Отеки ног. Повышенное АД. Понос (диарея). Протеинурия. Пульсация в висках. Увеличение СОЭ. Цилиндрурия.
|
|
Диагностика
В ранний доклинический период диагностировать амилоидоз почек крайне сложно. В этой стадии приоритет отдается лабораторным методам - исследованию мочи и крови. В общем анализе мочи рано отмечается протеинурия, которая имеет тенденцию к неуклонному нарастанию, лейкоцитурия (при отсутствии признаков пиелонефрита), микрогематурия, цилиндрурия.
Биохимические показатели крови характеризуются гипоальбуминемией, гиперглобулинемией, гиперхолестеринемией, повышением активности щелочной фосфотазы, гипербилирубинемией, электролитным дисбалансом (гипонатриемией и гипокальциемией), повышением содержания фибриногена и b-липопротеидов. В общем анализе крови - лейкоцитоз, анемия, повышение СОЭ. При исследовании копрограммы нередко выявляется выраженная степень стеатореи («жирного стула»), креатореи (значительного содержания в испражнениях мышечных волокон), амилореи (присутствия в кале большого количества крахмала).
В связи с выраженными метаболическими нарушениями при амилоидозе почек на ЭКГ может регистрироваться аритмия и нарушения проводимости; при ЭхоКГ - кардиомиопатия и диастолическая дисфункция. УЗИ брюшной полости выявляет увеличение селезенки и печени. При рентгенографии ЖКТ определяется гипотония пищевода, ослабление перистальтики желудка, ускорение или замедление пассажа бария по кишечнику. На УЗИ почек визуализируется их увеличение (большие жировые почки).
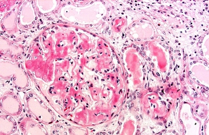
Достоверным методом диагностики амилоидоза служит биопсия почки. Морфологическое исследование биоптата после окраски конго красным при последующей электронной микроскопии в поляризованном свете выявляет зеленое свечение, характерное для амилоидоза почек. Амилоид может выявляться по ходу сосудов, канальцев, в клубочках. В некоторых случаях производится биопсия слизистой прямой кишки, кожи, десны, печени.
Биохимические показатели крови характеризуются гипоальбуминемией, гиперглобулинемией, гиперхолестеринемией, повышением активности щелочной фосфотазы, гипербилирубинемией, электролитным дисбалансом (гипонатриемией и гипокальциемией), повышением содержания фибриногена и b-липопротеидов. В общем анализе крови - лейкоцитоз, анемия, повышение СОЭ. При исследовании копрограммы нередко выявляется выраженная степень стеатореи («жирного стула»), креатореи (значительного содержания в испражнениях мышечных волокон), амилореи (присутствия в кале большого количества крахмала).
В связи с выраженными метаболическими нарушениями при амилоидозе почек на ЭКГ может регистрироваться аритмия и нарушения проводимости; при ЭхоКГ - кардиомиопатия и диастолическая дисфункция. УЗИ брюшной полости выявляет увеличение селезенки и печени. При рентгенографии ЖКТ определяется гипотония пищевода, ослабление перистальтики желудка, ускорение или замедление пассажа бария по кишечнику. На УЗИ почек визуализируется их увеличение (большие жировые почки).
Достоверным методом диагностики амилоидоза служит биопсия почки. Морфологическое исследование биоптата после окраски конго красным при последующей электронной микроскопии в поляризованном свете выявляет зеленое свечение, характерное для амилоидоза почек. Амилоид может выявляться по ходу сосудов, канальцев, в клубочках. В некоторых случаях производится биопсия слизистой прямой кишки, кожи, десны, печени.
Лечение
В терапии вторичного амилоидоза почек немалую роль играет успешность лечения основного заболевания. В случае полного стойкого излечивания первичной патологии нередко регрессируют и симптомы амилоидоза почек.
Пациентам с амилоидозом почек требуется изменение пищевого рациона: необходимо длительное, в течение 1,5-2 лет, употребление сырой печени (по 80-120 мг/сут.), ограничение белка и соли (особенно при почечной и сердечной недостаточности); повышенное потребление углеводов; пищи, богатой витаминами (особенно витамином С) и солями калия.
Патогенетическими препаратами для лечения амилоидоза почек являются производные 4-аминохинолина (делагил, резохин, хингамин), десенсибилизирующие средства (супрастин, пипольфен, димедрол), колхицин, унитиол и Симптоматическая терапия при амилоидозе почек включает назначение диуретиков, гипотензивных препаратов, переливание плазмы, альбумина Целесообразность использования кортикостероидов цитостатиков дискутируется.
В терминальной стадии амилоидоза почек может потребоваться хронический почечный диализ или трансплантация почки.
Пациентам с амилоидозом почек требуется изменение пищевого рациона: необходимо длительное, в течение 1,5-2 лет, употребление сырой печени (по 80-120 мг/сут.), ограничение белка и соли (особенно при почечной и сердечной недостаточности); повышенное потребление углеводов; пищи, богатой витаминами (особенно витамином С) и солями калия.
Патогенетическими препаратами для лечения амилоидоза почек являются производные 4-аминохинолина (делагил, резохин, хингамин), десенсибилизирующие средства (супрастин, пипольфен, димедрол), колхицин, унитиол и Симптоматическая терапия при амилоидозе почек включает назначение диуретиков, гипотензивных препаратов, переливание плазмы, альбумина Целесообразность использования кортикостероидов цитостатиков дискутируется.
В терминальной стадии амилоидоза почек может потребоваться хронический почечный диализ или трансплантация почки.
Прогноз
Прогноз во многом определяется течением основного заболевания и скоростью прогрессирования амилоидоза почек. Ухудшает прогноз развитие тромбозов, кровоизлияний, присоединение интеркуррентных инфекций, пожилой возраст. При развитии сердечной или почечной недостаточности выживаемость составляет менее 1 года. Условиями выздоровления служат своевременное обращение к нефрологу и ранняя диагностика амилоидоза почек, активное лечение и полное устранение основного заболевания.